经口内窥镜辅助切除喉部许旺瘤:病例报告。

Q3 Medicine
Dian Paramita Wulandari, Anisa Haqul Khoiria, Elida Fadhilatul Latifa
{"title":"经口内窥镜辅助切除喉部许旺瘤:病例报告。","authors":"Dian Paramita Wulandari, Anisa Haqul Khoiria, Elida Fadhilatul Latifa","doi":"10.22038/IJORL.2023.71324.3427","DOIUrl":null,"url":null,"abstract":"<p><strong>Introduction: </strong>Schwannoma, a peculiar benign nerve sheath tumour, is frequently hard to differentiate from other nerve tumours, such as neurofibroma. Around 25%-45% of all schwannomas emerge in the head and neck region, but only 0.1-1.5 % involve laryngeal structure. This tumour is most accurately diagnosed with biopsy via direct laryngoscopy; however, at some points this approach cannot detect a definitive diagnosis due to the surrounding capsule of the tumour and its similar histopathologic finding with other nerve sheath tumour.</p><p><strong>Case report: </strong>Here, a case of 56-year-old female is reported with chief complaints of severe progressive dyspnea and dysphagia. Diagnosis of schwannoma was confirmed on radiological and histopathological examination with certain hurdles. A complete surgical excision via endoscopic approach was done, revealing that the bottom of the mass was attached to the right arytenoid mucosa. The histopathological features showed non-malignant atypical neurofibroma but later confirmed as laryngeal schwannoma from immunohistochemical staining.</p><p><strong>Conclusion: </strong>Although schwannoma has an excellent outcome and prognosis when occurring elsewhere in the body, laryngeal involvement is an extremely rare area for this lesion. Complete resection with a patient-customized approach to the lesion is required to avoid relapses and provide good functional results.</p>","PeriodicalId":14607,"journal":{"name":"Iranian Journal of Otorhinolaryngology","volume":"36 1","pages":"371-375"},"PeriodicalIF":0.0000,"publicationDate":"2024-01-01","publicationTypes":"Journal Article","fieldsOfStudy":null,"isOpenAccess":false,"openAccessPdf":"https://www.ncbi.nlm.nih.gov/pmc/articles/PMC10800143/pdf/","citationCount":"0","resultStr":"{\"title\":\"Transoral Endoscopic-Assisted Resection of Laryngeal Schwannoma: A Case Report.\",\"authors\":\"Dian Paramita Wulandari, Anisa Haqul Khoiria, Elida Fadhilatul Latifa\",\"doi\":\"10.22038/IJORL.2023.71324.3427\",\"DOIUrl\":null,\"url\":null,\"abstract\":\"<p><strong>Introduction: </strong>Schwannoma, a peculiar benign nerve sheath tumour, is frequently hard to differentiate from other nerve tumours, such as neurofibroma. Around 25%-45% of all schwannomas emerge in the head and neck region, but only 0.1-1.5 % involve laryngeal structure. This tumour is most accurately diagnosed with biopsy via direct laryngoscopy; however, at some points this approach cannot detect a definitive diagnosis due to the surrounding capsule of the tumour and its similar histopathologic finding with other nerve sheath tumour.</p><p><strong>Case report: </strong>Here, a case of 56-year-old female is reported with chief complaints of severe progressive dyspnea and dysphagia. Diagnosis of schwannoma was confirmed on radiological and histopathological examination with certain hurdles. A complete surgical excision via endoscopic approach was done, revealing that the bottom of the mass was attached to the right arytenoid mucosa. The histopathological features showed non-malignant atypical neurofibroma but later confirmed as laryngeal schwannoma from immunohistochemical staining.</p><p><strong>Conclusion: </strong>Although schwannoma has an excellent outcome and prognosis when occurring elsewhere in the body, laryngeal involvement is an extremely rare area for this lesion. Complete resection with a patient-customized approach to the lesion is required to avoid relapses and provide good functional results.</p>\",\"PeriodicalId\":14607,\"journal\":{\"name\":\"Iranian Journal of Otorhinolaryngology\",\"volume\":\"36 1\",\"pages\":\"371-375\"},\"PeriodicalIF\":0.0000,\"publicationDate\":\"2024-01-01\",\"publicationTypes\":\"Journal Article\",\"fieldsOfStudy\":null,\"isOpenAccess\":false,\"openAccessPdf\":\"https://www.ncbi.nlm.nih.gov/pmc/articles/PMC10800143/pdf/\",\"citationCount\":\"0\",\"resultStr\":null,\"platform\":\"Semanticscholar\",\"paperid\":null,\"PeriodicalName\":\"Iranian Journal of Otorhinolaryngology\",\"FirstCategoryId\":\"1085\",\"ListUrlMain\":\"https://doi.org/10.22038/IJORL.2023.71324.3427\",\"RegionNum\":0,\"RegionCategory\":null,\"ArticlePicture\":[],\"TitleCN\":null,\"AbstractTextCN\":null,\"PMCID\":null,\"EPubDate\":\"\",\"PubModel\":\"\",\"JCR\":\"Q3\",\"JCRName\":\"Medicine\",\"Score\":null,\"Total\":0}","platform":"Semanticscholar","paperid":null,"PeriodicalName":"Iranian Journal of Otorhinolaryngology","FirstCategoryId":"1085","ListUrlMain":"https://doi.org/10.22038/IJORL.2023.71324.3427","RegionNum":0,"RegionCategory":null,"ArticlePicture":[],"TitleCN":null,"AbstractTextCN":null,"PMCID":null,"EPubDate":"","PubModel":"","JCR":"Q3","JCRName":"Medicine","Score":null,"Total":0}
引用次数: 0

摘要

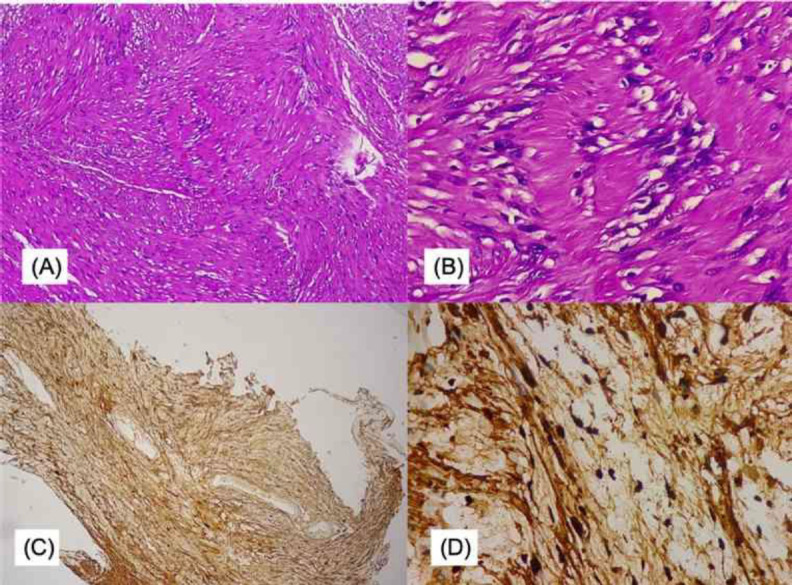
导言:神经纤维瘤是一种特殊的良性神经鞘瘤,通常很难与神经纤维瘤等其他神经肿瘤区分开来。约有25%-45%的许旺瘤发生在头颈部,但只有0.1%-1.5%的许旺瘤累及喉部结构。通过直接喉镜活检对这种肿瘤的诊断最为准确;然而,由于肿瘤周围有囊膜,且其组织病理学发现与其他神经鞘瘤相似,因此这种方法有时无法检测出明确诊断:这里报告的是一例 56 岁女性的病例,主诉为严重的进行性呼吸困难和吞咽困难。经放射学和组织病理学检查确诊为分裂瘤,但存在一定障碍。通过内窥镜方法进行了完整的手术切除,发现肿块底部与右侧杓状粘膜相连。组织病理学特征显示为非恶性的非典型神经纤维瘤,但后来通过免疫组化染色证实为喉部裂孔瘤:尽管发生在身体其他部位的裂孔瘤具有良好的治疗效果和预后,但喉部受累是这种病变极为罕见的部位。要想避免复发并获得良好的功能效果,就必须根据患者的具体情况对病灶进行彻底切除。
本文章由计算机程序翻译,如有差异,请以英文原文为准。

Transoral Endoscopic-Assisted Resection of Laryngeal Schwannoma: A Case Report.

Transoral Endoscopic-Assisted Resection of Laryngeal Schwannoma: A Case Report.

Transoral Endoscopic-Assisted Resection of Laryngeal Schwannoma: A Case Report.

Transoral Endoscopic-Assisted Resection of Laryngeal Schwannoma: A Case Report.

Introduction: Schwannoma, a peculiar benign nerve sheath tumour, is frequently hard to differentiate from other nerve tumours, such as neurofibroma. Around 25%-45% of all schwannomas emerge in the head and neck region, but only 0.1-1.5 % involve laryngeal structure. This tumour is most accurately diagnosed with biopsy via direct laryngoscopy; however, at some points this approach cannot detect a definitive diagnosis due to the surrounding capsule of the tumour and its similar histopathologic finding with other nerve sheath tumour.

Case report: Here, a case of 56-year-old female is reported with chief complaints of severe progressive dyspnea and dysphagia. Diagnosis of schwannoma was confirmed on radiological and histopathological examination with certain hurdles. A complete surgical excision via endoscopic approach was done, revealing that the bottom of the mass was attached to the right arytenoid mucosa. The histopathological features showed non-malignant atypical neurofibroma but later confirmed as laryngeal schwannoma from immunohistochemical staining.

Conclusion: Although schwannoma has an excellent outcome and prognosis when occurring elsewhere in the body, laryngeal involvement is an extremely rare area for this lesion. Complete resection with a patient-customized approach to the lesion is required to avoid relapses and provide good functional results.

求助全文
通过发布文献求助,成功后即可免费获取论文全文。 去求助
来源期刊
Iranian Journal of Otorhinolaryngology
Iranian Journal of Otorhinolaryngology Medicine-Otorhinolaryngology
CiteScore
1.30
自引率
0.00%
发文量
72
审稿时长
12 weeks
×
引用
GB/T 7714-2015
复制
MLA
复制
APA
复制
导出至
BibTeX EndNote RefMan NoteFirst NoteExpress
×
提示
您的信息不完整,为了账户安全,请先补充。
现在去补充
×
提示
您因"违规操作"
具体请查看互助需知
我知道了
×
提示
确定
请完成安全验证×
copy
已复制链接
快去分享给好友吧!
我知道了
右上角分享
点击右上角分享
0
联系我们:info@booksci.cn Book学术提供免费学术资源搜索服务,方便国内外学者检索中英文文献。致力于提供最便捷和优质的服务体验。 Copyright © 2023 布克学术 All rights reserved.
京ICP备2023020795号-1
ghs 京公网安备 11010802042870号
Book学术文献互助
Book学术文献互助群
群 号:604180095
Book学术官方微信