一个罕见的 Y 染色体微缺失不育男性的 45,X/46,X,del(Y)(q12→qter)嵌合病例

Q2 Medicine
Sunny Kumar Jignesh Kumar Patel, Rahul Kabir, Ruchismita Nayak, Indira Palo, Birendranath Banerjee
{"title":"一个罕见的 Y 染色体微缺失不育男性的 45,X/46,X,del(Y)(q12→qter)嵌合病例","authors":"Sunny Kumar Jignesh Kumar Patel, Rahul Kabir, Ruchismita Nayak, Indira Palo, Birendranath Banerjee","doi":"10.18502/jri.v24i4.14157","DOIUrl":null,"url":null,"abstract":"<p><strong>Background: </strong>Males with 45,X/46,XY karyotype have two different types of cells. This condition is associated with a wide range of clinical phenotypes. In infertile males, the mosaic 45,X/46,XY karyotype is a frequent sex chromosome defect and they might be able to conceive with the help of assisted reproductive technology; nevertheless, there is a potential risk of transmission of azoospermia factor (AZF) microdeletions in addition to 45,X to all the male progeny. In this case report, the purpose was to present a rare sex chromosomal mosaicism of an infertile man.</p><p><strong>Case presentation: </strong>Comprehensive molecular and cytogenetic analysis of an infertile male was performed in this case study. A 27-year-old male was presented with history of azoospermia and was unable to conceive after being involved in five years of marriage. Cytogenetic investigation revealed a rare mosaic karyotype pattern of 45,X/46,X,del(Y)(q12→qter). Y chromosome microdeletion (YMD) analysis revealed notable deletions of 06 loci. Comparative genomic hybridization (CGH) microarray was performed to investigate probable functional genetic associations.</p><p><strong>Conclusion: </strong>Deletion of Y-linked genes leads to different testicular pathological conditions contributing to male infertility. Individuals with normal male phenotype harbor YMD, although size and location of the deletion do not always correspond well with quality of sperm. Therefore, in addition to semen analysis, identification of genetic variables is important which will play a crucial role in proper diagnosis and management of infertile couples. The present case study demonstrates the significance of comprehensive molecular testing and cytogenetic screening for individuals with idiopathic infertility.</p>","PeriodicalId":38826,"journal":{"name":"Journal of Reproduction and Infertility","volume":"24 4","pages":"293-300"},"PeriodicalIF":0.0000,"publicationDate":"2023-10-01","publicationTypes":"Journal Article","fieldsOfStudy":null,"isOpenAccess":false,"openAccessPdf":"https://www.ncbi.nlm.nih.gov/pmc/articles/PMC10757685/pdf/","citationCount":"0","resultStr":"{\"title\":\"A Rare Case of 45,X/46,X,del(Y)(q12→qter) Mosaicism in An Infertile Male with Y Chromosome Microdeletion.\",\"authors\":\"Sunny Kumar Jignesh Kumar Patel, Rahul Kabir, Ruchismita Nayak, Indira Palo, Birendranath Banerjee\",\"doi\":\"10.18502/jri.v24i4.14157\",\"DOIUrl\":null,\"url\":null,\"abstract\":\"<p><strong>Background: </strong>Males with 45,X/46,XY karyotype have two different types of cells. This condition is associated with a wide range of clinical phenotypes. In infertile males, the mosaic 45,X/46,XY karyotype is a frequent sex chromosome defect and they might be able to conceive with the help of assisted reproductive technology; nevertheless, there is a potential risk of transmission of azoospermia factor (AZF) microdeletions in addition to 45,X to all the male progeny. In this case report, the purpose was to present a rare sex chromosomal mosaicism of an infertile man.</p><p><strong>Case presentation: </strong>Comprehensive molecular and cytogenetic analysis of an infertile male was performed in this case study. A 27-year-old male was presented with history of azoospermia and was unable to conceive after being involved in five years of marriage. Cytogenetic investigation revealed a rare mosaic karyotype pattern of 45,X/46,X,del(Y)(q12→qter). Y chromosome microdeletion (YMD) analysis revealed notable deletions of 06 loci. Comparative genomic hybridization (CGH) microarray was performed to investigate probable functional genetic associations.</p><p><strong>Conclusion: </strong>Deletion of Y-linked genes leads to different testicular pathological conditions contributing to male infertility. Individuals with normal male phenotype harbor YMD, although size and location of the deletion do not always correspond well with quality of sperm. Therefore, in addition to semen analysis, identification of genetic variables is important which will play a crucial role in proper diagnosis and management of infertile couples. The present case study demonstrates the significance of comprehensive molecular testing and cytogenetic screening for individuals with idiopathic infertility.</p>\",\"PeriodicalId\":38826,\"journal\":{\"name\":\"Journal of Reproduction and Infertility\",\"volume\":\"24 4\",\"pages\":\"293-300\"},\"PeriodicalIF\":0.0000,\"publicationDate\":\"2023-10-01\",\"publicationTypes\":\"Journal Article\",\"fieldsOfStudy\":null,\"isOpenAccess\":false,\"openAccessPdf\":\"https://www.ncbi.nlm.nih.gov/pmc/articles/PMC10757685/pdf/\",\"citationCount\":\"0\",\"resultStr\":null,\"platform\":\"Semanticscholar\",\"paperid\":null,\"PeriodicalName\":\"Journal of Reproduction and Infertility\",\"FirstCategoryId\":\"1085\",\"ListUrlMain\":\"https://doi.org/10.18502/jri.v24i4.14157\",\"RegionNum\":0,\"RegionCategory\":null,\"ArticlePicture\":[],\"TitleCN\":null,\"AbstractTextCN\":null,\"PMCID\":null,\"EPubDate\":\"\",\"PubModel\":\"\",\"JCR\":\"Q2\",\"JCRName\":\"Medicine\",\"Score\":null,\"Total\":0}","platform":"Semanticscholar","paperid":null,"PeriodicalName":"Journal of Reproduction and Infertility","FirstCategoryId":"1085","ListUrlMain":"https://doi.org/10.18502/jri.v24i4.14157","RegionNum":0,"RegionCategory":null,"ArticlePicture":[],"TitleCN":null,"AbstractTextCN":null,"PMCID":null,"EPubDate":"","PubModel":"","JCR":"Q2","JCRName":"Medicine","Score":null,"Total":0}
引用次数: 0

摘要

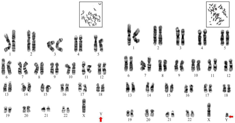
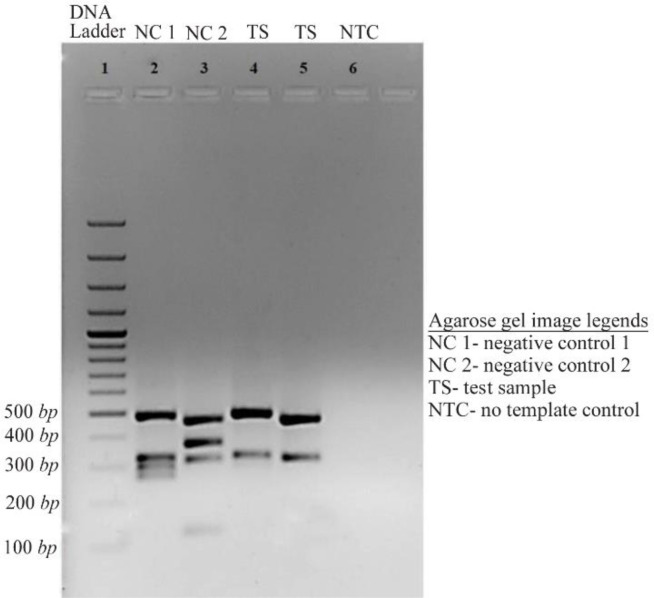
背景:45,X/46,XY核型的男性有两种不同类型的细胞。这种情况与多种临床表型有关。在不育男性中,45,X/46,XY 马赛克核型是一种常见的性染色体缺陷,他们有可能在辅助生殖技术的帮助下受孕;然而,除了 45,X 外,还存在将无精子症因子(AZF)微缺失遗传给所有男性后代的潜在风险。本病例报告旨在介绍一名不育男性的罕见性染色体嵌合情况:本病例研究对一名不育男性进行了全面的分子和细胞遗传学分析。病例介绍:本病例对一名不育男性进行了全面的分子和细胞遗传学分析。一名 27 岁的男性因无精子症而就诊,结婚五年后仍无法怀孕。细胞遗传学调查显示,他的核型为罕见的 45,X/46,X,del(Y)(q12→qter)。Y 染色体微缺失(YMD)分析显示有 06 个位点明显缺失。比较基因组杂交(CGH)芯片用于研究可能的功能性遗传关联:结论:Y-连锁基因的缺失会导致不同的睾丸病变,从而导致男性不育。尽管缺失基因的大小和位置并不总是与精子质量密切相关,但具有正常男性表型的个体也存在 YMD。因此,除了精液分析外,遗传变异的鉴定也很重要,这将在不育夫妇的正确诊断和管理中发挥关键作用。本病例研究表明,对特发性不孕症患者进行全面的分子检测和细胞遗传学筛查意义重大。
本文章由计算机程序翻译,如有差异,请以英文原文为准。

A Rare Case of 45,X/46,X,del(Y)(q12→qter) Mosaicism in An Infertile Male with Y Chromosome Microdeletion.

A Rare Case of 45,X/46,X,del(Y)(q12→qter) Mosaicism in An Infertile Male with Y Chromosome Microdeletion.

A Rare Case of 45,X/46,X,del(Y)(q12→qter) Mosaicism in An Infertile Male with Y Chromosome Microdeletion.

A Rare Case of 45,X/46,X,del(Y)(q12→qter) Mosaicism in An Infertile Male with Y Chromosome Microdeletion.

Background: Males with 45,X/46,XY karyotype have two different types of cells. This condition is associated with a wide range of clinical phenotypes. In infertile males, the mosaic 45,X/46,XY karyotype is a frequent sex chromosome defect and they might be able to conceive with the help of assisted reproductive technology; nevertheless, there is a potential risk of transmission of azoospermia factor (AZF) microdeletions in addition to 45,X to all the male progeny. In this case report, the purpose was to present a rare sex chromosomal mosaicism of an infertile man.

Case presentation: Comprehensive molecular and cytogenetic analysis of an infertile male was performed in this case study. A 27-year-old male was presented with history of azoospermia and was unable to conceive after being involved in five years of marriage. Cytogenetic investigation revealed a rare mosaic karyotype pattern of 45,X/46,X,del(Y)(q12→qter). Y chromosome microdeletion (YMD) analysis revealed notable deletions of 06 loci. Comparative genomic hybridization (CGH) microarray was performed to investigate probable functional genetic associations.

Conclusion: Deletion of Y-linked genes leads to different testicular pathological conditions contributing to male infertility. Individuals with normal male phenotype harbor YMD, although size and location of the deletion do not always correspond well with quality of sperm. Therefore, in addition to semen analysis, identification of genetic variables is important which will play a crucial role in proper diagnosis and management of infertile couples. The present case study demonstrates the significance of comprehensive molecular testing and cytogenetic screening for individuals with idiopathic infertility.

求助全文
通过发布文献求助,成功后即可免费获取论文全文。 去求助
来源期刊
Journal of Reproduction and Infertility
Journal of Reproduction and Infertility Medicine-Reproductive Medicine
CiteScore
2.70
自引率
0.00%
发文量
44
×
引用
GB/T 7714-2015
复制
MLA
复制
APA
复制
导出至
BibTeX EndNote RefMan NoteFirst NoteExpress
×
提示
您的信息不完整,为了账户安全,请先补充。
现在去补充
×
提示
您因"违规操作"
具体请查看互助需知
我知道了
×
提示
确定
请完成安全验证×
copy
已复制链接
快去分享给好友吧!
我知道了
右上角分享
点击右上角分享
0
联系我们:info@booksci.cn Book学术提供免费学术资源搜索服务,方便国内外学者检索中英文文献。致力于提供最便捷和优质的服务体验。 Copyright © 2023 布克学术 All rights reserved.
京ICP备2023020795号-1
ghs 京公网安备 11010802042870号
Book学术文献互助
Book学术文献互助群
群 号:604180095
Book学术官方微信