急性坏死性胰腺炎并发窦状门静脉高压和结肠机械性阻塞:病例报告。

IF 1.6 4区 医学 Q4 GASTROENTEROLOGY & HEPATOLOGY
Zeitschrift fur Gastroenterologie Pub Date : 2024-08-01 Epub Date: 2024-02-28 DOI:10.1055/a-2250-6502
Guijie Zhao, Shuaiyong Wen, Yu Zhang, Kun Zhang, Yunfeng Cui
{"title":"急性坏死性胰腺炎并发窦状门静脉高压和结肠机械性阻塞:病例报告。","authors":"Guijie Zhao, Shuaiyong Wen, Yu Zhang, Kun Zhang, Yunfeng Cui","doi":"10.1055/a-2250-6502","DOIUrl":null,"url":null,"abstract":"<p><p>Acute necrotizing pancreatitis (ANP) is often associated with acute necrotic collection (ANC) or walled-off necrosis (WON). Due to the close anatomical connection between the pancreas, the spleen, and the transverse colon, necrotizing pancreatitis is often combined with spleen or colon involvement. Gastrointestinal dysfunction usually caused by pancreatitis leads to paralytic intestinal obstruction. However, pancreatitis combined with mechanical colonic obstruction is extremely rare. It can easily be misdiagnosed as malignant intestinal obstruction, and diagnosing the cause of intestinal obstruction becomes more critical when accompanied by Sinistral portal hypertension (SPH). Surgical resection is the primary method for the previous occurrence of colonic complications. In this case report, upon admission, a 37-year-old patient was diagnosed with acute necrotizing pancreatitis with sinistral portal hypertension. On the 6th day after admission, the patient developed a sudden colonic obstruction. After identifying the cause, the patient underwent a transanal decompression tube and minimally invasive necrosectomy, avoiding colon resection. In acute necrotizing pancreatitis combined with colonic mechanical obstruction, it is essential to clarify the etiology, and focus treatment on clearing the peripancreatic necrotic tissue, non-surgical treatment to deal with colonic obstruction is feasible, and the principle of individualized treatment should be used throughout the disease.</p>","PeriodicalId":23853,"journal":{"name":"Zeitschrift fur Gastroenterologie","volume":" ","pages":"1220-1223"},"PeriodicalIF":1.6000,"publicationDate":"2024-08-01","publicationTypes":"Journal Article","fieldsOfStudy":null,"isOpenAccess":false,"openAccessPdf":"https://www.ncbi.nlm.nih.gov/pmc/articles/PMC11305833/pdf/","citationCount":"0","resultStr":"{\"title\":\"Acute Necrotizing Pancreatitis Complicated With Sinistral Portal Hypertension And Mechanical Obstruction Of The Colon: A Case Report.\",\"authors\":\"Guijie Zhao, Shuaiyong Wen, Yu Zhang, Kun Zhang, Yunfeng Cui\",\"doi\":\"10.1055/a-2250-6502\",\"DOIUrl\":null,\"url\":null,\"abstract\":\"<p><p>Acute necrotizing pancreatitis (ANP) is often associated with acute necrotic collection (ANC) or walled-off necrosis (WON). Due to the close anatomical connection between the pancreas, the spleen, and the transverse colon, necrotizing pancreatitis is often combined with spleen or colon involvement. Gastrointestinal dysfunction usually caused by pancreatitis leads to paralytic intestinal obstruction. However, pancreatitis combined with mechanical colonic obstruction is extremely rare. It can easily be misdiagnosed as malignant intestinal obstruction, and diagnosing the cause of intestinal obstruction becomes more critical when accompanied by Sinistral portal hypertension (SPH). Surgical resection is the primary method for the previous occurrence of colonic complications. In this case report, upon admission, a 37-year-old patient was diagnosed with acute necrotizing pancreatitis with sinistral portal hypertension. On the 6th day after admission, the patient developed a sudden colonic obstruction. After identifying the cause, the patient underwent a transanal decompression tube and minimally invasive necrosectomy, avoiding colon resection. In acute necrotizing pancreatitis combined with colonic mechanical obstruction, it is essential to clarify the etiology, and focus treatment on clearing the peripancreatic necrotic tissue, non-surgical treatment to deal with colonic obstruction is feasible, and the principle of individualized treatment should be used throughout the disease.</p>\",\"PeriodicalId\":23853,\"journal\":{\"name\":\"Zeitschrift fur Gastroenterologie\",\"volume\":\" \",\"pages\":\"1220-1223\"},\"PeriodicalIF\":1.6000,\"publicationDate\":\"2024-08-01\",\"publicationTypes\":\"Journal Article\",\"fieldsOfStudy\":null,\"isOpenAccess\":false,\"openAccessPdf\":\"https://www.ncbi.nlm.nih.gov/pmc/articles/PMC11305833/pdf/\",\"citationCount\":\"0\",\"resultStr\":null,\"platform\":\"Semanticscholar\",\"paperid\":null,\"PeriodicalName\":\"Zeitschrift fur Gastroenterologie\",\"FirstCategoryId\":\"3\",\"ListUrlMain\":\"https://doi.org/10.1055/a-2250-6502\",\"RegionNum\":4,\"RegionCategory\":\"医学\",\"ArticlePicture\":[],\"TitleCN\":null,\"AbstractTextCN\":null,\"PMCID\":null,\"EPubDate\":\"2024/2/28 0:00:00\",\"PubModel\":\"Epub\",\"JCR\":\"Q4\",\"JCRName\":\"GASTROENTEROLOGY & HEPATOLOGY\",\"Score\":null,\"Total\":0}","platform":"Semanticscholar","paperid":null,"PeriodicalName":"Zeitschrift fur Gastroenterologie","FirstCategoryId":"3","ListUrlMain":"https://doi.org/10.1055/a-2250-6502","RegionNum":4,"RegionCategory":"医学","ArticlePicture":[],"TitleCN":null,"AbstractTextCN":null,"PMCID":null,"EPubDate":"2024/2/28 0:00:00","PubModel":"Epub","JCR":"Q4","JCRName":"GASTROENTEROLOGY & HEPATOLOGY","Score":null,"Total":0}
引用次数: 0

摘要

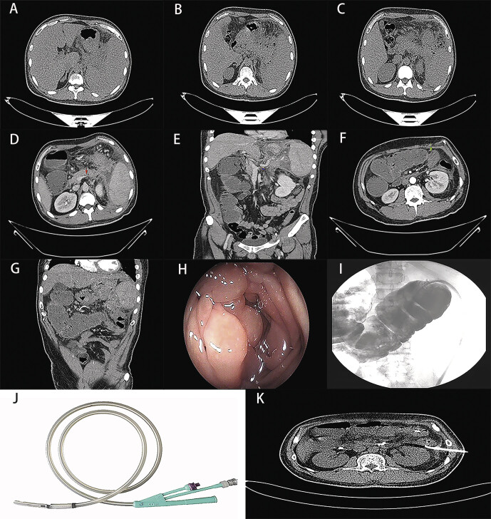
急性坏死性胰腺炎(ANP)通常伴有急性坏死集结(ANC)或贴壁坏死(WON)。由于胰腺、脾脏和横结肠之间存在密切的解剖学联系,坏死性胰腺炎常常合并脾脏或结肠受累。胰腺炎通常会引起胃肠道功能障碍,导致麻痹性肠梗阻。然而,胰腺炎合并机械性结肠梗阻的情况极为罕见。它很容易被误诊为恶性肠梗阻,如果伴有窦性门静脉高压症(SPH),诊断肠梗阻的病因就变得更加重要。手术切除是之前发生结肠并发症的主要方法。在本病例报告中,一名 37 岁的患者入院时被诊断为急性坏死性胰腺炎伴窦状门静脉高压症。入院后第 6 天,患者突发结肠梗阻。查明病因后,患者接受了经肛门减压管和微创坏死切除术,避免了结肠切除。急性坏死性胰腺炎合并结肠机械性梗阻时,必须明确病因,将治疗重点放在清除胰周坏死组织上,非手术治疗结肠梗阻是可行的,个体化治疗原则应贯穿整个疾病。
本文章由计算机程序翻译,如有差异,请以英文原文为准。

Acute Necrotizing Pancreatitis Complicated With Sinistral Portal Hypertension And Mechanical Obstruction Of The Colon: A Case Report.

Acute Necrotizing Pancreatitis Complicated With Sinistral Portal Hypertension And Mechanical Obstruction Of The Colon: A Case Report.

Acute necrotizing pancreatitis (ANP) is often associated with acute necrotic collection (ANC) or walled-off necrosis (WON). Due to the close anatomical connection between the pancreas, the spleen, and the transverse colon, necrotizing pancreatitis is often combined with spleen or colon involvement. Gastrointestinal dysfunction usually caused by pancreatitis leads to paralytic intestinal obstruction. However, pancreatitis combined with mechanical colonic obstruction is extremely rare. It can easily be misdiagnosed as malignant intestinal obstruction, and diagnosing the cause of intestinal obstruction becomes more critical when accompanied by Sinistral portal hypertension (SPH). Surgical resection is the primary method for the previous occurrence of colonic complications. In this case report, upon admission, a 37-year-old patient was diagnosed with acute necrotizing pancreatitis with sinistral portal hypertension. On the 6th day after admission, the patient developed a sudden colonic obstruction. After identifying the cause, the patient underwent a transanal decompression tube and minimally invasive necrosectomy, avoiding colon resection. In acute necrotizing pancreatitis combined with colonic mechanical obstruction, it is essential to clarify the etiology, and focus treatment on clearing the peripancreatic necrotic tissue, non-surgical treatment to deal with colonic obstruction is feasible, and the principle of individualized treatment should be used throughout the disease.

求助全文
通过发布文献求助,成功后即可免费获取论文全文。 去求助
来源期刊
Zeitschrift fur Gastroenterologie
Zeitschrift fur Gastroenterologie 医学-胃肠肝病学
CiteScore
1.40
自引率
15.40%
发文量
562
审稿时长
6-12 weeks
期刊介绍: Die Zeitschrift für Gastroenterologie ist seit über 50 Jahren die führende deutsche Fachzeitschrift auf dem Gebiet der Gastroenterologie. Sie richtet sich an Gastroenterologen und alle anderen gastroenterologisch interessierten Ärzte. Als offizielles Organ der Deutschen Gesellschaft für Gastroenterologie, Verdauungs- und Stoffwechselkrankheiten sowie der Österreichischen Gesellschaft für Gastroenterologie und Hepatologie informiert sie zuverlässig und aktuell über die wichtigen Neuerungen und Entwicklungen in der Gastroenterologie.
×
引用
GB/T 7714-2015
复制
MLA
复制
APA
复制
导出至
BibTeX EndNote RefMan NoteFirst NoteExpress
×
提示
您的信息不完整,为了账户安全,请先补充。
现在去补充
×
提示
您因"违规操作"
具体请查看互助需知
我知道了
×
提示
确定
请完成安全验证×
copy
已复制链接
快去分享给好友吧!
我知道了
右上角分享
点击右上角分享
0
联系我们:info@booksci.cn Book学术提供免费学术资源搜索服务,方便国内外学者检索中英文文献。致力于提供最便捷和优质的服务体验。 Copyright © 2023 布克学术 All rights reserved.
京ICP备2023020795号-1
ghs 京公网安备 11010802042870号
Book学术文献互助
Book学术文献互助群
群 号:604180095
Book学术官方微信