暴露的尿道中段吊带网形成阴道结石。

IF 0.8 Q4 OBSTETRICS & GYNECOLOGY
Case Reports in Obstetrics and Gynecology Pub Date : 2024-03-16 eCollection Date: 2024-01-01 DOI:10.1155/2024/8287400
Adam J Langer, Zenab Saeed, Elizabeth Barrett, Rose A Maxwell, David N Dhanraj, Geoffrey D Towers, Eyra A Agudu
{"title":"暴露的尿道中段吊带网形成阴道结石。","authors":"Adam J Langer, Zenab Saeed, Elizabeth Barrett, Rose A Maxwell, David N Dhanraj, Geoffrey D Towers, Eyra A Agudu","doi":"10.1155/2024/8287400","DOIUrl":null,"url":null,"abstract":"<p><p>The presence of a vaginal calculus is a rare clinical entity which may develop in the setting of vaginal urinary stagnation. Numerous factors contribute to stone formation, and management can be complicated by variations in size, location of the stone, and location of adjacent structures. Generally, once diagnosed, vaginal calculi should be removed and surrounding anatomy should be evaluated thoroughly for secondary fistula, erosion, or presence of an instituting foreign body. This report presents a case of vaginal calculus formation on exposed midurethral sling mesh in an elderly patient with hemorrhagic cystitis. This report emphasizes contributing pathophysiology, diagnostic factors, and treatment.</p>","PeriodicalId":9610,"journal":{"name":"Case Reports in Obstetrics and Gynecology","volume":"2024 ","pages":"8287400"},"PeriodicalIF":0.8000,"publicationDate":"2024-03-16","publicationTypes":"Journal Article","fieldsOfStudy":null,"isOpenAccess":false,"openAccessPdf":"https://www.ncbi.nlm.nih.gov/pmc/articles/PMC10960646/pdf/","citationCount":"0","resultStr":"{\"title\":\"Vaginal Calculus Formation on Exposed Midurethral Sling Mesh.\",\"authors\":\"Adam J Langer, Zenab Saeed, Elizabeth Barrett, Rose A Maxwell, David N Dhanraj, Geoffrey D Towers, Eyra A Agudu\",\"doi\":\"10.1155/2024/8287400\",\"DOIUrl\":null,\"url\":null,\"abstract\":\"<p><p>The presence of a vaginal calculus is a rare clinical entity which may develop in the setting of vaginal urinary stagnation. Numerous factors contribute to stone formation, and management can be complicated by variations in size, location of the stone, and location of adjacent structures. Generally, once diagnosed, vaginal calculi should be removed and surrounding anatomy should be evaluated thoroughly for secondary fistula, erosion, or presence of an instituting foreign body. This report presents a case of vaginal calculus formation on exposed midurethral sling mesh in an elderly patient with hemorrhagic cystitis. This report emphasizes contributing pathophysiology, diagnostic factors, and treatment.</p>\",\"PeriodicalId\":9610,\"journal\":{\"name\":\"Case Reports in Obstetrics and Gynecology\",\"volume\":\"2024 \",\"pages\":\"8287400\"},\"PeriodicalIF\":0.8000,\"publicationDate\":\"2024-03-16\",\"publicationTypes\":\"Journal Article\",\"fieldsOfStudy\":null,\"isOpenAccess\":false,\"openAccessPdf\":\"https://www.ncbi.nlm.nih.gov/pmc/articles/PMC10960646/pdf/\",\"citationCount\":\"0\",\"resultStr\":null,\"platform\":\"Semanticscholar\",\"paperid\":null,\"PeriodicalName\":\"Case Reports in Obstetrics and Gynecology\",\"FirstCategoryId\":\"1085\",\"ListUrlMain\":\"https://doi.org/10.1155/2024/8287400\",\"RegionNum\":0,\"RegionCategory\":null,\"ArticlePicture\":[],\"TitleCN\":null,\"AbstractTextCN\":null,\"PMCID\":null,\"EPubDate\":\"2024/1/1 0:00:00\",\"PubModel\":\"eCollection\",\"JCR\":\"Q4\",\"JCRName\":\"OBSTETRICS & GYNECOLOGY\",\"Score\":null,\"Total\":0}","platform":"Semanticscholar","paperid":null,"PeriodicalName":"Case Reports in Obstetrics and Gynecology","FirstCategoryId":"1085","ListUrlMain":"https://doi.org/10.1155/2024/8287400","RegionNum":0,"RegionCategory":null,"ArticlePicture":[],"TitleCN":null,"AbstractTextCN":null,"PMCID":null,"EPubDate":"2024/1/1 0:00:00","PubModel":"eCollection","JCR":"Q4","JCRName":"OBSTETRICS & GYNECOLOGY","Score":null,"Total":0}
引用次数: 0

摘要

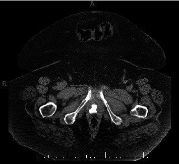
阴道结石是一种罕见的临床症状,可能在阴道尿液淤积的情况下出现。导致结石形成的因素有很多,结石的大小、位置和邻近结构的位置都会使处理变得复杂。一般来说,一旦确诊为阴道结石,应立即将其取出,并彻底评估周围的解剖结构,看是否有继发性瘘管、侵蚀或异物存在。本报告介绍了一例患有出血性膀胱炎的老年患者,其阴道结石形成于暴露的尿道中段吊带网片上。本报告强调了病理生理学、诊断因素和治疗方法。
本文章由计算机程序翻译,如有差异,请以英文原文为准。

Vaginal Calculus Formation on Exposed Midurethral Sling Mesh.

Vaginal Calculus Formation on Exposed Midurethral Sling Mesh.

Vaginal Calculus Formation on Exposed Midurethral Sling Mesh.

Vaginal Calculus Formation on Exposed Midurethral Sling Mesh.

The presence of a vaginal calculus is a rare clinical entity which may develop in the setting of vaginal urinary stagnation. Numerous factors contribute to stone formation, and management can be complicated by variations in size, location of the stone, and location of adjacent structures. Generally, once diagnosed, vaginal calculi should be removed and surrounding anatomy should be evaluated thoroughly for secondary fistula, erosion, or presence of an instituting foreign body. This report presents a case of vaginal calculus formation on exposed midurethral sling mesh in an elderly patient with hemorrhagic cystitis. This report emphasizes contributing pathophysiology, diagnostic factors, and treatment.

求助全文
通过发布文献求助,成功后即可免费获取论文全文。 去求助
来源期刊
Case Reports in Obstetrics and Gynecology
Case Reports in Obstetrics and Gynecology Medicine-Obstetrics and Gynecology
CiteScore
1.30
自引率
0.00%
发文量
64
审稿时长
12 weeks
×
引用
GB/T 7714-2015
复制
MLA
复制
APA
复制
导出至
BibTeX EndNote RefMan NoteFirst NoteExpress
×
提示
您的信息不完整,为了账户安全,请先补充。
现在去补充
×
提示
您因"违规操作"
具体请查看互助需知
我知道了
×
提示
确定
请完成安全验证×
copy
已复制链接
快去分享给好友吧!
我知道了
右上角分享
点击右上角分享
0
联系我们:info@booksci.cn Book学术提供免费学术资源搜索服务,方便国内外学者检索中英文文献。致力于提供最便捷和优质的服务体验。 Copyright © 2023 布克学术 All rights reserved.
京ICP备2023020795号-1
ghs 京公网安备 11010802042870号
Book学术文献互助
Book学术文献互助群
群 号:604180095
Book学术官方微信