绝经后体积增大的分化良好脂肪肉瘤:病例报告和文献综述。

IF 0.8 Q4 OBSTETRICS & GYNECOLOGY
Case Reports in Obstetrics and Gynecology Pub Date : 2024-02-24 eCollection Date: 2024-01-01 DOI:10.1155/2024/7599714
Tatsuji Hoshino, Yoshihiro Takada, Ayako Sugihara, Masato Kinugasa, Yoshiyuki Tsuji
{"title":"绝经后体积增大的分化良好脂肪肉瘤:病例报告和文献综述。","authors":"Tatsuji Hoshino, Yoshihiro Takada, Ayako Sugihara, Masato Kinugasa, Yoshiyuki Tsuji","doi":"10.1155/2024/7599714","DOIUrl":null,"url":null,"abstract":"<p><p>This study reports a case of uterine liposarcoma together with a literature review. At 52 years old, our patient was diagnosed with lipoleiomyoma by MRI. A mass (39 × 32 × 41 mm<sup>3</sup>) protruding from the anterior wall of the uterine body was observed. When the patient was 58, her previous doctor found that the tumor had grown, and she was referred to the gynecology department of our hospital. On MRI, the major diameter was 1.23-fold longer and the volume was 1.85-fold higher compared with the prior imaging findings. Diffusion-weighted images revealed no significant anomalous signals. Thus, malignant tumors were included in the differential diagnosis. The patient consented to total abdominal hysterectomy and bilateral salpingo-oophorectomy. The mass on the anterior wall remained completely in the myometrium. No implantation was found in the abdominal cavity, and ascites was not detected. No bleeding or necrosis was observed on the cut surface. Histopathologically, differences in the sizes of adipocytes and stromal cells were identified. There were irregularities in the nuclear findings. The immunohistochemical findings were as follows: CDK4 (+), desmin (+), S100p (-), and Ki - 67 = 1%. Therefore, a diagnosis of well-differentiated liposarcoma was rendered. The lesion was localized in the uterus, and it was completely removed during surgery. Well-differentiated liposarcoma of uterine primary has no possibility of recurrence following complete resection, and thus, the patient underwent follow-up without additional treatment. No metastasis or recurrence has been observed for 10 months after surgery.</p>","PeriodicalId":9610,"journal":{"name":"Case Reports in Obstetrics and Gynecology","volume":"2024 ","pages":"7599714"},"PeriodicalIF":0.8000,"publicationDate":"2024-02-24","publicationTypes":"Journal Article","fieldsOfStudy":null,"isOpenAccess":false,"openAccessPdf":"https://www.ncbi.nlm.nih.gov/pmc/articles/PMC10908573/pdf/","citationCount":"0","resultStr":"{\"title\":\"Well-Differentiated Liposarcoma That Increased in Size after Menopause: A Case Report and a Review of the Literature.\",\"authors\":\"Tatsuji Hoshino, Yoshihiro Takada, Ayako Sugihara, Masato Kinugasa, Yoshiyuki Tsuji\",\"doi\":\"10.1155/2024/7599714\",\"DOIUrl\":null,\"url\":null,\"abstract\":\"<p><p>This study reports a case of uterine liposarcoma together with a literature review. At 52 years old, our patient was diagnosed with lipoleiomyoma by MRI. A mass (39 × 32 × 41 mm<sup>3</sup>) protruding from the anterior wall of the uterine body was observed. When the patient was 58, her previous doctor found that the tumor had grown, and she was referred to the gynecology department of our hospital. On MRI, the major diameter was 1.23-fold longer and the volume was 1.85-fold higher compared with the prior imaging findings. Diffusion-weighted images revealed no significant anomalous signals. Thus, malignant tumors were included in the differential diagnosis. The patient consented to total abdominal hysterectomy and bilateral salpingo-oophorectomy. The mass on the anterior wall remained completely in the myometrium. No implantation was found in the abdominal cavity, and ascites was not detected. No bleeding or necrosis was observed on the cut surface. Histopathologically, differences in the sizes of adipocytes and stromal cells were identified. There were irregularities in the nuclear findings. The immunohistochemical findings were as follows: CDK4 (+), desmin (+), S100p (-), and Ki - 67 = 1%. Therefore, a diagnosis of well-differentiated liposarcoma was rendered. The lesion was localized in the uterus, and it was completely removed during surgery. Well-differentiated liposarcoma of uterine primary has no possibility of recurrence following complete resection, and thus, the patient underwent follow-up without additional treatment. No metastasis or recurrence has been observed for 10 months after surgery.</p>\",\"PeriodicalId\":9610,\"journal\":{\"name\":\"Case Reports in Obstetrics and Gynecology\",\"volume\":\"2024 \",\"pages\":\"7599714\"},\"PeriodicalIF\":0.8000,\"publicationDate\":\"2024-02-24\",\"publicationTypes\":\"Journal Article\",\"fieldsOfStudy\":null,\"isOpenAccess\":false,\"openAccessPdf\":\"https://www.ncbi.nlm.nih.gov/pmc/articles/PMC10908573/pdf/\",\"citationCount\":\"0\",\"resultStr\":null,\"platform\":\"Semanticscholar\",\"paperid\":null,\"PeriodicalName\":\"Case Reports in Obstetrics and Gynecology\",\"FirstCategoryId\":\"1085\",\"ListUrlMain\":\"https://doi.org/10.1155/2024/7599714\",\"RegionNum\":0,\"RegionCategory\":null,\"ArticlePicture\":[],\"TitleCN\":null,\"AbstractTextCN\":null,\"PMCID\":null,\"EPubDate\":\"2024/1/1 0:00:00\",\"PubModel\":\"eCollection\",\"JCR\":\"Q4\",\"JCRName\":\"OBSTETRICS & GYNECOLOGY\",\"Score\":null,\"Total\":0}","platform":"Semanticscholar","paperid":null,"PeriodicalName":"Case Reports in Obstetrics and Gynecology","FirstCategoryId":"1085","ListUrlMain":"https://doi.org/10.1155/2024/7599714","RegionNum":0,"RegionCategory":null,"ArticlePicture":[],"TitleCN":null,"AbstractTextCN":null,"PMCID":null,"EPubDate":"2024/1/1 0:00:00","PubModel":"eCollection","JCR":"Q4","JCRName":"OBSTETRICS & GYNECOLOGY","Score":null,"Total":0}
引用次数: 0

摘要

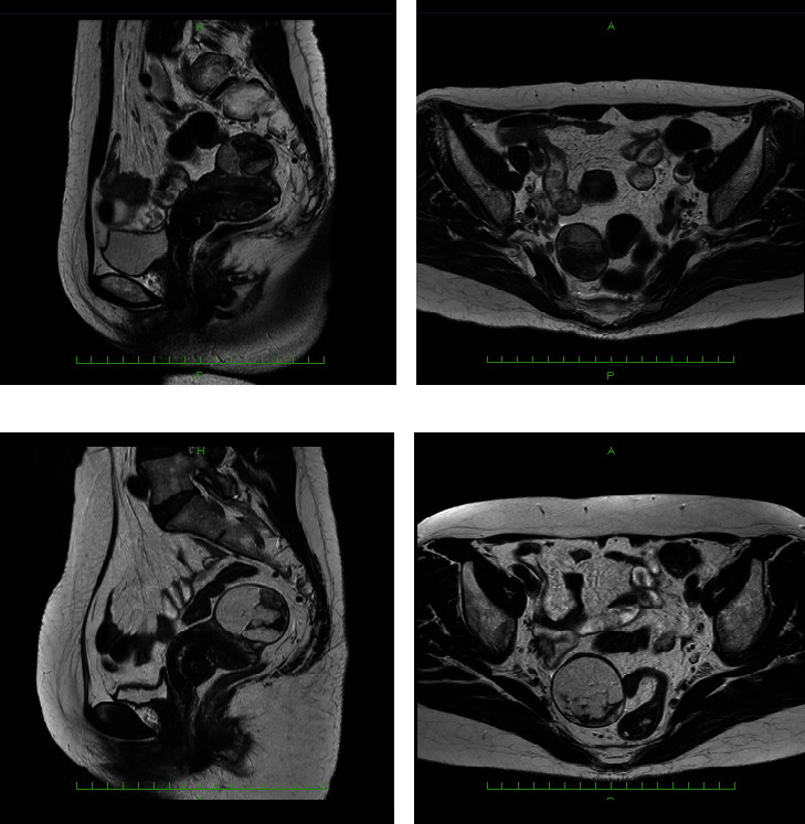
本研究报告了一例子宫脂肪肉瘤病例,并对相关文献进行了综述。患者 52 岁,经核磁共振检查确诊为脂肪组织肌瘤。患者的子宫体前壁有一个突出的肿块(39 × 32 × 41 mm3)。患者 58 岁时,她之前的医生发现肿瘤长大了,于是将她转诊到我院妇科。核磁共振成像显示,与之前的成像结果相比,肿瘤的大直径长了 1.23 倍,体积增大了 1.85 倍。弥散加权成像未发现明显异常信号。因此,恶性肿瘤被纳入鉴别诊断。患者同意接受全腹子宫切除术和双侧输卵管切除术。前壁的肿块完全留在子宫肌层中。腹腔内未发现种植,也未发现腹水。切口表面未发现出血或坏死。从组织病理学角度看,脂肪细胞和基质细胞的大小存在差异。细胞核结果不规则。免疫组化结果如下:CDK4(+)、desmin(+)、S100p(-)和 Ki - 67 = 1%。因此,诊断结果为分化良好的脂肪肉瘤。病灶位于子宫内,手术中将其完全切除。子宫原发的分化良好的脂肪肉瘤在完全切除后没有复发的可能,因此,患者接受了后续治疗,没有接受额外的治疗。术后 10 个月未发现转移或复发。
本文章由计算机程序翻译,如有差异,请以英文原文为准。

Well-Differentiated Liposarcoma That Increased in Size after Menopause: A Case Report and a Review of the Literature.

Well-Differentiated Liposarcoma That Increased in Size after Menopause: A Case Report and a Review of the Literature.

Well-Differentiated Liposarcoma That Increased in Size after Menopause: A Case Report and a Review of the Literature.

Well-Differentiated Liposarcoma That Increased in Size after Menopause: A Case Report and a Review of the Literature.

This study reports a case of uterine liposarcoma together with a literature review. At 52 years old, our patient was diagnosed with lipoleiomyoma by MRI. A mass (39 × 32 × 41 mm3) protruding from the anterior wall of the uterine body was observed. When the patient was 58, her previous doctor found that the tumor had grown, and she was referred to the gynecology department of our hospital. On MRI, the major diameter was 1.23-fold longer and the volume was 1.85-fold higher compared with the prior imaging findings. Diffusion-weighted images revealed no significant anomalous signals. Thus, malignant tumors were included in the differential diagnosis. The patient consented to total abdominal hysterectomy and bilateral salpingo-oophorectomy. The mass on the anterior wall remained completely in the myometrium. No implantation was found in the abdominal cavity, and ascites was not detected. No bleeding or necrosis was observed on the cut surface. Histopathologically, differences in the sizes of adipocytes and stromal cells were identified. There were irregularities in the nuclear findings. The immunohistochemical findings were as follows: CDK4 (+), desmin (+), S100p (-), and Ki - 67 = 1%. Therefore, a diagnosis of well-differentiated liposarcoma was rendered. The lesion was localized in the uterus, and it was completely removed during surgery. Well-differentiated liposarcoma of uterine primary has no possibility of recurrence following complete resection, and thus, the patient underwent follow-up without additional treatment. No metastasis or recurrence has been observed for 10 months after surgery.

求助全文
通过发布文献求助,成功后即可免费获取论文全文。 去求助
来源期刊
Case Reports in Obstetrics and Gynecology
Case Reports in Obstetrics and Gynecology Medicine-Obstetrics and Gynecology
CiteScore
1.30
自引率
0.00%
发文量
64
审稿时长
12 weeks
×
引用
GB/T 7714-2015
复制
MLA
复制
APA
复制
导出至
BibTeX EndNote RefMan NoteFirst NoteExpress
×
提示
您的信息不完整,为了账户安全,请先补充。
现在去补充
×
提示
您因"违规操作"
具体请查看互助需知
我知道了
×
提示
确定
请完成安全验证×
copy
已复制链接
快去分享给好友吧!
我知道了
右上角分享
点击右上角分享
0
联系我们:info@booksci.cn Book学术提供免费学术资源搜索服务,方便国内外学者检索中英文文献。致力于提供最便捷和优质的服务体验。 Copyright © 2023 布克学术 All rights reserved.
京ICP备2023020795号-1
ghs 京公网安备 11010802042870号
Book学术文献互助
Book学术文献互助群
群 号:604180095
Book学术官方微信