胰腺髓样肉瘤导致阻塞性黄疸:病例报告与文献综述

IF 0.5 Q4 GASTROENTEROLOGY & HEPATOLOGY
Case Reports in Gastrointestinal Medicine Pub Date : 2024-03-11 eCollection Date: 2024-01-01 DOI:10.1155/2024/5513857
Laura E Lavette, Angela G Niehaus, Clancy J Clark, Jason D Conway, Girish Mishra, Darius A Jahann
{"title":"胰腺髓样肉瘤导致阻塞性黄疸:病例报告与文献综述","authors":"Laura E Lavette, Angela G Niehaus, Clancy J Clark, Jason D Conway, Girish Mishra, Darius A Jahann","doi":"10.1155/2024/5513857","DOIUrl":null,"url":null,"abstract":"<p><p>Myeloid sarcoma (MS) is an extramedullary manifestation of acute myeloid leukemia (AML) and commonly occurs in sites such as the lymph nodes, skin, soft tissues, and bone. It more rarely manifests in the pancreas, with less than 20 cases reported in the literature since 1987. Despite its rarity, MS should be considered in the differential diagnosis of a soft tissue mass causing obstructive jaundice, especially if the patient has a known hematologic disease. Isolated cases of pancreatic MS have been known to progress to AML; therefore, it is crucial to differentiate MS from more common diagnoses, such as pancreatic cancer or pancreatitis. This is a case of a 70-year-old male with symptomatic obstructive jaundice secondary to pancreatic MS, ultimately requiring endoscopic ultrasound (EUS) and endoscopic retrograde cholangiopancreatography (ERCP) for diagnosis and management. Also included is a comprehensive review of previous case reports with similar clinical presentations, management, and treatment of pancreatic MS.</p>","PeriodicalId":45645,"journal":{"name":"Case Reports in Gastrointestinal Medicine","volume":"2024 ","pages":"5513857"},"PeriodicalIF":0.5000,"publicationDate":"2024-03-11","publicationTypes":"Journal Article","fieldsOfStudy":null,"isOpenAccess":false,"openAccessPdf":"https://www.ncbi.nlm.nih.gov/pmc/articles/PMC10948221/pdf/","citationCount":"0","resultStr":"{\"title\":\"Pancreatic Myeloid Sarcoma Causing Obstructive Jaundice: A Case Report and Literature Review.\",\"authors\":\"Laura E Lavette, Angela G Niehaus, Clancy J Clark, Jason D Conway, Girish Mishra, Darius A Jahann\",\"doi\":\"10.1155/2024/5513857\",\"DOIUrl\":null,\"url\":null,\"abstract\":\"<p><p>Myeloid sarcoma (MS) is an extramedullary manifestation of acute myeloid leukemia (AML) and commonly occurs in sites such as the lymph nodes, skin, soft tissues, and bone. It more rarely manifests in the pancreas, with less than 20 cases reported in the literature since 1987. Despite its rarity, MS should be considered in the differential diagnosis of a soft tissue mass causing obstructive jaundice, especially if the patient has a known hematologic disease. Isolated cases of pancreatic MS have been known to progress to AML; therefore, it is crucial to differentiate MS from more common diagnoses, such as pancreatic cancer or pancreatitis. This is a case of a 70-year-old male with symptomatic obstructive jaundice secondary to pancreatic MS, ultimately requiring endoscopic ultrasound (EUS) and endoscopic retrograde cholangiopancreatography (ERCP) for diagnosis and management. Also included is a comprehensive review of previous case reports with similar clinical presentations, management, and treatment of pancreatic MS.</p>\",\"PeriodicalId\":45645,\"journal\":{\"name\":\"Case Reports in Gastrointestinal Medicine\",\"volume\":\"2024 \",\"pages\":\"5513857\"},\"PeriodicalIF\":0.5000,\"publicationDate\":\"2024-03-11\",\"publicationTypes\":\"Journal Article\",\"fieldsOfStudy\":null,\"isOpenAccess\":false,\"openAccessPdf\":\"https://www.ncbi.nlm.nih.gov/pmc/articles/PMC10948221/pdf/\",\"citationCount\":\"0\",\"resultStr\":null,\"platform\":\"Semanticscholar\",\"paperid\":null,\"PeriodicalName\":\"Case Reports in Gastrointestinal Medicine\",\"FirstCategoryId\":\"1085\",\"ListUrlMain\":\"https://doi.org/10.1155/2024/5513857\",\"RegionNum\":0,\"RegionCategory\":null,\"ArticlePicture\":[],\"TitleCN\":null,\"AbstractTextCN\":null,\"PMCID\":null,\"EPubDate\":\"2024/1/1 0:00:00\",\"PubModel\":\"eCollection\",\"JCR\":\"Q4\",\"JCRName\":\"GASTROENTEROLOGY & HEPATOLOGY\",\"Score\":null,\"Total\":0}","platform":"Semanticscholar","paperid":null,"PeriodicalName":"Case Reports in Gastrointestinal Medicine","FirstCategoryId":"1085","ListUrlMain":"https://doi.org/10.1155/2024/5513857","RegionNum":0,"RegionCategory":null,"ArticlePicture":[],"TitleCN":null,"AbstractTextCN":null,"PMCID":null,"EPubDate":"2024/1/1 0:00:00","PubModel":"eCollection","JCR":"Q4","JCRName":"GASTROENTEROLOGY & HEPATOLOGY","Score":null,"Total":0}
引用次数: 0

摘要

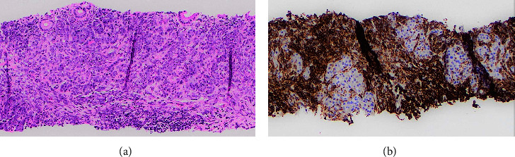
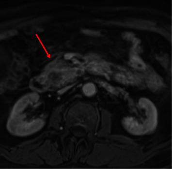
髓系肉瘤(MS)是急性髓系白血病(AML)的髓外表现,通常发生在淋巴结、皮肤、软组织和骨骼等部位。在胰腺中的表现更为罕见,自1987年以来,文献报道的病例不足20例。尽管 MS 很罕见,但在鉴别诊断引起阻塞性黄疸的软组织肿块时应考虑 MS,尤其是当患者患有已知的血液病时。已知胰腺多发性硬化的孤立病例可发展为急性髓细胞性白血病;因此,将多发性硬化与胰腺癌或胰腺炎等更常见的诊断相鉴别至关重要。这是一例 70 岁男性因胰腺多发性硬化继发症状性梗阻性黄疸的病例,最终需要通过内镜超声(EUS)和内镜逆行胰胆管造影(ERCP)进行诊断和治疗。该报告还全面回顾了以往类似胰腺多发性硬化症的临床表现、管理和治疗的病例报告。
本文章由计算机程序翻译,如有差异,请以英文原文为准。

Pancreatic Myeloid Sarcoma Causing Obstructive Jaundice: A Case Report and Literature Review.

Pancreatic Myeloid Sarcoma Causing Obstructive Jaundice: A Case Report and Literature Review.

Pancreatic Myeloid Sarcoma Causing Obstructive Jaundice: A Case Report and Literature Review.

Pancreatic Myeloid Sarcoma Causing Obstructive Jaundice: A Case Report and Literature Review.

Myeloid sarcoma (MS) is an extramedullary manifestation of acute myeloid leukemia (AML) and commonly occurs in sites such as the lymph nodes, skin, soft tissues, and bone. It more rarely manifests in the pancreas, with less than 20 cases reported in the literature since 1987. Despite its rarity, MS should be considered in the differential diagnosis of a soft tissue mass causing obstructive jaundice, especially if the patient has a known hematologic disease. Isolated cases of pancreatic MS have been known to progress to AML; therefore, it is crucial to differentiate MS from more common diagnoses, such as pancreatic cancer or pancreatitis. This is a case of a 70-year-old male with symptomatic obstructive jaundice secondary to pancreatic MS, ultimately requiring endoscopic ultrasound (EUS) and endoscopic retrograde cholangiopancreatography (ERCP) for diagnosis and management. Also included is a comprehensive review of previous case reports with similar clinical presentations, management, and treatment of pancreatic MS.

求助全文
通过发布文献求助,成功后即可免费获取论文全文。 去求助
来源期刊
Case Reports in Gastrointestinal Medicine
Case Reports in Gastrointestinal Medicine GASTROENTEROLOGY & HEPATOLOGY-
自引率
0.00%
发文量
33
审稿时长
14 weeks
×
引用
GB/T 7714-2015
复制
MLA
复制
APA
复制
导出至
BibTeX EndNote RefMan NoteFirst NoteExpress
×
提示
您的信息不完整,为了账户安全,请先补充。
现在去补充
×
提示
您因"违规操作"
具体请查看互助需知
我知道了
×
提示
确定
请完成安全验证×
copy
已复制链接
快去分享给好友吧!
我知道了
右上角分享
点击右上角分享
0
联系我们:info@booksci.cn Book学术提供免费学术资源搜索服务,方便国内外学者检索中英文文献。致力于提供最便捷和优质的服务体验。 Copyright © 2023 布克学术 All rights reserved.
京ICP备2023020795号-1
ghs 京公网安备 11010802042870号
Book学术文献互助
Book学术文献互助群
群 号:604180095
Book学术官方微信