卵巢水瘤囊肿:不常见的发病部位。

Q4 Medicine
Autopsy and Case Reports Pub Date : 2023-12-15 eCollection Date: 2023-01-01 DOI:10.4322/acr.2023.461
Kaushlendra Kumar, Ariba Zaidi, Nuzhat Husain
{"title":"卵巢水瘤囊肿:不常见的发病部位。","authors":"Kaushlendra Kumar, Ariba Zaidi, Nuzhat Husain","doi":"10.4322/acr.2023.461","DOIUrl":null,"url":null,"abstract":"<p><p>Hydatid cyst is a parasitic infestation caused by Echinococcus larvae. Hydatid cyst of the ovary is a highly unusual presentation. Herein, we present a case of a young woman who complained of episodic lower abdominal pain. Ultrasound of the abdomen revealed a multi-cystic left adnexal mass measuring 86 mm x 67 mm. A possibility of ovarian cystic neoplasm was suggested. Unilateral salpingo-oophorectomy was performed. On histopathological examination, a cyst measuring 8.0 x 5.5 x 4.5 cm was found, replacing the entire ovary. The cyst cavity was filled with serous fluid and multiple pearly white membranous structures, giving a multiloculated appearance. Microscopic examination showed a cyst lined by a lamellar membrane containing protoscolices and hooklets. Hydatid disease is a zoonotic ailment caused by tapeworms <i>(Echinococcus granulosus</i> or, less commonly, <i>Echinococcus multilocularis)</i>. The definitive hosts are carnivores. Humans are the accidental intermediate hosts. The hydatid cyst commonly affects the liver and the lungs. The primary hydatid cyst of the ovary is quite rare, with few case reports in the literature. In most cases, symptoms are vague, and the lesion is misdiagnosed as benign or malignant ovarian cystic neoplasm on clinical and radiological examination. Ovarian hydatid cyst is treated by surgery with ovarian cystectomy as the gold standard. The possibility of a hydatid cyst should be kept under differential diagnoses while evaluating the cystic diseases of the ovary.</p>","PeriodicalId":53117,"journal":{"name":"Autopsy and Case Reports","volume":"13 ","pages":"e2023461"},"PeriodicalIF":0.0000,"publicationDate":"2023-12-15","publicationTypes":"Journal Article","fieldsOfStudy":null,"isOpenAccess":false,"openAccessPdf":"https://www.ncbi.nlm.nih.gov/pmc/articles/PMC10750830/pdf/","citationCount":"0","resultStr":"{\"title\":\"Ovarian hydatid cyst: an uncommon site of presentation.\",\"authors\":\"Kaushlendra Kumar, Ariba Zaidi, Nuzhat Husain\",\"doi\":\"10.4322/acr.2023.461\",\"DOIUrl\":null,\"url\":null,\"abstract\":\"<p><p>Hydatid cyst is a parasitic infestation caused by Echinococcus larvae. Hydatid cyst of the ovary is a highly unusual presentation. Herein, we present a case of a young woman who complained of episodic lower abdominal pain. Ultrasound of the abdomen revealed a multi-cystic left adnexal mass measuring 86 mm x 67 mm. A possibility of ovarian cystic neoplasm was suggested. Unilateral salpingo-oophorectomy was performed. On histopathological examination, a cyst measuring 8.0 x 5.5 x 4.5 cm was found, replacing the entire ovary. The cyst cavity was filled with serous fluid and multiple pearly white membranous structures, giving a multiloculated appearance. Microscopic examination showed a cyst lined by a lamellar membrane containing protoscolices and hooklets. Hydatid disease is a zoonotic ailment caused by tapeworms <i>(Echinococcus granulosus</i> or, less commonly, <i>Echinococcus multilocularis)</i>. The definitive hosts are carnivores. Humans are the accidental intermediate hosts. The hydatid cyst commonly affects the liver and the lungs. The primary hydatid cyst of the ovary is quite rare, with few case reports in the literature. In most cases, symptoms are vague, and the lesion is misdiagnosed as benign or malignant ovarian cystic neoplasm on clinical and radiological examination. Ovarian hydatid cyst is treated by surgery with ovarian cystectomy as the gold standard. The possibility of a hydatid cyst should be kept under differential diagnoses while evaluating the cystic diseases of the ovary.</p>\",\"PeriodicalId\":53117,\"journal\":{\"name\":\"Autopsy and Case Reports\",\"volume\":\"13 \",\"pages\":\"e2023461\"},\"PeriodicalIF\":0.0000,\"publicationDate\":\"2023-12-15\",\"publicationTypes\":\"Journal Article\",\"fieldsOfStudy\":null,\"isOpenAccess\":false,\"openAccessPdf\":\"https://www.ncbi.nlm.nih.gov/pmc/articles/PMC10750830/pdf/\",\"citationCount\":\"0\",\"resultStr\":null,\"platform\":\"Semanticscholar\",\"paperid\":null,\"PeriodicalName\":\"Autopsy and Case Reports\",\"FirstCategoryId\":\"1085\",\"ListUrlMain\":\"https://doi.org/10.4322/acr.2023.461\",\"RegionNum\":0,\"RegionCategory\":null,\"ArticlePicture\":[],\"TitleCN\":null,\"AbstractTextCN\":null,\"PMCID\":null,\"EPubDate\":\"2023/1/1 0:00:00\",\"PubModel\":\"eCollection\",\"JCR\":\"Q4\",\"JCRName\":\"Medicine\",\"Score\":null,\"Total\":0}","platform":"Semanticscholar","paperid":null,"PeriodicalName":"Autopsy and Case Reports","FirstCategoryId":"1085","ListUrlMain":"https://doi.org/10.4322/acr.2023.461","RegionNum":0,"RegionCategory":null,"ArticlePicture":[],"TitleCN":null,"AbstractTextCN":null,"PMCID":null,"EPubDate":"2023/1/1 0:00:00","PubModel":"eCollection","JCR":"Q4","JCRName":"Medicine","Score":null,"Total":0}
引用次数: 0

摘要

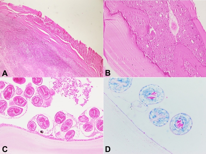
包虫囊肿是由棘球蚴引起的寄生虫病。卵巢包虫囊肿是一种非常罕见的病症。在此,我们介绍一例主诉阵发性下腹痛的年轻女性。腹部超声波检查发现左侧附件多囊性肿块,大小为 86 毫米 x 67 毫米。提示可能是卵巢囊性肿瘤。患者接受了单侧输卵管切除术。组织病理学检查发现,囊肿大小为 8.0 x 5.5 x 4.5 厘米,取代了整个卵巢。囊腔内充满了浆液性液体和多个珍珠白色膜状结构,呈现多房性外观。显微镜检查显示,囊肿内衬为片状膜,内含原虫和钩状小虫。包虫病是一种人畜共患病,由绦虫(颗粒棘球蚴或较少见的多角棘球蚴)引起。最终宿主是食肉动物。人类是意外的中间宿主。包虫囊肿通常会影响肝脏和肺部。卵巢原发性包虫囊肿相当罕见,文献中的病例报告很少。大多数病例症状模糊,在临床和放射学检查中被误诊为良性或恶性卵巢囊肿性肿瘤。卵巢水瘤囊肿以手术治疗为主,卵巢囊肿切除术是金标准。在评估卵巢囊性疾病时,应将包虫囊肿的可能性列入鉴别诊断。
本文章由计算机程序翻译,如有差异,请以英文原文为准。

Ovarian hydatid cyst: an uncommon site of presentation.

Ovarian hydatid cyst: an uncommon site of presentation.

Ovarian hydatid cyst: an uncommon site of presentation.

Hydatid cyst is a parasitic infestation caused by Echinococcus larvae. Hydatid cyst of the ovary is a highly unusual presentation. Herein, we present a case of a young woman who complained of episodic lower abdominal pain. Ultrasound of the abdomen revealed a multi-cystic left adnexal mass measuring 86 mm x 67 mm. A possibility of ovarian cystic neoplasm was suggested. Unilateral salpingo-oophorectomy was performed. On histopathological examination, a cyst measuring 8.0 x 5.5 x 4.5 cm was found, replacing the entire ovary. The cyst cavity was filled with serous fluid and multiple pearly white membranous structures, giving a multiloculated appearance. Microscopic examination showed a cyst lined by a lamellar membrane containing protoscolices and hooklets. Hydatid disease is a zoonotic ailment caused by tapeworms (Echinococcus granulosus or, less commonly, Echinococcus multilocularis). The definitive hosts are carnivores. Humans are the accidental intermediate hosts. The hydatid cyst commonly affects the liver and the lungs. The primary hydatid cyst of the ovary is quite rare, with few case reports in the literature. In most cases, symptoms are vague, and the lesion is misdiagnosed as benign or malignant ovarian cystic neoplasm on clinical and radiological examination. Ovarian hydatid cyst is treated by surgery with ovarian cystectomy as the gold standard. The possibility of a hydatid cyst should be kept under differential diagnoses while evaluating the cystic diseases of the ovary.

求助全文
通过发布文献求助,成功后即可免费获取论文全文。 去求助
来源期刊
Autopsy and Case Reports
Autopsy and Case Reports Medicine-Internal Medicine
CiteScore
1.20
自引率
0.00%
发文量
60
审稿时长
9 weeks
×
引用
GB/T 7714-2015
复制
MLA
复制
APA
复制
导出至
BibTeX EndNote RefMan NoteFirst NoteExpress
×
提示
您的信息不完整,为了账户安全,请先补充。
现在去补充
×
提示
您因"违规操作"
具体请查看互助需知
我知道了
×
提示
确定
请完成安全验证×
copy
已复制链接
快去分享给好友吧!
我知道了
右上角分享
点击右上角分享
0
联系我们:info@booksci.cn Book学术提供免费学术资源搜索服务,方便国内外学者检索中英文文献。致力于提供最便捷和优质的服务体验。 Copyright © 2023 布克学术 All rights reserved.
京ICP备2023020795号-1
ghs 京公网安备 11010802042870号
Book学术文献互助
Book学术文献互助群
群 号:604180095
Book学术官方微信