混合型肺闭塞症、囊性肺腺瘤样畸形和右心室缺血:三重打击

IF 0.8 Q3 MEDICINE, GENERAL & INTERNAL
Jyoti Bajpai, Shreya Verma, Surya Kant, Ajay Kumar Verma, Darshan Bajaj, Akshyaya Pradhan, Shalini Bhalla
{"title":"混合型肺闭塞症、囊性肺腺瘤样畸形和右心室缺血:三重打击","authors":"Jyoti Bajpai, Shreya Verma, Surya Kant, Ajay Kumar Verma, Darshan Bajaj, Akshyaya Pradhan, Shalini Bhalla","doi":"10.4103/ijabmr.ijabmr_376_23","DOIUrl":null,"url":null,"abstract":"<p><p>Pulmonary sequestration and cystic pulmonary adenomatoid malformation are rare congenital cystic disorders of the lungs. The presence of both the diseases in the same individual is therefore very uncommon. Pulmonary sequestration is a nonfunctional pulmonary tissue mass that derives its blood supply from systemic blood supply other than pulmonary circulation. Congenital cystic pulmonary adenomatoid malformation represents a mass consisting of abnormal bronchiolar air spaces and a deficiency of functional alveoli. This is the case report of a 9-year-old girl with intermittent fever, left-sided chest pain, and cough for the past 15 days along with recurrent coughs since childhood suggestive of hybrid pulmonary sequestration, congenital cystic adenomatoid malformation, and dextrocardia.</p>","PeriodicalId":13727,"journal":{"name":"International Journal of Applied and Basic Medical Research","volume":"14 1","pages":"67-69"},"PeriodicalIF":0.8000,"publicationDate":"2024-01-01","publicationTypes":"Journal Article","fieldsOfStudy":null,"isOpenAccess":false,"openAccessPdf":"https://www.ncbi.nlm.nih.gov/pmc/articles/PMC10947753/pdf/","citationCount":"0","resultStr":"{\"title\":\"Hybrid Pulmonary Sequestration, Cystic Pulmonary Adenomatoid Malformation, and Dextrocardia: A Triple Whammy.\",\"authors\":\"Jyoti Bajpai, Shreya Verma, Surya Kant, Ajay Kumar Verma, Darshan Bajaj, Akshyaya Pradhan, Shalini Bhalla\",\"doi\":\"10.4103/ijabmr.ijabmr_376_23\",\"DOIUrl\":null,\"url\":null,\"abstract\":\"<p><p>Pulmonary sequestration and cystic pulmonary adenomatoid malformation are rare congenital cystic disorders of the lungs. The presence of both the diseases in the same individual is therefore very uncommon. Pulmonary sequestration is a nonfunctional pulmonary tissue mass that derives its blood supply from systemic blood supply other than pulmonary circulation. Congenital cystic pulmonary adenomatoid malformation represents a mass consisting of abnormal bronchiolar air spaces and a deficiency of functional alveoli. This is the case report of a 9-year-old girl with intermittent fever, left-sided chest pain, and cough for the past 15 days along with recurrent coughs since childhood suggestive of hybrid pulmonary sequestration, congenital cystic adenomatoid malformation, and dextrocardia.</p>\",\"PeriodicalId\":13727,\"journal\":{\"name\":\"International Journal of Applied and Basic Medical Research\",\"volume\":\"14 1\",\"pages\":\"67-69\"},\"PeriodicalIF\":0.8000,\"publicationDate\":\"2024-01-01\",\"publicationTypes\":\"Journal Article\",\"fieldsOfStudy\":null,\"isOpenAccess\":false,\"openAccessPdf\":\"https://www.ncbi.nlm.nih.gov/pmc/articles/PMC10947753/pdf/\",\"citationCount\":\"0\",\"resultStr\":null,\"platform\":\"Semanticscholar\",\"paperid\":null,\"PeriodicalName\":\"International Journal of Applied and Basic Medical Research\",\"FirstCategoryId\":\"1085\",\"ListUrlMain\":\"https://doi.org/10.4103/ijabmr.ijabmr_376_23\",\"RegionNum\":0,\"RegionCategory\":null,\"ArticlePicture\":[],\"TitleCN\":null,\"AbstractTextCN\":null,\"PMCID\":null,\"EPubDate\":\"2024/2/20 0:00:00\",\"PubModel\":\"Epub\",\"JCR\":\"Q3\",\"JCRName\":\"MEDICINE, GENERAL & INTERNAL\",\"Score\":null,\"Total\":0}","platform":"Semanticscholar","paperid":null,"PeriodicalName":"International Journal of Applied and Basic Medical Research","FirstCategoryId":"1085","ListUrlMain":"https://doi.org/10.4103/ijabmr.ijabmr_376_23","RegionNum":0,"RegionCategory":null,"ArticlePicture":[],"TitleCN":null,"AbstractTextCN":null,"PMCID":null,"EPubDate":"2024/2/20 0:00:00","PubModel":"Epub","JCR":"Q3","JCRName":"MEDICINE, GENERAL & INTERNAL","Score":null,"Total":0}
引用次数: 0

摘要

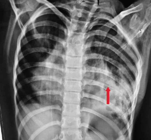
肺动脉闭塞症和囊性肺腺瘤样畸形是罕见的先天性肺囊性疾病。因此,在同一个人身上同时出现这两种疾病的情况非常罕见。肺封闭是一种无功能的肺组织肿块,其血液供应来自肺循环以外的全身血液供应。先天性囊性肺腺瘤样畸形是一种由异常支气管气室和功能性肺泡缺乏组成的肿块。本病例报告了一名 9 岁女孩的病例,她在过去 15 天里出现间歇性发热、左侧胸痛和咳嗽,并且自孩提时代起就反复咳嗽,这提示她患有混合性肺动脉栓塞、先天性肺囊样腺瘤畸形和右心室突出症。
本文章由计算机程序翻译,如有差异,请以英文原文为准。

Hybrid Pulmonary Sequestration, Cystic Pulmonary Adenomatoid Malformation, and Dextrocardia: A Triple Whammy.

Hybrid Pulmonary Sequestration, Cystic Pulmonary Adenomatoid Malformation, and Dextrocardia: A Triple Whammy.

Hybrid Pulmonary Sequestration, Cystic Pulmonary Adenomatoid Malformation, and Dextrocardia: A Triple Whammy.

Hybrid Pulmonary Sequestration, Cystic Pulmonary Adenomatoid Malformation, and Dextrocardia: A Triple Whammy.

Pulmonary sequestration and cystic pulmonary adenomatoid malformation are rare congenital cystic disorders of the lungs. The presence of both the diseases in the same individual is therefore very uncommon. Pulmonary sequestration is a nonfunctional pulmonary tissue mass that derives its blood supply from systemic blood supply other than pulmonary circulation. Congenital cystic pulmonary adenomatoid malformation represents a mass consisting of abnormal bronchiolar air spaces and a deficiency of functional alveoli. This is the case report of a 9-year-old girl with intermittent fever, left-sided chest pain, and cough for the past 15 days along with recurrent coughs since childhood suggestive of hybrid pulmonary sequestration, congenital cystic adenomatoid malformation, and dextrocardia.

求助全文
通过发布文献求助,成功后即可免费获取论文全文。 去求助
来源期刊
自引率
0.00%
发文量
46
×
引用
GB/T 7714-2015
复制
MLA
复制
APA
复制
导出至
BibTeX EndNote RefMan NoteFirst NoteExpress
×
提示
您的信息不完整,为了账户安全,请先补充。
现在去补充
×
提示
您因"违规操作"
具体请查看互助需知
我知道了
×
提示
确定
请完成安全验证×
copy
已复制链接
快去分享给好友吧!
我知道了
右上角分享
点击右上角分享
0
联系我们:info@booksci.cn Book学术提供免费学术资源搜索服务,方便国内外学者检索中英文文献。致力于提供最便捷和优质的服务体验。 Copyright © 2023 布克学术 All rights reserved.
京ICP备2023020795号-1
ghs 京公网安备 11010802042870号
Book学术文献互助
Book学术文献互助群
群 号:604180095
Book学术官方微信