多发性内疝:腹腔镜 Roux-en-Y 胃旁路术并发症。

CRSLS : MIS case reports from SLS Pub Date : 2023-01-15 eCollection Date: 2023-10-01 DOI:10.4293/CRSLS.2023.00040
Annika G Samuelson, Leland F Damron, Zaid Haddadin, Sakib M Adnan, Marc Neff
{"title":"多发性内疝:腹腔镜 Roux-en-Y 胃旁路术并发症。","authors":"Annika G Samuelson, Leland F Damron, Zaid Haddadin, Sakib M Adnan, Marc Neff","doi":"10.4293/CRSLS.2023.00040","DOIUrl":null,"url":null,"abstract":"<p><strong>Introduction: </strong>Internal hernias are the most common cause of small bowel obstruction following laparoscopic Roux-en-Y gastric bypass surgery (LRYGBP) with four distinct types. Herein, we report the clinical course of a patient with two independent hernias at the Petersen's space and a rarer subtype at the jejunojejunal window. A high index of suspicion for less common subtypes of internal hernias and the possibility of multiple, simultaneous internal hernias is critical.</p><p><strong>Case description: </strong>We describe the case of a 52-year-old female with a history of LRYGBP who presented with abdominal pain and emesis due to an internal hernia at Peterson's defect, requiring subsequent laparoscopic repair. On postoperative day three, the patient presented again with recurrent abdominal pain and emesis. Repeat exploratory laparoscopy found a separate internal hernia involving the jejunojejunal window with the previously repaired Petersen's defect intact.</p><p><strong>Discussion: </strong>This case illustrates a unique scenario of a patient post-LRYGBP with multiple internal hernias at the Peterson's space and the less common jejunojejunal window, which was missed during the index surgery. Failure to identify simultaneous hernias may result in additional invasive intervention and further morbidity.</p><p><strong>Conclusion: </strong>Multiple less-common variants of internal hernias may present simultaneously following LRYGBP.</p>","PeriodicalId":72723,"journal":{"name":"CRSLS : MIS case reports from SLS","volume":"10 4","pages":""},"PeriodicalIF":0.0000,"publicationDate":"2023-01-15","publicationTypes":"Journal Article","fieldsOfStudy":null,"isOpenAccess":false,"openAccessPdf":"https://www.ncbi.nlm.nih.gov/pmc/articles/PMC10789439/pdf/","citationCount":"0","resultStr":"{\"title\":\"Multiple Internal Hernias: A Complication of Laparoscopic Roux-en-Y Gastric Bypass.\",\"authors\":\"Annika G Samuelson, Leland F Damron, Zaid Haddadin, Sakib M Adnan, Marc Neff\",\"doi\":\"10.4293/CRSLS.2023.00040\",\"DOIUrl\":null,\"url\":null,\"abstract\":\"<p><strong>Introduction: </strong>Internal hernias are the most common cause of small bowel obstruction following laparoscopic Roux-en-Y gastric bypass surgery (LRYGBP) with four distinct types. Herein, we report the clinical course of a patient with two independent hernias at the Petersen's space and a rarer subtype at the jejunojejunal window. A high index of suspicion for less common subtypes of internal hernias and the possibility of multiple, simultaneous internal hernias is critical.</p><p><strong>Case description: </strong>We describe the case of a 52-year-old female with a history of LRYGBP who presented with abdominal pain and emesis due to an internal hernia at Peterson's defect, requiring subsequent laparoscopic repair. On postoperative day three, the patient presented again with recurrent abdominal pain and emesis. Repeat exploratory laparoscopy found a separate internal hernia involving the jejunojejunal window with the previously repaired Petersen's defect intact.</p><p><strong>Discussion: </strong>This case illustrates a unique scenario of a patient post-LRYGBP with multiple internal hernias at the Peterson's space and the less common jejunojejunal window, which was missed during the index surgery. Failure to identify simultaneous hernias may result in additional invasive intervention and further morbidity.</p><p><strong>Conclusion: </strong>Multiple less-common variants of internal hernias may present simultaneously following LRYGBP.</p>\",\"PeriodicalId\":72723,\"journal\":{\"name\":\"CRSLS : MIS case reports from SLS\",\"volume\":\"10 4\",\"pages\":\"\"},\"PeriodicalIF\":0.0000,\"publicationDate\":\"2023-01-15\",\"publicationTypes\":\"Journal Article\",\"fieldsOfStudy\":null,\"isOpenAccess\":false,\"openAccessPdf\":\"https://www.ncbi.nlm.nih.gov/pmc/articles/PMC10789439/pdf/\",\"citationCount\":\"0\",\"resultStr\":null,\"platform\":\"Semanticscholar\",\"paperid\":null,\"PeriodicalName\":\"CRSLS : MIS case reports from SLS\",\"FirstCategoryId\":\"1085\",\"ListUrlMain\":\"https://doi.org/10.4293/CRSLS.2023.00040\",\"RegionNum\":0,\"RegionCategory\":null,\"ArticlePicture\":[],\"TitleCN\":null,\"AbstractTextCN\":null,\"PMCID\":null,\"EPubDate\":\"2023/10/1 0:00:00\",\"PubModel\":\"eCollection\",\"JCR\":\"\",\"JCRName\":\"\",\"Score\":null,\"Total\":0}","platform":"Semanticscholar","paperid":null,"PeriodicalName":"CRSLS : MIS case reports from SLS","FirstCategoryId":"1085","ListUrlMain":"https://doi.org/10.4293/CRSLS.2023.00040","RegionNum":0,"RegionCategory":null,"ArticlePicture":[],"TitleCN":null,"AbstractTextCN":null,"PMCID":null,"EPubDate":"2023/10/1 0:00:00","PubModel":"eCollection","JCR":"","JCRName":"","Score":null,"Total":0}
引用次数: 0

摘要

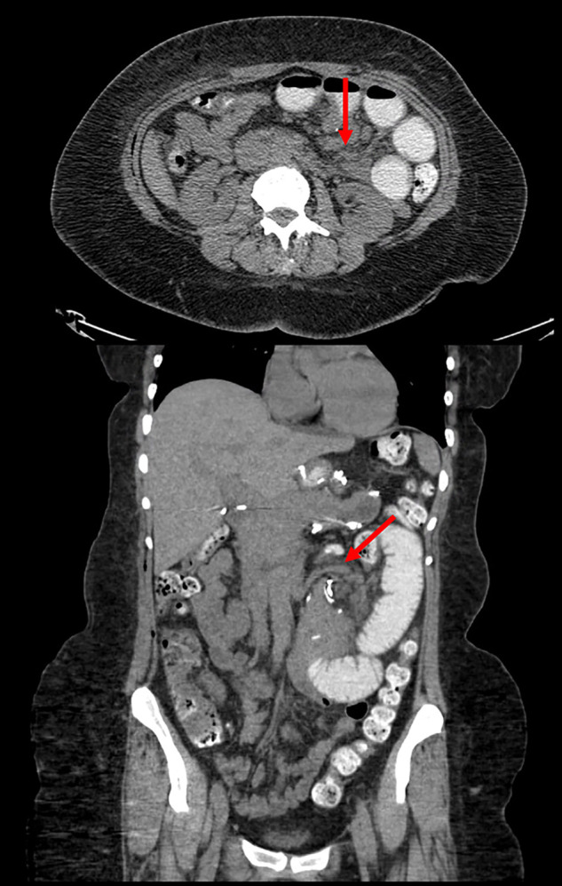
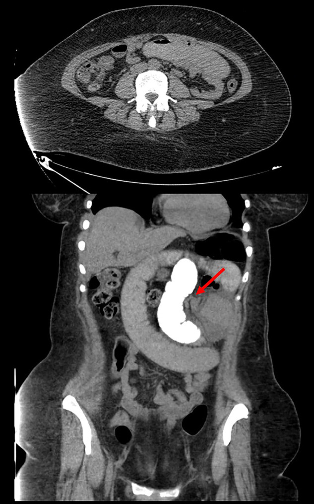
导言:内疝是腹腔镜鲁-恩-Y 胃旁路手术(LRYGBP)后导致小肠梗阻的最常见原因,有四种不同类型。在此,我们报告了一名患者的临床病程,该患者在彼得森间隙处有两个独立的疝,在空肠空肠窗处有一个较罕见的亚型。高度怀疑不常见的亚型内疝以及同时发生多个内疝的可能性至关重要:我们描述了一例 52 岁女性的病例,她有 LRYGBP 病史,因 Peterson's 缺口处的内疝而出现腹痛和呕吐,随后需要进行腹腔镜修补术。术后第三天,患者再次出现腹痛和呕吐。再次进行探查性腹腔镜检查发现了一个单独的内疝,涉及空肠空肠窗,而之前修补过的彼得森缺损完好无损:本病例说明了一种独特的情况,即一名 LRYGBP 术后患者在彼得森间隙和较少见的空肠空肠窗处有多个内疝,但在索引手术中却漏诊了。如果不能同时发现疝气,可能会导致额外的侵入性干预和进一步的发病:结论:LRYGBP术后可能会同时出现多种不常见的内疝。
本文章由计算机程序翻译,如有差异,请以英文原文为准。

Multiple Internal Hernias: A Complication of Laparoscopic Roux-en-Y Gastric Bypass.

Multiple Internal Hernias: A Complication of Laparoscopic Roux-en-Y Gastric Bypass.

Multiple Internal Hernias: A Complication of Laparoscopic Roux-en-Y Gastric Bypass.

Introduction: Internal hernias are the most common cause of small bowel obstruction following laparoscopic Roux-en-Y gastric bypass surgery (LRYGBP) with four distinct types. Herein, we report the clinical course of a patient with two independent hernias at the Petersen's space and a rarer subtype at the jejunojejunal window. A high index of suspicion for less common subtypes of internal hernias and the possibility of multiple, simultaneous internal hernias is critical.

Case description: We describe the case of a 52-year-old female with a history of LRYGBP who presented with abdominal pain and emesis due to an internal hernia at Peterson's defect, requiring subsequent laparoscopic repair. On postoperative day three, the patient presented again with recurrent abdominal pain and emesis. Repeat exploratory laparoscopy found a separate internal hernia involving the jejunojejunal window with the previously repaired Petersen's defect intact.

Discussion: This case illustrates a unique scenario of a patient post-LRYGBP with multiple internal hernias at the Peterson's space and the less common jejunojejunal window, which was missed during the index surgery. Failure to identify simultaneous hernias may result in additional invasive intervention and further morbidity.

Conclusion: Multiple less-common variants of internal hernias may present simultaneously following LRYGBP.

求助全文
通过发布文献求助,成功后即可免费获取论文全文。 去求助
来源期刊
自引率
0.00%
发文量
0
×
引用
GB/T 7714-2015
复制
MLA
复制
APA
复制
导出至
BibTeX EndNote RefMan NoteFirst NoteExpress
×
提示
您的信息不完整,为了账户安全,请先补充。
现在去补充
×
提示
您因"违规操作"
具体请查看互助需知
我知道了
×
提示
确定
请完成安全验证×
copy
已复制链接
快去分享给好友吧!
我知道了
右上角分享
点击右上角分享
0
联系我们:info@booksci.cn Book学术提供免费学术资源搜索服务,方便国内外学者检索中英文文献。致力于提供最便捷和优质的服务体验。 Copyright © 2023 布克学术 All rights reserved.
京ICP备2023020795号-1
ghs 京公网安备 11010802042870号
Book学术文献互助
Book学术文献互助群
群 号:604180095
Book学术官方微信