右美托咪定通过 MicroRNA-433/Janus Kinase 2/Signal Transducer and Activator of Transcription 3 通路抑制谷氨酸刺激的神经元损伤

IF 1.5 4区 生物学 Q4 BIOTECHNOLOGY & APPLIED MICROBIOLOGY
Lin Zhao, Junlan Huang, Zhouquan Wu, Guowei Fu
{"title":"右美托咪定通过 MicroRNA-433/Janus Kinase 2/Signal Transducer and Activator of Transcription 3 通路抑制谷氨酸刺激的神经元损伤","authors":"Lin Zhao, Junlan Huang, Zhouquan Wu, Guowei Fu","doi":"10.30498/ijb.2023.318052.3214","DOIUrl":null,"url":null,"abstract":"<p><strong>Background: </strong>Cerebral ischemia has been a hotpot in the prevention and treatment of cerebral ischemia. Dexmedetomidine (Dex) is a new type of highly selective α2 adrenergic receptor agonist with pharmacological properties.</p><p><strong>Objective: </strong>Quantitative studies have shown that Dex has a protective effect on glutamate (Glu)-induced neuronal damage. however, its mechanism has not been fully elucidated. The purpose of this study was to explore the underlying molecular mechanism by which Dex ameliorates Glu-induced neuronal injury by regulating miR-433/JAK2/STAT3 axis.</p><p><strong>Materials and methods: </strong>A model of neuronal injury was constructed by Glu treatment and intervened with Dex. miRNA expression profiling assay was conducted to screen potential miRNAs affected by Dex. Cell viability, lactate dehydrogenase (LDH) release and apoptosis were detected by MTT assay, LDH kit, and TUNEL staining, respectively. Oxidative stress indicators were assessed by ELISA whereas mitochondrial membrane potential (MMP) was assessed by C11-BODIPY581/591 staining. The targeting relationship between the miR-433 and JAK2 was verified by dual-luciferase reporter assay and gene expression was analyzed by quantitative PCR and Western blot.</p><p><strong>Results: </strong>Glu treatment decreased cell viability and MMP and promoted LDH release, apoptosis and oxidative damage. Glu-induced changes in neurons were reversed after Dex treatment through upregulating the miR-433 expression to block the activation of JAK2/STAT3 pathway.</p><p><strong>Conclusions: </strong>Dex protects against Glu-induced neuronal injury by regulating miR-433/JAK2/STAT3 pathway, which provides new insights into the treatment of neuronal injury.</p>","PeriodicalId":14492,"journal":{"name":"Iranian Journal of Biotechnology","volume":"21 3","pages":"e3214"},"PeriodicalIF":1.5000,"publicationDate":"2023-07-01","publicationTypes":"Journal Article","fieldsOfStudy":null,"isOpenAccess":false,"openAccessPdf":"https://www.ncbi.nlm.nih.gov/pmc/articles/PMC10858352/pdf/","citationCount":"0","resultStr":"{\"title\":\"Dexmedetomidine Suppresses Glutamate-Stimulated Neuronal Injury Via MicroRNA-433/Janus Kinase 2/Signal Transducer and Activator of Transcription 3 Pathway.\",\"authors\":\"Lin Zhao, Junlan Huang, Zhouquan Wu, Guowei Fu\",\"doi\":\"10.30498/ijb.2023.318052.3214\",\"DOIUrl\":null,\"url\":null,\"abstract\":\"<p><strong>Background: </strong>Cerebral ischemia has been a hotpot in the prevention and treatment of cerebral ischemia. Dexmedetomidine (Dex) is a new type of highly selective α2 adrenergic receptor agonist with pharmacological properties.</p><p><strong>Objective: </strong>Quantitative studies have shown that Dex has a protective effect on glutamate (Glu)-induced neuronal damage. however, its mechanism has not been fully elucidated. The purpose of this study was to explore the underlying molecular mechanism by which Dex ameliorates Glu-induced neuronal injury by regulating miR-433/JAK2/STAT3 axis.</p><p><strong>Materials and methods: </strong>A model of neuronal injury was constructed by Glu treatment and intervened with Dex. miRNA expression profiling assay was conducted to screen potential miRNAs affected by Dex. Cell viability, lactate dehydrogenase (LDH) release and apoptosis were detected by MTT assay, LDH kit, and TUNEL staining, respectively. Oxidative stress indicators were assessed by ELISA whereas mitochondrial membrane potential (MMP) was assessed by C11-BODIPY581/591 staining. The targeting relationship between the miR-433 and JAK2 was verified by dual-luciferase reporter assay and gene expression was analyzed by quantitative PCR and Western blot.</p><p><strong>Results: </strong>Glu treatment decreased cell viability and MMP and promoted LDH release, apoptosis and oxidative damage. Glu-induced changes in neurons were reversed after Dex treatment through upregulating the miR-433 expression to block the activation of JAK2/STAT3 pathway.</p><p><strong>Conclusions: </strong>Dex protects against Glu-induced neuronal injury by regulating miR-433/JAK2/STAT3 pathway, which provides new insights into the treatment of neuronal injury.</p>\",\"PeriodicalId\":14492,\"journal\":{\"name\":\"Iranian Journal of Biotechnology\",\"volume\":\"21 3\",\"pages\":\"e3214\"},\"PeriodicalIF\":1.5000,\"publicationDate\":\"2023-07-01\",\"publicationTypes\":\"Journal Article\",\"fieldsOfStudy\":null,\"isOpenAccess\":false,\"openAccessPdf\":\"https://www.ncbi.nlm.nih.gov/pmc/articles/PMC10858352/pdf/\",\"citationCount\":\"0\",\"resultStr\":null,\"platform\":\"Semanticscholar\",\"paperid\":null,\"PeriodicalName\":\"Iranian Journal of Biotechnology\",\"FirstCategoryId\":\"5\",\"ListUrlMain\":\"https://doi.org/10.30498/ijb.2023.318052.3214\",\"RegionNum\":4,\"RegionCategory\":\"生物学\",\"ArticlePicture\":[],\"TitleCN\":null,\"AbstractTextCN\":null,\"PMCID\":null,\"EPubDate\":\"\",\"PubModel\":\"\",\"JCR\":\"Q4\",\"JCRName\":\"BIOTECHNOLOGY & APPLIED MICROBIOLOGY\",\"Score\":null,\"Total\":0}","platform":"Semanticscholar","paperid":null,"PeriodicalName":"Iranian Journal of Biotechnology","FirstCategoryId":"5","ListUrlMain":"https://doi.org/10.30498/ijb.2023.318052.3214","RegionNum":4,"RegionCategory":"生物学","ArticlePicture":[],"TitleCN":null,"AbstractTextCN":null,"PMCID":null,"EPubDate":"","PubModel":"","JCR":"Q4","JCRName":"BIOTECHNOLOGY & APPLIED MICROBIOLOGY","Score":null,"Total":0}
引用次数: 0

摘要

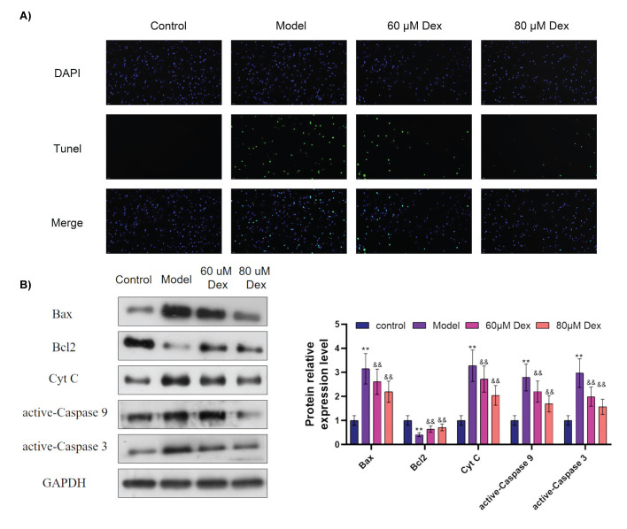
背景:脑缺血一直是预防和治疗脑缺血的热点。右美托咪定(Dex)是一种具有药理特性的新型高选择性α2肾上腺素能受体激动剂:定量研究表明,右美托咪定对谷氨酸(Glu)诱导的神经元损伤有保护作用,但其机制尚未完全阐明。本研究旨在探讨 Dex 通过调节 miR-433/JAK2/STAT3 轴改善谷氨酸钠诱导的神经元损伤的分子机制:miRNA表达谱分析筛选可能受Dex影响的miRNA。细胞活力、乳酸脱氢酶(LDH)释放和细胞凋亡分别通过 MTT 法、LDH 试剂盒和 TUNEL 染色法检测。氧化应激指标用酶联免疫吸附法评估,线粒体膜电位(MMP)则用 C11-BODIPY581/591 染色法评估。miR-433和JAK2之间的靶向关系通过双荧光素酶报告实验进行了验证,基因表达通过定量PCR和Western印迹进行了分析:结果:Glu处理降低了细胞活力和MMP,促进了LDH释放、细胞凋亡和氧化损伤。Dex通过上调miR-433的表达来阻断JAK2/STAT3通路的激活,从而逆转了Glu诱导的神经元变化:结论:Dex通过调节miR-433/JAK2/STAT3通路保护Glu诱导的神经元损伤,为治疗神经元损伤提供了新的思路。
本文章由计算机程序翻译,如有差异,请以英文原文为准。

Dexmedetomidine Suppresses Glutamate-Stimulated Neuronal Injury Via MicroRNA-433/Janus Kinase 2/Signal Transducer and Activator of Transcription 3 Pathway.

Dexmedetomidine Suppresses Glutamate-Stimulated Neuronal Injury Via MicroRNA-433/Janus Kinase 2/Signal Transducer and Activator of Transcription 3 Pathway.

Dexmedetomidine Suppresses Glutamate-Stimulated Neuronal Injury Via MicroRNA-433/Janus Kinase 2/Signal Transducer and Activator of Transcription 3 Pathway.

Dexmedetomidine Suppresses Glutamate-Stimulated Neuronal Injury Via MicroRNA-433/Janus Kinase 2/Signal Transducer and Activator of Transcription 3 Pathway.

Background: Cerebral ischemia has been a hotpot in the prevention and treatment of cerebral ischemia. Dexmedetomidine (Dex) is a new type of highly selective α2 adrenergic receptor agonist with pharmacological properties.

Objective: Quantitative studies have shown that Dex has a protective effect on glutamate (Glu)-induced neuronal damage. however, its mechanism has not been fully elucidated. The purpose of this study was to explore the underlying molecular mechanism by which Dex ameliorates Glu-induced neuronal injury by regulating miR-433/JAK2/STAT3 axis.

Materials and methods: A model of neuronal injury was constructed by Glu treatment and intervened with Dex. miRNA expression profiling assay was conducted to screen potential miRNAs affected by Dex. Cell viability, lactate dehydrogenase (LDH) release and apoptosis were detected by MTT assay, LDH kit, and TUNEL staining, respectively. Oxidative stress indicators were assessed by ELISA whereas mitochondrial membrane potential (MMP) was assessed by C11-BODIPY581/591 staining. The targeting relationship between the miR-433 and JAK2 was verified by dual-luciferase reporter assay and gene expression was analyzed by quantitative PCR and Western blot.

Results: Glu treatment decreased cell viability and MMP and promoted LDH release, apoptosis and oxidative damage. Glu-induced changes in neurons were reversed after Dex treatment through upregulating the miR-433 expression to block the activation of JAK2/STAT3 pathway.

Conclusions: Dex protects against Glu-induced neuronal injury by regulating miR-433/JAK2/STAT3 pathway, which provides new insights into the treatment of neuronal injury.

求助全文
通过发布文献求助,成功后即可免费获取论文全文。 去求助
来源期刊
Iranian Journal of Biotechnology
Iranian Journal of Biotechnology BIOTECHNOLOGY & APPLIED MICROBIOLOGY-
CiteScore
2.60
自引率
7.70%
发文量
20
期刊介绍: Iranian Journal of Biotechnology (IJB) is published quarterly by the National Institute of Genetic Engineering and Biotechnology. IJB publishes original scientific research papers in the broad area of Biotechnology such as, Agriculture, Animal and Marine Sciences, Basic Sciences, Bioinformatics, Biosafety and Bioethics, Environment, Industry and Mining and Medical Sciences.
×
引用
GB/T 7714-2015
复制
MLA
复制
APA
复制
导出至
BibTeX EndNote RefMan NoteFirst NoteExpress
×
提示
您的信息不完整,为了账户安全,请先补充。
现在去补充
×
提示
您因"违规操作"
具体请查看互助需知
我知道了
×
提示
确定
请完成安全验证×
copy
已复制链接
快去分享给好友吧!
我知道了
右上角分享
点击右上角分享
0
联系我们:info@booksci.cn Book学术提供免费学术资源搜索服务,方便国内外学者检索中英文文献。致力于提供最便捷和优质的服务体验。 Copyright © 2023 布克学术 All rights reserved.
京ICP备2023020795号-1
ghs 京公网安备 11010802042870号
Book学术文献互助
Book学术文献互助群
群 号:604180095
Book学术官方微信