门静脉相 CT 中胰腺实体瘤的定性和定量成像特征:它们有助于确定肿瘤类型和分级吗?

Polish journal of radiology Pub Date : 2024-03-13 eCollection Date: 2024-01-01 DOI:10.5114/pjr.2024.136423
Elif Gündoğdu, Abdullah Küçükhüseyin
{"title":"门静脉相 CT 中胰腺实体瘤的定性和定量成像特征:它们有助于确定肿瘤类型和分级吗?","authors":"Elif Gündoğdu, Abdullah Küçükhüseyin","doi":"10.5114/pjr.2024.136423","DOIUrl":null,"url":null,"abstract":"<p><strong>Purpose: </strong>Solid pancreatic lesions might have overlapping findings in portal venous phase computed tomography (CT). In this study, we aimed to investigate the quantitative and qualitative imaging features of solid pancreas lesions based on subtype and grade.</p><p><strong>Material and methods: </strong>The study group consisted of 159 patients with solid pancreatic tumours detected after exclusion criteria. According to the pathology results, the patients were divided into 3 groups as PDAC (pancreatic ductal adenocarcinoma, <i>n</i> = 137), PNET (pancreatic neuroendocrine tumour, <i>n</i> = 15), and SC (sarcomatoid carcinoma, <i>n</i> = 7). PDAC and PNET lesions were evaluated in 3 subgroups according to grade.</p><p><strong>Results: </strong>There was no difference between the groups in terms of age, gender, tumour localisation, and internal structure (<i>p</i> = 0.23, <i>p</i> = 0.81, <i>p</i> = 0.19, and <i>p</i> = 0.94, respectively). Qualitative features significantly differed in terms of tumour margin feature, visual tumour density, presence of cystic component, and presence of necrosis (<i>p</i> = 0.01, <i>p</i> = 0.0001, <i>p</i> = 0.002, and <i>p</i> = 0.004, respectively). Tumour size, Tm<sub>den</sub>, Tm<sub>den</sub>/VP<sub>den</sub>, and Tm<sub>den</sub>/PanP<sub>den</sub> showed differences between groups (<i>p</i> = 0.0001, <i>p</i> = 0.002, <i>p</i> = 0.0001, <i>p</i> = 0.0001, respectively). The presence of cystic density in PDAC patients differed according to grade (<i>p</i> = 0.01).</p><p><strong>Conclusions: </strong>While ill-defined irregular margins, hypodense visual tumour density, no cystic component, low value of Tm<sub>den</sub>, and low ratios of Tm<sub>den</sub>/VP<sub>den</sub> and Tm<sub>den</sub>/PanP<sub>den</sub> indicate PDAC, regular margins, iso-or hyperdense visual tumour density, cystic component, high value of Tm<sub>den</sub>, and high ratios of Tm<sub>den</sub>/VP<sub>den</sub> and Tm<sub>den</sub>/PanP<sub>den</sub> indicate PNET. SC can be differentiated from them by containing necrosis and reaching larger sizes. The presence of a cystic component in PDAC patients indicates high grade.</p>","PeriodicalId":94174,"journal":{"name":"Polish journal of radiology","volume":"89 ","pages":"e140-e147"},"PeriodicalIF":0.0000,"publicationDate":"2024-03-13","publicationTypes":"Journal Article","fieldsOfStudy":null,"isOpenAccess":false,"openAccessPdf":"https://www.ncbi.nlm.nih.gov/pmc/articles/PMC10976620/pdf/","citationCount":"0","resultStr":"{\"title\":\"Qualitative and quantitative imaging features of solid pancreas tumours in portal venous phase CT: are they useful in determining tumour type and grade?\",\"authors\":\"Elif Gündoğdu, Abdullah Küçükhüseyin\",\"doi\":\"10.5114/pjr.2024.136423\",\"DOIUrl\":null,\"url\":null,\"abstract\":\"<p><strong>Purpose: </strong>Solid pancreatic lesions might have overlapping findings in portal venous phase computed tomography (CT). In this study, we aimed to investigate the quantitative and qualitative imaging features of solid pancreas lesions based on subtype and grade.</p><p><strong>Material and methods: </strong>The study group consisted of 159 patients with solid pancreatic tumours detected after exclusion criteria. According to the pathology results, the patients were divided into 3 groups as PDAC (pancreatic ductal adenocarcinoma, <i>n</i> = 137), PNET (pancreatic neuroendocrine tumour, <i>n</i> = 15), and SC (sarcomatoid carcinoma, <i>n</i> = 7). PDAC and PNET lesions were evaluated in 3 subgroups according to grade.</p><p><strong>Results: </strong>There was no difference between the groups in terms of age, gender, tumour localisation, and internal structure (<i>p</i> = 0.23, <i>p</i> = 0.81, <i>p</i> = 0.19, and <i>p</i> = 0.94, respectively). Qualitative features significantly differed in terms of tumour margin feature, visual tumour density, presence of cystic component, and presence of necrosis (<i>p</i> = 0.01, <i>p</i> = 0.0001, <i>p</i> = 0.002, and <i>p</i> = 0.004, respectively). Tumour size, Tm<sub>den</sub>, Tm<sub>den</sub>/VP<sub>den</sub>, and Tm<sub>den</sub>/PanP<sub>den</sub> showed differences between groups (<i>p</i> = 0.0001, <i>p</i> = 0.002, <i>p</i> = 0.0001, <i>p</i> = 0.0001, respectively). The presence of cystic density in PDAC patients differed according to grade (<i>p</i> = 0.01).</p><p><strong>Conclusions: </strong>While ill-defined irregular margins, hypodense visual tumour density, no cystic component, low value of Tm<sub>den</sub>, and low ratios of Tm<sub>den</sub>/VP<sub>den</sub> and Tm<sub>den</sub>/PanP<sub>den</sub> indicate PDAC, regular margins, iso-or hyperdense visual tumour density, cystic component, high value of Tm<sub>den</sub>, and high ratios of Tm<sub>den</sub>/VP<sub>den</sub> and Tm<sub>den</sub>/PanP<sub>den</sub> indicate PNET. SC can be differentiated from them by containing necrosis and reaching larger sizes. The presence of a cystic component in PDAC patients indicates high grade.</p>\",\"PeriodicalId\":94174,\"journal\":{\"name\":\"Polish journal of radiology\",\"volume\":\"89 \",\"pages\":\"e140-e147\"},\"PeriodicalIF\":0.0000,\"publicationDate\":\"2024-03-13\",\"publicationTypes\":\"Journal Article\",\"fieldsOfStudy\":null,\"isOpenAccess\":false,\"openAccessPdf\":\"https://www.ncbi.nlm.nih.gov/pmc/articles/PMC10976620/pdf/\",\"citationCount\":\"0\",\"resultStr\":null,\"platform\":\"Semanticscholar\",\"paperid\":null,\"PeriodicalName\":\"Polish journal of radiology\",\"FirstCategoryId\":\"1085\",\"ListUrlMain\":\"https://doi.org/10.5114/pjr.2024.136423\",\"RegionNum\":0,\"RegionCategory\":null,\"ArticlePicture\":[],\"TitleCN\":null,\"AbstractTextCN\":null,\"PMCID\":null,\"EPubDate\":\"2024/1/1 0:00:00\",\"PubModel\":\"eCollection\",\"JCR\":\"\",\"JCRName\":\"\",\"Score\":null,\"Total\":0}","platform":"Semanticscholar","paperid":null,"PeriodicalName":"Polish journal of radiology","FirstCategoryId":"1085","ListUrlMain":"https://doi.org/10.5114/pjr.2024.136423","RegionNum":0,"RegionCategory":null,"ArticlePicture":[],"TitleCN":null,"AbstractTextCN":null,"PMCID":null,"EPubDate":"2024/1/1 0:00:00","PubModel":"eCollection","JCR":"","JCRName":"","Score":null,"Total":0}
引用次数: 0

摘要

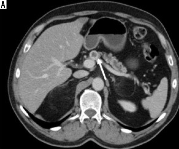
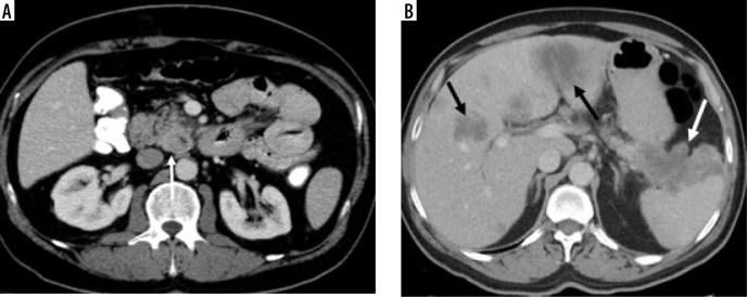
目的:胰腺实性病变在门静脉相计算机断层扫描(CT)中可能有重叠的发现。在这项研究中,我们旨在根据亚型和分级研究胰腺实体瘤病变的定量和定性成像特征:研究组包括 159 例经排除标准检测出的胰腺实体瘤患者。根据病理结果,患者被分为三组:PDAC(胰腺导管腺癌,137 人)、PNET(胰腺神经内分泌瘤,15 人)和 SC(肉瘤样癌,7 人)。PDAC和PNET病变按级别分为3个亚组进行评估:各组在年龄、性别、肿瘤定位和内部结构方面没有差异(分别为P = 0.23、P = 0.81、P = 0.19和P = 0.94)。定性特征在肿瘤边缘特征、视觉肿瘤密度、囊性成分的存在和坏死的存在方面存在明显差异(分别为 p = 0.01、p = 0.0001、p = 0.002 和 p = 0.004)。肿瘤大小、Tmden、Tmden/VPden 和 Tmden/PanPden 在组间存在差异(分别为 p = 0.0001、p = 0.002、p = 0.0001 和 p = 0.0001)。PDAC患者出现囊性密度的情况因分级而异(p = 0.01):结论:边缘不规则、肉眼可见肿瘤密度低、无囊性成分、Tmden 值低、Tmden/VPden 和 Tmden/PanPden 比值低表示 PDAC,而边缘规则、肉眼可见肿瘤密度等密度或高密度、有囊性成分、Tmden 值高、Tmden/VPden 和 Tmden/PanPden 比值高表示 PNET。SC可通过包含坏死和体积增大与之区分。PDAC 患者出现囊性成分则表示肿瘤等级较高。
本文章由计算机程序翻译,如有差异,请以英文原文为准。

Qualitative and quantitative imaging features of solid pancreas tumours in portal venous phase CT: are they useful in determining tumour type and grade?

Qualitative and quantitative imaging features of solid pancreas tumours in portal venous phase CT: are they useful in determining tumour type and grade?

Qualitative and quantitative imaging features of solid pancreas tumours in portal venous phase CT: are they useful in determining tumour type and grade?

Qualitative and quantitative imaging features of solid pancreas tumours in portal venous phase CT: are they useful in determining tumour type and grade?

Purpose: Solid pancreatic lesions might have overlapping findings in portal venous phase computed tomography (CT). In this study, we aimed to investigate the quantitative and qualitative imaging features of solid pancreas lesions based on subtype and grade.

Material and methods: The study group consisted of 159 patients with solid pancreatic tumours detected after exclusion criteria. According to the pathology results, the patients were divided into 3 groups as PDAC (pancreatic ductal adenocarcinoma, n = 137), PNET (pancreatic neuroendocrine tumour, n = 15), and SC (sarcomatoid carcinoma, n = 7). PDAC and PNET lesions were evaluated in 3 subgroups according to grade.

Results: There was no difference between the groups in terms of age, gender, tumour localisation, and internal structure (p = 0.23, p = 0.81, p = 0.19, and p = 0.94, respectively). Qualitative features significantly differed in terms of tumour margin feature, visual tumour density, presence of cystic component, and presence of necrosis (p = 0.01, p = 0.0001, p = 0.002, and p = 0.004, respectively). Tumour size, Tmden, Tmden/VPden, and Tmden/PanPden showed differences between groups (p = 0.0001, p = 0.002, p = 0.0001, p = 0.0001, respectively). The presence of cystic density in PDAC patients differed according to grade (p = 0.01).

Conclusions: While ill-defined irregular margins, hypodense visual tumour density, no cystic component, low value of Tmden, and low ratios of Tmden/VPden and Tmden/PanPden indicate PDAC, regular margins, iso-or hyperdense visual tumour density, cystic component, high value of Tmden, and high ratios of Tmden/VPden and Tmden/PanPden indicate PNET. SC can be differentiated from them by containing necrosis and reaching larger sizes. The presence of a cystic component in PDAC patients indicates high grade.

求助全文
通过发布文献求助,成功后即可免费获取论文全文。 去求助
来源期刊
CiteScore
2.10
自引率
0.00%
发文量
0
×
引用
GB/T 7714-2015
复制
MLA
复制
APA
复制
导出至
BibTeX EndNote RefMan NoteFirst NoteExpress
×
提示
您的信息不完整,为了账户安全,请先补充。
现在去补充
×
提示
您因"违规操作"
具体请查看互助需知
我知道了
×
提示
确定
请完成安全验证×
copy
已复制链接
快去分享给好友吧!
我知道了
右上角分享
点击右上角分享
0
联系我们:info@booksci.cn Book学术提供免费学术资源搜索服务,方便国内外学者检索中英文文献。致力于提供最便捷和优质的服务体验。 Copyright © 2023 布克学术 All rights reserved.
京ICP备2023020795号-1
ghs 京公网安备 11010802042870号
Book学术文献互助
Book学术文献互助群
群 号:604180095
Book学术官方微信