白内障手术后的异常炎症临床表现和发人深省的问题:这是感染还是中毒性前房综合征?

IF 0.3 Q4 OPHTHALMOLOGY
Middle East African Journal of Ophthalmology Pub Date : 2023-11-21 eCollection Date: 2022-10-01 DOI:10.4103/meajo.meajo_126_23
Anil Kaplan, Muhammed D Tas, Ozlem B Selver
{"title":"白内障手术后的异常炎症临床表现和发人深省的问题:这是感染还是中毒性前房综合征?","authors":"Anil Kaplan, Muhammed D Tas, Ozlem B Selver","doi":"10.4103/meajo.meajo_126_23","DOIUrl":null,"url":null,"abstract":"<p><strong>Purpose: </strong>Toxic anterior segment syndrome (TASS) is a noninfectious anterior chamber reaction caused by ocular surgeries. It usually develops within the first 12-48 h after surgery. In case of clinical suspicion of TASS, endophthalmitis as a devastating disease should always be excluded. However, the fact that TASS and endophthalmitis can look the same, but the treatment for each is different. Therefore, distinguishing between the two conditions is an important factor in coping with both diseases. It was aimed to describe the features and clinical management that are considered when distinguishing the cause of unexpected inflammatory response after cataract surgery.</p><p><strong>Methods: </strong>A retrospective review of medical records of 13 patients who developed TASS in our clinic at Ege University Ophthalmology Department on three different days between July 2022 and December 2022 were included in this study. Anterior segment photographs of those 13 patients and the records of ophthalmological examinations of those patients, including best-corrected visual acuity (BCVA), ocular pressure, biomicroscopic, and fundoscopic examination, were collected. Medical data were evaluated retrospectively.</p><p><strong>Results: </strong>The mean time to onset of clinical symptoms was 27.6 h. The main complaint was pain in nine patients. The primary symptom in the remainder of the patients was blurred vision. Severe hypopyon was seen in 5 cases. Despite the presence of pain and hypopyon, patients who were treated with topical steroids were closely followed up (every 2 h) because they were consecutive patients and had relatively acute onset complaints. Inflammation was regressed after an average of 4 h. No factor causing TASS was found. The BCVA was at the minimum level of 8/10 on the 5<sup>th</sup> day of surgery.</p><p><strong>Conclusion: </strong>When distinguishing TASS from endophthalmitis, severe pain, relatively late onset, hyperemia, and the presence of severe hypopyon usually lead ophthalmologists to the clinical diagnosis of endophthalmitis. However, in this study, most of the patients diagnosed with TASS had severe pain, a significant portion of them had hypopyon, and the onset of the symptoms was relatively late. Close follow-up immediately after suspicion plays a vital role in clinical diagnosis and management accordingly.</p>","PeriodicalId":18740,"journal":{"name":"Middle East African Journal of Ophthalmology","volume":"29 4","pages":"196-199"},"PeriodicalIF":0.3000,"publicationDate":"2023-11-21","publicationTypes":"Journal Article","fieldsOfStudy":null,"isOpenAccess":false,"openAccessPdf":"https://www.ncbi.nlm.nih.gov/pmc/articles/PMC10754112/pdf/","citationCount":"0","resultStr":"{\"title\":\"Unusual Inflammatory Clinical Presentation After Cataract Surgery and that Thought-provoking Question: Is this Infection or Toxic Anterior Segment Syndrome?\",\"authors\":\"Anil Kaplan, Muhammed D Tas, Ozlem B Selver\",\"doi\":\"10.4103/meajo.meajo_126_23\",\"DOIUrl\":null,\"url\":null,\"abstract\":\"<p><strong>Purpose: </strong>Toxic anterior segment syndrome (TASS) is a noninfectious anterior chamber reaction caused by ocular surgeries. It usually develops within the first 12-48 h after surgery. In case of clinical suspicion of TASS, endophthalmitis as a devastating disease should always be excluded. However, the fact that TASS and endophthalmitis can look the same, but the treatment for each is different. Therefore, distinguishing between the two conditions is an important factor in coping with both diseases. It was aimed to describe the features and clinical management that are considered when distinguishing the cause of unexpected inflammatory response after cataract surgery.</p><p><strong>Methods: </strong>A retrospective review of medical records of 13 patients who developed TASS in our clinic at Ege University Ophthalmology Department on three different days between July 2022 and December 2022 were included in this study. Anterior segment photographs of those 13 patients and the records of ophthalmological examinations of those patients, including best-corrected visual acuity (BCVA), ocular pressure, biomicroscopic, and fundoscopic examination, were collected. Medical data were evaluated retrospectively.</p><p><strong>Results: </strong>The mean time to onset of clinical symptoms was 27.6 h. The main complaint was pain in nine patients. The primary symptom in the remainder of the patients was blurred vision. Severe hypopyon was seen in 5 cases. Despite the presence of pain and hypopyon, patients who were treated with topical steroids were closely followed up (every 2 h) because they were consecutive patients and had relatively acute onset complaints. Inflammation was regressed after an average of 4 h. No factor causing TASS was found. The BCVA was at the minimum level of 8/10 on the 5<sup>th</sup> day of surgery.</p><p><strong>Conclusion: </strong>When distinguishing TASS from endophthalmitis, severe pain, relatively late onset, hyperemia, and the presence of severe hypopyon usually lead ophthalmologists to the clinical diagnosis of endophthalmitis. However, in this study, most of the patients diagnosed with TASS had severe pain, a significant portion of them had hypopyon, and the onset of the symptoms was relatively late. Close follow-up immediately after suspicion plays a vital role in clinical diagnosis and management accordingly.</p>\",\"PeriodicalId\":18740,\"journal\":{\"name\":\"Middle East African Journal of Ophthalmology\",\"volume\":\"29 4\",\"pages\":\"196-199\"},\"PeriodicalIF\":0.3000,\"publicationDate\":\"2023-11-21\",\"publicationTypes\":\"Journal Article\",\"fieldsOfStudy\":null,\"isOpenAccess\":false,\"openAccessPdf\":\"https://www.ncbi.nlm.nih.gov/pmc/articles/PMC10754112/pdf/\",\"citationCount\":\"0\",\"resultStr\":null,\"platform\":\"Semanticscholar\",\"paperid\":null,\"PeriodicalName\":\"Middle East African Journal of Ophthalmology\",\"FirstCategoryId\":\"1085\",\"ListUrlMain\":\"https://doi.org/10.4103/meajo.meajo_126_23\",\"RegionNum\":0,\"RegionCategory\":null,\"ArticlePicture\":[],\"TitleCN\":null,\"AbstractTextCN\":null,\"PMCID\":null,\"EPubDate\":\"2022/10/1 0:00:00\",\"PubModel\":\"eCollection\",\"JCR\":\"Q4\",\"JCRName\":\"OPHTHALMOLOGY\",\"Score\":null,\"Total\":0}","platform":"Semanticscholar","paperid":null,"PeriodicalName":"Middle East African Journal of Ophthalmology","FirstCategoryId":"1085","ListUrlMain":"https://doi.org/10.4103/meajo.meajo_126_23","RegionNum":0,"RegionCategory":null,"ArticlePicture":[],"TitleCN":null,"AbstractTextCN":null,"PMCID":null,"EPubDate":"2022/10/1 0:00:00","PubModel":"eCollection","JCR":"Q4","JCRName":"OPHTHALMOLOGY","Score":null,"Total":0}
引用次数: 0

摘要

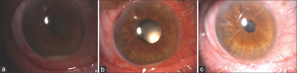
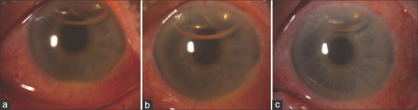
目的:中毒性前节综合征(TASS)是一种由眼科手术引起的非感染性前房反应。它通常发生在手术后的 12-48 小时内。临床怀疑 TASS 时,应始终排除眼内炎这种破坏性疾病。然而,事实上,TASS 和眼内炎看起来是一样的,但治疗方法却各不相同。因此,区分这两种疾病是应对这两种疾病的重要因素。本研究旨在描述在区分白内障手术后意外炎症反应的原因时所考虑的特征和临床处理方法:本研究回顾性审查了 2022 年 7 月至 2022 年 12 月期间三个不同日期在埃格大学眼科诊所发生 TASS 的 13 名患者的病历。研究人员收集了这13名患者的眼前节照片和眼科检查记录,包括最佳矫正视力(BCVA)、眼压、生物显微镜和眼底镜检查。对医疗数据进行了回顾性评估:临床症状出现的平均时间为 27.6 小时。其余患者的主要症状是视力模糊。5 例患者出现严重的视力减退。尽管出现了疼痛和视力减退,但对接受局部类固醇治疗的患者进行了密切随访(每 2 小时一次),因为这些患者是连续就诊的患者,而且起病相对较急。平均 4 小时后,炎症消退。手术后第 5 天,BCVA 达到最低水平 8/10:结论:在鉴别 TASS 和眼内炎时,剧烈疼痛、相对较晚的发病时间、充血以及严重的眼球震颤通常会让眼科医生做出眼内炎的临床诊断。然而,在本研究中,大多数被诊断为 TASS 的患者都有剧烈疼痛,相当一部分患者有眼球充血,而且发病时间相对较晚。因此,怀疑后立即进行密切随访对临床诊断和相应处理至关重要。
本文章由计算机程序翻译,如有差异,请以英文原文为准。

Unusual Inflammatory Clinical Presentation After Cataract Surgery and that Thought-provoking Question: Is this Infection or Toxic Anterior Segment Syndrome?

Unusual Inflammatory Clinical Presentation After Cataract Surgery and that Thought-provoking Question: Is this Infection or Toxic Anterior Segment Syndrome?

Unusual Inflammatory Clinical Presentation After Cataract Surgery and that Thought-provoking Question: Is this Infection or Toxic Anterior Segment Syndrome?

Purpose: Toxic anterior segment syndrome (TASS) is a noninfectious anterior chamber reaction caused by ocular surgeries. It usually develops within the first 12-48 h after surgery. In case of clinical suspicion of TASS, endophthalmitis as a devastating disease should always be excluded. However, the fact that TASS and endophthalmitis can look the same, but the treatment for each is different. Therefore, distinguishing between the two conditions is an important factor in coping with both diseases. It was aimed to describe the features and clinical management that are considered when distinguishing the cause of unexpected inflammatory response after cataract surgery.

Methods: A retrospective review of medical records of 13 patients who developed TASS in our clinic at Ege University Ophthalmology Department on three different days between July 2022 and December 2022 were included in this study. Anterior segment photographs of those 13 patients and the records of ophthalmological examinations of those patients, including best-corrected visual acuity (BCVA), ocular pressure, biomicroscopic, and fundoscopic examination, were collected. Medical data were evaluated retrospectively.

Results: The mean time to onset of clinical symptoms was 27.6 h. The main complaint was pain in nine patients. The primary symptom in the remainder of the patients was blurred vision. Severe hypopyon was seen in 5 cases. Despite the presence of pain and hypopyon, patients who were treated with topical steroids were closely followed up (every 2 h) because they were consecutive patients and had relatively acute onset complaints. Inflammation was regressed after an average of 4 h. No factor causing TASS was found. The BCVA was at the minimum level of 8/10 on the 5th day of surgery.

Conclusion: When distinguishing TASS from endophthalmitis, severe pain, relatively late onset, hyperemia, and the presence of severe hypopyon usually lead ophthalmologists to the clinical diagnosis of endophthalmitis. However, in this study, most of the patients diagnosed with TASS had severe pain, a significant portion of them had hypopyon, and the onset of the symptoms was relatively late. Close follow-up immediately after suspicion plays a vital role in clinical diagnosis and management accordingly.

求助全文
通过发布文献求助,成功后即可免费获取论文全文。 去求助
来源期刊
CiteScore
1.40
自引率
0.00%
发文量
1
期刊介绍: The Middle East African Journal of Ophthalmology (MEAJO), published four times per year in print and online, is an official journal of the Middle East African Council of Ophthalmology (MEACO). It is an international, peer-reviewed journal whose mission includes publication of original research of interest to ophthalmologists in the Middle East and Africa, and to provide readers with high quality educational review articles from world-renown experts. MEAJO, previously known as Middle East Journal of Ophthalmology (MEJO) was founded by Dr Akef El Maghraby in 1993.
×
引用
GB/T 7714-2015
复制
MLA
复制
APA
复制
导出至
BibTeX EndNote RefMan NoteFirst NoteExpress
×
提示
您的信息不完整,为了账户安全,请先补充。
现在去补充
×
提示
您因"违规操作"
具体请查看互助需知
我知道了
×
提示
确定
请完成安全验证×
copy
已复制链接
快去分享给好友吧!
我知道了
右上角分享
点击右上角分享
0
联系我们:info@booksci.cn Book学术提供免费学术资源搜索服务,方便国内外学者检索中英文文献。致力于提供最便捷和优质的服务体验。 Copyright © 2023 布克学术 All rights reserved.
京ICP备2023020795号-1
ghs 京公网安备 11010802042870号
Book学术文献互助
Book学术文献互助群
群 号:604180095
Book学术官方微信