成人肠系膜囊性淋巴管瘤:表现为急腹症的罕见病例--两例报告。

Q4 Medicine
Autopsy and Case Reports Pub Date : 2024-02-08 eCollection Date: 2024-01-01 DOI:10.4322/acr.2024.470
Tanvi Jha, Monika Sharma, Arvind Ahuja
{"title":"成人肠系膜囊性淋巴管瘤:表现为急腹症的罕见病例--两例报告。","authors":"Tanvi Jha, Monika Sharma, Arvind Ahuja","doi":"10.4322/acr.2024.470","DOIUrl":null,"url":null,"abstract":"<p><p>Lymphangiomas are rare benign tumors that mainly involve the head and neck region in pediatric patients. Lymphangiomas of the small bowel mesentery in adults are rarer. We present two cases of mesenteric lymphangioma with acute abdominal pain on presentation. Case 1: A 38-year-old female presented with abdominal pain, vomiting, fever, and difficult evacuation. On abdominal examination, she had an ill-defined, tender lump, and radiological findings raised a possibility of perforation peritonitis. Thus, exploratory laparotomy was planned. Per-operatively, a mesenteric mass was found, which, on histopathological evaluation, was found to be a mesenteric lymphangioma involving the bowel. Case 2: A 27-year-old male presented with abdominal pain and difficult evacuation. Radiological evaluation revealed a multilobulated lesion involving the mesentery and with differential diagnoses of mesenteric fibromatoses and inflammatory pseudotumor. Histopathological assessment of the resected mass revealed a lymphangioma that was limited to the mesentery. Owing to their rarity and non-specific presentation, mesenteric lymphangiomas are often misdiagnosed on clinical examination and imaging. Thus, histopathological examination is the gold standard to reach a definitive diagnosis.</p>","PeriodicalId":53117,"journal":{"name":"Autopsy and Case Reports","volume":"14 ","pages":"e2024470"},"PeriodicalIF":0.0000,"publicationDate":"2024-02-08","publicationTypes":"Journal Article","fieldsOfStudy":null,"isOpenAccess":false,"openAccessPdf":"https://www.ncbi.nlm.nih.gov/pmc/articles/PMC10927243/pdf/","citationCount":"0","resultStr":"{\"title\":\"Mesenteric cystic lymphangioma in adults: a rare entity presenting as acute abdomen - a report of two cases.\",\"authors\":\"Tanvi Jha, Monika Sharma, Arvind Ahuja\",\"doi\":\"10.4322/acr.2024.470\",\"DOIUrl\":null,\"url\":null,\"abstract\":\"<p><p>Lymphangiomas are rare benign tumors that mainly involve the head and neck region in pediatric patients. Lymphangiomas of the small bowel mesentery in adults are rarer. We present two cases of mesenteric lymphangioma with acute abdominal pain on presentation. Case 1: A 38-year-old female presented with abdominal pain, vomiting, fever, and difficult evacuation. On abdominal examination, she had an ill-defined, tender lump, and radiological findings raised a possibility of perforation peritonitis. Thus, exploratory laparotomy was planned. Per-operatively, a mesenteric mass was found, which, on histopathological evaluation, was found to be a mesenteric lymphangioma involving the bowel. Case 2: A 27-year-old male presented with abdominal pain and difficult evacuation. Radiological evaluation revealed a multilobulated lesion involving the mesentery and with differential diagnoses of mesenteric fibromatoses and inflammatory pseudotumor. Histopathological assessment of the resected mass revealed a lymphangioma that was limited to the mesentery. Owing to their rarity and non-specific presentation, mesenteric lymphangiomas are often misdiagnosed on clinical examination and imaging. Thus, histopathological examination is the gold standard to reach a definitive diagnosis.</p>\",\"PeriodicalId\":53117,\"journal\":{\"name\":\"Autopsy and Case Reports\",\"volume\":\"14 \",\"pages\":\"e2024470\"},\"PeriodicalIF\":0.0000,\"publicationDate\":\"2024-02-08\",\"publicationTypes\":\"Journal Article\",\"fieldsOfStudy\":null,\"isOpenAccess\":false,\"openAccessPdf\":\"https://www.ncbi.nlm.nih.gov/pmc/articles/PMC10927243/pdf/\",\"citationCount\":\"0\",\"resultStr\":null,\"platform\":\"Semanticscholar\",\"paperid\":null,\"PeriodicalName\":\"Autopsy and Case Reports\",\"FirstCategoryId\":\"1085\",\"ListUrlMain\":\"https://doi.org/10.4322/acr.2024.470\",\"RegionNum\":0,\"RegionCategory\":null,\"ArticlePicture\":[],\"TitleCN\":null,\"AbstractTextCN\":null,\"PMCID\":null,\"EPubDate\":\"2024/1/1 0:00:00\",\"PubModel\":\"eCollection\",\"JCR\":\"Q4\",\"JCRName\":\"Medicine\",\"Score\":null,\"Total\":0}","platform":"Semanticscholar","paperid":null,"PeriodicalName":"Autopsy and Case Reports","FirstCategoryId":"1085","ListUrlMain":"https://doi.org/10.4322/acr.2024.470","RegionNum":0,"RegionCategory":null,"ArticlePicture":[],"TitleCN":null,"AbstractTextCN":null,"PMCID":null,"EPubDate":"2024/1/1 0:00:00","PubModel":"eCollection","JCR":"Q4","JCRName":"Medicine","Score":null,"Total":0}
引用次数: 0

摘要

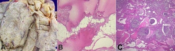
淋巴管瘤是一种罕见的良性肿瘤,主要累及儿童患者的头颈部。成人小肠系膜淋巴管瘤更为罕见。我们为大家介绍两例肠系膜淋巴管瘤患者,患者发病时伴有急性腹痛。病例 1:一名 38 岁女性,因腹痛、呕吐、发热和排便困难就诊。腹部检查时,她发现了一个界限不清、有触痛的肿块,放射学检查结果显示可能是穿孔性腹膜炎。因此,医生计划进行剖腹探查术。术中发现了一个肠系膜肿块,经组织病理学评估,发现这是一个累及肠系膜的淋巴管瘤。病例 2:一名 27 岁的男性因腹痛和排便困难前来就诊。放射学评估显示,病变累及肠系膜,可鉴别诊断为肠系膜纤维瘤和炎性假瘤。切除肿块的组织病理学评估显示,这是一种局限于肠系膜的淋巴管瘤。由于其罕见性和非特异性表现,肠系膜淋巴管瘤常常在临床检查和影像学检查中被误诊。因此,组织病理学检查是明确诊断的金标准。
本文章由计算机程序翻译,如有差异,请以英文原文为准。

Mesenteric cystic lymphangioma in adults: a rare entity presenting as acute abdomen - a report of two cases.

Mesenteric cystic lymphangioma in adults: a rare entity presenting as acute abdomen - a report of two cases.

Mesenteric cystic lymphangioma in adults: a rare entity presenting as acute abdomen - a report of two cases.

Mesenteric cystic lymphangioma in adults: a rare entity presenting as acute abdomen - a report of two cases.

Lymphangiomas are rare benign tumors that mainly involve the head and neck region in pediatric patients. Lymphangiomas of the small bowel mesentery in adults are rarer. We present two cases of mesenteric lymphangioma with acute abdominal pain on presentation. Case 1: A 38-year-old female presented with abdominal pain, vomiting, fever, and difficult evacuation. On abdominal examination, she had an ill-defined, tender lump, and radiological findings raised a possibility of perforation peritonitis. Thus, exploratory laparotomy was planned. Per-operatively, a mesenteric mass was found, which, on histopathological evaluation, was found to be a mesenteric lymphangioma involving the bowel. Case 2: A 27-year-old male presented with abdominal pain and difficult evacuation. Radiological evaluation revealed a multilobulated lesion involving the mesentery and with differential diagnoses of mesenteric fibromatoses and inflammatory pseudotumor. Histopathological assessment of the resected mass revealed a lymphangioma that was limited to the mesentery. Owing to their rarity and non-specific presentation, mesenteric lymphangiomas are often misdiagnosed on clinical examination and imaging. Thus, histopathological examination is the gold standard to reach a definitive diagnosis.

求助全文
通过发布文献求助,成功后即可免费获取论文全文。 去求助
来源期刊
Autopsy and Case Reports
Autopsy and Case Reports Medicine-Internal Medicine
CiteScore
1.20
自引率
0.00%
发文量
60
审稿时长
9 weeks
×
引用
GB/T 7714-2015
复制
MLA
复制
APA
复制
导出至
BibTeX EndNote RefMan NoteFirst NoteExpress
×
提示
您的信息不完整,为了账户安全,请先补充。
现在去补充
×
提示
您因"违规操作"
具体请查看互助需知
我知道了
×
提示
确定
请完成安全验证×
copy
已复制链接
快去分享给好友吧!
我知道了
右上角分享
点击右上角分享
0
联系我们:info@booksci.cn Book学术提供免费学术资源搜索服务,方便国内外学者检索中英文文献。致力于提供最便捷和优质的服务体验。 Copyright © 2023 布克学术 All rights reserved.
京ICP备2023020795号-1
ghs 京公网安备 11010802042870号
Book学术文献互助
Book学术文献互助群
群 号:604180095
Book学术官方微信