首次报道经组织学和分子学证实转移至胎盘蜕膜的双侧高级别浆液性卵巢腺癌

IF 1.3 4区 医学 Q3 PATHOLOGY
Pediatric and Developmental Pathology Pub Date : 2024-05-01 Epub Date: 2024-01-14 DOI:10.1177/10935266231222180
Salma El Emrani, Linda S Nooij, Chiara C M M Lap, Lotte E van der Meeren
{"title":"首次报道经组织学和分子学证实转移至胎盘蜕膜的双侧高级别浆液性卵巢腺癌","authors":"Salma El Emrani, Linda S Nooij, Chiara C M M Lap, Lotte E van der Meeren","doi":"10.1177/10935266231222180","DOIUrl":null,"url":null,"abstract":"<p><p>A 43-year-old female presented with blood loss and persistent abdominal pain at 14 weeks of gestation. Ultrasound examination and subsequent magnetic resonance imaging (MRI) revealed bilateral multicystic uterine adnexa. Exploratory laparotomy was performed at 17 weeks of gestation and bilateral serous ovarian adenocarcinoma FIGO stage IIIC was diagnosed. Complete cytoreductive surgery (CRS) was not feasible at that moment. Nine days after the exploratory laparotomy, immature rupture of membranes and contractions occurred and she delivered a premature boy after 19 weeks of gestation. Pathological examination of the placenta revealed that her ovarian cancer metastasized to the membranes. We describe the first case of ovarian cancer metastasized to the decidua of the placental membranes with histological, immunohistochemical, and molecular confirmation. This case highlights the importance of conscientious evaluation of placenta and membranes in pregnant women with ovarian cancer.</p>","PeriodicalId":54634,"journal":{"name":"Pediatric and Developmental Pathology","volume":" ","pages":"270-274"},"PeriodicalIF":1.3000,"publicationDate":"2024-05-01","publicationTypes":"Journal Article","fieldsOfStudy":null,"isOpenAccess":false,"openAccessPdf":"https://www.ncbi.nlm.nih.gov/pmc/articles/PMC11088206/pdf/","citationCount":"0","resultStr":"{\"title\":\"First Reported Histologically and Molecularly Confirmed Bilateral High-Grade Serous Ovarian Adenocarcinoma Metastasized to Placental Decidua of the Membranes.\",\"authors\":\"Salma El Emrani, Linda S Nooij, Chiara C M M Lap, Lotte E van der Meeren\",\"doi\":\"10.1177/10935266231222180\",\"DOIUrl\":null,\"url\":null,\"abstract\":\"<p><p>A 43-year-old female presented with blood loss and persistent abdominal pain at 14 weeks of gestation. Ultrasound examination and subsequent magnetic resonance imaging (MRI) revealed bilateral multicystic uterine adnexa. Exploratory laparotomy was performed at 17 weeks of gestation and bilateral serous ovarian adenocarcinoma FIGO stage IIIC was diagnosed. Complete cytoreductive surgery (CRS) was not feasible at that moment. Nine days after the exploratory laparotomy, immature rupture of membranes and contractions occurred and she delivered a premature boy after 19 weeks of gestation. Pathological examination of the placenta revealed that her ovarian cancer metastasized to the membranes. We describe the first case of ovarian cancer metastasized to the decidua of the placental membranes with histological, immunohistochemical, and molecular confirmation. This case highlights the importance of conscientious evaluation of placenta and membranes in pregnant women with ovarian cancer.</p>\",\"PeriodicalId\":54634,\"journal\":{\"name\":\"Pediatric and Developmental Pathology\",\"volume\":\" \",\"pages\":\"270-274\"},\"PeriodicalIF\":1.3000,\"publicationDate\":\"2024-05-01\",\"publicationTypes\":\"Journal Article\",\"fieldsOfStudy\":null,\"isOpenAccess\":false,\"openAccessPdf\":\"https://www.ncbi.nlm.nih.gov/pmc/articles/PMC11088206/pdf/\",\"citationCount\":\"0\",\"resultStr\":null,\"platform\":\"Semanticscholar\",\"paperid\":null,\"PeriodicalName\":\"Pediatric and Developmental Pathology\",\"FirstCategoryId\":\"3\",\"ListUrlMain\":\"https://doi.org/10.1177/10935266231222180\",\"RegionNum\":4,\"RegionCategory\":\"医学\",\"ArticlePicture\":[],\"TitleCN\":null,\"AbstractTextCN\":null,\"PMCID\":null,\"EPubDate\":\"2024/1/14 0:00:00\",\"PubModel\":\"Epub\",\"JCR\":\"Q3\",\"JCRName\":\"PATHOLOGY\",\"Score\":null,\"Total\":0}","platform":"Semanticscholar","paperid":null,"PeriodicalName":"Pediatric and Developmental Pathology","FirstCategoryId":"3","ListUrlMain":"https://doi.org/10.1177/10935266231222180","RegionNum":4,"RegionCategory":"医学","ArticlePicture":[],"TitleCN":null,"AbstractTextCN":null,"PMCID":null,"EPubDate":"2024/1/14 0:00:00","PubModel":"Epub","JCR":"Q3","JCRName":"PATHOLOGY","Score":null,"Total":0}
引用次数: 0

摘要

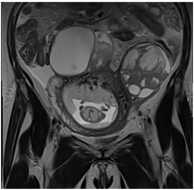
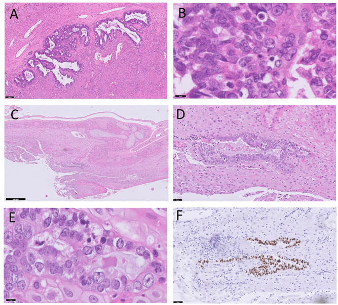
一名 43 岁女性在妊娠 14 周时出现失血和持续腹痛。超声波检查和随后的磁共振成像(MRI)显示双侧子宫附件多囊。在妊娠 17 周时进行了探查性开腹手术,诊断出双侧浆液性卵巢腺癌 FIGO IIIC 期。当时无法进行完全的细胞减灭术(CRS)。剖腹探查术后九天,胎膜早破和宫缩发生,她在妊娠 19 周后产下一名早产男婴。胎盘病理检查显示,她的卵巢癌转移到了胎膜上。我们描述了首例卵巢癌转移至胎盘胎膜蜕膜的病例,并进行了组织学、免疫组化和分子学确认。该病例强调了对罹患卵巢癌的孕妇认真评估胎盘和胎膜的重要性。
本文章由计算机程序翻译,如有差异,请以英文原文为准。

First Reported Histologically and Molecularly Confirmed Bilateral High-Grade Serous Ovarian Adenocarcinoma Metastasized to Placental Decidua of the Membranes.

First Reported Histologically and Molecularly Confirmed Bilateral High-Grade Serous Ovarian Adenocarcinoma Metastasized to Placental Decidua of the Membranes.

First Reported Histologically and Molecularly Confirmed Bilateral High-Grade Serous Ovarian Adenocarcinoma Metastasized to Placental Decidua of the Membranes.

First Reported Histologically and Molecularly Confirmed Bilateral High-Grade Serous Ovarian Adenocarcinoma Metastasized to Placental Decidua of the Membranes.

A 43-year-old female presented with blood loss and persistent abdominal pain at 14 weeks of gestation. Ultrasound examination and subsequent magnetic resonance imaging (MRI) revealed bilateral multicystic uterine adnexa. Exploratory laparotomy was performed at 17 weeks of gestation and bilateral serous ovarian adenocarcinoma FIGO stage IIIC was diagnosed. Complete cytoreductive surgery (CRS) was not feasible at that moment. Nine days after the exploratory laparotomy, immature rupture of membranes and contractions occurred and she delivered a premature boy after 19 weeks of gestation. Pathological examination of the placenta revealed that her ovarian cancer metastasized to the membranes. We describe the first case of ovarian cancer metastasized to the decidua of the placental membranes with histological, immunohistochemical, and molecular confirmation. This case highlights the importance of conscientious evaluation of placenta and membranes in pregnant women with ovarian cancer.

求助全文
通过发布文献求助,成功后即可免费获取论文全文。 去求助
来源期刊
CiteScore
3.70
自引率
5.30%
发文量
59
审稿时长
6-12 weeks
期刊介绍: The Journal covers the spectrum of disorders of early development (including embryology, placentology, and teratology), gestational and perinatal diseases, and all diseases of childhood. Studies may be in any field of experimental, anatomic, or clinical pathology, including molecular pathology. Case reports are published only if they provide new insights into disease mechanisms or new information.
×
引用
GB/T 7714-2015
复制
MLA
复制
APA
复制
导出至
BibTeX EndNote RefMan NoteFirst NoteExpress
×
提示
您的信息不完整,为了账户安全,请先补充。
现在去补充
×
提示
您因"违规操作"
具体请查看互助需知
我知道了
×
提示
确定
请完成安全验证×
copy
已复制链接
快去分享给好友吧!
我知道了
右上角分享
点击右上角分享
0
联系我们:info@booksci.cn Book学术提供免费学术资源搜索服务,方便国内外学者检索中英文文献。致力于提供最便捷和优质的服务体验。 Copyright © 2023 布克学术 All rights reserved.
京ICP备2023020795号-1
ghs 京公网安备 11010802042870号
Book学术文献互助
Book学术文献互助群
群 号:604180095
Book学术官方微信