[成功治疗库欣病后出现肉样瘤病]。

P A Zakharova, I A Ilovayskaya, S A Terpigorev, I V Komerdus, A Yu Lugovskaya
{"title":"[成功治疗库欣病后出现肉样瘤病]。","authors":"P A Zakharova, I A Ilovayskaya, S A Terpigorev, I V Komerdus, A Yu Lugovskaya","doi":"10.14341/probl13203","DOIUrl":null,"url":null,"abstract":"<p><p>Cushing's disease is a rare severe neuroendocrine disorder caused by chronic overproduction of adrenocorticotropic hormone by a pituitary tumor. Supraphysiological concentrations of cortisol in endogenous hypercortisolism have an immunosuppressive and anti-inflammatory effect similar to therapy with systemic glucocorticosteroids. This may reduce the activity of the patient's concomitant autoimmune inflammatory diseases. On the other hand, a decrease in cortisol levels during treatment for Cushing's disease may be associated with a reactivation of the immune system that pose a risk of onset or recurrence of an autoimmune disorder. We present our own clinical case demonstrating the development of sarcoidosis after surgical treatment of Cushing's disease.</p>","PeriodicalId":101419,"journal":{"name":"Problemy endokrinologii","volume":"69 6","pages":"47-53"},"PeriodicalIF":0.0000,"publicationDate":"2024-01-24","publicationTypes":"Journal Article","fieldsOfStudy":null,"isOpenAccess":false,"openAccessPdf":"https://www.ncbi.nlm.nih.gov/pmc/articles/PMC10848190/pdf/","citationCount":"0","resultStr":"{\"title\":\"[Development of sarcoidosis after successful treatment of Cushing's disease].\",\"authors\":\"P A Zakharova, I A Ilovayskaya, S A Terpigorev, I V Komerdus, A Yu Lugovskaya\",\"doi\":\"10.14341/probl13203\",\"DOIUrl\":null,\"url\":null,\"abstract\":\"<p><p>Cushing's disease is a rare severe neuroendocrine disorder caused by chronic overproduction of adrenocorticotropic hormone by a pituitary tumor. Supraphysiological concentrations of cortisol in endogenous hypercortisolism have an immunosuppressive and anti-inflammatory effect similar to therapy with systemic glucocorticosteroids. This may reduce the activity of the patient's concomitant autoimmune inflammatory diseases. On the other hand, a decrease in cortisol levels during treatment for Cushing's disease may be associated with a reactivation of the immune system that pose a risk of onset or recurrence of an autoimmune disorder. We present our own clinical case demonstrating the development of sarcoidosis after surgical treatment of Cushing's disease.</p>\",\"PeriodicalId\":101419,\"journal\":{\"name\":\"Problemy endokrinologii\",\"volume\":\"69 6\",\"pages\":\"47-53\"},\"PeriodicalIF\":0.0000,\"publicationDate\":\"2024-01-24\",\"publicationTypes\":\"Journal Article\",\"fieldsOfStudy\":null,\"isOpenAccess\":false,\"openAccessPdf\":\"https://www.ncbi.nlm.nih.gov/pmc/articles/PMC10848190/pdf/\",\"citationCount\":\"0\",\"resultStr\":null,\"platform\":\"Semanticscholar\",\"paperid\":null,\"PeriodicalName\":\"Problemy endokrinologii\",\"FirstCategoryId\":\"1085\",\"ListUrlMain\":\"https://doi.org/10.14341/probl13203\",\"RegionNum\":0,\"RegionCategory\":null,\"ArticlePicture\":[],\"TitleCN\":null,\"AbstractTextCN\":null,\"PMCID\":null,\"EPubDate\":\"\",\"PubModel\":\"\",\"JCR\":\"\",\"JCRName\":\"\",\"Score\":null,\"Total\":0}","platform":"Semanticscholar","paperid":null,"PeriodicalName":"Problemy endokrinologii","FirstCategoryId":"1085","ListUrlMain":"https://doi.org/10.14341/probl13203","RegionNum":0,"RegionCategory":null,"ArticlePicture":[],"TitleCN":null,"AbstractTextCN":null,"PMCID":null,"EPubDate":"","PubModel":"","JCR":"","JCRName":"","Score":null,"Total":0}
引用次数: 0

摘要

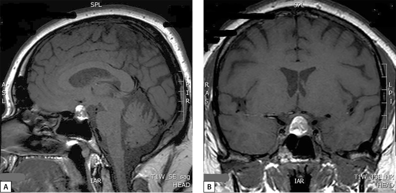
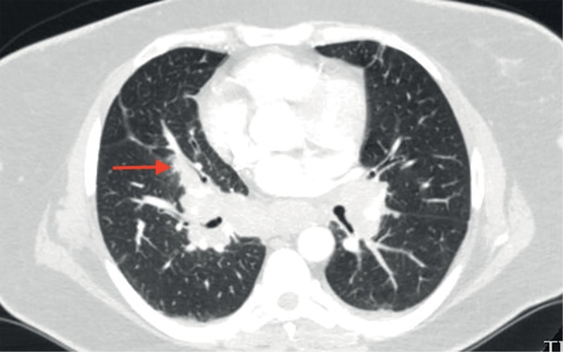
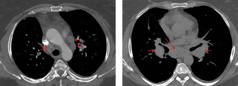
库欣病是一种罕见的严重神经内分泌疾病,由垂体肿瘤长期过度分泌促肾上腺皮质激素引起。内源性高皮质醇症患者体内皮质醇的生理浓度过高,具有类似于全身糖皮质激素治疗的免疫抑制和抗炎作用。这可能会降低患者并发的自身免疫性炎症疾病的活性。另一方面,在治疗库欣病的过程中,皮质醇水平的降低可能与免疫系统的重新激活有关,从而带来自身免疫性疾病发病或复发的风险。我们介绍了自己的一个临床病例,该病例显示,在对库欣病进行手术治疗后,出现了肉样瘤病。
本文章由计算机程序翻译,如有差异,请以英文原文为准。

[Development of sarcoidosis after successful treatment of Cushing's disease].

[Development of sarcoidosis after successful treatment of Cushing's disease].

[Development of sarcoidosis after successful treatment of Cushing's disease].

[Development of sarcoidosis after successful treatment of Cushing's disease].

Cushing's disease is a rare severe neuroendocrine disorder caused by chronic overproduction of adrenocorticotropic hormone by a pituitary tumor. Supraphysiological concentrations of cortisol in endogenous hypercortisolism have an immunosuppressive and anti-inflammatory effect similar to therapy with systemic glucocorticosteroids. This may reduce the activity of the patient's concomitant autoimmune inflammatory diseases. On the other hand, a decrease in cortisol levels during treatment for Cushing's disease may be associated with a reactivation of the immune system that pose a risk of onset or recurrence of an autoimmune disorder. We present our own clinical case demonstrating the development of sarcoidosis after surgical treatment of Cushing's disease.

求助全文
通过发布文献求助,成功后即可免费获取论文全文。 去求助
来源期刊
自引率
0.00%
发文量
0
×
引用
GB/T 7714-2015
复制
MLA
复制
APA
复制
导出至
BibTeX EndNote RefMan NoteFirst NoteExpress
×
提示
您的信息不完整,为了账户安全,请先补充。
现在去补充
×
提示
您因"违规操作"
具体请查看互助需知
我知道了
×
提示
确定
请完成安全验证×
copy
已复制链接
快去分享给好友吧!
我知道了
右上角分享
点击右上角分享
0
联系我们:info@booksci.cn Book学术提供免费学术资源搜索服务,方便国内外学者检索中英文文献。致力于提供最便捷和优质的服务体验。 Copyright © 2023 布克学术 All rights reserved.
京ICP备2023020795号-1
ghs 京公网安备 11010802042870号
Book学术文献互助
Book学术文献互助群
群 号:604180095
Book学术官方微信