通过跟腱经皮前后螺钉固定治疗耳后臼骨折:技术描述和病例系列。

Apostolos Dimitroulias, Danielle Putur, Yelena Bogdan, Milan K Sen
{"title":"通过跟腱经皮前后螺钉固定治疗耳后臼骨折:技术描述和病例系列。","authors":"Apostolos Dimitroulias, Danielle Putur, Yelena Bogdan, Milan K Sen","doi":"10.1097/OI9.0000000000000321","DOIUrl":null,"url":null,"abstract":"<p><p>Posterior malleolus fractures (PMFs) (OTA 43B1.1) are frequently seen in combination with fractures of the fibula, medial malleolus, and distal tibia; they can rarely be seen in isolation. PMFs affect the alignment of the ankle mortise and the stability of syndesmosis. Techniques described for fixation of PMFs include open reduction internal fixation through a posterolateral or posteromedial approach or anterior-to-posterior screw fixation. For selected minimally displaced or nondisplaced fractures of the posterior malleolus, we developed a percutaneous technique through the Achilles tendon for the insertion of a posterior-to-anterior cannulated screw. The technique is described, and a clinical series is reviewed.</p>","PeriodicalId":74381,"journal":{"name":"OTA international : the open access journal of orthopaedic trauma","volume":"7 1","pages":"e321"},"PeriodicalIF":0.0000,"publicationDate":"2024-03-05","publicationTypes":"Journal Article","fieldsOfStudy":null,"isOpenAccess":false,"openAccessPdf":"https://www.ncbi.nlm.nih.gov/pmc/articles/PMC10917136/pdf/","citationCount":"0","resultStr":"{\"title\":\"Percutaneous posterior to anterior screw fixation through achilles tendon for posterior malleolus fractures: technique description and case series.\",\"authors\":\"Apostolos Dimitroulias, Danielle Putur, Yelena Bogdan, Milan K Sen\",\"doi\":\"10.1097/OI9.0000000000000321\",\"DOIUrl\":null,\"url\":null,\"abstract\":\"<p><p>Posterior malleolus fractures (PMFs) (OTA 43B1.1) are frequently seen in combination with fractures of the fibula, medial malleolus, and distal tibia; they can rarely be seen in isolation. PMFs affect the alignment of the ankle mortise and the stability of syndesmosis. Techniques described for fixation of PMFs include open reduction internal fixation through a posterolateral or posteromedial approach or anterior-to-posterior screw fixation. For selected minimally displaced or nondisplaced fractures of the posterior malleolus, we developed a percutaneous technique through the Achilles tendon for the insertion of a posterior-to-anterior cannulated screw. The technique is described, and a clinical series is reviewed.</p>\",\"PeriodicalId\":74381,\"journal\":{\"name\":\"OTA international : the open access journal of orthopaedic trauma\",\"volume\":\"7 1\",\"pages\":\"e321\"},\"PeriodicalIF\":0.0000,\"publicationDate\":\"2024-03-05\",\"publicationTypes\":\"Journal Article\",\"fieldsOfStudy\":null,\"isOpenAccess\":false,\"openAccessPdf\":\"https://www.ncbi.nlm.nih.gov/pmc/articles/PMC10917136/pdf/\",\"citationCount\":\"0\",\"resultStr\":null,\"platform\":\"Semanticscholar\",\"paperid\":null,\"PeriodicalName\":\"OTA international : the open access journal of orthopaedic trauma\",\"FirstCategoryId\":\"1085\",\"ListUrlMain\":\"https://doi.org/10.1097/OI9.0000000000000321\",\"RegionNum\":0,\"RegionCategory\":null,\"ArticlePicture\":[],\"TitleCN\":null,\"AbstractTextCN\":null,\"PMCID\":null,\"EPubDate\":\"2024/3/1 0:00:00\",\"PubModel\":\"eCollection\",\"JCR\":\"\",\"JCRName\":\"\",\"Score\":null,\"Total\":0}","platform":"Semanticscholar","paperid":null,"PeriodicalName":"OTA international : the open access journal of orthopaedic trauma","FirstCategoryId":"1085","ListUrlMain":"https://doi.org/10.1097/OI9.0000000000000321","RegionNum":0,"RegionCategory":null,"ArticlePicture":[],"TitleCN":null,"AbstractTextCN":null,"PMCID":null,"EPubDate":"2024/3/1 0:00:00","PubModel":"eCollection","JCR":"","JCRName":"","Score":null,"Total":0}
引用次数: 0

摘要

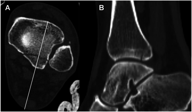
后踝骨骨折(PMFs)(OTA 43B1.1)经常与腓骨、内侧踝骨和胫骨远端骨折同时发生,很少单独出现。PMF 会影响踝关节臼的对齐和巩膜的稳定性。用于固定PMF的技术包括通过后外侧或后内侧方法进行开放复位内固定,或进行前后螺钉固定。对于选定的微移位或无移位的后踝骨骨折,我们开发了一种经皮技术,通过跟腱插入后至前插管螺钉。本文对该技术进行了描述,并回顾了一系列临床案例。
本文章由计算机程序翻译,如有差异,请以英文原文为准。

Percutaneous posterior to anterior screw fixation through achilles tendon for posterior malleolus fractures: technique description and case series.

Percutaneous posterior to anterior screw fixation through achilles tendon for posterior malleolus fractures: technique description and case series.

Percutaneous posterior to anterior screw fixation through achilles tendon for posterior malleolus fractures: technique description and case series.

Percutaneous posterior to anterior screw fixation through achilles tendon for posterior malleolus fractures: technique description and case series.

Posterior malleolus fractures (PMFs) (OTA 43B1.1) are frequently seen in combination with fractures of the fibula, medial malleolus, and distal tibia; they can rarely be seen in isolation. PMFs affect the alignment of the ankle mortise and the stability of syndesmosis. Techniques described for fixation of PMFs include open reduction internal fixation through a posterolateral or posteromedial approach or anterior-to-posterior screw fixation. For selected minimally displaced or nondisplaced fractures of the posterior malleolus, we developed a percutaneous technique through the Achilles tendon for the insertion of a posterior-to-anterior cannulated screw. The technique is described, and a clinical series is reviewed.

求助全文
通过发布文献求助,成功后即可免费获取论文全文。 去求助
来源期刊
自引率
0.00%
发文量
0
审稿时长
4 weeks
×
引用
GB/T 7714-2015
复制
MLA
复制
APA
复制
导出至
BibTeX EndNote RefMan NoteFirst NoteExpress
×
提示
您的信息不完整,为了账户安全,请先补充。
现在去补充
×
提示
您因"违规操作"
具体请查看互助需知
我知道了
×
提示
确定
请完成安全验证×
copy
已复制链接
快去分享给好友吧!
我知道了
右上角分享
点击右上角分享
0
联系我们:info@booksci.cn Book学术提供免费学术资源搜索服务,方便国内外学者检索中英文文献。致力于提供最便捷和优质的服务体验。 Copyright © 2023 布克学术 All rights reserved.
京ICP备2023020795号-1
ghs 京公网安备 11010802042870号
Book学术文献互助
Book学术文献互助群
群 号:604180095
Book学术官方微信