小儿肾脏尤文肉瘤:病例系列和文献综述

Journal of cancer & allied specialties Pub Date : 2024-01-22 eCollection Date: 2024-01-01 DOI:10.37029/jcas.v10i1.563
Areej Salim, Sajid Ali, Tariq Latif
{"title":"小儿肾脏尤文肉瘤:病例系列和文献综述","authors":"Areej Salim, Sajid Ali, Tariq Latif","doi":"10.37029/jcas.v10i1.563","DOIUrl":null,"url":null,"abstract":"<p><strong>Introduction: </strong>Renal Ewing sarcoma is an aggressive and rare malignancy affecting children and adolescents. Limited data on its management contribute to uncertainties in treatment.</p><p><strong>Case description: </strong>We present two pediatric cases of renal Ewing sarcoma. Both cases emphasize the significance of accurate diagnosis, multimodal treatment, and long-term follow-up in achieving favorable outcomes. Accurate diagnosis of renal Ewing sarcoma is crucial for effective management. Multimodal treatment involving neoadjuvant chemotherapy, surgical resection and staging with lymph node sampling, and chemotherapy continuation has shown promising results in our cases. Long-term follow-up is essential for monitoring disease progression and ensuring optimal outcomes.</p><p><strong>Practical implications: </strong>There is limited data published about these renal tumors, especially in the pediatric population, and most studies lack long-term follow-up, with uncertain management due to limited data. This data will add to the newer, multimodal approach and form the basis for future meta-analysis to help formulate guidelines for upcoming international meetings. Continued research efforts are necessary to optimize strategies and improve the prognosis for pediatric patients with renal Ewing sarcoma.</p>","PeriodicalId":73631,"journal":{"name":"Journal of cancer & allied specialties","volume":"10 1","pages":"563"},"PeriodicalIF":0.0000,"publicationDate":"2024-01-22","publicationTypes":"Journal Article","fieldsOfStudy":null,"isOpenAccess":false,"openAccessPdf":"https://www.ncbi.nlm.nih.gov/pmc/articles/PMC10793718/pdf/","citationCount":"0","resultStr":"{\"title\":\"Pediatric Ewing Sarcoma of Kidney: A Case Series and Review of Literature.\",\"authors\":\"Areej Salim, Sajid Ali, Tariq Latif\",\"doi\":\"10.37029/jcas.v10i1.563\",\"DOIUrl\":null,\"url\":null,\"abstract\":\"<p><strong>Introduction: </strong>Renal Ewing sarcoma is an aggressive and rare malignancy affecting children and adolescents. Limited data on its management contribute to uncertainties in treatment.</p><p><strong>Case description: </strong>We present two pediatric cases of renal Ewing sarcoma. Both cases emphasize the significance of accurate diagnosis, multimodal treatment, and long-term follow-up in achieving favorable outcomes. Accurate diagnosis of renal Ewing sarcoma is crucial for effective management. Multimodal treatment involving neoadjuvant chemotherapy, surgical resection and staging with lymph node sampling, and chemotherapy continuation has shown promising results in our cases. Long-term follow-up is essential for monitoring disease progression and ensuring optimal outcomes.</p><p><strong>Practical implications: </strong>There is limited data published about these renal tumors, especially in the pediatric population, and most studies lack long-term follow-up, with uncertain management due to limited data. This data will add to the newer, multimodal approach and form the basis for future meta-analysis to help formulate guidelines for upcoming international meetings. Continued research efforts are necessary to optimize strategies and improve the prognosis for pediatric patients with renal Ewing sarcoma.</p>\",\"PeriodicalId\":73631,\"journal\":{\"name\":\"Journal of cancer & allied specialties\",\"volume\":\"10 1\",\"pages\":\"563\"},\"PeriodicalIF\":0.0000,\"publicationDate\":\"2024-01-22\",\"publicationTypes\":\"Journal Article\",\"fieldsOfStudy\":null,\"isOpenAccess\":false,\"openAccessPdf\":\"https://www.ncbi.nlm.nih.gov/pmc/articles/PMC10793718/pdf/\",\"citationCount\":\"0\",\"resultStr\":null,\"platform\":\"Semanticscholar\",\"paperid\":null,\"PeriodicalName\":\"Journal of cancer & allied specialties\",\"FirstCategoryId\":\"1085\",\"ListUrlMain\":\"https://doi.org/10.37029/jcas.v10i1.563\",\"RegionNum\":0,\"RegionCategory\":null,\"ArticlePicture\":[],\"TitleCN\":null,\"AbstractTextCN\":null,\"PMCID\":null,\"EPubDate\":\"2024/1/1 0:00:00\",\"PubModel\":\"eCollection\",\"JCR\":\"\",\"JCRName\":\"\",\"Score\":null,\"Total\":0}","platform":"Semanticscholar","paperid":null,"PeriodicalName":"Journal of cancer & allied specialties","FirstCategoryId":"1085","ListUrlMain":"https://doi.org/10.37029/jcas.v10i1.563","RegionNum":0,"RegionCategory":null,"ArticlePicture":[],"TitleCN":null,"AbstractTextCN":null,"PMCID":null,"EPubDate":"2024/1/1 0:00:00","PubModel":"eCollection","JCR":"","JCRName":"","Score":null,"Total":0}
引用次数: 0

摘要

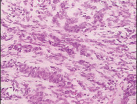
简介肾尤文肉瘤是一种侵袭性的罕见恶性肿瘤,多发于儿童和青少年。有关其治疗的数据有限,导致治疗的不确定性:我们介绍了两例肾尤文肉瘤儿科病例。两例病例都强调了准确诊断、多模式治疗和长期随访对取得良好疗效的重要意义。肾尤文肉瘤的准确诊断对于有效治疗至关重要。在我们的病例中,包括新辅助化疗、手术切除和淋巴结取样分期以及继续化疗在内的多模式治疗取得了良好的效果。长期随访对于监测疾病进展和确保最佳治疗效果至关重要:有关这些肾肿瘤的数据有限,尤其是在儿童群体中,而且大多数研究缺乏长期随访,由于数据有限,治疗方法也不确定。这些数据将为较新的多模式方法提供补充,并为未来的荟萃分析奠定基础,有助于为即将召开的国际会议制定指导方针。有必要继续开展研究工作,以优化策略,改善肾性尤文肉瘤儿科患者的预后。
本文章由计算机程序翻译,如有差异,请以英文原文为准。

Pediatric Ewing Sarcoma of Kidney: A Case Series and Review of Literature.

Pediatric Ewing Sarcoma of Kidney: A Case Series and Review of Literature.

Pediatric Ewing Sarcoma of Kidney: A Case Series and Review of Literature.

Pediatric Ewing Sarcoma of Kidney: A Case Series and Review of Literature.

Introduction: Renal Ewing sarcoma is an aggressive and rare malignancy affecting children and adolescents. Limited data on its management contribute to uncertainties in treatment.

Case description: We present two pediatric cases of renal Ewing sarcoma. Both cases emphasize the significance of accurate diagnosis, multimodal treatment, and long-term follow-up in achieving favorable outcomes. Accurate diagnosis of renal Ewing sarcoma is crucial for effective management. Multimodal treatment involving neoadjuvant chemotherapy, surgical resection and staging with lymph node sampling, and chemotherapy continuation has shown promising results in our cases. Long-term follow-up is essential for monitoring disease progression and ensuring optimal outcomes.

Practical implications: There is limited data published about these renal tumors, especially in the pediatric population, and most studies lack long-term follow-up, with uncertain management due to limited data. This data will add to the newer, multimodal approach and form the basis for future meta-analysis to help formulate guidelines for upcoming international meetings. Continued research efforts are necessary to optimize strategies and improve the prognosis for pediatric patients with renal Ewing sarcoma.

求助全文
通过发布文献求助,成功后即可免费获取论文全文。 去求助
来源期刊
自引率
0.00%
发文量
0
审稿时长
12 weeks
×
引用
GB/T 7714-2015
复制
MLA
复制
APA
复制
导出至
BibTeX EndNote RefMan NoteFirst NoteExpress
×
提示
您的信息不完整,为了账户安全,请先补充。
现在去补充
×
提示
您因"违规操作"
具体请查看互助需知
我知道了
×
提示
确定
请完成安全验证×
copy
已复制链接
快去分享给好友吧!
我知道了
右上角分享
点击右上角分享
0
联系我们:info@booksci.cn Book学术提供免费学术资源搜索服务,方便国内外学者检索中英文文献。致力于提供最便捷和优质的服务体验。 Copyright © 2023 布克学术 All rights reserved.
京ICP备2023020795号-1
ghs 京公网安备 11010802042870号
Book学术文献互助
Book学术文献互助群
群 号:604180095
Book学术官方微信