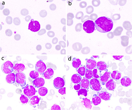
患有 TLS::ERG 的急性髓性白血病中的白血病碎裂细胞、空泡化和假鞭毛样胞质突起。

IF 1.3 4区 医学 Q3 HEMATOLOGY
Turkish Journal of Hematology Pub Date : 2024-08-28 Epub Date: 2024-01-30 DOI:10.4274/tjh.galenos.2024.2023.0386
Xingqin Huang, Linglin Jiang, Ting Li, Mei Yang
{"title":"患有 TLS::ERG 的急性髓性白血病中的白血病碎裂细胞、空泡化和假鞭毛样胞质突起。","authors":"Xingqin Huang, Linglin Jiang, Ting Li, Mei Yang","doi":"10.4274/tjh.galenos.2024.2023.0386","DOIUrl":null,"url":null,"abstract":"","PeriodicalId":23362,"journal":{"name":"Turkish Journal of Hematology","volume":" ","pages":"192-193"},"PeriodicalIF":1.3000,"publicationDate":"2024-08-28","publicationTypes":"Journal Article","fieldsOfStudy":null,"isOpenAccess":false,"openAccessPdf":"https://www.ncbi.nlm.nih.gov/pmc/articles/PMC11589370/pdf/","citationCount":"0","resultStr":"{\"title\":\"Cleaved Leukemic Blast Cells, Vacuolation, and Pseudopodia-like Cytoplasmic Projections in Acute Myeloid Leukemia with <i>TLS::ERG</i>\",\"authors\":\"Xingqin Huang, Linglin Jiang, Ting Li, Mei Yang\",\"doi\":\"10.4274/tjh.galenos.2024.2023.0386\",\"DOIUrl\":null,\"url\":null,\"abstract\":\"\",\"PeriodicalId\":23362,\"journal\":{\"name\":\"Turkish Journal of Hematology\",\"volume\":\" \",\"pages\":\"192-193\"},\"PeriodicalIF\":1.3000,\"publicationDate\":\"2024-08-28\",\"publicationTypes\":\"Journal Article\",\"fieldsOfStudy\":null,\"isOpenAccess\":false,\"openAccessPdf\":\"https://www.ncbi.nlm.nih.gov/pmc/articles/PMC11589370/pdf/\",\"citationCount\":\"0\",\"resultStr\":null,\"platform\":\"Semanticscholar\",\"paperid\":null,\"PeriodicalName\":\"Turkish Journal of Hematology\",\"FirstCategoryId\":\"3\",\"ListUrlMain\":\"https://doi.org/10.4274/tjh.galenos.2024.2023.0386\",\"RegionNum\":4,\"RegionCategory\":\"医学\",\"ArticlePicture\":[],\"TitleCN\":null,\"AbstractTextCN\":null,\"PMCID\":null,\"EPubDate\":\"2024/1/30 0:00:00\",\"PubModel\":\"Epub\",\"JCR\":\"Q3\",\"JCRName\":\"HEMATOLOGY\",\"Score\":null,\"Total\":0}","platform":"Semanticscholar","paperid":null,"PeriodicalName":"Turkish Journal of Hematology","FirstCategoryId":"3","ListUrlMain":"https://doi.org/10.4274/tjh.galenos.2024.2023.0386","RegionNum":4,"RegionCategory":"医学","ArticlePicture":[],"TitleCN":null,"AbstractTextCN":null,"PMCID":null,"EPubDate":"2024/1/30 0:00:00","PubModel":"Epub","JCR":"Q3","JCRName":"HEMATOLOGY","Score":null,"Total":0}
引用次数: 0

摘要

一般来说,裂解淋巴细胞主要发生在百日咳博德特氏菌感染、滤泡性淋巴瘤患者身上,也较少见于慢性淋巴细胞白血病。在急性髓细胞性白血病病例中出现裂解白血病鼓泡细胞的情况相当罕见。此外,TLS::ERG 在急性髓细胞性白血病中没有典型的形态学发现(包括具有嗜血细胞增多、嗜酸性粒细胞增多和小巨核细胞的囊胚),因此在本病例中出现裂解的囊胚细胞以及空泡化和胞浆假梭形细胞是极为罕见的。此外,CD56在t(16;21)型急性髓细胞性白血病中的表达被认为与预后不良有关,并可能影响CR持续时间和总生存期。本病例CD56部分表达,骨髓复查显示CR持续3个月,但由于经济原因未继续随访,疗效无法评估。总之,本病例提醒我们,在某些亚型白血病中,应认识到白血病细胞裂解和伪足样胞质突起的非典型形态学特征。
本文章由计算机程序翻译,如有差异,请以英文原文为准。

Cleaved Leukemic Blast Cells, Vacuolation, and Pseudopodia-like Cytoplasmic Projections in Acute Myeloid Leukemia with <i>TLS::ERG</i>

Cleaved Leukemic Blast Cells, Vacuolation, and Pseudopodia-like Cytoplasmic Projections in Acute Myeloid Leukemia with TLS::ERG
求助全文
通过发布文献求助,成功后即可免费获取论文全文。 去求助
来源期刊
CiteScore
2.90
自引率
3.80%
发文量
45
审稿时长
1 months
期刊介绍: The Turkish Journal of Hematology is published quarterly (March, June, September, and December) by the Turkish Society of Hematology. It is an independent, non-profit peer-reviewed international English-language periodical encompassing subjects relevant to hematology. The Editorial Board of The Turkish Journal of Hematology adheres to the principles of the World Association of Medical Editors (WAME), International Council of Medical Journal Editors (ICMJE), Committee on Publication Ethics (COPE), Consolidated Standards of Reporting Trials (CONSORT) and Strengthening the Reporting of Observational Studies in Epidemiology (STROBE). The aim of The Turkish Journal of Hematology is to publish original hematological research of the highest scientific quality and clinical relevance. Additionally, educational material, reviews on basic developments, editorial short notes, images in hematology, and letters from hematology specialists and clinicians covering their experience and comments on hematology and related medical fields as well as social subjects are published. As of December 2015, The Turkish Journal of Hematology does not accept case reports. Important new findings or data about interesting hematological cases may be submitted as a brief report.
×
引用
GB/T 7714-2015
复制
MLA
复制
APA
复制
导出至
BibTeX EndNote RefMan NoteFirst NoteExpress
×
提示
您的信息不完整,为了账户安全,请先补充。
现在去补充
×
提示
您因"违规操作"
具体请查看互助需知
我知道了
×
提示
确定
请完成安全验证×
copy
已复制链接
快去分享给好友吧!
我知道了
右上角分享
点击右上角分享
0
联系我们:info@booksci.cn Book学术提供免费学术资源搜索服务,方便国内外学者检索中英文文献。致力于提供最便捷和优质的服务体验。 Copyright © 2023 布克学术 All rights reserved.
京ICP备2023020795号-1
ghs 京公网安备 11010802042870号
Book学术文献互助
Book学术文献互助群
群 号:604180095
Book学术官方微信