对手术切除和放射性核素靶向治疗敏感的内脏源皮肤神经内分泌转移瘤

Q3 Medicine
Case Reports in Dermatological Medicine Pub Date : 2024-02-06 eCollection Date: 2024-01-01 DOI:10.1155/2024/8873822
Eleanor Tung-Hahn, Ghassan El-Haddad, Jonathan Strosberg
{"title":"对手术切除和放射性核素靶向治疗敏感的内脏源皮肤神经内分泌转移瘤","authors":"Eleanor Tung-Hahn, Ghassan El-Haddad, Jonathan Strosberg","doi":"10.1155/2024/8873822","DOIUrl":null,"url":null,"abstract":"<p><p>Neuroendocrine neoplasms (NENs) encompass a diverse range of biologically and behaviorally distinct epithelial malignancies that derive from neuroendocrine cells. These neoplasms are able to secrete a variety of bioactive amines or peptide hormones. The majority of NENs are well-differentiated and are defined as neuroendocrine tumors (NETs). While NETs are known to frequently metastasize to lymph nodes, liver, and lungs, spread to the skin is extremely rare and is often a late finding. Because cutaneous metastasis from a visceral site represents distant tumor dissemination, prompt histologic diagnosis is critical in terms of selecting further treatment options and ultimately impacts subsequent prognosis. This report presents a man with painful cutaneous NET metastases initially on the face then scalp. He had a prior history of longstanding and progressive stage IV visceral disease. Multimodal therapy with initial surgical resection of the larger facial lesion and radionuclide infusion therapy was undertaken. Excision fully removed the temple lesion and resolved pain. Peptide receptor radionuclide therapy (PRRT) with <sup>177</sup>Lu-DOTATATE, a radiolabeled somatostatin analog that targets somatostatin receptors on NETs, was given along with maintenance lanreotide therapy, which resolved the scalp lesion, prevented recurrence of prior lesions and development of new cutaneous metastases, and controlled his visceral disease. PRRT has not been previously described in the management of cutaneous NET metastases. Due to the rare nature of cutaneous NET metastases, there is no consensus regarding optimal management. As such, we propose novel multimodal therapy involving excision and targeted radionuclide therapy as a possible effective option.</p>","PeriodicalId":9630,"journal":{"name":"Case Reports in Dermatological Medicine","volume":"2024 ","pages":"8873822"},"PeriodicalIF":0.0000,"publicationDate":"2024-02-06","publicationTypes":"Journal Article","fieldsOfStudy":null,"isOpenAccess":false,"openAccessPdf":"https://www.ncbi.nlm.nih.gov/pmc/articles/PMC10864049/pdf/","citationCount":"0","resultStr":"{\"title\":\"Cutaneous Neuroendocrine Metastases of Visceral Origin Responsive to Surgical Resection and Targeted Radionuclide Therapy.\",\"authors\":\"Eleanor Tung-Hahn, Ghassan El-Haddad, Jonathan Strosberg\",\"doi\":\"10.1155/2024/8873822\",\"DOIUrl\":null,\"url\":null,\"abstract\":\"<p><p>Neuroendocrine neoplasms (NENs) encompass a diverse range of biologically and behaviorally distinct epithelial malignancies that derive from neuroendocrine cells. These neoplasms are able to secrete a variety of bioactive amines or peptide hormones. The majority of NENs are well-differentiated and are defined as neuroendocrine tumors (NETs). While NETs are known to frequently metastasize to lymph nodes, liver, and lungs, spread to the skin is extremely rare and is often a late finding. Because cutaneous metastasis from a visceral site represents distant tumor dissemination, prompt histologic diagnosis is critical in terms of selecting further treatment options and ultimately impacts subsequent prognosis. This report presents a man with painful cutaneous NET metastases initially on the face then scalp. He had a prior history of longstanding and progressive stage IV visceral disease. Multimodal therapy with initial surgical resection of the larger facial lesion and radionuclide infusion therapy was undertaken. Excision fully removed the temple lesion and resolved pain. Peptide receptor radionuclide therapy (PRRT) with <sup>177</sup>Lu-DOTATATE, a radiolabeled somatostatin analog that targets somatostatin receptors on NETs, was given along with maintenance lanreotide therapy, which resolved the scalp lesion, prevented recurrence of prior lesions and development of new cutaneous metastases, and controlled his visceral disease. PRRT has not been previously described in the management of cutaneous NET metastases. Due to the rare nature of cutaneous NET metastases, there is no consensus regarding optimal management. As such, we propose novel multimodal therapy involving excision and targeted radionuclide therapy as a possible effective option.</p>\",\"PeriodicalId\":9630,\"journal\":{\"name\":\"Case Reports in Dermatological Medicine\",\"volume\":\"2024 \",\"pages\":\"8873822\"},\"PeriodicalIF\":0.0000,\"publicationDate\":\"2024-02-06\",\"publicationTypes\":\"Journal Article\",\"fieldsOfStudy\":null,\"isOpenAccess\":false,\"openAccessPdf\":\"https://www.ncbi.nlm.nih.gov/pmc/articles/PMC10864049/pdf/\",\"citationCount\":\"0\",\"resultStr\":null,\"platform\":\"Semanticscholar\",\"paperid\":null,\"PeriodicalName\":\"Case Reports in Dermatological Medicine\",\"FirstCategoryId\":\"1085\",\"ListUrlMain\":\"https://doi.org/10.1155/2024/8873822\",\"RegionNum\":0,\"RegionCategory\":null,\"ArticlePicture\":[],\"TitleCN\":null,\"AbstractTextCN\":null,\"PMCID\":null,\"EPubDate\":\"2024/1/1 0:00:00\",\"PubModel\":\"eCollection\",\"JCR\":\"Q3\",\"JCRName\":\"Medicine\",\"Score\":null,\"Total\":0}","platform":"Semanticscholar","paperid":null,"PeriodicalName":"Case Reports in Dermatological Medicine","FirstCategoryId":"1085","ListUrlMain":"https://doi.org/10.1155/2024/8873822","RegionNum":0,"RegionCategory":null,"ArticlePicture":[],"TitleCN":null,"AbstractTextCN":null,"PMCID":null,"EPubDate":"2024/1/1 0:00:00","PubModel":"eCollection","JCR":"Q3","JCRName":"Medicine","Score":null,"Total":0}
引用次数: 0

摘要

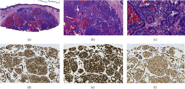
神经内分泌肿瘤(NENs)包括各种不同的生物和行为上独特的上皮恶性肿瘤,它们都来自神经内分泌细胞。这些肿瘤能够分泌多种生物活性胺或肽类激素。大多数神经内分泌瘤分化良好,被定义为神经内分泌瘤(NET)。众所周知,NET 常常会转移到淋巴结、肝脏和肺部,但转移到皮肤的情况极为罕见,而且往往是晚期才发现。由于内脏部位的皮肤转移代表着肿瘤的远处播散,因此及时的组织学诊断对于选择进一步的治疗方案至关重要,并最终影响后续的预后。本报告介绍了一名男性患者,他患有疼痛性皮肤 NET 转移瘤,最初出现在面部,后来转移到头皮。他曾有长期和进展性内脏疾病 IV 期病史。患者接受了多模式治疗,最初通过手术切除了面部较大的病灶,并进行了放射性核素输注治疗。切除手术完全清除了太阳穴病灶,并缓解了疼痛。177Lu-DOTATATE是一种放射性标记的体生长抑素类似物,可靶向NET上的体生长抑素受体,患者在接受兰瑞奥肽维持治疗的同时接受了肽受体放射性核素治疗(PRRT),头皮病变得到了根治,防止了之前病变的复发和新的皮肤转移,内脏疾病也得到了控制。在治疗皮肤NET转移方面,PRRT以前从未有过描述。由于皮肤 NET 转移瘤的罕见性,目前尚未就最佳治疗方法达成共识。因此,我们提出了新颖的多模式疗法,包括切除术和靶向放射性核素疗法,作为一种可能的有效选择。
本文章由计算机程序翻译,如有差异,请以英文原文为准。

Cutaneous Neuroendocrine Metastases of Visceral Origin Responsive to Surgical Resection and Targeted Radionuclide Therapy.

Cutaneous Neuroendocrine Metastases of Visceral Origin Responsive to Surgical Resection and Targeted Radionuclide Therapy.

Cutaneous Neuroendocrine Metastases of Visceral Origin Responsive to Surgical Resection and Targeted Radionuclide Therapy.

Cutaneous Neuroendocrine Metastases of Visceral Origin Responsive to Surgical Resection and Targeted Radionuclide Therapy.

Neuroendocrine neoplasms (NENs) encompass a diverse range of biologically and behaviorally distinct epithelial malignancies that derive from neuroendocrine cells. These neoplasms are able to secrete a variety of bioactive amines or peptide hormones. The majority of NENs are well-differentiated and are defined as neuroendocrine tumors (NETs). While NETs are known to frequently metastasize to lymph nodes, liver, and lungs, spread to the skin is extremely rare and is often a late finding. Because cutaneous metastasis from a visceral site represents distant tumor dissemination, prompt histologic diagnosis is critical in terms of selecting further treatment options and ultimately impacts subsequent prognosis. This report presents a man with painful cutaneous NET metastases initially on the face then scalp. He had a prior history of longstanding and progressive stage IV visceral disease. Multimodal therapy with initial surgical resection of the larger facial lesion and radionuclide infusion therapy was undertaken. Excision fully removed the temple lesion and resolved pain. Peptide receptor radionuclide therapy (PRRT) with 177Lu-DOTATATE, a radiolabeled somatostatin analog that targets somatostatin receptors on NETs, was given along with maintenance lanreotide therapy, which resolved the scalp lesion, prevented recurrence of prior lesions and development of new cutaneous metastases, and controlled his visceral disease. PRRT has not been previously described in the management of cutaneous NET metastases. Due to the rare nature of cutaneous NET metastases, there is no consensus regarding optimal management. As such, we propose novel multimodal therapy involving excision and targeted radionuclide therapy as a possible effective option.

求助全文
通过发布文献求助,成功后即可免费获取论文全文。 去求助
来源期刊
CiteScore
1.50
自引率
0.00%
发文量
24
审稿时长
15 weeks
×
引用
GB/T 7714-2015
复制
MLA
复制
APA
复制
导出至
BibTeX EndNote RefMan NoteFirst NoteExpress
×
提示
您的信息不完整,为了账户安全,请先补充。
现在去补充
×
提示
您因"违规操作"
具体请查看互助需知
我知道了
×
提示
确定
请完成安全验证×
copy
已复制链接
快去分享给好友吧!
我知道了
右上角分享
点击右上角分享
0
联系我们:info@booksci.cn Book学术提供免费学术资源搜索服务,方便国内外学者检索中英文文献。致力于提供最便捷和优质的服务体验。 Copyright © 2023 布克学术 All rights reserved.
京ICP备2023020795号-1
ghs 京公网安备 11010802042870号
Book学术文献互助
Book学术文献互助群
群 号:604180095
Book学术官方微信