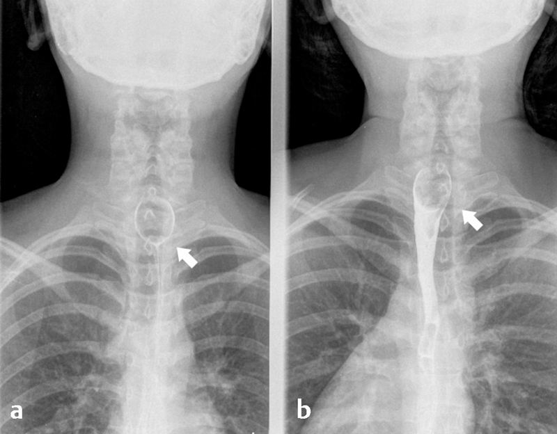
食管子宫肌瘤:病例报告

IF 1.6 Q3 RADIOLOGY, NUCLEAR MEDICINE & MEDICAL IMAGING
Ultrasound International Open Pub Date : 2024-02-08 eCollection Date: 2024-01-01 DOI:10.1055/a-2221-6110
Olga Kharlamova, Maksym Zhayvoronok
{"title":"食管子宫肌瘤:病例报告","authors":"Olga Kharlamova, Maksym Zhayvoronok","doi":"10.1055/a-2221-6110","DOIUrl":null,"url":null,"abstract":"","PeriodicalId":44852,"journal":{"name":"Ultrasound International Open","volume":"10 ","pages":"a22216110"},"PeriodicalIF":1.6000,"publicationDate":"2024-02-08","publicationTypes":"Journal Article","fieldsOfStudy":null,"isOpenAccess":false,"openAccessPdf":"https://www.ncbi.nlm.nih.gov/pmc/articles/PMC10921369/pdf/","citationCount":"0","resultStr":"{\"title\":\"Esophageal Leiomyoma: Case Report.\",\"authors\":\"Olga Kharlamova, Maksym Zhayvoronok\",\"doi\":\"10.1055/a-2221-6110\",\"DOIUrl\":null,\"url\":null,\"abstract\":\"\",\"PeriodicalId\":44852,\"journal\":{\"name\":\"Ultrasound International Open\",\"volume\":\"10 \",\"pages\":\"a22216110\"},\"PeriodicalIF\":1.6000,\"publicationDate\":\"2024-02-08\",\"publicationTypes\":\"Journal Article\",\"fieldsOfStudy\":null,\"isOpenAccess\":false,\"openAccessPdf\":\"https://www.ncbi.nlm.nih.gov/pmc/articles/PMC10921369/pdf/\",\"citationCount\":\"0\",\"resultStr\":null,\"platform\":\"Semanticscholar\",\"paperid\":null,\"PeriodicalName\":\"Ultrasound International Open\",\"FirstCategoryId\":\"1085\",\"ListUrlMain\":\"https://doi.org/10.1055/a-2221-6110\",\"RegionNum\":0,\"RegionCategory\":null,\"ArticlePicture\":[],\"TitleCN\":null,\"AbstractTextCN\":null,\"PMCID\":null,\"EPubDate\":\"2024/1/1 0:00:00\",\"PubModel\":\"eCollection\",\"JCR\":\"Q3\",\"JCRName\":\"RADIOLOGY, NUCLEAR MEDICINE & MEDICAL IMAGING\",\"Score\":null,\"Total\":0}","platform":"Semanticscholar","paperid":null,"PeriodicalName":"Ultrasound International Open","FirstCategoryId":"1085","ListUrlMain":"https://doi.org/10.1055/a-2221-6110","RegionNum":0,"RegionCategory":null,"ArticlePicture":[],"TitleCN":null,"AbstractTextCN":null,"PMCID":null,"EPubDate":"2024/1/1 0:00:00","PubModel":"eCollection","JCR":"Q3","JCRName":"RADIOLOGY, NUCLEAR MEDICINE & MEDICAL IMAGING","Score":null,"Total":0}
引用次数: 0

摘要

本文章由计算机程序翻译,如有差异,请以英文原文为准。

Esophageal Leiomyoma: Case Report.

Esophageal Leiomyoma: Case Report.

Esophageal Leiomyoma: Case Report.

Esophageal Leiomyoma: Case Report.
求助全文
通过发布文献求助,成功后即可免费获取论文全文。 去求助
来源期刊
Ultrasound International Open
Ultrasound International Open RADIOLOGY, NUCLEAR MEDICINE & MEDICAL IMAGING-
CiteScore
3.00
自引率
0.00%
发文量
7
审稿时长
12 weeks
×
引用
GB/T 7714-2015
复制
MLA
复制
APA
复制
导出至
BibTeX EndNote RefMan NoteFirst NoteExpress
×
提示
您的信息不完整,为了账户安全,请先补充。
现在去补充
×
提示
您因"违规操作"
具体请查看互助需知
我知道了
×
提示
确定
请完成安全验证×
copy
已复制链接
快去分享给好友吧!
我知道了
右上角分享
点击右上角分享
0
联系我们:info@booksci.cn Book学术提供免费学术资源搜索服务,方便国内外学者检索中英文文献。致力于提供最便捷和优质的服务体验。 Copyright © 2023 布克学术 All rights reserved.
京ICP备2023020795号-1
ghs 京公网安备 11010802042870号
Book学术文献互助
Book学术文献互助群
群 号:604180095
Book学术官方微信