一名年轻的埃尔德海姆-切斯特病患者的心包切除术和机械二尖瓣置换术

IF 0.9 4区 医学
Nerea Lopez Perez, Mathieu van Steenberghe, Jörg D Seebach, Philippe Meyer, Johannes Alexander Lobrinus, Christoph Huber, Mustafa Cikirikcioglu
{"title":"一名年轻的埃尔德海姆-切斯特病患者的心包切除术和机械二尖瓣置换术","authors":"Nerea Lopez Perez, Mathieu van Steenberghe, Jörg D Seebach, Philippe Meyer, Johannes Alexander Lobrinus, Christoph Huber, Mustafa Cikirikcioglu","doi":"10.14503/THIJ-23-8201","DOIUrl":null,"url":null,"abstract":"<p><p>Erdheim-Chester disease is a rare histiocytosis that primarily affects the skeletal system, but cardiovascular manifestations occur in 75% of cases and are associated with a poor prognosis. Given the small number of cases, the evolution and management of the disease are uncertain. Therefore, it is important to report and share Erdheim-Chester cases. This report presents the case of a young patient with constrictive pericarditis and mitral valve regurgitation resulting from Erdheim-Chester disease.</p>","PeriodicalId":48680,"journal":{"name":"Texas Heart Institute Journal","volume":"51 1","pages":""},"PeriodicalIF":0.9000,"publicationDate":"2024-02-07","publicationTypes":"Journal Article","fieldsOfStudy":null,"isOpenAccess":false,"openAccessPdf":"https://www.ncbi.nlm.nih.gov/pmc/articles/PMC11075495/pdf/","citationCount":"0","resultStr":"{\"title\":\"Pericardiectomy and Mechanical Mitro-Aortic Valve Replacement in a Young Patient With Erdheim-Chester Disease.\",\"authors\":\"Nerea Lopez Perez, Mathieu van Steenberghe, Jörg D Seebach, Philippe Meyer, Johannes Alexander Lobrinus, Christoph Huber, Mustafa Cikirikcioglu\",\"doi\":\"10.14503/THIJ-23-8201\",\"DOIUrl\":null,\"url\":null,\"abstract\":\"<p><p>Erdheim-Chester disease is a rare histiocytosis that primarily affects the skeletal system, but cardiovascular manifestations occur in 75% of cases and are associated with a poor prognosis. Given the small number of cases, the evolution and management of the disease are uncertain. Therefore, it is important to report and share Erdheim-Chester cases. This report presents the case of a young patient with constrictive pericarditis and mitral valve regurgitation resulting from Erdheim-Chester disease.</p>\",\"PeriodicalId\":48680,\"journal\":{\"name\":\"Texas Heart Institute Journal\",\"volume\":\"51 1\",\"pages\":\"\"},\"PeriodicalIF\":0.9000,\"publicationDate\":\"2024-02-07\",\"publicationTypes\":\"Journal Article\",\"fieldsOfStudy\":null,\"isOpenAccess\":false,\"openAccessPdf\":\"https://www.ncbi.nlm.nih.gov/pmc/articles/PMC11075495/pdf/\",\"citationCount\":\"0\",\"resultStr\":null,\"platform\":\"Semanticscholar\",\"paperid\":null,\"PeriodicalName\":\"Texas Heart Institute Journal\",\"FirstCategoryId\":\"3\",\"ListUrlMain\":\"https://doi.org/10.14503/THIJ-23-8201\",\"RegionNum\":4,\"RegionCategory\":\"医学\",\"ArticlePicture\":[],\"TitleCN\":null,\"AbstractTextCN\":null,\"PMCID\":null,\"EPubDate\":\"\",\"PubModel\":\"\",\"JCR\":\"\",\"JCRName\":\"\",\"Score\":null,\"Total\":0}","platform":"Semanticscholar","paperid":null,"PeriodicalName":"Texas Heart Institute Journal","FirstCategoryId":"3","ListUrlMain":"https://doi.org/10.14503/THIJ-23-8201","RegionNum":4,"RegionCategory":"医学","ArticlePicture":[],"TitleCN":null,"AbstractTextCN":null,"PMCID":null,"EPubDate":"","PubModel":"","JCR":"","JCRName":"","Score":null,"Total":0}
引用次数: 0

摘要

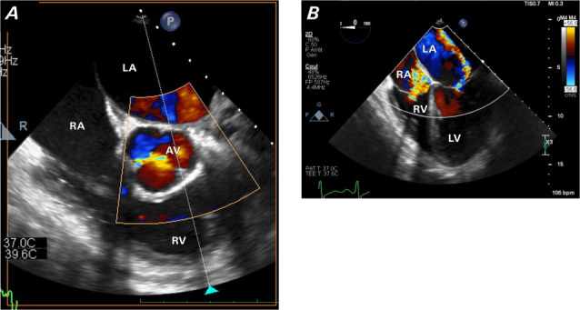
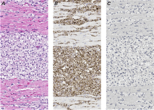
埃尔德海姆-切斯特病是一种罕见的组织细胞增生症,主要影响骨骼系统,但 75% 的病例会出现心血管表现,且预后不良。由于病例较少,该病的演变和治疗尚不确定。因此,报告和分享 Erdheim-Chester 病例非常重要。本报告介绍了一例因埃尔德海姆-切斯特病而患有缩窄性心包炎和二尖瓣反流的年轻患者。
本文章由计算机程序翻译,如有差异,请以英文原文为准。

Pericardiectomy and Mechanical Mitro-Aortic Valve Replacement in a Young Patient With Erdheim-Chester Disease.

Pericardiectomy and Mechanical Mitro-Aortic Valve Replacement in a Young Patient With Erdheim-Chester Disease.

Pericardiectomy and Mechanical Mitro-Aortic Valve Replacement in a Young Patient With Erdheim-Chester Disease.

Pericardiectomy and Mechanical Mitro-Aortic Valve Replacement in a Young Patient With Erdheim-Chester Disease.

Erdheim-Chester disease is a rare histiocytosis that primarily affects the skeletal system, but cardiovascular manifestations occur in 75% of cases and are associated with a poor prognosis. Given the small number of cases, the evolution and management of the disease are uncertain. Therefore, it is important to report and share Erdheim-Chester cases. This report presents the case of a young patient with constrictive pericarditis and mitral valve regurgitation resulting from Erdheim-Chester disease.

求助全文
通过发布文献求助,成功后即可免费获取论文全文。 去求助
来源期刊
Texas Heart Institute Journal
Texas Heart Institute Journal CARDIAC & CARDIOVASCULAR SYSTEMS-
自引率
11.10%
发文量
131
期刊介绍: For more than 45 years, the Texas Heart Institute Journal has been published by the Texas Heart Institute as part of its medical education program. Our bimonthly peer-reviewed journal enjoys a global audience of physicians, scientists, and healthcare professionals who are contributing to the prevention, diagnosis, and treatment of cardiovascular disease. The Journal was printed under the name of Cardiovascular Diseases from 1974 through 1981 (ISSN 0093-3546). The name was changed to Texas Heart Institute Journal in 1982 and was printed through 2013 (ISSN 0730-2347). In 2014, the Journal moved to online-only publication. It is indexed by Index Medicus/MEDLINE and by other indexing and abstracting services worldwide. Our full archive is available at PubMed Central. The Journal invites authors to submit these article types for review: -Clinical Investigations- Laboratory Investigations- Reviews- Techniques- Coronary Anomalies- History of Medicine- Case Reports/Case Series (Submission Fee: $70.00 USD)- Images in Cardiovascular Medicine (Submission Fee: $35.00 USD)- Guest Editorials- Peabody’s Corner- Letters to the Editor
×
引用
GB/T 7714-2015
复制
MLA
复制
APA
复制
导出至
BibTeX EndNote RefMan NoteFirst NoteExpress
×
提示
您的信息不完整,为了账户安全,请先补充。
现在去补充
×
提示
您因"违规操作"
具体请查看互助需知
我知道了
×
提示
确定
请完成安全验证×
copy
已复制链接
快去分享给好友吧!
我知道了
右上角分享
点击右上角分享
0
联系我们:info@booksci.cn Book学术提供免费学术资源搜索服务,方便国内外学者检索中英文文献。致力于提供最便捷和优质的服务体验。 Copyright © 2023 布克学术 All rights reserved.
京ICP备2023020795号-1
ghs 京公网安备 11010802042870号
Book学术文献互助
Book学术文献互助群
群 号:604180095
Book学术官方微信