[马里巴马科一名艾滋病毒免疫抑制患者并发肺结核]。

Medecine tropicale et sante internationale Pub Date : 2023-11-17 eCollection Date: 2023-12-31 DOI:10.48327/mtsi.v3i4.2023.415
Farimadiané Coulibaly, Yacouba Cissoko, Aden Ibrahim Bouh, Djokdelna Ezéchiel Gandaye, Mariam Soumaré, Issa Konaté, Sounkalo Dao
{"title":"[马里巴马科一名艾滋病毒免疫抑制患者并发肺结核]。","authors":"Farimadiané Coulibaly, Yacouba Cissoko, Aden Ibrahim Bouh, Djokdelna Ezéchiel Gandaye, Mariam Soumaré, Issa Konaté, Sounkalo Dao","doi":"10.48327/mtsi.v3i4.2023.415","DOIUrl":null,"url":null,"abstract":"<p><strong>Introduction/rationale: </strong>Tuberculosis remains a major public health issue. It is an opportunistic pathology, very common in HIV-immunocompromised persons, classifying it at the WHO stage 4. Ear tuberculosis remains a rare and under-diagnosed clinical form. We report here a case of ear tuberculosis concomitant with pulmonary localization in an HIV-immunosuppressed person on triple antiretroviral therapy aged 32 years hospitalized in Bamako (Mali) to discuss the diagnostic and therapeutic difficulties posed by this rare localization.</p><p><strong>Description of the case: </strong>The patient had a chronic productive cough, otalgia and right chronic purulent otorrhea. The search for acid-resistant bacilli was positive for direct examination in gastric casing fluid and swabbing of the ear pus, confirming the diagnosis of tuberculosis. Anti-tuberculosis treatment instituted for 6 months associated with adjuvants resulted in complete healing of the patient.</p><p><strong>Discussion/conclusion: </strong>Although rare, ear localization must be actively sought. Etiological treatment must be instituted upon confirmation of the diagnosis to avoid complications and sequelae.</p>","PeriodicalId":101416,"journal":{"name":"Medecine tropicale et sante internationale","volume":"3 4","pages":""},"PeriodicalIF":0.0000,"publicationDate":"2023-11-17","publicationTypes":"Journal Article","fieldsOfStudy":null,"isOpenAccess":false,"openAccessPdf":"https://www.ncbi.nlm.nih.gov/pmc/articles/PMC10879891/pdf/","citationCount":"0","resultStr":"{\"title\":\"[Ear tuberculosis concomitant with pulmonary localization in an HIV-immunosuppressed patient, in Bamako, Mali].\",\"authors\":\"Farimadiané Coulibaly, Yacouba Cissoko, Aden Ibrahim Bouh, Djokdelna Ezéchiel Gandaye, Mariam Soumaré, Issa Konaté, Sounkalo Dao\",\"doi\":\"10.48327/mtsi.v3i4.2023.415\",\"DOIUrl\":null,\"url\":null,\"abstract\":\"<p><strong>Introduction/rationale: </strong>Tuberculosis remains a major public health issue. It is an opportunistic pathology, very common in HIV-immunocompromised persons, classifying it at the WHO stage 4. Ear tuberculosis remains a rare and under-diagnosed clinical form. We report here a case of ear tuberculosis concomitant with pulmonary localization in an HIV-immunosuppressed person on triple antiretroviral therapy aged 32 years hospitalized in Bamako (Mali) to discuss the diagnostic and therapeutic difficulties posed by this rare localization.</p><p><strong>Description of the case: </strong>The patient had a chronic productive cough, otalgia and right chronic purulent otorrhea. The search for acid-resistant bacilli was positive for direct examination in gastric casing fluid and swabbing of the ear pus, confirming the diagnosis of tuberculosis. Anti-tuberculosis treatment instituted for 6 months associated with adjuvants resulted in complete healing of the patient.</p><p><strong>Discussion/conclusion: </strong>Although rare, ear localization must be actively sought. Etiological treatment must be instituted upon confirmation of the diagnosis to avoid complications and sequelae.</p>\",\"PeriodicalId\":101416,\"journal\":{\"name\":\"Medecine tropicale et sante internationale\",\"volume\":\"3 4\",\"pages\":\"\"},\"PeriodicalIF\":0.0000,\"publicationDate\":\"2023-11-17\",\"publicationTypes\":\"Journal Article\",\"fieldsOfStudy\":null,\"isOpenAccess\":false,\"openAccessPdf\":\"https://www.ncbi.nlm.nih.gov/pmc/articles/PMC10879891/pdf/\",\"citationCount\":\"0\",\"resultStr\":null,\"platform\":\"Semanticscholar\",\"paperid\":null,\"PeriodicalName\":\"Medecine tropicale et sante internationale\",\"FirstCategoryId\":\"1085\",\"ListUrlMain\":\"https://doi.org/10.48327/mtsi.v3i4.2023.415\",\"RegionNum\":0,\"RegionCategory\":null,\"ArticlePicture\":[],\"TitleCN\":null,\"AbstractTextCN\":null,\"PMCID\":null,\"EPubDate\":\"2023/12/31 0:00:00\",\"PubModel\":\"eCollection\",\"JCR\":\"\",\"JCRName\":\"\",\"Score\":null,\"Total\":0}","platform":"Semanticscholar","paperid":null,"PeriodicalName":"Medecine tropicale et sante internationale","FirstCategoryId":"1085","ListUrlMain":"https://doi.org/10.48327/mtsi.v3i4.2023.415","RegionNum":0,"RegionCategory":null,"ArticlePicture":[],"TitleCN":null,"AbstractTextCN":null,"PMCID":null,"EPubDate":"2023/12/31 0:00:00","PubModel":"eCollection","JCR":"","JCRName":"","Score":null,"Total":0}
引用次数: 0

摘要

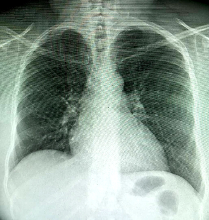
导言/理由:结核病仍然是一个重大的公共卫生问题。它是一种机会性病变,在艾滋病毒免疫力低下的人群中非常常见,属于世界卫生组织的第 4 阶段。耳结核仍然是一种罕见且诊断不足的临床形式。我们在此报告一例在巴马科(马里)住院的 32 岁接受三联抗逆转录病毒疗法的 HIV 免疫抑制患者的耳结核合并肺结核病例,以探讨这种罕见的局部病变所带来的诊断和治疗困难:患者患有慢性有痰咳嗽、耳痛和右侧慢性化脓性耳泻。在胃套管液和耳脓拭子中寻找耐酸杆菌,结果均呈阳性,确诊为肺结核。经过 6 个月的抗结核治疗和辅助治疗,患者完全康复:讨论/结论:耳部结核病虽然罕见,但必须积极寻找病因。讨论/结论:耳部定位虽然罕见,但必须积极就诊,确诊后必须进行病因治疗,以避免并发症和后遗症。
本文章由计算机程序翻译,如有差异,请以英文原文为准。

[Ear tuberculosis concomitant with pulmonary localization in an HIV-immunosuppressed patient, in Bamako, Mali].

[Ear tuberculosis concomitant with pulmonary localization in an HIV-immunosuppressed patient, in Bamako, Mali].

[Ear tuberculosis concomitant with pulmonary localization in an HIV-immunosuppressed patient, in Bamako, Mali].

[Ear tuberculosis concomitant with pulmonary localization in an HIV-immunosuppressed patient, in Bamako, Mali].

Introduction/rationale: Tuberculosis remains a major public health issue. It is an opportunistic pathology, very common in HIV-immunocompromised persons, classifying it at the WHO stage 4. Ear tuberculosis remains a rare and under-diagnosed clinical form. We report here a case of ear tuberculosis concomitant with pulmonary localization in an HIV-immunosuppressed person on triple antiretroviral therapy aged 32 years hospitalized in Bamako (Mali) to discuss the diagnostic and therapeutic difficulties posed by this rare localization.

Description of the case: The patient had a chronic productive cough, otalgia and right chronic purulent otorrhea. The search for acid-resistant bacilli was positive for direct examination in gastric casing fluid and swabbing of the ear pus, confirming the diagnosis of tuberculosis. Anti-tuberculosis treatment instituted for 6 months associated with adjuvants resulted in complete healing of the patient.

Discussion/conclusion: Although rare, ear localization must be actively sought. Etiological treatment must be instituted upon confirmation of the diagnosis to avoid complications and sequelae.

求助全文
通过发布文献求助,成功后即可免费获取论文全文。 去求助
来源期刊
CiteScore
0.20
自引率
0.00%
发文量
0
×
引用
GB/T 7714-2015
复制
MLA
复制
APA
复制
导出至
BibTeX EndNote RefMan NoteFirst NoteExpress
×
提示
您的信息不完整,为了账户安全,请先补充。
现在去补充
×
提示
您因"违规操作"
具体请查看互助需知
我知道了
×
提示
确定
请完成安全验证×
copy
已复制链接
快去分享给好友吧!
我知道了
右上角分享
点击右上角分享
0
联系我们:info@booksci.cn Book学术提供免费学术资源搜索服务,方便国内外学者检索中英文文献。致力于提供最便捷和优质的服务体验。 Copyright © 2023 布克学术 All rights reserved.
京ICP备2023020795号-1
ghs 京公网安备 11010802042870号
Book学术文献互助
Book学术文献互助群
群 号:604180095
Book学术官方微信