推测为结核性葡萄膜炎的视神经头浸润

IF 0.3 Q4 OPHTHALMOLOGY
Middle East African Journal of Ophthalmology Pub Date : 2024-01-22 eCollection Date: 2023-01-01 DOI:10.4103/meajo.meajo_127_23
Marwan A Abouammoh, Lojain A Azizalrahman, Abdulrahman F Albloushi, Ahmed M Abu El-Asrar
{"title":"推测为结核性葡萄膜炎的视神经头浸润","authors":"Marwan A Abouammoh, Lojain A Azizalrahman, Abdulrahman F Albloushi, Ahmed M Abu El-Asrar","doi":"10.4103/meajo.meajo_127_23","DOIUrl":null,"url":null,"abstract":"<p><p>To report the clinical and multimodal imaging findings of presumed tuberculous optic nerve head (ONH) infiltration in 3 patients at a tertiary eye care center. In addition to unilateral presumed tuberculous ONH infiltration, all patients had clinical findings suggestive of tuberculous choroidal involvement which was confirmed by Indocyanine green angiography (ICGA). All patients were treated successfully with a combination of antituberculous regimen and systemic corticosteroids.</p>","PeriodicalId":18740,"journal":{"name":"Middle East African Journal of Ophthalmology","volume":"30 1","pages":"51-54"},"PeriodicalIF":0.3000,"publicationDate":"2024-01-22","publicationTypes":"Journal Article","fieldsOfStudy":null,"isOpenAccess":false,"openAccessPdf":"https://www.ncbi.nlm.nih.gov/pmc/articles/PMC10903715/pdf/","citationCount":"0","resultStr":"{\"title\":\"Optic Nerve Head Infiltration in Presumed Tuberculous Uveitis.\",\"authors\":\"Marwan A Abouammoh, Lojain A Azizalrahman, Abdulrahman F Albloushi, Ahmed M Abu El-Asrar\",\"doi\":\"10.4103/meajo.meajo_127_23\",\"DOIUrl\":null,\"url\":null,\"abstract\":\"<p><p>To report the clinical and multimodal imaging findings of presumed tuberculous optic nerve head (ONH) infiltration in 3 patients at a tertiary eye care center. In addition to unilateral presumed tuberculous ONH infiltration, all patients had clinical findings suggestive of tuberculous choroidal involvement which was confirmed by Indocyanine green angiography (ICGA). All patients were treated successfully with a combination of antituberculous regimen and systemic corticosteroids.</p>\",\"PeriodicalId\":18740,\"journal\":{\"name\":\"Middle East African Journal of Ophthalmology\",\"volume\":\"30 1\",\"pages\":\"51-54\"},\"PeriodicalIF\":0.3000,\"publicationDate\":\"2024-01-22\",\"publicationTypes\":\"Journal Article\",\"fieldsOfStudy\":null,\"isOpenAccess\":false,\"openAccessPdf\":\"https://www.ncbi.nlm.nih.gov/pmc/articles/PMC10903715/pdf/\",\"citationCount\":\"0\",\"resultStr\":null,\"platform\":\"Semanticscholar\",\"paperid\":null,\"PeriodicalName\":\"Middle East African Journal of Ophthalmology\",\"FirstCategoryId\":\"1085\",\"ListUrlMain\":\"https://doi.org/10.4103/meajo.meajo_127_23\",\"RegionNum\":0,\"RegionCategory\":null,\"ArticlePicture\":[],\"TitleCN\":null,\"AbstractTextCN\":null,\"PMCID\":null,\"EPubDate\":\"2023/1/1 0:00:00\",\"PubModel\":\"eCollection\",\"JCR\":\"Q4\",\"JCRName\":\"OPHTHALMOLOGY\",\"Score\":null,\"Total\":0}","platform":"Semanticscholar","paperid":null,"PeriodicalName":"Middle East African Journal of Ophthalmology","FirstCategoryId":"1085","ListUrlMain":"https://doi.org/10.4103/meajo.meajo_127_23","RegionNum":0,"RegionCategory":null,"ArticlePicture":[],"TitleCN":null,"AbstractTextCN":null,"PMCID":null,"EPubDate":"2023/1/1 0:00:00","PubModel":"eCollection","JCR":"Q4","JCRName":"OPHTHALMOLOGY","Score":null,"Total":0}
引用次数: 0

摘要

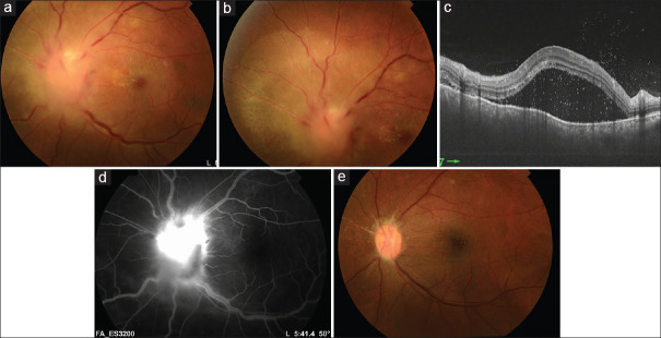
报告一家三级眼科医疗中心的三名患者推测的结核性视神经头(ONH)浸润的临床和多模态成像结果。除了单侧推测的结核性视神经头浸润外,所有患者的临床表现均提示有结核性脉络膜受累,并经吲哚青绿血管造影(ICGA)证实。所有患者均成功接受了抗结核治疗和全身皮质类固醇治疗。
本文章由计算机程序翻译,如有差异,请以英文原文为准。

Optic Nerve Head Infiltration in Presumed Tuberculous Uveitis.

Optic Nerve Head Infiltration in Presumed Tuberculous Uveitis.

Optic Nerve Head Infiltration in Presumed Tuberculous Uveitis.

Optic Nerve Head Infiltration in Presumed Tuberculous Uveitis.

To report the clinical and multimodal imaging findings of presumed tuberculous optic nerve head (ONH) infiltration in 3 patients at a tertiary eye care center. In addition to unilateral presumed tuberculous ONH infiltration, all patients had clinical findings suggestive of tuberculous choroidal involvement which was confirmed by Indocyanine green angiography (ICGA). All patients were treated successfully with a combination of antituberculous regimen and systemic corticosteroids.

求助全文
通过发布文献求助,成功后即可免费获取论文全文。 去求助
来源期刊
CiteScore
1.40
自引率
0.00%
发文量
1
期刊介绍: The Middle East African Journal of Ophthalmology (MEAJO), published four times per year in print and online, is an official journal of the Middle East African Council of Ophthalmology (MEACO). It is an international, peer-reviewed journal whose mission includes publication of original research of interest to ophthalmologists in the Middle East and Africa, and to provide readers with high quality educational review articles from world-renown experts. MEAJO, previously known as Middle East Journal of Ophthalmology (MEJO) was founded by Dr Akef El Maghraby in 1993.
×
引用
GB/T 7714-2015
复制
MLA
复制
APA
复制
导出至
BibTeX EndNote RefMan NoteFirst NoteExpress
×
提示
您的信息不完整,为了账户安全,请先补充。
现在去补充
×
提示
您因"违规操作"
具体请查看互助需知
我知道了
×
提示
确定
请完成安全验证×
copy
已复制链接
快去分享给好友吧!
我知道了
右上角分享
点击右上角分享
0
联系我们:info@booksci.cn Book学术提供免费学术资源搜索服务,方便国内外学者检索中英文文献。致力于提供最便捷和优质的服务体验。 Copyright © 2023 布克学术 All rights reserved.
京ICP备2023020795号-1
ghs 京公网安备 11010802042870号
Book学术文献互助
Book学术文献互助群
群 号:604180095
Book学术官方微信