分化型甲状腺癌的异常肠系膜转移:病例报告。

Korean journal of clinical oncology Pub Date : 2023-12-01 Epub Date: 2023-12-31 DOI:10.14216/kjco.23015
Sunyoung Chwa, Seung Hun Lee, Seung Hyun Lee
{"title":"分化型甲状腺癌的异常肠系膜转移:病例报告。","authors":"Sunyoung Chwa, Seung Hun Lee, Seung Hyun Lee","doi":"10.14216/kjco.23015","DOIUrl":null,"url":null,"abstract":"<p><p>Distant metastases of well-differentiated thyroid cancers (WDTCs) to bone and lungs are well known, while intra-abdominal, mesenteric metastases are very rare. Herein, we report a case of intra-abdominal, mesenteric metastasis of WDTC. A 62-year-old man underwent thyroid lobectomy for follicular thyroid cancer. One year later, lung metastasis was observed. The patient simultaneously underwent lung wedge resection and complete thyroidectomy. Eleven years later, serum thyroglobulin level was elevated. On the work-up study, a metastatic lesion in the lungs and a mass in the mesentery were identified. Two lesions of the lung and mesentery were surgically resected. The mass in the mesentery was pathologically diagnosed as metastatic WDTC.</p>","PeriodicalId":74045,"journal":{"name":"Korean journal of clinical oncology","volume":"19 2","pages":"84-87"},"PeriodicalIF":0.0000,"publicationDate":"2023-12-01","publicationTypes":"Journal Article","fieldsOfStudy":null,"isOpenAccess":false,"openAccessPdf":"https://www.ncbi.nlm.nih.gov/pmc/articles/PMC10792370/pdf/","citationCount":"0","resultStr":"{\"title\":\"Unusual mesentery metastasis of differentiated thyroid cancer: a case report.\",\"authors\":\"Sunyoung Chwa, Seung Hun Lee, Seung Hyun Lee\",\"doi\":\"10.14216/kjco.23015\",\"DOIUrl\":null,\"url\":null,\"abstract\":\"<p><p>Distant metastases of well-differentiated thyroid cancers (WDTCs) to bone and lungs are well known, while intra-abdominal, mesenteric metastases are very rare. Herein, we report a case of intra-abdominal, mesenteric metastasis of WDTC. A 62-year-old man underwent thyroid lobectomy for follicular thyroid cancer. One year later, lung metastasis was observed. The patient simultaneously underwent lung wedge resection and complete thyroidectomy. Eleven years later, serum thyroglobulin level was elevated. On the work-up study, a metastatic lesion in the lungs and a mass in the mesentery were identified. Two lesions of the lung and mesentery were surgically resected. The mass in the mesentery was pathologically diagnosed as metastatic WDTC.</p>\",\"PeriodicalId\":74045,\"journal\":{\"name\":\"Korean journal of clinical oncology\",\"volume\":\"19 2\",\"pages\":\"84-87\"},\"PeriodicalIF\":0.0000,\"publicationDate\":\"2023-12-01\",\"publicationTypes\":\"Journal Article\",\"fieldsOfStudy\":null,\"isOpenAccess\":false,\"openAccessPdf\":\"https://www.ncbi.nlm.nih.gov/pmc/articles/PMC10792370/pdf/\",\"citationCount\":\"0\",\"resultStr\":null,\"platform\":\"Semanticscholar\",\"paperid\":null,\"PeriodicalName\":\"Korean journal of clinical oncology\",\"FirstCategoryId\":\"1085\",\"ListUrlMain\":\"https://doi.org/10.14216/kjco.23015\",\"RegionNum\":0,\"RegionCategory\":null,\"ArticlePicture\":[],\"TitleCN\":null,\"AbstractTextCN\":null,\"PMCID\":null,\"EPubDate\":\"2023/12/31 0:00:00\",\"PubModel\":\"Epub\",\"JCR\":\"\",\"JCRName\":\"\",\"Score\":null,\"Total\":0}","platform":"Semanticscholar","paperid":null,"PeriodicalName":"Korean journal of clinical oncology","FirstCategoryId":"1085","ListUrlMain":"https://doi.org/10.14216/kjco.23015","RegionNum":0,"RegionCategory":null,"ArticlePicture":[],"TitleCN":null,"AbstractTextCN":null,"PMCID":null,"EPubDate":"2023/12/31 0:00:00","PubModel":"Epub","JCR":"","JCRName":"","Score":null,"Total":0}
引用次数: 0

摘要

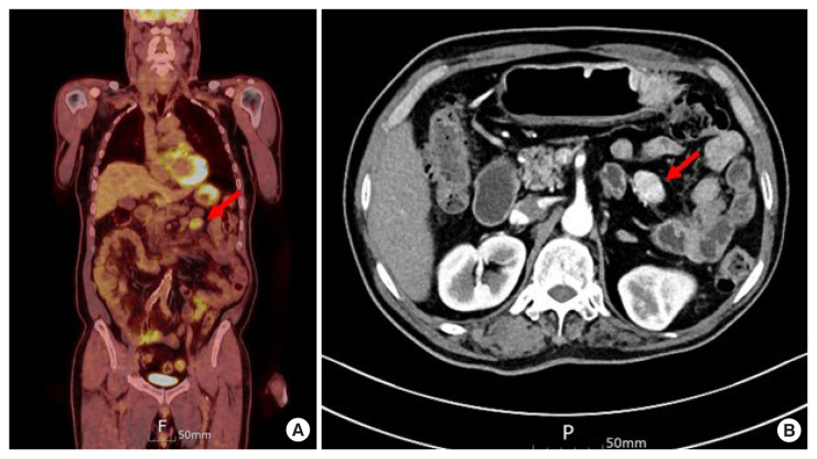
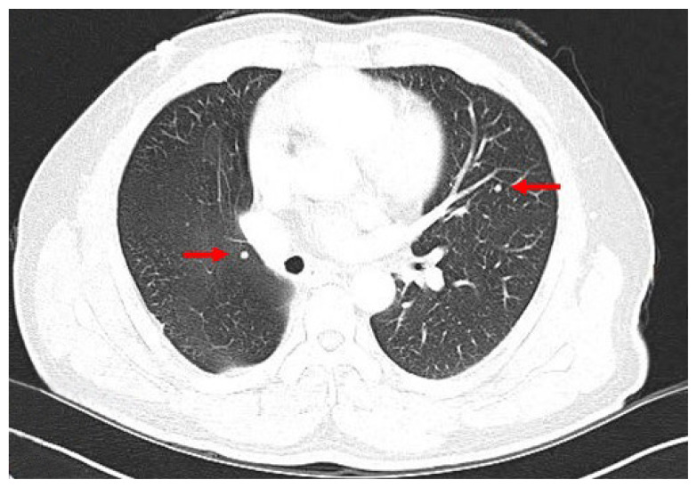
众所周知,分化良好的甲状腺癌(WDTC)会向骨和肺进行远处转移,而腹腔内和肠系膜转移则非常罕见。在此,我们报告了一例WDTC腹腔内肠系膜转移病例。一名 62 岁的男性因患滤泡性甲状腺癌接受了甲状腺叶切除术。一年后发现肺转移。患者同时接受了肺楔形切除术和甲状腺全切除术。11年后,患者血清甲状腺球蛋白水平升高。在检查中发现了肺部转移灶和肠系膜肿块。手术切除了肺部和肠系膜的两个病灶。肠系膜肿块经病理诊断为转移性 WDTC。
本文章由计算机程序翻译,如有差异,请以英文原文为准。

Unusual mesentery metastasis of differentiated thyroid cancer: a case report.

Unusual mesentery metastasis of differentiated thyroid cancer: a case report.

Unusual mesentery metastasis of differentiated thyroid cancer: a case report.

Unusual mesentery metastasis of differentiated thyroid cancer: a case report.

Distant metastases of well-differentiated thyroid cancers (WDTCs) to bone and lungs are well known, while intra-abdominal, mesenteric metastases are very rare. Herein, we report a case of intra-abdominal, mesenteric metastasis of WDTC. A 62-year-old man underwent thyroid lobectomy for follicular thyroid cancer. One year later, lung metastasis was observed. The patient simultaneously underwent lung wedge resection and complete thyroidectomy. Eleven years later, serum thyroglobulin level was elevated. On the work-up study, a metastatic lesion in the lungs and a mass in the mesentery were identified. Two lesions of the lung and mesentery were surgically resected. The mass in the mesentery was pathologically diagnosed as metastatic WDTC.

求助全文
通过发布文献求助,成功后即可免费获取论文全文。 去求助
来源期刊
自引率
0.00%
发文量
0
×
引用
GB/T 7714-2015
复制
MLA
复制
APA
复制
导出至
BibTeX EndNote RefMan NoteFirst NoteExpress
×
提示
您的信息不完整,为了账户安全,请先补充。
现在去补充
×
提示
您因"违规操作"
具体请查看互助需知
我知道了
×
提示
确定
请完成安全验证×
copy
已复制链接
快去分享给好友吧!
我知道了
右上角分享
点击右上角分享
0
联系我们:info@booksci.cn Book学术提供免费学术资源搜索服务,方便国内外学者检索中英文文献。致力于提供最便捷和优质的服务体验。 Copyright © 2023 布克学术 All rights reserved.
京ICP备2023020795号-1
ghs 京公网安备 11010802042870号
Book学术文献互助
Book学术文献互助群
群 号:604180095
Book学术官方微信