体重指数的背后:腹部异位脂肪对葡萄糖代谢的潜在指示作用。

IF 4.7 3区 医学 Q2 ENDOCRINOLOGY & METABOLISM
Obesity Facts Pub Date : 2024-01-01 Epub Date: 2024-01-19 DOI:10.1159/000536160
Xiaoyang Li, Hao Ren, Hui Xu, Xinjun Han, Jun Lu, Zhenghan Yang
{"title":"体重指数的背后:腹部异位脂肪对葡萄糖代谢的潜在指示作用。","authors":"Xiaoyang Li, Hao Ren, Hui Xu, Xinjun Han, Jun Lu, Zhenghan Yang","doi":"10.1159/000536160","DOIUrl":null,"url":null,"abstract":"<p><strong>Introduction: </strong>The purpose of this study was to compare the difference in abdominal fat distribution between different metabolic groups and find the ectopic fat with the most risk significance.</p><p><strong>Methods: </strong>A total of 98 subjects were enrolled; there were 53 cases in the normal glucose metabolism group and 45 cases in the abnormal glucose metabolism group. Chemical shift-encoded magnetic resonance imaging was applied for quantification of pancreatic fat fraction (PFF) and hepatic fat fraction (HFF), subcutaneous adipose tissue (SAT), and visceral adipose tissue (VAT). The correlation and the difference of fat distribution between different metabolism groups were analyzed. The receiver operating characteristic (ROC) curve was used to analyze the suggestive effect of different body fat fraction.</p><p><strong>Results: </strong>Correlation analysis showed that body mass index (BMI) had the strongest correlation with fasting insulin (r = 0.473, p &lt; 0.001), HOMA-IR (r = 0.363, p &lt; 0.001), and C-reactive protein (r = 0.245, p &lt; 0.05). Pancreatic fat has a good correlation with fasting blood glucose (r = 0.247, p &lt; 0.05) and HbA1c (r = 0.363, p &lt; 0.001). With the increase of BMI, PFF, VAT, and SAT showed a clear upward trend, but liver fat was distributed relatively more randomly. The pancreatic fat content in the abnormal glucose metabolism group is significantly higher than that in the normal group, and pancreatic fat is also a reliable indicator of abnormal glucose metabolism, especially in the normal and overweight groups (the area under the curve was 0.859 and 0.864, respectively).</p><p><strong>Conclusion: </strong>MR-based fat quantification techniques can provide additional information on fat distribution. There are differences in fat distribution among people with different metabolic status. People with more severe pancreatic fat deposition have a higher risk of glucose metabolism disorders.</p>","PeriodicalId":19414,"journal":{"name":"Obesity Facts","volume":" ","pages":"158-168"},"PeriodicalIF":4.7000,"publicationDate":"2024-01-01","publicationTypes":"Journal Article","fieldsOfStudy":null,"isOpenAccess":false,"openAccessPdf":"https://www.ncbi.nlm.nih.gov/pmc/articles/PMC10987183/pdf/","citationCount":"0","resultStr":"{\"title\":\"Behind BMI: The Potential Indicative Role of Abdominal Ectopic Fat on Glucose Metabolism.\",\"authors\":\"Xiaoyang Li, Hao Ren, Hui Xu, Xinjun Han, Jun Lu, Zhenghan Yang\",\"doi\":\"10.1159/000536160\",\"DOIUrl\":null,\"url\":null,\"abstract\":\"<p><strong>Introduction: </strong>The purpose of this study was to compare the difference in abdominal fat distribution between different metabolic groups and find the ectopic fat with the most risk significance.</p><p><strong>Methods: </strong>A total of 98 subjects were enrolled; there were 53 cases in the normal glucose metabolism group and 45 cases in the abnormal glucose metabolism group. Chemical shift-encoded magnetic resonance imaging was applied for quantification of pancreatic fat fraction (PFF) and hepatic fat fraction (HFF), subcutaneous adipose tissue (SAT), and visceral adipose tissue (VAT). The correlation and the difference of fat distribution between different metabolism groups were analyzed. The receiver operating characteristic (ROC) curve was used to analyze the suggestive effect of different body fat fraction.</p><p><strong>Results: </strong>Correlation analysis showed that body mass index (BMI) had the strongest correlation with fasting insulin (r = 0.473, p &lt; 0.001), HOMA-IR (r = 0.363, p &lt; 0.001), and C-reactive protein (r = 0.245, p &lt; 0.05). Pancreatic fat has a good correlation with fasting blood glucose (r = 0.247, p &lt; 0.05) and HbA1c (r = 0.363, p &lt; 0.001). With the increase of BMI, PFF, VAT, and SAT showed a clear upward trend, but liver fat was distributed relatively more randomly. The pancreatic fat content in the abnormal glucose metabolism group is significantly higher than that in the normal group, and pancreatic fat is also a reliable indicator of abnormal glucose metabolism, especially in the normal and overweight groups (the area under the curve was 0.859 and 0.864, respectively).</p><p><strong>Conclusion: </strong>MR-based fat quantification techniques can provide additional information on fat distribution. There are differences in fat distribution among people with different metabolic status. People with more severe pancreatic fat deposition have a higher risk of glucose metabolism disorders.</p>\",\"PeriodicalId\":19414,\"journal\":{\"name\":\"Obesity Facts\",\"volume\":\" \",\"pages\":\"158-168\"},\"PeriodicalIF\":4.7000,\"publicationDate\":\"2024-01-01\",\"publicationTypes\":\"Journal Article\",\"fieldsOfStudy\":null,\"isOpenAccess\":false,\"openAccessPdf\":\"https://www.ncbi.nlm.nih.gov/pmc/articles/PMC10987183/pdf/\",\"citationCount\":\"0\",\"resultStr\":null,\"platform\":\"Semanticscholar\",\"paperid\":null,\"PeriodicalName\":\"Obesity Facts\",\"FirstCategoryId\":\"3\",\"ListUrlMain\":\"https://doi.org/10.1159/000536160\",\"RegionNum\":3,\"RegionCategory\":\"医学\",\"ArticlePicture\":[],\"TitleCN\":null,\"AbstractTextCN\":null,\"PMCID\":null,\"EPubDate\":\"2024/1/19 0:00:00\",\"PubModel\":\"Epub\",\"JCR\":\"Q2\",\"JCRName\":\"ENDOCRINOLOGY & METABOLISM\",\"Score\":null,\"Total\":0}","platform":"Semanticscholar","paperid":null,"PeriodicalName":"Obesity Facts","FirstCategoryId":"3","ListUrlMain":"https://doi.org/10.1159/000536160","RegionNum":3,"RegionCategory":"医学","ArticlePicture":[],"TitleCN":null,"AbstractTextCN":null,"PMCID":null,"EPubDate":"2024/1/19 0:00:00","PubModel":"Epub","JCR":"Q2","JCRName":"ENDOCRINOLOGY & METABOLISM","Score":null,"Total":0}
引用次数: 0

摘要

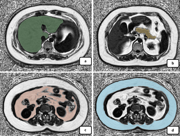
导言:本研究的目的是比较不同代谢组间腹部脂肪分布的差异,并找出最具风险意义的异位脂肪。方法:本研究共纳入 98 例受试者,其中糖代谢正常组 53 例,糖代谢异常组 45 例。采用化学位移编码磁共振成像技术对胰腺脂肪率(PFF)和肝脏脂肪率(HFF)进行量化,并对皮下脂肪组织(SAT)和内脏脂肪组织(VAT)进行评估。分析了不同代谢组之间脂肪分布的相关性和差异。采用接收者操作特征曲线(ROC)分析不同体脂率的提示作用。结果:相关性分析表明,体重指数与空腹胰岛素(r=0.473,P<0.001)、HOMA-IR(r=0.363,P<0.001)和C反应蛋白(r=0.245,P<0.05)的相关性最强。胰腺脂肪与空腹血糖(r=0.247,P<0.05)和 HbA1c(r=0.363,P<0.001)有很好的相关性。随着体重指数(BMI)的增加,PFF、VAT 和 SAT 呈明显上升趋势,但肝脏脂肪的分布相对更加随机。糖代谢异常组的胰腺脂肪含量明显高于正常组,胰腺脂肪也是糖代谢异常的可靠指标,尤其是在正常组和超重组(曲线下面积分别为 0.859 和 0.864)。结论:基于核磁共振的脂肪定量技术可提供有关脂肪分布的更多信息。不同代谢状态的人群脂肪分布存在差异。胰腺脂肪沉积更严重的人患糖代谢紊乱的风险更高。关键字核磁共振成像 肥胖 异位脂肪 脂肪分布
本文章由计算机程序翻译,如有差异,请以英文原文为准。

Behind BMI: The Potential Indicative Role of Abdominal Ectopic Fat on Glucose Metabolism.

Behind BMI: The Potential Indicative Role of Abdominal Ectopic Fat on Glucose Metabolism.

Behind BMI: The Potential Indicative Role of Abdominal Ectopic Fat on Glucose Metabolism.

Behind BMI: The Potential Indicative Role of Abdominal Ectopic Fat on Glucose Metabolism.

Introduction: The purpose of this study was to compare the difference in abdominal fat distribution between different metabolic groups and find the ectopic fat with the most risk significance.

Methods: A total of 98 subjects were enrolled; there were 53 cases in the normal glucose metabolism group and 45 cases in the abnormal glucose metabolism group. Chemical shift-encoded magnetic resonance imaging was applied for quantification of pancreatic fat fraction (PFF) and hepatic fat fraction (HFF), subcutaneous adipose tissue (SAT), and visceral adipose tissue (VAT). The correlation and the difference of fat distribution between different metabolism groups were analyzed. The receiver operating characteristic (ROC) curve was used to analyze the suggestive effect of different body fat fraction.

Results: Correlation analysis showed that body mass index (BMI) had the strongest correlation with fasting insulin (r = 0.473, p < 0.001), HOMA-IR (r = 0.363, p < 0.001), and C-reactive protein (r = 0.245, p < 0.05). Pancreatic fat has a good correlation with fasting blood glucose (r = 0.247, p < 0.05) and HbA1c (r = 0.363, p < 0.001). With the increase of BMI, PFF, VAT, and SAT showed a clear upward trend, but liver fat was distributed relatively more randomly. The pancreatic fat content in the abnormal glucose metabolism group is significantly higher than that in the normal group, and pancreatic fat is also a reliable indicator of abnormal glucose metabolism, especially in the normal and overweight groups (the area under the curve was 0.859 and 0.864, respectively).

Conclusion: MR-based fat quantification techniques can provide additional information on fat distribution. There are differences in fat distribution among people with different metabolic status. People with more severe pancreatic fat deposition have a higher risk of glucose metabolism disorders.

求助全文
通过发布文献求助,成功后即可免费获取论文全文。 去求助
来源期刊
Obesity Facts
Obesity Facts 医学-内分泌学与代谢
CiteScore
6.80
自引率
5.60%
发文量
77
审稿时长
6-12 weeks
期刊介绍: ''Obesity Facts'' publishes articles covering all aspects of obesity, in particular epidemiology, etiology and pathogenesis, treatment, and the prevention of adiposity. As obesity is related to many disease processes, the journal is also dedicated to all topics pertaining to comorbidity and covers psychological and sociocultural aspects as well as influences of nutrition and exercise on body weight. The editors carefully select papers to present only the most recent findings in clinical practice and research. All professionals concerned with obesity issues will find this journal a most valuable update to keep them abreast of the latest scientific developments.
×
引用
GB/T 7714-2015
复制
MLA
复制
APA
复制
导出至
BibTeX EndNote RefMan NoteFirst NoteExpress
×
提示
您的信息不完整,为了账户安全,请先补充。
现在去补充
×
提示
您因"违规操作"
具体请查看互助需知
我知道了
×
提示
确定
请完成安全验证×
copy
已复制链接
快去分享给好友吧!
我知道了
右上角分享
点击右上角分享
0
联系我们:info@booksci.cn Book学术提供免费学术资源搜索服务,方便国内外学者检索中英文文献。致力于提供最便捷和优质的服务体验。 Copyright © 2023 布克学术 All rights reserved.
京ICP备2023020795号-1
ghs 京公网安备 11010802042870号
Book学术文献互助
Book学术文献互助群
群 号:604180095
Book学术官方微信