南非比勒陀利亚北部一家三级实验室偶然诊断出输卵管腺瘤。

IF 1.9 Q3 PATHOLOGY
Clinical Pathology Pub Date : 2024-02-16 eCollection Date: 2024-01-01 DOI:10.1177/2632010X241230265
Nosipho Maria Thobakgale, Moshawa Calvin Khaba
{"title":"南非比勒陀利亚北部一家三级实验室偶然诊断出输卵管腺瘤。","authors":"Nosipho Maria Thobakgale, Moshawa Calvin Khaba","doi":"10.1177/2632010X241230265","DOIUrl":null,"url":null,"abstract":"<p><strong>Introduction: </strong>Adenomatoid tumours are the most common benign mesothelial neoplasms of the fallopian tube. They are usually diagnosed incidentally in specimens submitted for bilateral tubal ligation and can be mistake for vascular or epithelial lesions.</p><p><strong>Materials and methods: </strong>A retrospective analysis of cases with adenomatoid tumour of the fallopian submitted for tubal ligation from 2012 to 2020. The clinicopathological characteristic data was retrieved from the laboratory information system.</p><p><strong>Results: </strong>A total of 11 cases with adenomatoid tumour of the fallopian tubes submitted for tubal ligation were identified in women with average age of 30.9 years. In all the cases, only 1 fallopian tube was affected. Grossly, the fallopian tubes did not show any discernible tumour. Immunohistochemical stains confirmed the diagnosis of adenomatoid tumours in all the cases.</p><p><strong>Conclusion: </strong>Adenomatoid tumours in fallopian tubes are infrequent, and pathologists shouldn't overlook them especially in unsuspicious instances. As frequent as adenomatoid tumour of the fallopian tubes are uncommon, pathologists show be aware of as their misdiagnosis could lead mismanagement of patient with far reaching complication.</p>","PeriodicalId":53204,"journal":{"name":"Clinical Pathology","volume":"17 ","pages":"2632010X241230265"},"PeriodicalIF":1.9000,"publicationDate":"2024-02-16","publicationTypes":"Journal Article","fieldsOfStudy":null,"isOpenAccess":false,"openAccessPdf":"https://www.ncbi.nlm.nih.gov/pmc/articles/PMC10874146/pdf/","citationCount":"0","resultStr":"{\"title\":\"The Incidental Diagnosis of Adenomatoid Tumour on Fallopian Tubes Submitted for Tubal Ligation at a Tertiary Laboratory in Northern Pretoria, South Africa.\",\"authors\":\"Nosipho Maria Thobakgale, Moshawa Calvin Khaba\",\"doi\":\"10.1177/2632010X241230265\",\"DOIUrl\":null,\"url\":null,\"abstract\":\"<p><strong>Introduction: </strong>Adenomatoid tumours are the most common benign mesothelial neoplasms of the fallopian tube. They are usually diagnosed incidentally in specimens submitted for bilateral tubal ligation and can be mistake for vascular or epithelial lesions.</p><p><strong>Materials and methods: </strong>A retrospective analysis of cases with adenomatoid tumour of the fallopian submitted for tubal ligation from 2012 to 2020. The clinicopathological characteristic data was retrieved from the laboratory information system.</p><p><strong>Results: </strong>A total of 11 cases with adenomatoid tumour of the fallopian tubes submitted for tubal ligation were identified in women with average age of 30.9 years. In all the cases, only 1 fallopian tube was affected. Grossly, the fallopian tubes did not show any discernible tumour. Immunohistochemical stains confirmed the diagnosis of adenomatoid tumours in all the cases.</p><p><strong>Conclusion: </strong>Adenomatoid tumours in fallopian tubes are infrequent, and pathologists shouldn't overlook them especially in unsuspicious instances. As frequent as adenomatoid tumour of the fallopian tubes are uncommon, pathologists show be aware of as their misdiagnosis could lead mismanagement of patient with far reaching complication.</p>\",\"PeriodicalId\":53204,\"journal\":{\"name\":\"Clinical Pathology\",\"volume\":\"17 \",\"pages\":\"2632010X241230265\"},\"PeriodicalIF\":1.9000,\"publicationDate\":\"2024-02-16\",\"publicationTypes\":\"Journal Article\",\"fieldsOfStudy\":null,\"isOpenAccess\":false,\"openAccessPdf\":\"https://www.ncbi.nlm.nih.gov/pmc/articles/PMC10874146/pdf/\",\"citationCount\":\"0\",\"resultStr\":null,\"platform\":\"Semanticscholar\",\"paperid\":null,\"PeriodicalName\":\"Clinical Pathology\",\"FirstCategoryId\":\"1085\",\"ListUrlMain\":\"https://doi.org/10.1177/2632010X241230265\",\"RegionNum\":0,\"RegionCategory\":null,\"ArticlePicture\":[],\"TitleCN\":null,\"AbstractTextCN\":null,\"PMCID\":null,\"EPubDate\":\"2024/1/1 0:00:00\",\"PubModel\":\"eCollection\",\"JCR\":\"Q3\",\"JCRName\":\"PATHOLOGY\",\"Score\":null,\"Total\":0}","platform":"Semanticscholar","paperid":null,"PeriodicalName":"Clinical Pathology","FirstCategoryId":"1085","ListUrlMain":"https://doi.org/10.1177/2632010X241230265","RegionNum":0,"RegionCategory":null,"ArticlePicture":[],"TitleCN":null,"AbstractTextCN":null,"PMCID":null,"EPubDate":"2024/1/1 0:00:00","PubModel":"eCollection","JCR":"Q3","JCRName":"PATHOLOGY","Score":null,"Total":0}
引用次数: 0

摘要

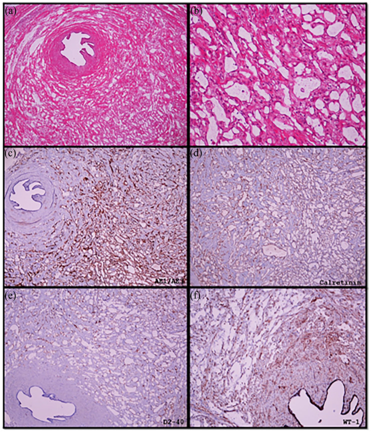
导言腺瘤是输卵管最常见的良性间皮瘤。它们通常在接受双侧输卵管结扎术的标本中偶然被诊断出来,可能被误认为是血管性或上皮性病变:回顾性分析 2012 年至 2020 年期间接受输卵管结扎手术的输卵管腺瘤病例。临床病理特征数据来自实验室信息系统:结果:共有11例输卵管腺瘤样肿瘤患者接受了输卵管结扎手术,患者平均年龄为30.9岁。在所有病例中,只有 1 例输卵管受到影响。从大体上看,输卵管没有任何明显的肿瘤。免疫组化染色证实了所有病例的腺瘤样肿瘤诊断:结论:输卵管腺瘤样肿瘤并不常见,病理学家不应忽视它们,尤其是在不可疑的情况下。虽然输卵管腺瘤样肿瘤并不常见,但病理学家仍应注意,因为误诊可能导致对患者的管理不善,造成深远的并发症。
本文章由计算机程序翻译,如有差异,请以英文原文为准。

The Incidental Diagnosis of Adenomatoid Tumour on Fallopian Tubes Submitted for Tubal Ligation at a Tertiary Laboratory in Northern Pretoria, South Africa.

The Incidental Diagnosis of Adenomatoid Tumour on Fallopian Tubes Submitted for Tubal Ligation at a Tertiary Laboratory in Northern Pretoria, South Africa.

The Incidental Diagnosis of Adenomatoid Tumour on Fallopian Tubes Submitted for Tubal Ligation at a Tertiary Laboratory in Northern Pretoria, South Africa.

Introduction: Adenomatoid tumours are the most common benign mesothelial neoplasms of the fallopian tube. They are usually diagnosed incidentally in specimens submitted for bilateral tubal ligation and can be mistake for vascular or epithelial lesions.

Materials and methods: A retrospective analysis of cases with adenomatoid tumour of the fallopian submitted for tubal ligation from 2012 to 2020. The clinicopathological characteristic data was retrieved from the laboratory information system.

Results: A total of 11 cases with adenomatoid tumour of the fallopian tubes submitted for tubal ligation were identified in women with average age of 30.9 years. In all the cases, only 1 fallopian tube was affected. Grossly, the fallopian tubes did not show any discernible tumour. Immunohistochemical stains confirmed the diagnosis of adenomatoid tumours in all the cases.

Conclusion: Adenomatoid tumours in fallopian tubes are infrequent, and pathologists shouldn't overlook them especially in unsuspicious instances. As frequent as adenomatoid tumour of the fallopian tubes are uncommon, pathologists show be aware of as their misdiagnosis could lead mismanagement of patient with far reaching complication.

求助全文
通过发布文献求助,成功后即可免费获取论文全文。 去求助
来源期刊
Clinical Pathology
Clinical Pathology PATHOLOGY-
CiteScore
2.20
自引率
7.70%
发文量
66
×
引用
GB/T 7714-2015
复制
MLA
复制
APA
复制
导出至
BibTeX EndNote RefMan NoteFirst NoteExpress
×
提示
您的信息不完整,为了账户安全,请先补充。
现在去补充
×
提示
您因"违规操作"
具体请查看互助需知
我知道了
×
提示
确定
请完成安全验证×
copy
已复制链接
快去分享给好友吧!
我知道了
右上角分享
点击右上角分享
0
联系我们:info@booksci.cn Book学术提供免费学术资源搜索服务,方便国内外学者检索中英文文献。致力于提供最便捷和优质的服务体验。 Copyright © 2023 布克学术 All rights reserved.
京ICP备2023020795号-1
ghs 京公网安备 11010802042870号
Book学术文献互助
Book学术文献互助群
群 号:604180095
Book学术官方微信