与未破裂的大脑后动脉瘤相关的孤立的同侧外展神经麻痹和对侧同侧偏盲:罕见的神经系统发现。

Sandeep Mishra, Saurav Mishra, Sabina Regmi, Kanwaljeet Garg, Shailesh Gaikwad
{"title":"与未破裂的大脑后动脉瘤相关的孤立的同侧外展神经麻痹和对侧同侧偏盲:罕见的神经系统发现。","authors":"Sandeep Mishra, Saurav Mishra, Sabina Regmi, Kanwaljeet Garg, Shailesh Gaikwad","doi":"10.7461/jcen.2024.E2023.07.002","DOIUrl":null,"url":null,"abstract":"<p><p>Cranial nerve palsies can be presenting signs of intracranial aneurysms. There is a classic pairing between an aneurysmal vessel and adjacent nerves leading to cranial neuropathy. Isolated abducens nerve palsy can be a localizing sign of an unruptured vertebrobasilar circulation aneurysm. Aneurysms involving Anterior Inferior Cerebellar Artery (AICA) and Posterior Inferior Cerebellar Artery (PICA) have been reported to be associated with abducens nerve palsy. The symptoms in unruptured aneurysms are due to the mass effect on adjacent neurovascular structures. Most of the abducens nerve palsy resolves following microsurgical clipping. Here, we present a rare case of an unruptured Posterior Cerebral Artery (PCA) aneurysm presenting with abducens nerve palsy and diplopia associated with contralateral hemianopsia which markedly improved following endovascular coil embolization.</p>","PeriodicalId":94072,"journal":{"name":"Journal of cerebrovascular and endovascular neurosurgery","volume":" ","pages":"318-323"},"PeriodicalIF":0.0000,"publicationDate":"2024-09-01","publicationTypes":"Journal Article","fieldsOfStudy":null,"isOpenAccess":false,"openAccessPdf":"https://www.ncbi.nlm.nih.gov/pmc/articles/PMC11449530/pdf/","citationCount":"0","resultStr":"{\"title\":\"Isolated ipsilateral abducens nerve palsy and contralateral homonymous hemianopsia associated with unruptured posterior cerebral artery aneurysm: A rare neurological finding.\",\"authors\":\"Sandeep Mishra, Saurav Mishra, Sabina Regmi, Kanwaljeet Garg, Shailesh Gaikwad\",\"doi\":\"10.7461/jcen.2024.E2023.07.002\",\"DOIUrl\":null,\"url\":null,\"abstract\":\"<p><p>Cranial nerve palsies can be presenting signs of intracranial aneurysms. There is a classic pairing between an aneurysmal vessel and adjacent nerves leading to cranial neuropathy. Isolated abducens nerve palsy can be a localizing sign of an unruptured vertebrobasilar circulation aneurysm. Aneurysms involving Anterior Inferior Cerebellar Artery (AICA) and Posterior Inferior Cerebellar Artery (PICA) have been reported to be associated with abducens nerve palsy. The symptoms in unruptured aneurysms are due to the mass effect on adjacent neurovascular structures. Most of the abducens nerve palsy resolves following microsurgical clipping. Here, we present a rare case of an unruptured Posterior Cerebral Artery (PCA) aneurysm presenting with abducens nerve palsy and diplopia associated with contralateral hemianopsia which markedly improved following endovascular coil embolization.</p>\",\"PeriodicalId\":94072,\"journal\":{\"name\":\"Journal of cerebrovascular and endovascular neurosurgery\",\"volume\":\" \",\"pages\":\"318-323\"},\"PeriodicalIF\":0.0000,\"publicationDate\":\"2024-09-01\",\"publicationTypes\":\"Journal Article\",\"fieldsOfStudy\":null,\"isOpenAccess\":false,\"openAccessPdf\":\"https://www.ncbi.nlm.nih.gov/pmc/articles/PMC11449530/pdf/\",\"citationCount\":\"0\",\"resultStr\":null,\"platform\":\"Semanticscholar\",\"paperid\":null,\"PeriodicalName\":\"Journal of cerebrovascular and endovascular neurosurgery\",\"FirstCategoryId\":\"1085\",\"ListUrlMain\":\"https://doi.org/10.7461/jcen.2024.E2023.07.002\",\"RegionNum\":0,\"RegionCategory\":null,\"ArticlePicture\":[],\"TitleCN\":null,\"AbstractTextCN\":null,\"PMCID\":null,\"EPubDate\":\"2024/1/22 0:00:00\",\"PubModel\":\"Epub\",\"JCR\":\"\",\"JCRName\":\"\",\"Score\":null,\"Total\":0}","platform":"Semanticscholar","paperid":null,"PeriodicalName":"Journal of cerebrovascular and endovascular neurosurgery","FirstCategoryId":"1085","ListUrlMain":"https://doi.org/10.7461/jcen.2024.E2023.07.002","RegionNum":0,"RegionCategory":null,"ArticlePicture":[],"TitleCN":null,"AbstractTextCN":null,"PMCID":null,"EPubDate":"2024/1/22 0:00:00","PubModel":"Epub","JCR":"","JCRName":"","Score":null,"Total":0}
引用次数: 0

摘要

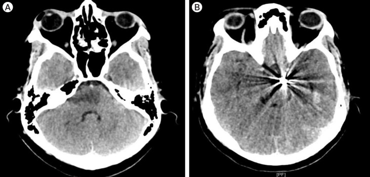
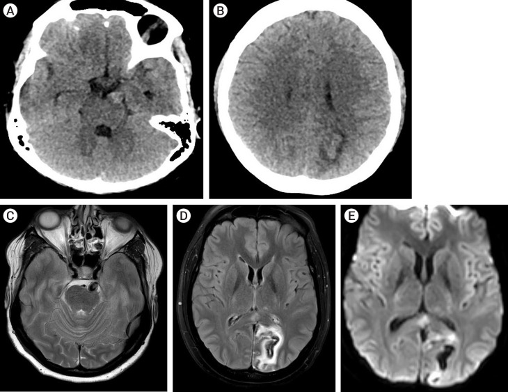
颅神经麻痹可能是颅内动脉瘤的先兆。动脉瘤血管与邻近神经之间存在典型的配对关系,从而导致颅神经病变。孤立的外展神经麻痹可能是未破裂的椎基底动脉循环动脉瘤的局部征兆。据报道,涉及小脑前下动脉(AICA)和小脑后下动脉(PICA)的动脉瘤与外展神经麻痹有关。未破裂动脉瘤的症状是由于邻近神经血管结构的肿块效应造成的。大多数外展神经麻痹在显微外科手术切除后可缓解。在此,我们介绍了一例罕见的未破裂的大脑后动脉(PCA)动脉瘤病例,该病例出现了外展神经麻痹和复视,并伴有对侧偏盲,经血管内线圈栓塞治疗后症状明显改善。
本文章由计算机程序翻译,如有差异,请以英文原文为准。

Isolated ipsilateral abducens nerve palsy and contralateral homonymous hemianopsia associated with unruptured posterior cerebral artery aneurysm: A rare neurological finding.

Isolated ipsilateral abducens nerve palsy and contralateral homonymous hemianopsia associated with unruptured posterior cerebral artery aneurysm: A rare neurological finding.

Isolated ipsilateral abducens nerve palsy and contralateral homonymous hemianopsia associated with unruptured posterior cerebral artery aneurysm: A rare neurological finding.

Isolated ipsilateral abducens nerve palsy and contralateral homonymous hemianopsia associated with unruptured posterior cerebral artery aneurysm: A rare neurological finding.

Cranial nerve palsies can be presenting signs of intracranial aneurysms. There is a classic pairing between an aneurysmal vessel and adjacent nerves leading to cranial neuropathy. Isolated abducens nerve palsy can be a localizing sign of an unruptured vertebrobasilar circulation aneurysm. Aneurysms involving Anterior Inferior Cerebellar Artery (AICA) and Posterior Inferior Cerebellar Artery (PICA) have been reported to be associated with abducens nerve palsy. The symptoms in unruptured aneurysms are due to the mass effect on adjacent neurovascular structures. Most of the abducens nerve palsy resolves following microsurgical clipping. Here, we present a rare case of an unruptured Posterior Cerebral Artery (PCA) aneurysm presenting with abducens nerve palsy and diplopia associated with contralateral hemianopsia which markedly improved following endovascular coil embolization.

求助全文
通过发布文献求助,成功后即可免费获取论文全文。 去求助
来源期刊
CiteScore
1.10
自引率
0.00%
发文量
0
×
引用
GB/T 7714-2015
复制
MLA
复制
APA
复制
导出至
BibTeX EndNote RefMan NoteFirst NoteExpress
×
提示
您的信息不完整,为了账户安全,请先补充。
现在去补充
×
提示
您因"违规操作"
具体请查看互助需知
我知道了
×
提示
确定
请完成安全验证×
copy
已复制链接
快去分享给好友吧!
我知道了
右上角分享
点击右上角分享
0
联系我们:info@booksci.cn Book学术提供免费学术资源搜索服务,方便国内外学者检索中英文文献。致力于提供最便捷和优质的服务体验。 Copyright © 2023 布克学术 All rights reserved.
京ICP备2023020795号-1
ghs 京公网安备 11010802042870号
Book学术文献互助
Book学术文献互助群
群 号:604180095
Book学术官方微信