食管癌和胰腺转移同时出现并切除:病例报告和文献综述。

IF 1.4 Q4 ONCOLOGY
Molecular and clinical oncology Pub Date : 2023-11-17 eCollection Date: 2024-01-01 DOI:10.3892/mco.2023.2700
Yuki Denda, Yoichi Matsuo, Keisuke Nonoyama, Hiromichi Murase, Tomokatsu Kato, Yuichi Hayashi, Hiroyuki Imafuji, Kenta Saito, Mamoru Morimoto, Hiroyuki Kato, Michihiro Yoshida, Itaru Naitoh, Kazuki Hayashi, Ryo Ogawa, Hiroki Takahashi, Shuji Takiguchi
{"title":"食管癌和胰腺转移同时出现并切除:病例报告和文献综述。","authors":"Yuki Denda, Yoichi Matsuo, Keisuke Nonoyama, Hiromichi Murase, Tomokatsu Kato, Yuichi Hayashi, Hiroyuki Imafuji, Kenta Saito, Mamoru Morimoto, Hiroyuki Kato, Michihiro Yoshida, Itaru Naitoh, Kazuki Hayashi, Ryo Ogawa, Hiroki Takahashi, Shuji Takiguchi","doi":"10.3892/mco.2023.2700","DOIUrl":null,"url":null,"abstract":"<p><p>The frequency of metastasis to the pancreas is limited, and the frequency of metastasis of a squamous cell carcinoma of the esophagus is limited even further. The curative resection of this type of metastatic lesion has been reported for some patients; however, the survival benefit that can be attributed to these procedures has not yet been clearly determined. The patient examined in the present study was a 54-year-old man who was diagnosed with a lower thoracic esophageal cancer. Computed tomography revealed a 2-cm tumor at the tail of the pancreas. Since no other obvious distal metastases were observed, the patient underwent simultaneous surgical procedures, excising the esophageal squamous cell carcinoma and the pancreatic metastasis. A histopathological examination confirmed squamous cell carcinoma in both specimens. The patient has been free of disease for 9 months since the resection. A literature review of all relevant cases to date also demonstrated that the primary tumor site in all cases of patients with esophageal cancer presenting with metastasis to the pancreas was the lower thoracic esophagus. Complete simultaneous resections of esophageal squamous cell carcinoma and a solitary metastasis to the pancreas is beneficial and may produce favorable outcomes. However, due to the reduced number of corresponding reports, further studies are required for the confirmation of the benefits of surgery.</p>","PeriodicalId":18737,"journal":{"name":"Molecular and clinical oncology","volume":"20 1","pages":"2"},"PeriodicalIF":1.4000,"publicationDate":"2023-11-17","publicationTypes":"Journal Article","fieldsOfStudy":null,"isOpenAccess":false,"openAccessPdf":"https://www.ncbi.nlm.nih.gov/pmc/articles/PMC10784768/pdf/","citationCount":"0","resultStr":"{\"title\":\"Simultaneous presentation and resection of esophageal cancer and metastasis to the pancreas: Α case report and literature review.\",\"authors\":\"Yuki Denda, Yoichi Matsuo, Keisuke Nonoyama, Hiromichi Murase, Tomokatsu Kato, Yuichi Hayashi, Hiroyuki Imafuji, Kenta Saito, Mamoru Morimoto, Hiroyuki Kato, Michihiro Yoshida, Itaru Naitoh, Kazuki Hayashi, Ryo Ogawa, Hiroki Takahashi, Shuji Takiguchi\",\"doi\":\"10.3892/mco.2023.2700\",\"DOIUrl\":null,\"url\":null,\"abstract\":\"<p><p>The frequency of metastasis to the pancreas is limited, and the frequency of metastasis of a squamous cell carcinoma of the esophagus is limited even further. The curative resection of this type of metastatic lesion has been reported for some patients; however, the survival benefit that can be attributed to these procedures has not yet been clearly determined. The patient examined in the present study was a 54-year-old man who was diagnosed with a lower thoracic esophageal cancer. Computed tomography revealed a 2-cm tumor at the tail of the pancreas. Since no other obvious distal metastases were observed, the patient underwent simultaneous surgical procedures, excising the esophageal squamous cell carcinoma and the pancreatic metastasis. A histopathological examination confirmed squamous cell carcinoma in both specimens. The patient has been free of disease for 9 months since the resection. A literature review of all relevant cases to date also demonstrated that the primary tumor site in all cases of patients with esophageal cancer presenting with metastasis to the pancreas was the lower thoracic esophagus. Complete simultaneous resections of esophageal squamous cell carcinoma and a solitary metastasis to the pancreas is beneficial and may produce favorable outcomes. However, due to the reduced number of corresponding reports, further studies are required for the confirmation of the benefits of surgery.</p>\",\"PeriodicalId\":18737,\"journal\":{\"name\":\"Molecular and clinical oncology\",\"volume\":\"20 1\",\"pages\":\"2\"},\"PeriodicalIF\":1.4000,\"publicationDate\":\"2023-11-17\",\"publicationTypes\":\"Journal Article\",\"fieldsOfStudy\":null,\"isOpenAccess\":false,\"openAccessPdf\":\"https://www.ncbi.nlm.nih.gov/pmc/articles/PMC10784768/pdf/\",\"citationCount\":\"0\",\"resultStr\":null,\"platform\":\"Semanticscholar\",\"paperid\":null,\"PeriodicalName\":\"Molecular and clinical oncology\",\"FirstCategoryId\":\"1085\",\"ListUrlMain\":\"https://doi.org/10.3892/mco.2023.2700\",\"RegionNum\":0,\"RegionCategory\":null,\"ArticlePicture\":[],\"TitleCN\":null,\"AbstractTextCN\":null,\"PMCID\":null,\"EPubDate\":\"2024/1/1 0:00:00\",\"PubModel\":\"eCollection\",\"JCR\":\"Q4\",\"JCRName\":\"ONCOLOGY\",\"Score\":null,\"Total\":0}","platform":"Semanticscholar","paperid":null,"PeriodicalName":"Molecular and clinical oncology","FirstCategoryId":"1085","ListUrlMain":"https://doi.org/10.3892/mco.2023.2700","RegionNum":0,"RegionCategory":null,"ArticlePicture":[],"TitleCN":null,"AbstractTextCN":null,"PMCID":null,"EPubDate":"2024/1/1 0:00:00","PubModel":"eCollection","JCR":"Q4","JCRName":"ONCOLOGY","Score":null,"Total":0}
引用次数: 0

摘要

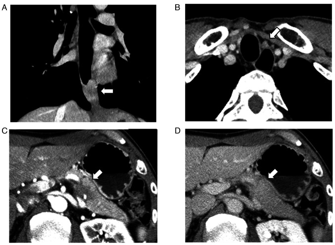
胰腺转移的频率有限,而食道鳞状细胞癌转移的频率则更加有限。有报道称,一些患者的这类转移性病灶可进行根治性切除,但这些手术能给患者带来的生存益处尚未明确确定。本研究中的患者是一名 54 岁的男性,被诊断为下胸段食管癌。计算机断层扫描显示,胰腺尾部有一个 2 厘米的肿瘤。由于没有发现其他明显的远端转移灶,患者同时接受了外科手术,切除了食管鳞状细胞癌和胰腺转移灶。组织病理学检查证实,两份标本均为鳞状细胞癌。自切除术后,患者已痊愈 9 个月。对迄今为止所有相关病例的文献回顾也表明,所有出现胰腺转移的食管癌患者的原发肿瘤部位都是下胸段食管。完全同时切除食管鳞状细胞癌和胰腺单发转移瘤是有益的,可能会产生良好的疗效。然而,由于相应的报告数量较少,还需要进一步的研究来证实手术的益处。
本文章由计算机程序翻译,如有差异,请以英文原文为准。

Simultaneous presentation and resection of esophageal cancer and metastasis to the pancreas: Α case report and literature review.

Simultaneous presentation and resection of esophageal cancer and metastasis to the pancreas: Α case report and literature review.

Simultaneous presentation and resection of esophageal cancer and metastasis to the pancreas: Α case report and literature review.

Simultaneous presentation and resection of esophageal cancer and metastasis to the pancreas: Α case report and literature review.

The frequency of metastasis to the pancreas is limited, and the frequency of metastasis of a squamous cell carcinoma of the esophagus is limited even further. The curative resection of this type of metastatic lesion has been reported for some patients; however, the survival benefit that can be attributed to these procedures has not yet been clearly determined. The patient examined in the present study was a 54-year-old man who was diagnosed with a lower thoracic esophageal cancer. Computed tomography revealed a 2-cm tumor at the tail of the pancreas. Since no other obvious distal metastases were observed, the patient underwent simultaneous surgical procedures, excising the esophageal squamous cell carcinoma and the pancreatic metastasis. A histopathological examination confirmed squamous cell carcinoma in both specimens. The patient has been free of disease for 9 months since the resection. A literature review of all relevant cases to date also demonstrated that the primary tumor site in all cases of patients with esophageal cancer presenting with metastasis to the pancreas was the lower thoracic esophagus. Complete simultaneous resections of esophageal squamous cell carcinoma and a solitary metastasis to the pancreas is beneficial and may produce favorable outcomes. However, due to the reduced number of corresponding reports, further studies are required for the confirmation of the benefits of surgery.

求助全文
通过发布文献求助,成功后即可免费获取论文全文。 去求助
来源期刊
CiteScore
2.80
自引率
0.00%
发文量
108
×
引用
GB/T 7714-2015
复制
MLA
复制
APA
复制
导出至
BibTeX EndNote RefMan NoteFirst NoteExpress
×
提示
您的信息不完整,为了账户安全,请先补充。
现在去补充
×
提示
您因"违规操作"
具体请查看互助需知
我知道了
×
提示
确定
请完成安全验证×
copy
已复制链接
快去分享给好友吧!
我知道了
右上角分享
点击右上角分享
0
联系我们:info@booksci.cn Book学术提供免费学术资源搜索服务,方便国内外学者检索中英文文献。致力于提供最便捷和优质的服务体验。 Copyright © 2023 布克学术 All rights reserved.
京ICP备2023020795号-1
ghs 京公网安备 11010802042870号
Book学术文献互助
Book学术文献互助群
群 号:604180095
Book学术官方微信