[隐球菌脑膜炎伴有脑积水的免疫功能正常患者]。

IF 0.6
Julián Castro Castro, María Dolores Díaz López
{"title":"[隐球菌脑膜炎伴有脑积水的免疫功能正常患者]。","authors":"Julián Castro Castro, María Dolores Díaz López","doi":"10.23938/ASSN.1067","DOIUrl":null,"url":null,"abstract":"<p><p>Cryptococcal meningitis is an infrequent infection with high morbidity and mortality. Its presentation in immunocompetent patients is rare. We present the case of a 67-year-old male who was admitted for subacute symptoms of gait disturbance and urinary incontinence. Neurological examination revealed inability to stand and memory impairment. Cranial imaging showed obstructive tetraventricular hydrocephalus with areas of gliosis in the cerebellar peduncles. Endoscopic treatment of hydrocephalus was performed and cerebrospinal fluid samples taken revealing the growth of Cryptococcus neoformans. The patient improved with the endoscopic treatment and after completing intravenous antifungal therapy with liposomal amphotericin B and fluconazole for ten weeks. Antifungals are used to treat cryptococcal meningitis in immunocompetent patients. On rare occasions, it presents with hydrocephalus, a situation that requires surgical treatment using cerebrospinal fluid diversions or endoscopic techniques.</p>","PeriodicalId":500996,"journal":{"name":"Anales del sistema sanitario de Navarra","volume":"47 1","pages":""},"PeriodicalIF":0.6000,"publicationDate":"2024-03-07","publicationTypes":"Journal Article","fieldsOfStudy":null,"isOpenAccess":false,"openAccessPdf":"https://www.ncbi.nlm.nih.gov/pmc/articles/PMC10933692/pdf/","citationCount":"0","resultStr":"{\"title\":\"[Cryptococcal meningitis associated with hydrocephalus in an immunocompetent patient].\",\"authors\":\"Julián Castro Castro, María Dolores Díaz López\",\"doi\":\"10.23938/ASSN.1067\",\"DOIUrl\":null,\"url\":null,\"abstract\":\"<p><p>Cryptococcal meningitis is an infrequent infection with high morbidity and mortality. Its presentation in immunocompetent patients is rare. We present the case of a 67-year-old male who was admitted for subacute symptoms of gait disturbance and urinary incontinence. Neurological examination revealed inability to stand and memory impairment. Cranial imaging showed obstructive tetraventricular hydrocephalus with areas of gliosis in the cerebellar peduncles. Endoscopic treatment of hydrocephalus was performed and cerebrospinal fluid samples taken revealing the growth of Cryptococcus neoformans. The patient improved with the endoscopic treatment and after completing intravenous antifungal therapy with liposomal amphotericin B and fluconazole for ten weeks. Antifungals are used to treat cryptococcal meningitis in immunocompetent patients. On rare occasions, it presents with hydrocephalus, a situation that requires surgical treatment using cerebrospinal fluid diversions or endoscopic techniques.</p>\",\"PeriodicalId\":500996,\"journal\":{\"name\":\"Anales del sistema sanitario de Navarra\",\"volume\":\"47 1\",\"pages\":\"\"},\"PeriodicalIF\":0.6000,\"publicationDate\":\"2024-03-07\",\"publicationTypes\":\"Journal Article\",\"fieldsOfStudy\":null,\"isOpenAccess\":false,\"openAccessPdf\":\"https://www.ncbi.nlm.nih.gov/pmc/articles/PMC10933692/pdf/\",\"citationCount\":\"0\",\"resultStr\":null,\"platform\":\"Semanticscholar\",\"paperid\":null,\"PeriodicalName\":\"Anales del sistema sanitario de Navarra\",\"FirstCategoryId\":\"1085\",\"ListUrlMain\":\"https://doi.org/10.23938/ASSN.1067\",\"RegionNum\":0,\"RegionCategory\":null,\"ArticlePicture\":[],\"TitleCN\":null,\"AbstractTextCN\":null,\"PMCID\":null,\"EPubDate\":\"\",\"PubModel\":\"\",\"JCR\":\"\",\"JCRName\":\"\",\"Score\":null,\"Total\":0}","platform":"Semanticscholar","paperid":null,"PeriodicalName":"Anales del sistema sanitario de Navarra","FirstCategoryId":"1085","ListUrlMain":"https://doi.org/10.23938/ASSN.1067","RegionNum":0,"RegionCategory":null,"ArticlePicture":[],"TitleCN":null,"AbstractTextCN":null,"PMCID":null,"EPubDate":"","PubModel":"","JCR":"","JCRName":"","Score":null,"Total":0}
引用次数: 0

摘要

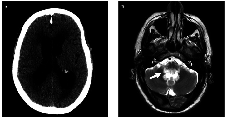
隐球菌脑膜炎是一种不常见的感染,发病率和死亡率都很高。在免疫功能正常的患者中发病十分罕见。我们介绍了一例 67 岁男性患者的病例,他因步态障碍和尿失禁的亚急性症状入院。神经系统检查显示他无法站立,记忆力受损。头颅造影显示梗阻性四室脑积水,小脑脚有神经胶质增生区域。对脑积水进行了内窥镜治疗,并采集了脑脊液样本,结果显示有新生隐球菌生长。经过内窥镜治疗,并使用两性霉素 B 脂质体和氟康唑进行为期十周的静脉抗真菌治疗后,患者病情有所好转。抗真菌药物可用于治疗免疫功能正常患者的隐球菌性脑膜炎。在极少数情况下,它会出现脑积水,这种情况需要使用脑脊液引流或内窥镜技术进行手术治疗。
本文章由计算机程序翻译,如有差异,请以英文原文为准。

[Cryptococcal meningitis associated with hydrocephalus in an immunocompetent patient].

[Cryptococcal meningitis associated with hydrocephalus in an immunocompetent patient].

[Cryptococcal meningitis associated with hydrocephalus in an immunocompetent patient].

Cryptococcal meningitis is an infrequent infection with high morbidity and mortality. Its presentation in immunocompetent patients is rare. We present the case of a 67-year-old male who was admitted for subacute symptoms of gait disturbance and urinary incontinence. Neurological examination revealed inability to stand and memory impairment. Cranial imaging showed obstructive tetraventricular hydrocephalus with areas of gliosis in the cerebellar peduncles. Endoscopic treatment of hydrocephalus was performed and cerebrospinal fluid samples taken revealing the growth of Cryptococcus neoformans. The patient improved with the endoscopic treatment and after completing intravenous antifungal therapy with liposomal amphotericin B and fluconazole for ten weeks. Antifungals are used to treat cryptococcal meningitis in immunocompetent patients. On rare occasions, it presents with hydrocephalus, a situation that requires surgical treatment using cerebrospinal fluid diversions or endoscopic techniques.

求助全文
通过发布文献求助,成功后即可免费获取论文全文。 去求助
来源期刊
自引率
0.00%
发文量
0
×
引用
GB/T 7714-2015
复制
MLA
复制
APA
复制
导出至
BibTeX EndNote RefMan NoteFirst NoteExpress
×
提示
您的信息不完整,为了账户安全,请先补充。
现在去补充
×
提示
您因"违规操作"
具体请查看互助需知
我知道了
×
提示
确定
请完成安全验证×
copy
已复制链接
快去分享给好友吧!
我知道了
右上角分享
点击右上角分享
0
联系我们:info@booksci.cn Book学术提供免费学术资源搜索服务,方便国内外学者检索中英文文献。致力于提供最便捷和优质的服务体验。 Copyright © 2023 布克学术 All rights reserved.
京ICP备2023020795号-1
ghs 京公网安备 11010802042870号
Book学术文献互助
Book学术文献互助群
群 号:604180095
Book学术官方微信