脉搏血氧仪对早期诊断全膝关节置换术后肺栓塞的疗效。

IF 4.4 Q2 Medicine
Ju-Hyung Yoo, Sang-Hoon Park, Hyun-Cheol Oh, Joong-Won Ha, Han-Kook Yoon
{"title":"脉搏血氧仪对早期诊断全膝关节置换术后肺栓塞的疗效。","authors":"Ju-Hyung Yoo, Sang-Hoon Park, Hyun-Cheol Oh, Joong-Won Ha, Han-Kook Yoon","doi":"10.1186/s43019-023-00207-0","DOIUrl":null,"url":null,"abstract":"<p><strong>Introduction: </strong>Early diagnosis and aggressive treatment of pulmonary embolism (PE) are crucial for preventing severe complications after total knee arthroplasty (TKA). This study aimed to examine the efficacy of measuring oxygen saturation (SpO<sub>2</sub>) using a pulse oximeter for early diagnosis of PE after total knee arthroplasty (TKA).</p><p><strong>Materials and methods: </strong>We consecutively examined 1645 patients who underwent TKA between January 2015 and November 2019. Postoperative SpO<sub>2</sub> was measured with a pulse oximeter, which was stopped if SpO<sub>2</sub> was maintained at ≥ 95% until postoperative day 2 (POD2). To diagnose PE, computed tomographic pulmonary angiography (CTPA) was performed for specific indications, including persistently low SpO<sub>2</sub> < 95% (group 1), sudden decrease in SpO<sub>2</sub> (group 2), and decrease in SpO<sub>2</sub> after POD3 with presenting symptoms (group 3). Also, we divided the patients into unilateral, simultaneous and sequential TKA groups and compared the results with specific statistical techniques.</p><p><strong>Results: </strong>Of the 1645 patients who underwent TKA, there were 20 patients with PE (1.2%), and symptomatic PE was observed in only 4 patients (0.24%). CTPA was performed in 58 (3.5%) patients, of whom 20 were diagnosed with PE. In groups 1 (n = 34), 2 (n = 21), and 3 (n = 3), CTPA was performed 2.4, 2.6, and 8.3 days after TKA, respectively, and 12, 8, and 0 patients were diagnosed with PE, respectively. Of the 782, 416, and 447 unilateral, simultaneous, and sequential (done in same admission with interval 1 or 2 weeks) patients with TKA, 38, 18, and 2 received CTPA, and 13, 6, and 1 were diagnosed with PE, respectively. All patients diagnosed with PE have persistently low SpO<sub>2</sub> < 95% (group 1), or sudden decrease in SpO2 (group 2) until POD2. Of the patients diagnosed with PE, SpO<sub>2</sub> decreased without the presentation of symptoms in 16 patients (11 and 5 from groups 1 and 2, respectively) and with the presentation of symptoms, such as mild dyspnea and chest discomfort, in 4 patients (1 and 3 from groups 1 and 2, respectively).</p><p><strong>Conclusions: </strong>Measuring SpO<sub>2</sub> using a pulse oximeter until POD2 was an effective method for early diagnosis of PE after TKA. No case of morbidity or mortality was observed after early diagnosis with early stage CTPA and management of PE. We recommend measuring SpO<sub>2</sub> with a pulse oximeter for early diagnosing of PE in TKA.</p>","PeriodicalId":36317,"journal":{"name":"Knee Surgery and Related Research","volume":"36 1","pages":"6"},"PeriodicalIF":4.4000,"publicationDate":"2024-01-21","publicationTypes":"Journal Article","fieldsOfStudy":null,"isOpenAccess":false,"openAccessPdf":"https://www.ncbi.nlm.nih.gov/pmc/articles/PMC10801930/pdf/","citationCount":"0","resultStr":"{\"title\":\"Efficacy of pulse oximetry for early diagnosis of pulmonary embolism after total knee arthroplasty.\",\"authors\":\"Ju-Hyung Yoo, Sang-Hoon Park, Hyun-Cheol Oh, Joong-Won Ha, Han-Kook Yoon\",\"doi\":\"10.1186/s43019-023-00207-0\",\"DOIUrl\":null,\"url\":null,\"abstract\":\"<p><strong>Introduction: </strong>Early diagnosis and aggressive treatment of pulmonary embolism (PE) are crucial for preventing severe complications after total knee arthroplasty (TKA). This study aimed to examine the efficacy of measuring oxygen saturation (SpO<sub>2</sub>) using a pulse oximeter for early diagnosis of PE after total knee arthroplasty (TKA).</p><p><strong>Materials and methods: </strong>We consecutively examined 1645 patients who underwent TKA between January 2015 and November 2019. Postoperative SpO<sub>2</sub> was measured with a pulse oximeter, which was stopped if SpO<sub>2</sub> was maintained at ≥ 95% until postoperative day 2 (POD2). To diagnose PE, computed tomographic pulmonary angiography (CTPA) was performed for specific indications, including persistently low SpO<sub>2</sub> < 95% (group 1), sudden decrease in SpO<sub>2</sub> (group 2), and decrease in SpO<sub>2</sub> after POD3 with presenting symptoms (group 3). Also, we divided the patients into unilateral, simultaneous and sequential TKA groups and compared the results with specific statistical techniques.</p><p><strong>Results: </strong>Of the 1645 patients who underwent TKA, there were 20 patients with PE (1.2%), and symptomatic PE was observed in only 4 patients (0.24%). CTPA was performed in 58 (3.5%) patients, of whom 20 were diagnosed with PE. In groups 1 (n = 34), 2 (n = 21), and 3 (n = 3), CTPA was performed 2.4, 2.6, and 8.3 days after TKA, respectively, and 12, 8, and 0 patients were diagnosed with PE, respectively. Of the 782, 416, and 447 unilateral, simultaneous, and sequential (done in same admission with interval 1 or 2 weeks) patients with TKA, 38, 18, and 2 received CTPA, and 13, 6, and 1 were diagnosed with PE, respectively. All patients diagnosed with PE have persistently low SpO<sub>2</sub> < 95% (group 1), or sudden decrease in SpO2 (group 2) until POD2. Of the patients diagnosed with PE, SpO<sub>2</sub> decreased without the presentation of symptoms in 16 patients (11 and 5 from groups 1 and 2, respectively) and with the presentation of symptoms, such as mild dyspnea and chest discomfort, in 4 patients (1 and 3 from groups 1 and 2, respectively).</p><p><strong>Conclusions: </strong>Measuring SpO<sub>2</sub> using a pulse oximeter until POD2 was an effective method for early diagnosis of PE after TKA. No case of morbidity or mortality was observed after early diagnosis with early stage CTPA and management of PE. We recommend measuring SpO<sub>2</sub> with a pulse oximeter for early diagnosing of PE in TKA.</p>\",\"PeriodicalId\":36317,\"journal\":{\"name\":\"Knee Surgery and Related Research\",\"volume\":\"36 1\",\"pages\":\"6\"},\"PeriodicalIF\":4.4000,\"publicationDate\":\"2024-01-21\",\"publicationTypes\":\"Journal Article\",\"fieldsOfStudy\":null,\"isOpenAccess\":false,\"openAccessPdf\":\"https://www.ncbi.nlm.nih.gov/pmc/articles/PMC10801930/pdf/\",\"citationCount\":\"0\",\"resultStr\":null,\"platform\":\"Semanticscholar\",\"paperid\":null,\"PeriodicalName\":\"Knee Surgery and Related Research\",\"FirstCategoryId\":\"1085\",\"ListUrlMain\":\"https://doi.org/10.1186/s43019-023-00207-0\",\"RegionNum\":0,\"RegionCategory\":null,\"ArticlePicture\":[],\"TitleCN\":null,\"AbstractTextCN\":null,\"PMCID\":null,\"EPubDate\":\"\",\"PubModel\":\"\",\"JCR\":\"Q2\",\"JCRName\":\"Medicine\",\"Score\":null,\"Total\":0}","platform":"Semanticscholar","paperid":null,"PeriodicalName":"Knee Surgery and Related Research","FirstCategoryId":"1085","ListUrlMain":"https://doi.org/10.1186/s43019-023-00207-0","RegionNum":0,"RegionCategory":null,"ArticlePicture":[],"TitleCN":null,"AbstractTextCN":null,"PMCID":null,"EPubDate":"","PubModel":"","JCR":"Q2","JCRName":"Medicine","Score":null,"Total":0}
引用次数: 0

摘要

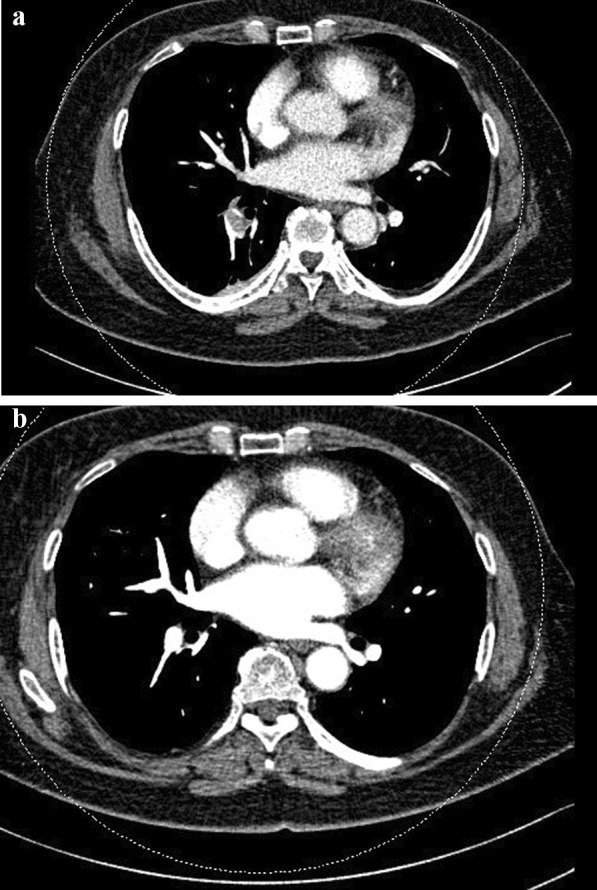
简介:肺栓塞(PE)的早期诊断和积极治疗对于预防全膝关节置换术(TKA)后严重并发症至关重要。本研究旨在探讨使用脉搏血氧仪测量血氧饱和度(SpO2)对早期诊断全膝关节置换术(TKA)后肺栓塞的疗效:我们连续检查了2015年1月至2019年11月期间接受TKA手术的1645名患者。使用脉搏血氧仪测量术后 SpO2,如果 SpO2 在术后第 2 天(POD2)之前一直保持在≥ 95% 的水平,则停止测量。为了诊断 PE,我们根据特定的指征进行了计算机断层扫描肺血管造影术(CTPA),包括持续低 SpO2 2(第 2 组)和 POD3 后 SpO2 下降并伴有症状(第 3 组)。此外,我们还将患者分为单侧、同时和连续 TKA 组,并通过特定统计技术对结果进行比较:在 1645 名接受 TKA 的患者中,有 20 名患者出现 PE(1.2%),只有 4 名患者(0.24%)出现无症状 PE。58例(3.5%)患者接受了CTPA检查,其中20例被确诊为PE。在第 1 组(34 人)、第 2 组(21 人)和第 3 组(3 人)中,分别在 TKA 术后 2.4 天、2.6 天和 8.3 天进行了 CTPA 检查,分别有 12、8 和 0 名患者被确诊为 PE。在 782 名、416 名和 447 名单侧、同时和连续(在同一入院时间内完成,间隔 1 或 2 周)TKA 患者中,分别有 38 名、18 名和 2 名患者接受了 CTPA,13 名、6 名和 1 名患者被诊断为 PE。所有被诊断为 PE 的患者中,有 16 名患者(1 组和 2 组分别有 11 名和 5 名)在没有症状的情况下 SpO2 持续降低 2,有 4 名患者(1 组和 2 组分别有 1 名和 3 名)在出现轻微呼吸困难和胸部不适等症状时 SpO2 持续降低 2:结论:使用脉搏血氧仪测量 SpO2 直至 POD2 是早期诊断 TKA 术后 PE 的有效方法。使用早期 CTPA 进行早期诊断并处理 PE 后,未发现任何发病或死亡病例。我们建议使用脉搏氧饱和度仪测量 SpO2 以早期诊断 TKA 中的 PE。
本文章由计算机程序翻译,如有差异,请以英文原文为准。

Efficacy of pulse oximetry for early diagnosis of pulmonary embolism after total knee arthroplasty.

Efficacy of pulse oximetry for early diagnosis of pulmonary embolism after total knee arthroplasty.

Introduction: Early diagnosis and aggressive treatment of pulmonary embolism (PE) are crucial for preventing severe complications after total knee arthroplasty (TKA). This study aimed to examine the efficacy of measuring oxygen saturation (SpO2) using a pulse oximeter for early diagnosis of PE after total knee arthroplasty (TKA).

Materials and methods: We consecutively examined 1645 patients who underwent TKA between January 2015 and November 2019. Postoperative SpO2 was measured with a pulse oximeter, which was stopped if SpO2 was maintained at ≥ 95% until postoperative day 2 (POD2). To diagnose PE, computed tomographic pulmonary angiography (CTPA) was performed for specific indications, including persistently low SpO2 < 95% (group 1), sudden decrease in SpO2 (group 2), and decrease in SpO2 after POD3 with presenting symptoms (group 3). Also, we divided the patients into unilateral, simultaneous and sequential TKA groups and compared the results with specific statistical techniques.

Results: Of the 1645 patients who underwent TKA, there were 20 patients with PE (1.2%), and symptomatic PE was observed in only 4 patients (0.24%). CTPA was performed in 58 (3.5%) patients, of whom 20 were diagnosed with PE. In groups 1 (n = 34), 2 (n = 21), and 3 (n = 3), CTPA was performed 2.4, 2.6, and 8.3 days after TKA, respectively, and 12, 8, and 0 patients were diagnosed with PE, respectively. Of the 782, 416, and 447 unilateral, simultaneous, and sequential (done in same admission with interval 1 or 2 weeks) patients with TKA, 38, 18, and 2 received CTPA, and 13, 6, and 1 were diagnosed with PE, respectively. All patients diagnosed with PE have persistently low SpO2 < 95% (group 1), or sudden decrease in SpO2 (group 2) until POD2. Of the patients diagnosed with PE, SpO2 decreased without the presentation of symptoms in 16 patients (11 and 5 from groups 1 and 2, respectively) and with the presentation of symptoms, such as mild dyspnea and chest discomfort, in 4 patients (1 and 3 from groups 1 and 2, respectively).

Conclusions: Measuring SpO2 using a pulse oximeter until POD2 was an effective method for early diagnosis of PE after TKA. No case of morbidity or mortality was observed after early diagnosis with early stage CTPA and management of PE. We recommend measuring SpO2 with a pulse oximeter for early diagnosing of PE in TKA.

求助全文
通过发布文献求助,成功后即可免费获取论文全文。 去求助
来源期刊
CiteScore
6.50
自引率
0.00%
发文量
42
审稿时长
19 weeks
×
引用
GB/T 7714-2015
复制
MLA
复制
APA
复制
导出至
BibTeX EndNote RefMan NoteFirst NoteExpress
×
提示
您的信息不完整,为了账户安全,请先补充。
现在去补充
×
提示
您因"违规操作"
具体请查看互助需知
我知道了
×
提示
确定
请完成安全验证×
copy
已复制链接
快去分享给好友吧!
我知道了
右上角分享
点击右上角分享
0
联系我们:info@booksci.cn Book学术提供免费学术资源搜索服务,方便国内外学者检索中英文文献。致力于提供最便捷和优质的服务体验。 Copyright © 2023 布克学术 All rights reserved.
京ICP备2023020795号-1
ghs 京公网安备 11010802042870号
Book学术文献互助
Book学术文献互助群
群 号:604180095
Book学术官方微信