一匹马的肺曲霉菌病:病例报告。

Brazilian journal of veterinary medicine Pub Date : 2024-01-09 eCollection Date: 2024-01-01 DOI:10.29374/2527-2179.bjvm004723
Ubiratan Pereira Melo, Cíntia Ferreira, Suziane Wilma Mota Barreto
{"title":"一匹马的肺曲霉菌病:病例报告。","authors":"Ubiratan Pereira Melo, Cíntia Ferreira, Suziane Wilma Mota Barreto","doi":"10.29374/2527-2179.bjvm004723","DOIUrl":null,"url":null,"abstract":"<p><p>Respiratory diseases considerably affect equine athletes, being the second most common cause of poor performance. Among these diseases, fungal pneumonia in horses, caused specifically by <i>Aspergillus</i> spp., is relatively rare but potentially fatal. Fungal pneumonia typically affects horses exposed to fungal elements due to environmental factors, immunosuppression, or previous debilitating illnesses. Treatment is complex, with minimal success due to late diagnosis and serious concomitant underlying diseases. The choice of medication depends on the site of infection, the fungal species involved, and financial considerations. This report describes a case of pulmonary aspergillosis diagnosed in a 10-year-old castrated Quarter Horse. Transtracheal lavage revealed fungal elements characteristic of <i>Aspergillus fumigatus</i>. Treatment with dexamethasone, bromhexine hydrochloride, and itraconazole led to a successful recovery. The diagnosis of equine aspergillosis is challenging because its clinical signs overlap with other respiratory diseases. Fungal infections like aspergillosis are gaining attention in the equine health scene. Early and accurate diagnosis is crucial to avoid unnecessary use of antibiotics and prevent antimicrobial resistance. Furthermore, veterinarians and horse handlers must be aware of the risks of spreading aspergillosis to humans, emphasizing preventative measures and respiratory protection.</p>","PeriodicalId":72458,"journal":{"name":"Brazilian journal of veterinary medicine","volume":"46 ","pages":"e004723"},"PeriodicalIF":0.0000,"publicationDate":"2024-01-09","publicationTypes":"Journal Article","fieldsOfStudy":null,"isOpenAccess":false,"openAccessPdf":"https://www.ncbi.nlm.nih.gov/pmc/articles/PMC10811723/pdf/","citationCount":"0","resultStr":"{\"title\":\"Pulmonary aspergillosis in a horse: a case report.\",\"authors\":\"Ubiratan Pereira Melo, Cíntia Ferreira, Suziane Wilma Mota Barreto\",\"doi\":\"10.29374/2527-2179.bjvm004723\",\"DOIUrl\":null,\"url\":null,\"abstract\":\"<p><p>Respiratory diseases considerably affect equine athletes, being the second most common cause of poor performance. Among these diseases, fungal pneumonia in horses, caused specifically by <i>Aspergillus</i> spp., is relatively rare but potentially fatal. Fungal pneumonia typically affects horses exposed to fungal elements due to environmental factors, immunosuppression, or previous debilitating illnesses. Treatment is complex, with minimal success due to late diagnosis and serious concomitant underlying diseases. The choice of medication depends on the site of infection, the fungal species involved, and financial considerations. This report describes a case of pulmonary aspergillosis diagnosed in a 10-year-old castrated Quarter Horse. Transtracheal lavage revealed fungal elements characteristic of <i>Aspergillus fumigatus</i>. Treatment with dexamethasone, bromhexine hydrochloride, and itraconazole led to a successful recovery. The diagnosis of equine aspergillosis is challenging because its clinical signs overlap with other respiratory diseases. Fungal infections like aspergillosis are gaining attention in the equine health scene. Early and accurate diagnosis is crucial to avoid unnecessary use of antibiotics and prevent antimicrobial resistance. Furthermore, veterinarians and horse handlers must be aware of the risks of spreading aspergillosis to humans, emphasizing preventative measures and respiratory protection.</p>\",\"PeriodicalId\":72458,\"journal\":{\"name\":\"Brazilian journal of veterinary medicine\",\"volume\":\"46 \",\"pages\":\"e004723\"},\"PeriodicalIF\":0.0000,\"publicationDate\":\"2024-01-09\",\"publicationTypes\":\"Journal Article\",\"fieldsOfStudy\":null,\"isOpenAccess\":false,\"openAccessPdf\":\"https://www.ncbi.nlm.nih.gov/pmc/articles/PMC10811723/pdf/\",\"citationCount\":\"0\",\"resultStr\":null,\"platform\":\"Semanticscholar\",\"paperid\":null,\"PeriodicalName\":\"Brazilian journal of veterinary medicine\",\"FirstCategoryId\":\"1085\",\"ListUrlMain\":\"https://doi.org/10.29374/2527-2179.bjvm004723\",\"RegionNum\":0,\"RegionCategory\":null,\"ArticlePicture\":[],\"TitleCN\":null,\"AbstractTextCN\":null,\"PMCID\":null,\"EPubDate\":\"2024/1/1 0:00:00\",\"PubModel\":\"eCollection\",\"JCR\":\"\",\"JCRName\":\"\",\"Score\":null,\"Total\":0}","platform":"Semanticscholar","paperid":null,"PeriodicalName":"Brazilian journal of veterinary medicine","FirstCategoryId":"1085","ListUrlMain":"https://doi.org/10.29374/2527-2179.bjvm004723","RegionNum":0,"RegionCategory":null,"ArticlePicture":[],"TitleCN":null,"AbstractTextCN":null,"PMCID":null,"EPubDate":"2024/1/1 0:00:00","PubModel":"eCollection","JCR":"","JCRName":"","Score":null,"Total":0}
引用次数: 0

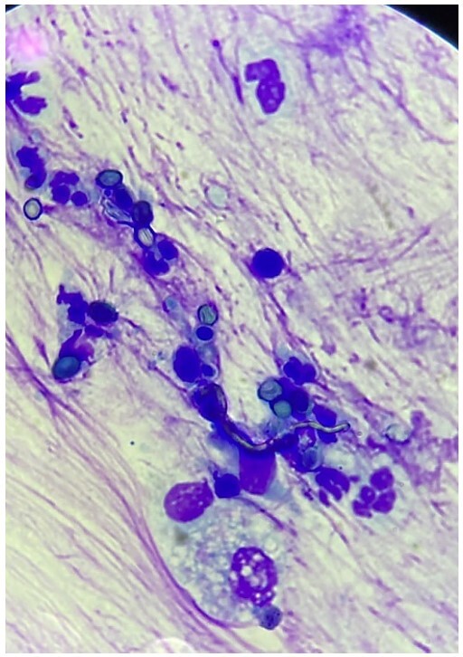
摘要

呼吸道疾病对马匹运动员的影响很大,是导致运动成绩不佳的第二大常见原因。在这些疾病中,由曲霉菌引起的马匹真菌性肺炎相对罕见,但却可能致命。真菌性肺炎通常影响因环境因素、免疫抑制或以前的衰弱性疾病而暴露于真菌元素的马匹。治疗很复杂,由于诊断较晚和并发严重的基础疾病,治疗效果甚微。药物的选择取决于感染部位、涉及的真菌种类和经济因素。本报告描述了一例肺曲霉菌病病例,患者是一匹 10 岁的阉割季马。气管灌洗发现了烟曲霉菌特有的真菌成分。使用地塞米松、盐酸溴己新和伊曲康唑治疗后,患者成功康复。马曲霉菌病的诊断具有挑战性,因为其临床症状与其他呼吸道疾病重叠。曲霉菌病等真菌感染越来越受到马健康领域的关注。早期准确诊断对于避免不必要地使用抗生素和防止抗菌素耐药性至关重要。此外,兽医和马匹饲养者必须意识到曲霉菌病传播给人类的风险,强调预防措施和呼吸道保护。
本文章由计算机程序翻译,如有差异,请以英文原文为准。

Pulmonary aspergillosis in a horse: a case report.

Pulmonary aspergillosis in a horse: a case report.

Pulmonary aspergillosis in a horse: a case report.

Respiratory diseases considerably affect equine athletes, being the second most common cause of poor performance. Among these diseases, fungal pneumonia in horses, caused specifically by Aspergillus spp., is relatively rare but potentially fatal. Fungal pneumonia typically affects horses exposed to fungal elements due to environmental factors, immunosuppression, or previous debilitating illnesses. Treatment is complex, with minimal success due to late diagnosis and serious concomitant underlying diseases. The choice of medication depends on the site of infection, the fungal species involved, and financial considerations. This report describes a case of pulmonary aspergillosis diagnosed in a 10-year-old castrated Quarter Horse. Transtracheal lavage revealed fungal elements characteristic of Aspergillus fumigatus. Treatment with dexamethasone, bromhexine hydrochloride, and itraconazole led to a successful recovery. The diagnosis of equine aspergillosis is challenging because its clinical signs overlap with other respiratory diseases. Fungal infections like aspergillosis are gaining attention in the equine health scene. Early and accurate diagnosis is crucial to avoid unnecessary use of antibiotics and prevent antimicrobial resistance. Furthermore, veterinarians and horse handlers must be aware of the risks of spreading aspergillosis to humans, emphasizing preventative measures and respiratory protection.

求助全文
通过发布文献求助,成功后即可免费获取论文全文。 去求助
来源期刊
自引率
0.00%
发文量
0
×
引用
GB/T 7714-2015
复制
MLA
复制
APA
复制
导出至
BibTeX EndNote RefMan NoteFirst NoteExpress
×
提示
您的信息不完整,为了账户安全,请先补充。
现在去补充
×
提示
您因"违规操作"
具体请查看互助需知
我知道了
×
提示
确定
请完成安全验证×
copy
已复制链接
快去分享给好友吧!
我知道了
右上角分享
点击右上角分享
0
联系我们:info@booksci.cn Book学术提供免费学术资源搜索服务,方便国内外学者检索中英文文献。致力于提供最便捷和优质的服务体验。 Copyright © 2023 布克学术 All rights reserved.
京ICP备2023020795号-1
ghs 京公网安备 11010802042870号
Book学术文献互助
Book学术文献互助群
群 号:604180095
Book学术官方微信