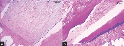
绵羊模型中未成熟牙齿的牙髓形态测量参数,经过机械牙髓暴露和强化氧化锌-丁香酚修复后的牙髓形态测量参数。

Q2 Dentistry
Dental Research Journal Pub Date : 2024-02-22 eCollection Date: 2024-01-01
Eshaghali Saberi, Zahra Heidari, Hamidreza Mahmoudzadeh-Sagheb, Mahdieh Narouei, Lida Jafari, Alireza Mahmoudzadeh-Sagheb, Mahmoud Saadatian
{"title":"绵羊模型中未成熟牙齿的牙髓形态测量参数,经过机械牙髓暴露和强化氧化锌-丁香酚修复后的牙髓形态测量参数。","authors":"Eshaghali Saberi, Zahra Heidari, Hamidreza Mahmoudzadeh-Sagheb, Mahdieh Narouei, Lida Jafari, Alireza Mahmoudzadeh-Sagheb, Mahmoud Saadatian","doi":"","DOIUrl":null,"url":null,"abstract":"<p><strong>Background: </strong>The aim of the study was to investigate the morphometric parameters of dental pulp in open apices immature teeth in a sheep model after mechanical pulp exposure and restoration with reinforced zinc oxide-eugenol.</p><p><strong>Materials and methods: </strong>In this experimental study, a total of 12 immature mandibular central incisors from six adult male sheep, weighing 30-40 kg and with the age of 1 year old with Merino race were examined. After anesthesia, the pulps of the teeth in the case group were mechanically exposed and then were restored with reinforced zinc oxide-eugenol and amalgam. In the control group, the teeth remained intact. The animals were sacrificed at intervals of 2, 4, 6, and 8 weeks (E2, E4, E6, and E8) in the case and 2 and 8 weeks (C2 and C8) in the control groups. Then, their teeth were removed with the surrounding supporting tissues and alveolar bones. Tissue processing and staining were done, and the sections were examined under a light microscope. The Kruskal-Wallis and Mann-Whitney <i>U</i> tests were used to analyze the data and compare the changes between the two groups. <i>P</i> < 0.05 was considered statistically significant.</p><p><strong>Results: </strong>In response to mechanical exposure, reparative or tertiary dentin was formed, and its thickness increased during the time of the study. The thickness of the odontoblastic layer in the E4 group was the highest amount. The pulp chamber diameter in the C2 group was significantly larger than the other groups, and the diameter of the apical foramen in the E8 was decreased significantly compared to the controls (<i>P</i> < 0.05).</p><p><strong>Conclusion: </strong>In response to mechanical exposure and restoration with reinforced zinc oxide-eugenol, some morphometric parameters of the dental pulp changed significantly in the sheep model compared to the controls.</p>","PeriodicalId":11016,"journal":{"name":"Dental Research Journal","volume":"21 ","pages":"17"},"PeriodicalIF":0.0000,"publicationDate":"2024-02-22","publicationTypes":"Journal Article","fieldsOfStudy":null,"isOpenAccess":false,"openAccessPdf":"https://www.ncbi.nlm.nih.gov/pmc/articles/PMC10929729/pdf/","citationCount":"0","resultStr":"{\"title\":\"Morphometric parameters of dental pulp in immature teeth in a sheep model after mechanical pulp exposure and restoration with reinforced zinc oxide-eugenol.\",\"authors\":\"Eshaghali Saberi, Zahra Heidari, Hamidreza Mahmoudzadeh-Sagheb, Mahdieh Narouei, Lida Jafari, Alireza Mahmoudzadeh-Sagheb, Mahmoud Saadatian\",\"doi\":\"\",\"DOIUrl\":null,\"url\":null,\"abstract\":\"<p><strong>Background: </strong>The aim of the study was to investigate the morphometric parameters of dental pulp in open apices immature teeth in a sheep model after mechanical pulp exposure and restoration with reinforced zinc oxide-eugenol.</p><p><strong>Materials and methods: </strong>In this experimental study, a total of 12 immature mandibular central incisors from six adult male sheep, weighing 30-40 kg and with the age of 1 year old with Merino race were examined. After anesthesia, the pulps of the teeth in the case group were mechanically exposed and then were restored with reinforced zinc oxide-eugenol and amalgam. In the control group, the teeth remained intact. The animals were sacrificed at intervals of 2, 4, 6, and 8 weeks (E2, E4, E6, and E8) in the case and 2 and 8 weeks (C2 and C8) in the control groups. Then, their teeth were removed with the surrounding supporting tissues and alveolar bones. Tissue processing and staining were done, and the sections were examined under a light microscope. The Kruskal-Wallis and Mann-Whitney <i>U</i> tests were used to analyze the data and compare the changes between the two groups. <i>P</i> < 0.05 was considered statistically significant.</p><p><strong>Results: </strong>In response to mechanical exposure, reparative or tertiary dentin was formed, and its thickness increased during the time of the study. The thickness of the odontoblastic layer in the E4 group was the highest amount. The pulp chamber diameter in the C2 group was significantly larger than the other groups, and the diameter of the apical foramen in the E8 was decreased significantly compared to the controls (<i>P</i> < 0.05).</p><p><strong>Conclusion: </strong>In response to mechanical exposure and restoration with reinforced zinc oxide-eugenol, some morphometric parameters of the dental pulp changed significantly in the sheep model compared to the controls.</p>\",\"PeriodicalId\":11016,\"journal\":{\"name\":\"Dental Research Journal\",\"volume\":\"21 \",\"pages\":\"17\"},\"PeriodicalIF\":0.0000,\"publicationDate\":\"2024-02-22\",\"publicationTypes\":\"Journal Article\",\"fieldsOfStudy\":null,\"isOpenAccess\":false,\"openAccessPdf\":\"https://www.ncbi.nlm.nih.gov/pmc/articles/PMC10929729/pdf/\",\"citationCount\":\"0\",\"resultStr\":null,\"platform\":\"Semanticscholar\",\"paperid\":null,\"PeriodicalName\":\"Dental Research Journal\",\"FirstCategoryId\":\"1085\",\"ListUrlMain\":\"\",\"RegionNum\":0,\"RegionCategory\":null,\"ArticlePicture\":[],\"TitleCN\":null,\"AbstractTextCN\":null,\"PMCID\":null,\"EPubDate\":\"2024/1/1 0:00:00\",\"PubModel\":\"eCollection\",\"JCR\":\"Q2\",\"JCRName\":\"Dentistry\",\"Score\":null,\"Total\":0}","platform":"Semanticscholar","paperid":null,"PeriodicalName":"Dental Research Journal","FirstCategoryId":"1085","ListUrlMain":"","RegionNum":0,"RegionCategory":null,"ArticlePicture":[],"TitleCN":null,"AbstractTextCN":null,"PMCID":null,"EPubDate":"2024/1/1 0:00:00","PubModel":"eCollection","JCR":"Q2","JCRName":"Dentistry","Score":null,"Total":0}
引用次数: 0

摘要

背景:该研究的目的是调查绵羊模型中开尖未成熟牙齿在机械牙髓暴露和强化氧化锌-丁香酚修复后的牙髓形态参数:在本实验研究中,共检查了 6 只成年雄性绵羊的 12 颗未成熟下颌中切牙,这些绵羊体重 30-40 千克,年龄为 1 岁,均为美利奴种。麻醉后,对病例组牙齿的牙髓进行机械暴露,然后用强化氧化锌-丁香酚和汞合金进行修复。对照组的牙齿保持完好。病例组的动物在每隔 2、4、6 和 8 周(E2、E4、E6 和 E8),对照组的动物在每隔 2 和 8 周(C2 和 C8)时被处死。然后,拔除他们的牙齿及其周围的支持组织和牙槽骨。进行组织处理和染色,并在光学显微镜下观察切片。采用 Kruskal-Wallis 和 Mann-Whitney U 检验分析数据,比较两组之间的变化。P<0.05为差异有统计学意义:在机械暴露的作用下,修复性牙本质或三级牙本质形成,其厚度在研究期间有所增加。E4 组的牙本质层厚度最大。C2组的牙髓腔直径明显大于其他组,E8组的根尖孔直径明显小于对照组(P < 0.05):结论:与对照组相比,在机械暴露和强化氧化锌-丁香酚修复的作用下,绵羊模型牙髓的一些形态参数发生了明显变化。
本文章由计算机程序翻译,如有差异,请以英文原文为准。

Morphometric parameters of dental pulp in immature teeth in a sheep model after mechanical pulp exposure and restoration with reinforced zinc oxide-eugenol.

Morphometric parameters of dental pulp in immature teeth in a sheep model after mechanical pulp exposure and restoration with reinforced zinc oxide-eugenol.

Morphometric parameters of dental pulp in immature teeth in a sheep model after mechanical pulp exposure and restoration with reinforced zinc oxide-eugenol.

Morphometric parameters of dental pulp in immature teeth in a sheep model after mechanical pulp exposure and restoration with reinforced zinc oxide-eugenol.

Background: The aim of the study was to investigate the morphometric parameters of dental pulp in open apices immature teeth in a sheep model after mechanical pulp exposure and restoration with reinforced zinc oxide-eugenol.

Materials and methods: In this experimental study, a total of 12 immature mandibular central incisors from six adult male sheep, weighing 30-40 kg and with the age of 1 year old with Merino race were examined. After anesthesia, the pulps of the teeth in the case group were mechanically exposed and then were restored with reinforced zinc oxide-eugenol and amalgam. In the control group, the teeth remained intact. The animals were sacrificed at intervals of 2, 4, 6, and 8 weeks (E2, E4, E6, and E8) in the case and 2 and 8 weeks (C2 and C8) in the control groups. Then, their teeth were removed with the surrounding supporting tissues and alveolar bones. Tissue processing and staining were done, and the sections were examined under a light microscope. The Kruskal-Wallis and Mann-Whitney U tests were used to analyze the data and compare the changes between the two groups. P < 0.05 was considered statistically significant.

Results: In response to mechanical exposure, reparative or tertiary dentin was formed, and its thickness increased during the time of the study. The thickness of the odontoblastic layer in the E4 group was the highest amount. The pulp chamber diameter in the C2 group was significantly larger than the other groups, and the diameter of the apical foramen in the E8 was decreased significantly compared to the controls (P < 0.05).

Conclusion: In response to mechanical exposure and restoration with reinforced zinc oxide-eugenol, some morphometric parameters of the dental pulp changed significantly in the sheep model compared to the controls.

求助全文
通过发布文献求助,成功后即可免费获取论文全文。 去求助
来源期刊
Dental Research Journal
Dental Research Journal Dentistry-Dentistry (all)
CiteScore
1.70
自引率
0.00%
发文量
70
审稿时长
52 weeks
期刊介绍: Dental Research Journal, a publication of Isfahan University of Medical Sciences, is a peer-reviewed online journal with Bimonthly print on demand compilation of issues published. The journal’s full text is available online at http://www.drjjournal.net. The journal allows free access (Open Access) to its contents and permits authors to self-archive final accepted version of the articles on any OAI-compliant institutional / subject-based repository. The journal will cover technical and clinical studies related to health, ethical and social issues in field of Dentistry. Articles with clinical interest and implications will be given preference.
×
引用
GB/T 7714-2015
复制
MLA
复制
APA
复制
导出至
BibTeX EndNote RefMan NoteFirst NoteExpress
×
提示
您的信息不完整,为了账户安全,请先补充。
现在去补充
×
提示
您因"违规操作"
具体请查看互助需知
我知道了
×
提示
确定
请完成安全验证×
copy
已复制链接
快去分享给好友吧!
我知道了
右上角分享
点击右上角分享
0
联系我们:info@booksci.cn Book学术提供免费学术资源搜索服务,方便国内外学者检索中英文文献。致力于提供最便捷和优质的服务体验。 Copyright © 2023 布克学术 All rights reserved.
京ICP备2023020795号-1
ghs 京公网安备 11010802042870号
Book学术文献互助
Book学术文献互助群
群 号:604180095
Book学术官方微信