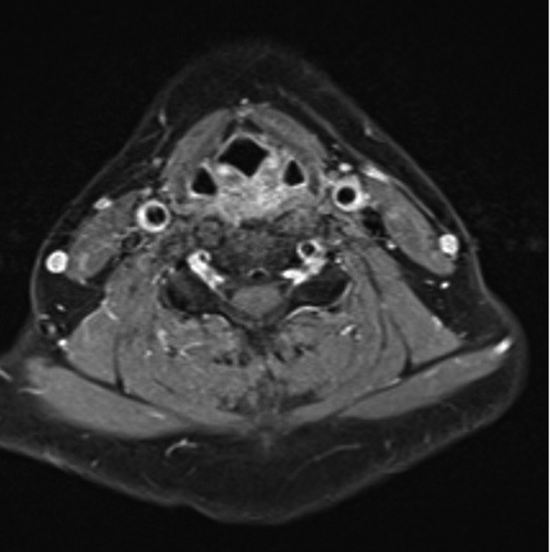
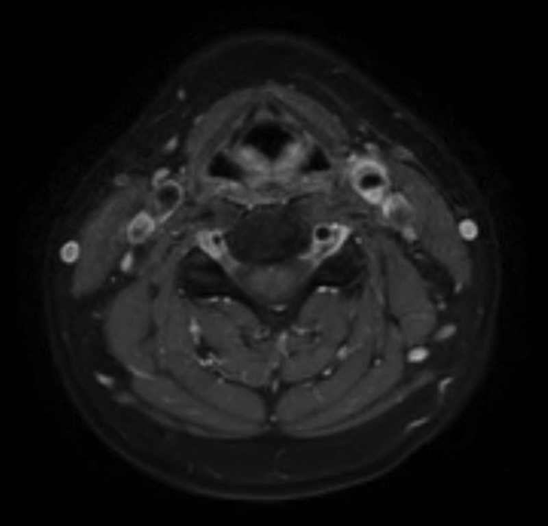
颈动脉短暂性血管周围炎症是颈部疼痛的一个公认原因。

IF 1.8
TH open : companion journal to thrombosis and haemostasis Pub Date : 2024-02-07 eCollection Date: 2024-01-01 DOI:10.1055/a-2223-5580
Sophie Greutert, Tatiana Schlomer, Marc Righini
{"title":"颈动脉短暂性血管周围炎症是颈部疼痛的一个公认原因。","authors":"Sophie Greutert, Tatiana Schlomer, Marc Righini","doi":"10.1055/a-2223-5580","DOIUrl":null,"url":null,"abstract":"<p><p>Transient perivascular inflammation of the carotid artery (TIPIC) syndrome, historically named idiopathic carotidynia or Fay syndrome, is a rare condition characterized by inflammation and pain in the carotid artery. The diagnosis requires a specific clinical-radiological presentation. We describe a 37-year-old female who presented with headaches and left neck pain and was diagnosed with TIPIC syndrome with temporary perivascular infiltration.</p>","PeriodicalId":94220,"journal":{"name":"TH open : companion journal to thrombosis and haemostasis","volume":"8 1","pages":"e93-e95"},"PeriodicalIF":1.8000,"publicationDate":"2024-02-07","publicationTypes":"Journal Article","fieldsOfStudy":null,"isOpenAccess":false,"openAccessPdf":"https://www.ncbi.nlm.nih.gov/pmc/articles/PMC10849869/pdf/","citationCount":"0","resultStr":"{\"title\":\"Transient Perivascular Inflammation of the Carotid Artery as a Poorly Recognized Cause of Neck Pain.\",\"authors\":\"Sophie Greutert, Tatiana Schlomer, Marc Righini\",\"doi\":\"10.1055/a-2223-5580\",\"DOIUrl\":null,\"url\":null,\"abstract\":\"<p><p>Transient perivascular inflammation of the carotid artery (TIPIC) syndrome, historically named idiopathic carotidynia or Fay syndrome, is a rare condition characterized by inflammation and pain in the carotid artery. The diagnosis requires a specific clinical-radiological presentation. We describe a 37-year-old female who presented with headaches and left neck pain and was diagnosed with TIPIC syndrome with temporary perivascular infiltration.</p>\",\"PeriodicalId\":94220,\"journal\":{\"name\":\"TH open : companion journal to thrombosis and haemostasis\",\"volume\":\"8 1\",\"pages\":\"e93-e95\"},\"PeriodicalIF\":1.8000,\"publicationDate\":\"2024-02-07\",\"publicationTypes\":\"Journal Article\",\"fieldsOfStudy\":null,\"isOpenAccess\":false,\"openAccessPdf\":\"https://www.ncbi.nlm.nih.gov/pmc/articles/PMC10849869/pdf/\",\"citationCount\":\"0\",\"resultStr\":null,\"platform\":\"Semanticscholar\",\"paperid\":null,\"PeriodicalName\":\"TH open : companion journal to thrombosis and haemostasis\",\"FirstCategoryId\":\"1085\",\"ListUrlMain\":\"https://doi.org/10.1055/a-2223-5580\",\"RegionNum\":0,\"RegionCategory\":null,\"ArticlePicture\":[],\"TitleCN\":null,\"AbstractTextCN\":null,\"PMCID\":null,\"EPubDate\":\"2024/1/1 0:00:00\",\"PubModel\":\"eCollection\",\"JCR\":\"\",\"JCRName\":\"\",\"Score\":null,\"Total\":0}","platform":"Semanticscholar","paperid":null,"PeriodicalName":"TH open : companion journal to thrombosis and haemostasis","FirstCategoryId":"1085","ListUrlMain":"https://doi.org/10.1055/a-2223-5580","RegionNum":0,"RegionCategory":null,"ArticlePicture":[],"TitleCN":null,"AbstractTextCN":null,"PMCID":null,"EPubDate":"2024/1/1 0:00:00","PubModel":"eCollection","JCR":"","JCRName":"","Score":null,"Total":0}
引用次数: 0

摘要

颈动脉短暂性血管周围炎(TIPIC)综合征,历史上曾被命名为特发性颈动脉炎或费氏综合征,是一种以颈动脉炎症和疼痛为特征的罕见疾病。诊断需要特殊的临床放射学表现。我们描述了一名 37 岁女性的病例,她出现头痛和左颈部疼痛,被诊断为伴有暂时性血管周围浸润的 TIPIC 综合征。
本文章由计算机程序翻译,如有差异,请以英文原文为准。

Transient Perivascular Inflammation of the Carotid Artery as a Poorly Recognized Cause of Neck Pain.

Transient Perivascular Inflammation of the Carotid Artery as a Poorly Recognized Cause of Neck Pain.

Transient Perivascular Inflammation of the Carotid Artery as a Poorly Recognized Cause of Neck Pain.

Transient perivascular inflammation of the carotid artery (TIPIC) syndrome, historically named idiopathic carotidynia or Fay syndrome, is a rare condition characterized by inflammation and pain in the carotid artery. The diagnosis requires a specific clinical-radiological presentation. We describe a 37-year-old female who presented with headaches and left neck pain and was diagnosed with TIPIC syndrome with temporary perivascular infiltration.

求助全文
通过发布文献求助,成功后即可免费获取论文全文。 去求助
来源期刊
自引率
0.00%
发文量
0
审稿时长
12 weeks
×
引用
GB/T 7714-2015
复制
MLA
复制
APA
复制
导出至
BibTeX EndNote RefMan NoteFirst NoteExpress
×
提示
您的信息不完整,为了账户安全,请先补充。
现在去补充
×
提示
您因"违规操作"
具体请查看互助需知
我知道了
×
提示
确定
请完成安全验证×
copy
已复制链接
快去分享给好友吧!
我知道了
右上角分享
点击右上角分享
0
联系我们:info@booksci.cn Book学术提供免费学术资源搜索服务,方便国内外学者检索中英文文献。致力于提供最便捷和优质的服务体验。 Copyright © 2023 布克学术 All rights reserved.
京ICP备2023020795号-1
ghs 京公网安备 11010802042870号
Book学术文献互助
Book学术文献互助群
群 号:604180095
Book学术官方微信