新辅助内分泌治疗和化疗后浸润性乳腺癌细胞的细胞形态差异。

IF 2 4区 医学 Q3 CELL BIOLOGY
Pathobiology Pub Date : 2024-01-01 Epub Date: 2024-03-12 DOI:10.1159/000538227
Hideko Hoshina, Takashi Sakatani, Yoko Kawamoto, Ryuji Ohashi, Hiroyuki Takei
{"title":"新辅助内分泌治疗和化疗后浸润性乳腺癌细胞的细胞形态差异。","authors":"Hideko Hoshina, Takashi Sakatani, Yoko Kawamoto, Ryuji Ohashi, Hiroyuki Takei","doi":"10.1159/000538227","DOIUrl":null,"url":null,"abstract":"<p><strong>Introduction: </strong>Neoadjuvant endocrine therapy (NAE) offers a breast-conserving surgery rate and clinical response rate similar to those of neoadjuvant chemotherapy (NAC), while presenting fewer adverse events and lower pathological complete response rates. The assessment of pathological response determines degenerative changes and predicts the prognosis of breast cancer treated with NAC. This study clarified the degenerative changes occurring in breast cancer following NAE.</p><p><strong>Methods: </strong>Our study encompassed two groups: NAE, consisting of 15 patients, and NAC, comprising 18 patients. Tissue samples were obtained from core needle biopsies and surgeries. Nuclear and cell areas were calculated using Autocell analysis. Furthermore, we assessed markers associated with microtubule depolymerization (KIF2A) and initiators of apoptosis (caspase-9).</p><p><strong>Results: </strong>In the NAC group, we observed significant increases in both cytoplasmic and cell areas. These changes in cytoplasm and cells were notably more pronounced in the NAC group compared to the NAE group. After treatment, KIF2A exhibited a decrease, with the magnitude of change being greater in the NET group than in the NAC group. However, no discernible differences were found in caspase-9 expression between the two groups.</p><p><strong>Conclusion: </strong>Our findings indicate that NAE induces condensation in cancer cells via cell cycle arrest or apoptosis. Conversely, NAC leads to cell enlargement due to the absence of microtubule depolymerization. These discrepancies underscore the importance of accounting for these distinctions when establishing criteria for evaluating pathological responses.</p>","PeriodicalId":19805,"journal":{"name":"Pathobiology","volume":" ","pages":"288-298"},"PeriodicalIF":2.0000,"publicationDate":"2024-01-01","publicationTypes":"Journal Article","fieldsOfStudy":null,"isOpenAccess":false,"openAccessPdf":"https://www.ncbi.nlm.nih.gov/pmc/articles/PMC11309077/pdf/","citationCount":"0","resultStr":"{\"title\":\"Cytomorphological Disparities in Invasive Breast Cancer Cells following Neoadjuvant Endocrine Therapy and Chemotherapy.\",\"authors\":\"Hideko Hoshina, Takashi Sakatani, Yoko Kawamoto, Ryuji Ohashi, Hiroyuki Takei\",\"doi\":\"10.1159/000538227\",\"DOIUrl\":null,\"url\":null,\"abstract\":\"<p><strong>Introduction: </strong>Neoadjuvant endocrine therapy (NAE) offers a breast-conserving surgery rate and clinical response rate similar to those of neoadjuvant chemotherapy (NAC), while presenting fewer adverse events and lower pathological complete response rates. The assessment of pathological response determines degenerative changes and predicts the prognosis of breast cancer treated with NAC. This study clarified the degenerative changes occurring in breast cancer following NAE.</p><p><strong>Methods: </strong>Our study encompassed two groups: NAE, consisting of 15 patients, and NAC, comprising 18 patients. Tissue samples were obtained from core needle biopsies and surgeries. Nuclear and cell areas were calculated using Autocell analysis. Furthermore, we assessed markers associated with microtubule depolymerization (KIF2A) and initiators of apoptosis (caspase-9).</p><p><strong>Results: </strong>In the NAC group, we observed significant increases in both cytoplasmic and cell areas. These changes in cytoplasm and cells were notably more pronounced in the NAC group compared to the NAE group. After treatment, KIF2A exhibited a decrease, with the magnitude of change being greater in the NET group than in the NAC group. However, no discernible differences were found in caspase-9 expression between the two groups.</p><p><strong>Conclusion: </strong>Our findings indicate that NAE induces condensation in cancer cells via cell cycle arrest or apoptosis. Conversely, NAC leads to cell enlargement due to the absence of microtubule depolymerization. These discrepancies underscore the importance of accounting for these distinctions when establishing criteria for evaluating pathological responses.</p>\",\"PeriodicalId\":19805,\"journal\":{\"name\":\"Pathobiology\",\"volume\":\" \",\"pages\":\"288-298\"},\"PeriodicalIF\":2.0000,\"publicationDate\":\"2024-01-01\",\"publicationTypes\":\"Journal Article\",\"fieldsOfStudy\":null,\"isOpenAccess\":false,\"openAccessPdf\":\"https://www.ncbi.nlm.nih.gov/pmc/articles/PMC11309077/pdf/\",\"citationCount\":\"0\",\"resultStr\":null,\"platform\":\"Semanticscholar\",\"paperid\":null,\"PeriodicalName\":\"Pathobiology\",\"FirstCategoryId\":\"3\",\"ListUrlMain\":\"https://doi.org/10.1159/000538227\",\"RegionNum\":4,\"RegionCategory\":\"医学\",\"ArticlePicture\":[],\"TitleCN\":null,\"AbstractTextCN\":null,\"PMCID\":null,\"EPubDate\":\"2024/3/12 0:00:00\",\"PubModel\":\"Epub\",\"JCR\":\"Q3\",\"JCRName\":\"CELL BIOLOGY\",\"Score\":null,\"Total\":0}","platform":"Semanticscholar","paperid":null,"PeriodicalName":"Pathobiology","FirstCategoryId":"3","ListUrlMain":"https://doi.org/10.1159/000538227","RegionNum":4,"RegionCategory":"医学","ArticlePicture":[],"TitleCN":null,"AbstractTextCN":null,"PMCID":null,"EPubDate":"2024/3/12 0:00:00","PubModel":"Epub","JCR":"Q3","JCRName":"CELL BIOLOGY","Score":null,"Total":0}
引用次数: 0

摘要

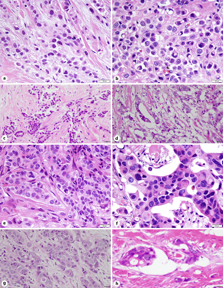
导言:新辅助内分泌疗法(NAE)的保乳手术率和临床反应率与新辅助化疗(NAC)相似,但不良反应较少,病理完全反应率较低。病理反应评估可确定乳腺癌的退行性变化,并预测接受 NAC 治疗的乳腺癌的预后。本研究阐明了乳腺癌在接受新乳腺癌治疗后发生的退行性变化:我们的研究包括两组:方法:我们的研究包括两组:NAE(15 名患者)和 NAC(18 名患者)。组织样本取自核心针活检和手术。采用 Autocell 分析法计算核区和细胞区的面积。此外,我们还评估了与微管解聚(KIF2A)和细胞凋亡启动子(caspase-9)相关的标记物:结果:在 NAC 组中,我们观察到细胞质和细胞面积均显著增加。与 NAE 组相比,NAC 组细胞质和细胞的这些变化更为明显。治疗后,KIF2A 出现下降,NAE 组的变化幅度大于 NAC 组。然而,两组之间的caspase-9表达量并无明显差异:我们的研究结果表明,NAE 可通过细胞周期停滞或细胞凋亡诱导癌细胞凝集。结论:我们的研究结果表明,NAE 通过细胞周期停滞或凋亡诱导癌细胞凝集,而 NAC 则由于缺乏微管解聚而导致细胞增大。这些差异强调了在制定病理反应评估标准时考虑这些区别的重要性。
本文章由计算机程序翻译,如有差异,请以英文原文为准。

Cytomorphological Disparities in Invasive Breast Cancer Cells following Neoadjuvant Endocrine Therapy and Chemotherapy.

Cytomorphological Disparities in Invasive Breast Cancer Cells following Neoadjuvant Endocrine Therapy and Chemotherapy.

Cytomorphological Disparities in Invasive Breast Cancer Cells following Neoadjuvant Endocrine Therapy and Chemotherapy.

Cytomorphological Disparities in Invasive Breast Cancer Cells following Neoadjuvant Endocrine Therapy and Chemotherapy.

Introduction: Neoadjuvant endocrine therapy (NAE) offers a breast-conserving surgery rate and clinical response rate similar to those of neoadjuvant chemotherapy (NAC), while presenting fewer adverse events and lower pathological complete response rates. The assessment of pathological response determines degenerative changes and predicts the prognosis of breast cancer treated with NAC. This study clarified the degenerative changes occurring in breast cancer following NAE.

Methods: Our study encompassed two groups: NAE, consisting of 15 patients, and NAC, comprising 18 patients. Tissue samples were obtained from core needle biopsies and surgeries. Nuclear and cell areas were calculated using Autocell analysis. Furthermore, we assessed markers associated with microtubule depolymerization (KIF2A) and initiators of apoptosis (caspase-9).

Results: In the NAC group, we observed significant increases in both cytoplasmic and cell areas. These changes in cytoplasm and cells were notably more pronounced in the NAC group compared to the NAE group. After treatment, KIF2A exhibited a decrease, with the magnitude of change being greater in the NET group than in the NAC group. However, no discernible differences were found in caspase-9 expression between the two groups.

Conclusion: Our findings indicate that NAE induces condensation in cancer cells via cell cycle arrest or apoptosis. Conversely, NAC leads to cell enlargement due to the absence of microtubule depolymerization. These discrepancies underscore the importance of accounting for these distinctions when establishing criteria for evaluating pathological responses.

求助全文
通过发布文献求助,成功后即可免费获取论文全文。 去求助
来源期刊
Pathobiology
Pathobiology 医学-病理学
CiteScore
8.50
自引率
0.00%
发文量
47
审稿时长
>12 weeks
期刊介绍: ''Pathobiology'' offers a valuable platform for the publication of high-quality original research into the mechanisms underlying human disease. Aiming to serve as a bridge between basic biomedical research and clinical medicine, the journal welcomes articles from scientific areas such as pathology, oncology, anatomy, virology, internal medicine, surgery, cell and molecular biology, and immunology. Published bimonthly, ''Pathobiology'' features original research papers and reviews on translational research. The journal offers the possibility to publish proceedings of meetings dedicated to one particular topic.
×
引用
GB/T 7714-2015
复制
MLA
复制
APA
复制
导出至
BibTeX EndNote RefMan NoteFirst NoteExpress
×
提示
您的信息不完整,为了账户安全,请先补充。
现在去补充
×
提示
您因"违规操作"
具体请查看互助需知
我知道了
×
提示
确定
请完成安全验证×
copy
已复制链接
快去分享给好友吧!
我知道了
右上角分享
点击右上角分享
0
联系我们:info@booksci.cn Book学术提供免费学术资源搜索服务,方便国内外学者检索中英文文献。致力于提供最便捷和优质的服务体验。 Copyright © 2023 布克学术 All rights reserved.
京ICP备2023020795号-1
ghs 京公网安备 11010802042870号
Book学术文献互助
Book学术文献互助群
群 号:604180095
Book学术官方微信