反复气管插管后的阻塞性纤维蛋白气管假膜

IF 3.4 Q2 HEALTH CARE SCIENCES & SERVICES
Drug, Healthcare and Patient Safety Pub Date : 2024-03-06 eCollection Date: 2024-01-01 DOI:10.2147/DHPS.S438510
Wei Tang, Wenlai Zhou, Xiangde Zheng
{"title":"反复气管插管后的阻塞性纤维蛋白气管假膜","authors":"Wei Tang, Wenlai Zhou, Xiangde Zheng","doi":"10.2147/DHPS.S438510","DOIUrl":null,"url":null,"abstract":"<p><p>Obstructive fibrinous tracheal pseudomembrane (OFTP) is a relatively rare complication of endotracheal intubation. Despite being well documented, the exact pathogenesis of OFTP remains unclear. Some studies suggest that it may arise from the early stage of ischemic tracheal wall injury caused by the cuff pressure during intubation. Diagnosis and treatment of OFTP can be facilitated through therapeutic bronchoscopy. In this case report, we describe a patient who presented with dyspnea following repeated intratracheal interventions and was diagnosed with OFTP. The patient was successfully treated with bronchoscopic cryotherapy and was subsequently discharged from the hospital.</p>","PeriodicalId":11377,"journal":{"name":"Drug, Healthcare and Patient Safety","volume":"16 ","pages":"29-33"},"PeriodicalIF":3.4000,"publicationDate":"2024-03-06","publicationTypes":"Journal Article","fieldsOfStudy":null,"isOpenAccess":false,"openAccessPdf":"https://www.ncbi.nlm.nih.gov/pmc/articles/PMC10927874/pdf/","citationCount":"0","resultStr":"{\"title\":\"Obstructive Fibrinous Tracheal Pseudomembrane Following Repeated Intratracheal Interventions.\",\"authors\":\"Wei Tang, Wenlai Zhou, Xiangde Zheng\",\"doi\":\"10.2147/DHPS.S438510\",\"DOIUrl\":null,\"url\":null,\"abstract\":\"<p><p>Obstructive fibrinous tracheal pseudomembrane (OFTP) is a relatively rare complication of endotracheal intubation. Despite being well documented, the exact pathogenesis of OFTP remains unclear. Some studies suggest that it may arise from the early stage of ischemic tracheal wall injury caused by the cuff pressure during intubation. Diagnosis and treatment of OFTP can be facilitated through therapeutic bronchoscopy. In this case report, we describe a patient who presented with dyspnea following repeated intratracheal interventions and was diagnosed with OFTP. The patient was successfully treated with bronchoscopic cryotherapy and was subsequently discharged from the hospital.</p>\",\"PeriodicalId\":11377,\"journal\":{\"name\":\"Drug, Healthcare and Patient Safety\",\"volume\":\"16 \",\"pages\":\"29-33\"},\"PeriodicalIF\":3.4000,\"publicationDate\":\"2024-03-06\",\"publicationTypes\":\"Journal Article\",\"fieldsOfStudy\":null,\"isOpenAccess\":false,\"openAccessPdf\":\"https://www.ncbi.nlm.nih.gov/pmc/articles/PMC10927874/pdf/\",\"citationCount\":\"0\",\"resultStr\":null,\"platform\":\"Semanticscholar\",\"paperid\":null,\"PeriodicalName\":\"Drug, Healthcare and Patient Safety\",\"FirstCategoryId\":\"1085\",\"ListUrlMain\":\"https://doi.org/10.2147/DHPS.S438510\",\"RegionNum\":0,\"RegionCategory\":null,\"ArticlePicture\":[],\"TitleCN\":null,\"AbstractTextCN\":null,\"PMCID\":null,\"EPubDate\":\"2024/1/1 0:00:00\",\"PubModel\":\"eCollection\",\"JCR\":\"Q2\",\"JCRName\":\"HEALTH CARE SCIENCES & SERVICES\",\"Score\":null,\"Total\":0}","platform":"Semanticscholar","paperid":null,"PeriodicalName":"Drug, Healthcare and Patient Safety","FirstCategoryId":"1085","ListUrlMain":"https://doi.org/10.2147/DHPS.S438510","RegionNum":0,"RegionCategory":null,"ArticlePicture":[],"TitleCN":null,"AbstractTextCN":null,"PMCID":null,"EPubDate":"2024/1/1 0:00:00","PubModel":"eCollection","JCR":"Q2","JCRName":"HEALTH CARE SCIENCES & SERVICES","Score":null,"Total":0}
引用次数: 0

摘要

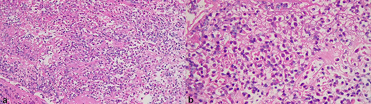
阻塞性纤维蛋白气管假膜(OFTP)是气管内插管时一种相对罕见的并发症。尽管已有大量文献记载,但气管阻塞性纤维蛋白假膜的确切发病机制仍不清楚。一些研究表明,它可能源于插管时袖带压力导致的早期气管壁缺血性损伤。通过治疗性支气管镜可以帮助诊断和治疗 OFTP。在本病例报告中,我们描述了一名反复气管插管后出现呼吸困难并被诊断为 OFTP 的患者。患者成功接受了支气管镜冷冻治疗,随后康复出院。
本文章由计算机程序翻译,如有差异,请以英文原文为准。

Obstructive Fibrinous Tracheal Pseudomembrane Following Repeated Intratracheal Interventions.

Obstructive Fibrinous Tracheal Pseudomembrane Following Repeated Intratracheal Interventions.

Obstructive Fibrinous Tracheal Pseudomembrane Following Repeated Intratracheal Interventions.

Obstructive Fibrinous Tracheal Pseudomembrane Following Repeated Intratracheal Interventions.

Obstructive fibrinous tracheal pseudomembrane (OFTP) is a relatively rare complication of endotracheal intubation. Despite being well documented, the exact pathogenesis of OFTP remains unclear. Some studies suggest that it may arise from the early stage of ischemic tracheal wall injury caused by the cuff pressure during intubation. Diagnosis and treatment of OFTP can be facilitated through therapeutic bronchoscopy. In this case report, we describe a patient who presented with dyspnea following repeated intratracheal interventions and was diagnosed with OFTP. The patient was successfully treated with bronchoscopic cryotherapy and was subsequently discharged from the hospital.

求助全文
通过发布文献求助,成功后即可免费获取论文全文。 去求助
来源期刊
Drug, Healthcare and Patient Safety
Drug, Healthcare and Patient Safety HEALTH CARE SCIENCES & SERVICES-
CiteScore
4.10
自引率
0.00%
发文量
24
审稿时长
16 weeks
×
引用
GB/T 7714-2015
复制
MLA
复制
APA
复制
导出至
BibTeX EndNote RefMan NoteFirst NoteExpress
×
提示
您的信息不完整,为了账户安全,请先补充。
现在去补充
×
提示
您因"违规操作"
具体请查看互助需知
我知道了
×
提示
确定
请完成安全验证×
copy
已复制链接
快去分享给好友吧!
我知道了
右上角分享
点击右上角分享
0
联系我们:info@booksci.cn Book学术提供免费学术资源搜索服务,方便国内外学者检索中英文文献。致力于提供最便捷和优质的服务体验。 Copyright © 2023 布克学术 All rights reserved.
京ICP备2023020795号-1
ghs 京公网安备 11010802042870号
Book学术文献互助
Book学术文献互助群
群 号:604180095
Book学术官方微信