丙基硫氧嘧啶诱导的抗中性粒细胞胞浆抗体相关性血管炎合并 IgA 肾病:病例报告。

IF 0.9 Q4 UROLOGY & NEPHROLOGY
Case Reports in Nephrology and Dialysis Pub Date : 2024-03-04 eCollection Date: 2024-01-01 DOI:10.1159/000536618
Georgina Oakman, Cindy Ong
{"title":"丙基硫氧嘧啶诱导的抗中性粒细胞胞浆抗体相关性血管炎合并 IgA 肾病:病例报告。","authors":"Georgina Oakman, Cindy Ong","doi":"10.1159/000536618","DOIUrl":null,"url":null,"abstract":"<p><strong>Background: </strong>The anti-thyroid medication propylthiouracil (PTU) is a recognised cause of drug-induced antineutrophil cytoplasmic antibody (ANCA)-associated vasculitis (AAV). Pauci-immune crescentic glomerulonephritis is the characteristic feature of this condition on renal biopsy. We present a case of PTU-induced AAV with the unusual histological finding of overlap IgA nephropathy (IgAN) in a young female with treatment-resistant Graves' disease.</p><p><strong>Case report: </strong>A 26-year-old female presented with an acute kidney injury, macroscopic haematuria, and proteinuria 14 months after starting PTU for Graves' disease. She had a history of established thyroid eye disease and a previous severe adverse reaction to carbimazole. Her autoantibodies were strongly positive for myeloperoxidase-ANCA (199 U/mL). Renal biopsy demonstrated both necrotising crescentic glomerulonephritis and prominent (3+) mesangial deposition of IgA. She was treated with glucocorticoids and rituximab with sustained improvement in her renal function but persisting mild proteinuria and microscopic haematuria. PTU was ceased following a dose of radioactive iodine (RAI). Twelve months post-RAI, her Graves' orbitopathy remained stable, and her thyroid function was gradually normalising.</p><p><strong>Conclusion: </strong>This was a case of drug-induced AAV with histological features of overlap IgAN. We suggest that this patient had pre-existing subclinical IgAN and then developed AAV secondary to PTU. The management of her thyroid disease was complex given the PTU-induced vasculitis, previous reaction to carbimazole, the risks of a thyroidectomy on immunosuppression, and the possible worsening of her eye disease with RAI. The glucocorticoids and Rituximab prescribed for vasculitis may have prevented the progression of her Graves' orbitopathy after RAI.</p>","PeriodicalId":9599,"journal":{"name":"Case Reports in Nephrology and Dialysis","volume":"14 1","pages":"36-41"},"PeriodicalIF":0.9000,"publicationDate":"2024-03-04","publicationTypes":"Journal Article","fieldsOfStudy":null,"isOpenAccess":false,"openAccessPdf":"https://www.ncbi.nlm.nih.gov/pmc/articles/PMC10911782/pdf/","citationCount":"0","resultStr":"{\"title\":\"Propylthiouracil-Induced Antineutrophil Cytoplasmic Antibody-Associated Vasculitis with Overlap IgA Nephropathy: A Case Report.\",\"authors\":\"Georgina Oakman, Cindy Ong\",\"doi\":\"10.1159/000536618\",\"DOIUrl\":null,\"url\":null,\"abstract\":\"<p><strong>Background: </strong>The anti-thyroid medication propylthiouracil (PTU) is a recognised cause of drug-induced antineutrophil cytoplasmic antibody (ANCA)-associated vasculitis (AAV). Pauci-immune crescentic glomerulonephritis is the characteristic feature of this condition on renal biopsy. We present a case of PTU-induced AAV with the unusual histological finding of overlap IgA nephropathy (IgAN) in a young female with treatment-resistant Graves' disease.</p><p><strong>Case report: </strong>A 26-year-old female presented with an acute kidney injury, macroscopic haematuria, and proteinuria 14 months after starting PTU for Graves' disease. She had a history of established thyroid eye disease and a previous severe adverse reaction to carbimazole. Her autoantibodies were strongly positive for myeloperoxidase-ANCA (199 U/mL). Renal biopsy demonstrated both necrotising crescentic glomerulonephritis and prominent (3+) mesangial deposition of IgA. She was treated with glucocorticoids and rituximab with sustained improvement in her renal function but persisting mild proteinuria and microscopic haematuria. PTU was ceased following a dose of radioactive iodine (RAI). Twelve months post-RAI, her Graves' orbitopathy remained stable, and her thyroid function was gradually normalising.</p><p><strong>Conclusion: </strong>This was a case of drug-induced AAV with histological features of overlap IgAN. We suggest that this patient had pre-existing subclinical IgAN and then developed AAV secondary to PTU. The management of her thyroid disease was complex given the PTU-induced vasculitis, previous reaction to carbimazole, the risks of a thyroidectomy on immunosuppression, and the possible worsening of her eye disease with RAI. The glucocorticoids and Rituximab prescribed for vasculitis may have prevented the progression of her Graves' orbitopathy after RAI.</p>\",\"PeriodicalId\":9599,\"journal\":{\"name\":\"Case Reports in Nephrology and Dialysis\",\"volume\":\"14 1\",\"pages\":\"36-41\"},\"PeriodicalIF\":0.9000,\"publicationDate\":\"2024-03-04\",\"publicationTypes\":\"Journal Article\",\"fieldsOfStudy\":null,\"isOpenAccess\":false,\"openAccessPdf\":\"https://www.ncbi.nlm.nih.gov/pmc/articles/PMC10911782/pdf/\",\"citationCount\":\"0\",\"resultStr\":null,\"platform\":\"Semanticscholar\",\"paperid\":null,\"PeriodicalName\":\"Case Reports in Nephrology and Dialysis\",\"FirstCategoryId\":\"1085\",\"ListUrlMain\":\"https://doi.org/10.1159/000536618\",\"RegionNum\":0,\"RegionCategory\":null,\"ArticlePicture\":[],\"TitleCN\":null,\"AbstractTextCN\":null,\"PMCID\":null,\"EPubDate\":\"2024/1/1 0:00:00\",\"PubModel\":\"eCollection\",\"JCR\":\"Q4\",\"JCRName\":\"UROLOGY & NEPHROLOGY\",\"Score\":null,\"Total\":0}","platform":"Semanticscholar","paperid":null,"PeriodicalName":"Case Reports in Nephrology and Dialysis","FirstCategoryId":"1085","ListUrlMain":"https://doi.org/10.1159/000536618","RegionNum":0,"RegionCategory":null,"ArticlePicture":[],"TitleCN":null,"AbstractTextCN":null,"PMCID":null,"EPubDate":"2024/1/1 0:00:00","PubModel":"eCollection","JCR":"Q4","JCRName":"UROLOGY & NEPHROLOGY","Score":null,"Total":0}
引用次数: 0

摘要

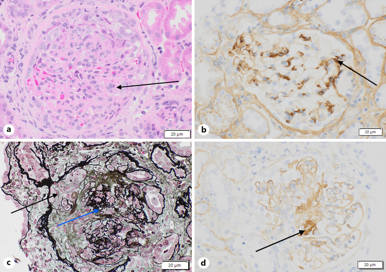
背景:抗甲状腺药物丙基硫氧嘧啶(PTU抗甲状腺药物丙基硫氧嘧啶(PTU)是药物诱发抗中性粒细胞胞浆抗体(ANCA)相关性血管炎(AAV)的公认病因。在肾活检中,Pauci-免疫性新月体肾小球肾炎是这种疾病的特征。我们报告了一例由 PTU 引起的 AAV 病例,该病例是一名患有治疗耐药的巴塞杜氏病的年轻女性,其组织学发现与 IgA 肾病(IgAN)重叠:一名 26 岁的女性在开始服用 PTU 治疗巴塞杜氏病 14 个月后出现急性肾损伤、镜下血尿和蛋白尿。她有甲状腺眼病病史,曾对卡比马唑产生过严重不良反应。她的髓过氧化物酶-ANCA自身抗体呈强阳性(199 U/mL)。肾活检显示,她患有坏死性新月体肾小球肾炎和明显的(3+)IgA系膜沉积。她接受了糖皮质激素和利妥昔单抗治疗,肾功能持续改善,但仍有轻度蛋白尿和镜下血尿。在接受放射性碘(RAI)治疗后,她停用了 PTU。放射性碘治疗后12个月,她的巴塞杜氏眶病仍保持稳定,甲状腺功能也逐渐恢复正常:结论:这是一例药物诱发的AAV病例,具有重叠性IgAN的组织学特征。结论:这是一例药物诱发的甲状腺功能障碍病例,其组织学特征为重叠性 IgAN。我们认为,该患者在发病前已存在亚临床 IgAN,然后继发于 PTU 的甲状腺功能障碍。鉴于PTU诱发的血管炎、既往对卡比马唑的反应、甲状腺切除术对免疫抑制的风险以及RAI可能导致的眼病恶化,她的甲状腺疾病治疗非常复杂。治疗血管炎的糖皮质激素和利妥昔单抗可能会防止她的巴塞杜氏眼病在 RAI 后恶化。
本文章由计算机程序翻译,如有差异,请以英文原文为准。

Propylthiouracil-Induced Antineutrophil Cytoplasmic Antibody-Associated Vasculitis with Overlap IgA Nephropathy: A Case Report.

Propylthiouracil-Induced Antineutrophil Cytoplasmic Antibody-Associated Vasculitis with Overlap IgA Nephropathy: A Case Report.

Propylthiouracil-Induced Antineutrophil Cytoplasmic Antibody-Associated Vasculitis with Overlap IgA Nephropathy: A Case Report.

Background: The anti-thyroid medication propylthiouracil (PTU) is a recognised cause of drug-induced antineutrophil cytoplasmic antibody (ANCA)-associated vasculitis (AAV). Pauci-immune crescentic glomerulonephritis is the characteristic feature of this condition on renal biopsy. We present a case of PTU-induced AAV with the unusual histological finding of overlap IgA nephropathy (IgAN) in a young female with treatment-resistant Graves' disease.

Case report: A 26-year-old female presented with an acute kidney injury, macroscopic haematuria, and proteinuria 14 months after starting PTU for Graves' disease. She had a history of established thyroid eye disease and a previous severe adverse reaction to carbimazole. Her autoantibodies were strongly positive for myeloperoxidase-ANCA (199 U/mL). Renal biopsy demonstrated both necrotising crescentic glomerulonephritis and prominent (3+) mesangial deposition of IgA. She was treated with glucocorticoids and rituximab with sustained improvement in her renal function but persisting mild proteinuria and microscopic haematuria. PTU was ceased following a dose of radioactive iodine (RAI). Twelve months post-RAI, her Graves' orbitopathy remained stable, and her thyroid function was gradually normalising.

Conclusion: This was a case of drug-induced AAV with histological features of overlap IgAN. We suggest that this patient had pre-existing subclinical IgAN and then developed AAV secondary to PTU. The management of her thyroid disease was complex given the PTU-induced vasculitis, previous reaction to carbimazole, the risks of a thyroidectomy on immunosuppression, and the possible worsening of her eye disease with RAI. The glucocorticoids and Rituximab prescribed for vasculitis may have prevented the progression of her Graves' orbitopathy after RAI.

求助全文
通过发布文献求助,成功后即可免费获取论文全文。 去求助
来源期刊
CiteScore
1.20
自引率
0.00%
发文量
36
审稿时长
10 weeks
期刊介绍: This peer-reviewed online-only journal publishes original case reports covering the entire spectrum of nephrology and dialysis, including genetic susceptibility, clinical presentation, diagnosis, treatment or prevention, toxicities of therapy, critical care, supportive care, quality-of-life and survival issues. The journal will also accept case reports dealing with the use of novel technologies, both in the arena of diagnosis and treatment. Supplementary material is welcomed.
×
引用
GB/T 7714-2015
复制
MLA
复制
APA
复制
导出至
BibTeX EndNote RefMan NoteFirst NoteExpress
×
提示
您的信息不完整,为了账户安全,请先补充。
现在去补充
×
提示
您因"违规操作"
具体请查看互助需知
我知道了
×
提示
确定
请完成安全验证×
copy
已复制链接
快去分享给好友吧!
我知道了
右上角分享
点击右上角分享
0
联系我们:info@booksci.cn Book学术提供免费学术资源搜索服务,方便国内外学者检索中英文文献。致力于提供最便捷和优质的服务体验。 Copyright © 2023 布克学术 All rights reserved.
京ICP备2023020795号-1
ghs 京公网安备 11010802042870号
Book学术文献互助
Book学术文献互助群
群 号:604180095
Book学术官方微信