一个伴有情绪和精神症状的后皮质萎缩病例。

Q4 Medicine
Case Reports in Psychiatry Pub Date : 2024-02-08 eCollection Date: 2024-01-01 DOI:10.1155/2024/2220082
Tremearne Hotz, Manu Sharma, Bharat Narapareddy
{"title":"一个伴有情绪和精神症状的后皮质萎缩病例。","authors":"Tremearne Hotz, Manu Sharma, Bharat Narapareddy","doi":"10.1155/2024/2220082","DOIUrl":null,"url":null,"abstract":"<p><p>Posterior cortical atrophy (PCA) is a rare neurodegenerative disorder characterized by predominant visual deficits due to its atrophy of the occipital lobes. Patients typically have preserved cognitive function during the early stages, making diagnosis more difficult when compared to other neurocognitive disorders. In this case, the patient presented predominantly with mood symptoms, delusions, and visual hallucinations. The disease course began 5 years ago with anxiety and insomnia. It developed into depressive symptoms including two suicide attempts (SAs), paranoia, and hallucinations. The diagnosis was eventually reached utilizing a thorough clinical exam, neuropsychological testing, MRI, positron emission tomography (PET), and dopamine transporter (DAT) scans. We conclude that mood or psychotic symptoms that emerge, escalate, or change dramatically at later ages merit further workup to evaluate for underlying neurodegenerative disorders.</p>","PeriodicalId":9631,"journal":{"name":"Case Reports in Psychiatry","volume":"2024 ","pages":"2220082"},"PeriodicalIF":0.0000,"publicationDate":"2024-02-08","publicationTypes":"Journal Article","fieldsOfStudy":null,"isOpenAccess":false,"openAccessPdf":"https://www.ncbi.nlm.nih.gov/pmc/articles/PMC10869182/pdf/","citationCount":"0","resultStr":"{\"title\":\"A Case of Posterior Cortical Atrophy Presenting with Mood and Psychotic Symptoms.\",\"authors\":\"Tremearne Hotz, Manu Sharma, Bharat Narapareddy\",\"doi\":\"10.1155/2024/2220082\",\"DOIUrl\":null,\"url\":null,\"abstract\":\"<p><p>Posterior cortical atrophy (PCA) is a rare neurodegenerative disorder characterized by predominant visual deficits due to its atrophy of the occipital lobes. Patients typically have preserved cognitive function during the early stages, making diagnosis more difficult when compared to other neurocognitive disorders. In this case, the patient presented predominantly with mood symptoms, delusions, and visual hallucinations. The disease course began 5 years ago with anxiety and insomnia. It developed into depressive symptoms including two suicide attempts (SAs), paranoia, and hallucinations. The diagnosis was eventually reached utilizing a thorough clinical exam, neuropsychological testing, MRI, positron emission tomography (PET), and dopamine transporter (DAT) scans. We conclude that mood or psychotic symptoms that emerge, escalate, or change dramatically at later ages merit further workup to evaluate for underlying neurodegenerative disorders.</p>\",\"PeriodicalId\":9631,\"journal\":{\"name\":\"Case Reports in Psychiatry\",\"volume\":\"2024 \",\"pages\":\"2220082\"},\"PeriodicalIF\":0.0000,\"publicationDate\":\"2024-02-08\",\"publicationTypes\":\"Journal Article\",\"fieldsOfStudy\":null,\"isOpenAccess\":false,\"openAccessPdf\":\"https://www.ncbi.nlm.nih.gov/pmc/articles/PMC10869182/pdf/\",\"citationCount\":\"0\",\"resultStr\":null,\"platform\":\"Semanticscholar\",\"paperid\":null,\"PeriodicalName\":\"Case Reports in Psychiatry\",\"FirstCategoryId\":\"1085\",\"ListUrlMain\":\"https://doi.org/10.1155/2024/2220082\",\"RegionNum\":0,\"RegionCategory\":null,\"ArticlePicture\":[],\"TitleCN\":null,\"AbstractTextCN\":null,\"PMCID\":null,\"EPubDate\":\"2024/1/1 0:00:00\",\"PubModel\":\"eCollection\",\"JCR\":\"Q4\",\"JCRName\":\"Medicine\",\"Score\":null,\"Total\":0}","platform":"Semanticscholar","paperid":null,"PeriodicalName":"Case Reports in Psychiatry","FirstCategoryId":"1085","ListUrlMain":"https://doi.org/10.1155/2024/2220082","RegionNum":0,"RegionCategory":null,"ArticlePicture":[],"TitleCN":null,"AbstractTextCN":null,"PMCID":null,"EPubDate":"2024/1/1 0:00:00","PubModel":"eCollection","JCR":"Q4","JCRName":"Medicine","Score":null,"Total":0}
引用次数: 0

摘要

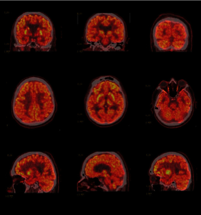
后皮质萎缩症(PCA)是一种罕见的神经退行性疾病,其特征是由于枕叶萎缩而导致主要的视觉障碍。患者在早期通常会保留认知功能,因此与其他神经认知障碍相比,诊断更为困难。在本病例中,患者主要表现为情绪症状、妄想和视幻觉。病程始于 5 年前的焦虑和失眠。随后发展为抑郁症状,包括两次自杀未遂(SA)、妄想和幻觉。通过全面的临床检查、神经心理学测试、核磁共振成像(MRI)、正电子发射断层扫描(PET)和多巴胺转运体(DAT)扫描,最终得出了诊断结果。我们的结论是,如果情绪或精神症状在晚年出现、升级或急剧变化,值得进一步检查,以评估是否存在潜在的神经退行性疾病。
本文章由计算机程序翻译,如有差异,请以英文原文为准。

A Case of Posterior Cortical Atrophy Presenting with Mood and Psychotic Symptoms.

A Case of Posterior Cortical Atrophy Presenting with Mood and Psychotic Symptoms.

Posterior cortical atrophy (PCA) is a rare neurodegenerative disorder characterized by predominant visual deficits due to its atrophy of the occipital lobes. Patients typically have preserved cognitive function during the early stages, making diagnosis more difficult when compared to other neurocognitive disorders. In this case, the patient presented predominantly with mood symptoms, delusions, and visual hallucinations. The disease course began 5 years ago with anxiety and insomnia. It developed into depressive symptoms including two suicide attempts (SAs), paranoia, and hallucinations. The diagnosis was eventually reached utilizing a thorough clinical exam, neuropsychological testing, MRI, positron emission tomography (PET), and dopamine transporter (DAT) scans. We conclude that mood or psychotic symptoms that emerge, escalate, or change dramatically at later ages merit further workup to evaluate for underlying neurodegenerative disorders.

求助全文
通过发布文献求助,成功后即可免费获取论文全文。 去求助
来源期刊
Case Reports in Psychiatry
Case Reports in Psychiatry Medicine-Psychiatry and Mental Health
CiteScore
1.00
自引率
0.00%
发文量
49
审稿时长
12 weeks
×
引用
GB/T 7714-2015
复制
MLA
复制
APA
复制
导出至
BibTeX EndNote RefMan NoteFirst NoteExpress
×
提示
您的信息不完整,为了账户安全,请先补充。
现在去补充
×
提示
您因"违规操作"
具体请查看互助需知
我知道了
×
提示
确定
请完成安全验证×
copy
已复制链接
快去分享给好友吧!
我知道了
右上角分享
点击右上角分享
0
联系我们:info@booksci.cn Book学术提供免费学术资源搜索服务,方便国内外学者检索中英文文献。致力于提供最便捷和优质的服务体验。 Copyright © 2023 布克学术 All rights reserved.
京ICP备2023020795号-1
ghs 京公网安备 11010802042870号
Book学术文献互助
Book学术文献互助群
群 号:604180095
Book学术官方微信