结膜黑色素瘤完全治疗后的泪腺引流系统和鼻腔黑色素瘤

IF 0.4 Q4 OPHTHALMOLOGY
Case Reports in Ophthalmological Medicine Pub Date : 2024-02-08 eCollection Date: 2024-01-01 DOI:10.1155/2024/1034939
Amirreza Veisi, Zahra Dastborhan, Mohsen Dastmardi, Mozhgan Rezaie Kanavi, Saeid Rezaei
{"title":"结膜黑色素瘤完全治疗后的泪腺引流系统和鼻腔黑色素瘤","authors":"Amirreza Veisi, Zahra Dastborhan, Mohsen Dastmardi, Mozhgan Rezaie Kanavi, Saeid Rezaei","doi":"10.1155/2024/1034939","DOIUrl":null,"url":null,"abstract":"<p><p>Malignant melanoma of the conjunctiva is a rare tumor of the ocular surface with potential fatal consequences and a high likelihood of recurrence. Although routes for extending the tumor, including local, hematogenous, and lymphatogenous, are pretty straightforward, the indirect extension through free-floating tumoral cells to the nasolacrimal duct is not described thoroughly. We report a case of malignant melanoma of the conjunctiva which presented with local recurrence in the intranasal cavity and lacrimal sac two years after the primary surgery (without involvement of the ocular surface and punctum on the second occasion). However, there was no evidence of distant metastasis on either occasion. This case demonstrates the possible noncontiguous spreading route of melanoma tumoral cells and highlights the need for attention to the surgical technique, and careful follow-up to detect further disease activity.</p>","PeriodicalId":9603,"journal":{"name":"Case Reports in Ophthalmological Medicine","volume":"2024 ","pages":"1034939"},"PeriodicalIF":0.4000,"publicationDate":"2024-02-08","publicationTypes":"Journal Article","fieldsOfStudy":null,"isOpenAccess":false,"openAccessPdf":"https://www.ncbi.nlm.nih.gov/pmc/articles/PMC10869194/pdf/","citationCount":"0","resultStr":"{\"title\":\"Lacrimal Drainage System and Nasal Cavity Melanoma after Complete Treatment of Conjunctival Melanoma.\",\"authors\":\"Amirreza Veisi, Zahra Dastborhan, Mohsen Dastmardi, Mozhgan Rezaie Kanavi, Saeid Rezaei\",\"doi\":\"10.1155/2024/1034939\",\"DOIUrl\":null,\"url\":null,\"abstract\":\"<p><p>Malignant melanoma of the conjunctiva is a rare tumor of the ocular surface with potential fatal consequences and a high likelihood of recurrence. Although routes for extending the tumor, including local, hematogenous, and lymphatogenous, are pretty straightforward, the indirect extension through free-floating tumoral cells to the nasolacrimal duct is not described thoroughly. We report a case of malignant melanoma of the conjunctiva which presented with local recurrence in the intranasal cavity and lacrimal sac two years after the primary surgery (without involvement of the ocular surface and punctum on the second occasion). However, there was no evidence of distant metastasis on either occasion. This case demonstrates the possible noncontiguous spreading route of melanoma tumoral cells and highlights the need for attention to the surgical technique, and careful follow-up to detect further disease activity.</p>\",\"PeriodicalId\":9603,\"journal\":{\"name\":\"Case Reports in Ophthalmological Medicine\",\"volume\":\"2024 \",\"pages\":\"1034939\"},\"PeriodicalIF\":0.4000,\"publicationDate\":\"2024-02-08\",\"publicationTypes\":\"Journal Article\",\"fieldsOfStudy\":null,\"isOpenAccess\":false,\"openAccessPdf\":\"https://www.ncbi.nlm.nih.gov/pmc/articles/PMC10869194/pdf/\",\"citationCount\":\"0\",\"resultStr\":null,\"platform\":\"Semanticscholar\",\"paperid\":null,\"PeriodicalName\":\"Case Reports in Ophthalmological Medicine\",\"FirstCategoryId\":\"1085\",\"ListUrlMain\":\"https://doi.org/10.1155/2024/1034939\",\"RegionNum\":0,\"RegionCategory\":null,\"ArticlePicture\":[],\"TitleCN\":null,\"AbstractTextCN\":null,\"PMCID\":null,\"EPubDate\":\"2024/1/1 0:00:00\",\"PubModel\":\"eCollection\",\"JCR\":\"Q4\",\"JCRName\":\"OPHTHALMOLOGY\",\"Score\":null,\"Total\":0}","platform":"Semanticscholar","paperid":null,"PeriodicalName":"Case Reports in Ophthalmological Medicine","FirstCategoryId":"1085","ListUrlMain":"https://doi.org/10.1155/2024/1034939","RegionNum":0,"RegionCategory":null,"ArticlePicture":[],"TitleCN":null,"AbstractTextCN":null,"PMCID":null,"EPubDate":"2024/1/1 0:00:00","PubModel":"eCollection","JCR":"Q4","JCRName":"OPHTHALMOLOGY","Score":null,"Total":0}
引用次数: 0

摘要

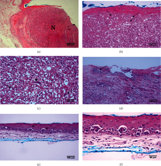
结膜恶性黑色素瘤是一种罕见的眼表肿瘤,具有潜在的致命后果,而且复发的可能性很高。虽然肿瘤的扩展途径(包括局部、血源性和淋巴管源性)非常简单,但通过自由漂浮的肿瘤细胞间接扩展到鼻泪管的情况却没有得到详细描述。我们报告了一例结膜恶性黑色素瘤病例,该病例在初次手术两年后在鼻腔内和泪囊局部复发(第二次没有累及眼表和穿刺点)。不过,这两次都没有远处转移的迹象。本病例显示了黑色素瘤肿瘤细胞可能的非连续性扩散途径,并强调需要注意手术技巧和仔细随访,以发现进一步的疾病活动。
本文章由计算机程序翻译,如有差异,请以英文原文为准。

Lacrimal Drainage System and Nasal Cavity Melanoma after Complete Treatment of Conjunctival Melanoma.

Lacrimal Drainage System and Nasal Cavity Melanoma after Complete Treatment of Conjunctival Melanoma.

Lacrimal Drainage System and Nasal Cavity Melanoma after Complete Treatment of Conjunctival Melanoma.

Malignant melanoma of the conjunctiva is a rare tumor of the ocular surface with potential fatal consequences and a high likelihood of recurrence. Although routes for extending the tumor, including local, hematogenous, and lymphatogenous, are pretty straightforward, the indirect extension through free-floating tumoral cells to the nasolacrimal duct is not described thoroughly. We report a case of malignant melanoma of the conjunctiva which presented with local recurrence in the intranasal cavity and lacrimal sac two years after the primary surgery (without involvement of the ocular surface and punctum on the second occasion). However, there was no evidence of distant metastasis on either occasion. This case demonstrates the possible noncontiguous spreading route of melanoma tumoral cells and highlights the need for attention to the surgical technique, and careful follow-up to detect further disease activity.

求助全文
通过发布文献求助,成功后即可免费获取论文全文。 去求助
来源期刊
自引率
0.00%
发文量
38
审稿时长
14 weeks
×
引用
GB/T 7714-2015
复制
MLA
复制
APA
复制
导出至
BibTeX EndNote RefMan NoteFirst NoteExpress
×
提示
您的信息不完整,为了账户安全,请先补充。
现在去补充
×
提示
您因"违规操作"
具体请查看互助需知
我知道了
×
提示
确定
请完成安全验证×
copy
已复制链接
快去分享给好友吧!
我知道了
右上角分享
点击右上角分享
0
联系我们:info@booksci.cn Book学术提供免费学术资源搜索服务,方便国内外学者检索中英文文献。致力于提供最便捷和优质的服务体验。 Copyright © 2023 布克学术 All rights reserved.
京ICP备2023020795号-1
ghs 京公网安备 11010802042870号
Book学术文献互助
Book学术文献互助群
群 号:604180095
Book学术官方微信