坏死性筋膜炎和致命的脓毒性休克与星座链球菌有关。

Q4 Medicine
Autopsy and Case Reports Pub Date : 2024-01-08 eCollection Date: 2023-01-01 DOI:10.4322/acr.2023.467
Fareed Rajack, Shawn Medford, Tammey Naab
{"title":"坏死性筋膜炎和致命的脓毒性休克与星座链球菌有关。","authors":"Fareed Rajack, Shawn Medford, Tammey Naab","doi":"10.4322/acr.2023.467","DOIUrl":null,"url":null,"abstract":"<p><p><i>Streptococcus constellatus</i> is usually a benign, commensal bacteria but has increased incidence in blood cultures and abscesses. This pathogenic involvement is most prevalent in individuals with underlying medical conditions, such as solid tumors and type 2 diabetes mellitus, as well as in cases of community-acquired infections. We report a 43-year-old male with a right medial thigh ulcer and necrotic scrotal skin. The wound culture from surgical debridement grew <i>Streptococcus constellatus,</i> and histology was consistent with stage III necrotizing fasciitis. Regardless of etiology, the mortality rate of patients with necrotizing fasciitis is greatly decreased with early intervention and thorough surgical debridement.</p>","PeriodicalId":53117,"journal":{"name":"Autopsy and Case Reports","volume":"13 ","pages":"e2023467"},"PeriodicalIF":0.0000,"publicationDate":"2024-01-08","publicationTypes":"Journal Article","fieldsOfStudy":null,"isOpenAccess":false,"openAccessPdf":"https://www.ncbi.nlm.nih.gov/pmc/articles/PMC10782520/pdf/","citationCount":"0","resultStr":"{\"title\":\"Necrotizing fasciitis and fatal septic shock associated with <i>Streptococcus constellatus</i>.\",\"authors\":\"Fareed Rajack, Shawn Medford, Tammey Naab\",\"doi\":\"10.4322/acr.2023.467\",\"DOIUrl\":null,\"url\":null,\"abstract\":\"<p><p><i>Streptococcus constellatus</i> is usually a benign, commensal bacteria but has increased incidence in blood cultures and abscesses. This pathogenic involvement is most prevalent in individuals with underlying medical conditions, such as solid tumors and type 2 diabetes mellitus, as well as in cases of community-acquired infections. We report a 43-year-old male with a right medial thigh ulcer and necrotic scrotal skin. The wound culture from surgical debridement grew <i>Streptococcus constellatus,</i> and histology was consistent with stage III necrotizing fasciitis. Regardless of etiology, the mortality rate of patients with necrotizing fasciitis is greatly decreased with early intervention and thorough surgical debridement.</p>\",\"PeriodicalId\":53117,\"journal\":{\"name\":\"Autopsy and Case Reports\",\"volume\":\"13 \",\"pages\":\"e2023467\"},\"PeriodicalIF\":0.0000,\"publicationDate\":\"2024-01-08\",\"publicationTypes\":\"Journal Article\",\"fieldsOfStudy\":null,\"isOpenAccess\":false,\"openAccessPdf\":\"https://www.ncbi.nlm.nih.gov/pmc/articles/PMC10782520/pdf/\",\"citationCount\":\"0\",\"resultStr\":null,\"platform\":\"Semanticscholar\",\"paperid\":null,\"PeriodicalName\":\"Autopsy and Case Reports\",\"FirstCategoryId\":\"1085\",\"ListUrlMain\":\"https://doi.org/10.4322/acr.2023.467\",\"RegionNum\":0,\"RegionCategory\":null,\"ArticlePicture\":[],\"TitleCN\":null,\"AbstractTextCN\":null,\"PMCID\":null,\"EPubDate\":\"2023/1/1 0:00:00\",\"PubModel\":\"eCollection\",\"JCR\":\"Q4\",\"JCRName\":\"Medicine\",\"Score\":null,\"Total\":0}","platform":"Semanticscholar","paperid":null,"PeriodicalName":"Autopsy and Case Reports","FirstCategoryId":"1085","ListUrlMain":"https://doi.org/10.4322/acr.2023.467","RegionNum":0,"RegionCategory":null,"ArticlePicture":[],"TitleCN":null,"AbstractTextCN":null,"PMCID":null,"EPubDate":"2023/1/1 0:00:00","PubModel":"eCollection","JCR":"Q4","JCRName":"Medicine","Score":null,"Total":0}
引用次数: 0

摘要

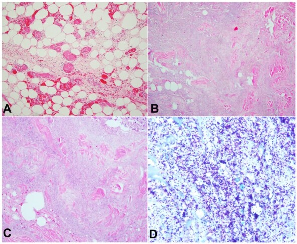
constellatus 链球菌通常是一种良性共生细菌,但在血液培养物和脓肿中的发病率有所增加。这种致病性参与在有基础疾病(如实体瘤和 2 型糖尿病)以及社区获得性感染病例中最为常见。我们报告了一名 43 岁男性的右大腿内侧溃疡和阴囊皮肤坏死病例。手术清创后的伤口培养液中生长出星座链球菌,组织学检查结果与 III 期坏死性筋膜炎一致。无论病因如何,只要及早干预并进行彻底的手术清创,坏死性筋膜炎患者的死亡率就会大大降低。
本文章由计算机程序翻译,如有差异,请以英文原文为准。

Necrotizing fasciitis and fatal septic shock associated with <i>Streptococcus constellatus</i>.

Necrotizing fasciitis and fatal septic shock associated with <i>Streptococcus constellatus</i>.

Necrotizing fasciitis and fatal septic shock associated with Streptococcus constellatus.

Streptococcus constellatus is usually a benign, commensal bacteria but has increased incidence in blood cultures and abscesses. This pathogenic involvement is most prevalent in individuals with underlying medical conditions, such as solid tumors and type 2 diabetes mellitus, as well as in cases of community-acquired infections. We report a 43-year-old male with a right medial thigh ulcer and necrotic scrotal skin. The wound culture from surgical debridement grew Streptococcus constellatus, and histology was consistent with stage III necrotizing fasciitis. Regardless of etiology, the mortality rate of patients with necrotizing fasciitis is greatly decreased with early intervention and thorough surgical debridement.

求助全文
通过发布文献求助,成功后即可免费获取论文全文。 去求助
来源期刊
Autopsy and Case Reports
Autopsy and Case Reports Medicine-Internal Medicine
CiteScore
1.20
自引率
0.00%
发文量
60
审稿时长
9 weeks
×
引用
GB/T 7714-2015
复制
MLA
复制
APA
复制
导出至
BibTeX EndNote RefMan NoteFirst NoteExpress
×
提示
您的信息不完整,为了账户安全,请先补充。
现在去补充
×
提示
您因"违规操作"
具体请查看互助需知
我知道了
×
提示
确定
请完成安全验证×
copy
已复制链接
快去分享给好友吧!
我知道了
右上角分享
点击右上角分享
0
联系我们:info@booksci.cn Book学术提供免费学术资源搜索服务,方便国内外学者检索中英文文献。致力于提供最便捷和优质的服务体验。 Copyright © 2023 布克学术 All rights reserved.
京ICP备2023020795号-1
ghs 京公网安备 11010802042870号
Book学术文献互助
Book学术文献互助群
群 号:604180095
Book学术官方微信