肛门直肠气球细胞黑色素瘤:一种罕见的变异。

Q4 Medicine
Autopsy and Case Reports Pub Date : 2023-12-15 eCollection Date: 2023-01-01 DOI:10.4322/acr.2023.459
Priyanka Sameer, Pallavi Srivastava, Saumya Shukla, Nuzhat Husain
{"title":"肛门直肠气球细胞黑色素瘤:一种罕见的变异。","authors":"Priyanka Sameer, Pallavi Srivastava, Saumya Shukla, Nuzhat Husain","doi":"10.4322/acr.2023.459","DOIUrl":null,"url":null,"abstract":"<p><p>Balloon cell melanoma is a rare presentation of malignant melanoma, usually on the skin, with less than 100 cases reported. Mucosal BCM is even rarer, with only one case of anorectal BCM reported in English literature. The diagnosis is based on the histopathologic findings of a tumor composed of large, foamy melanocytes, with or without pigmentation, and confirmed by immunohistochemical studies showing expression for melanocytic markers. The foam cell appearance of the tumor cells and the lack of melanin pigment lead to a diagnostic dilemma, mostly when presented at an unusual location. Herein, we report a case of balloon cell melanoma at the anorectal junction in a 73-year-old male patient complaining of constipation and bleeding per rectum. Surgical resection was performed with no evidence of recurrence after three years of close follow-up. We believe this case will raise awareness among the medical community to consider this tumor a differential diagnosis in rectal masses.</p>","PeriodicalId":53117,"journal":{"name":"Autopsy and Case Reports","volume":"13 ","pages":"e2023459"},"PeriodicalIF":0.0000,"publicationDate":"2023-12-15","publicationTypes":"Journal Article","fieldsOfStudy":null,"isOpenAccess":false,"openAccessPdf":"https://www.ncbi.nlm.nih.gov/pmc/articles/PMC10750828/pdf/","citationCount":"0","resultStr":"{\"title\":\"Anorectal balloon cell melanoma: a rare variant.\",\"authors\":\"Priyanka Sameer, Pallavi Srivastava, Saumya Shukla, Nuzhat Husain\",\"doi\":\"10.4322/acr.2023.459\",\"DOIUrl\":null,\"url\":null,\"abstract\":\"<p><p>Balloon cell melanoma is a rare presentation of malignant melanoma, usually on the skin, with less than 100 cases reported. Mucosal BCM is even rarer, with only one case of anorectal BCM reported in English literature. The diagnosis is based on the histopathologic findings of a tumor composed of large, foamy melanocytes, with or without pigmentation, and confirmed by immunohistochemical studies showing expression for melanocytic markers. The foam cell appearance of the tumor cells and the lack of melanin pigment lead to a diagnostic dilemma, mostly when presented at an unusual location. Herein, we report a case of balloon cell melanoma at the anorectal junction in a 73-year-old male patient complaining of constipation and bleeding per rectum. Surgical resection was performed with no evidence of recurrence after three years of close follow-up. We believe this case will raise awareness among the medical community to consider this tumor a differential diagnosis in rectal masses.</p>\",\"PeriodicalId\":53117,\"journal\":{\"name\":\"Autopsy and Case Reports\",\"volume\":\"13 \",\"pages\":\"e2023459\"},\"PeriodicalIF\":0.0000,\"publicationDate\":\"2023-12-15\",\"publicationTypes\":\"Journal Article\",\"fieldsOfStudy\":null,\"isOpenAccess\":false,\"openAccessPdf\":\"https://www.ncbi.nlm.nih.gov/pmc/articles/PMC10750828/pdf/\",\"citationCount\":\"0\",\"resultStr\":null,\"platform\":\"Semanticscholar\",\"paperid\":null,\"PeriodicalName\":\"Autopsy and Case Reports\",\"FirstCategoryId\":\"1085\",\"ListUrlMain\":\"https://doi.org/10.4322/acr.2023.459\",\"RegionNum\":0,\"RegionCategory\":null,\"ArticlePicture\":[],\"TitleCN\":null,\"AbstractTextCN\":null,\"PMCID\":null,\"EPubDate\":\"2023/1/1 0:00:00\",\"PubModel\":\"eCollection\",\"JCR\":\"Q4\",\"JCRName\":\"Medicine\",\"Score\":null,\"Total\":0}","platform":"Semanticscholar","paperid":null,"PeriodicalName":"Autopsy and Case Reports","FirstCategoryId":"1085","ListUrlMain":"https://doi.org/10.4322/acr.2023.459","RegionNum":0,"RegionCategory":null,"ArticlePicture":[],"TitleCN":null,"AbstractTextCN":null,"PMCID":null,"EPubDate":"2023/1/1 0:00:00","PubModel":"eCollection","JCR":"Q4","JCRName":"Medicine","Score":null,"Total":0}
引用次数: 0

摘要

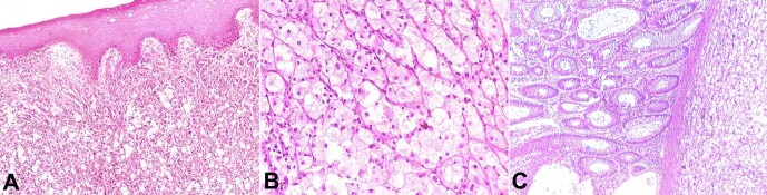
气球细胞黑色素瘤是一种罕见的恶性黑色素瘤,通常发生在皮肤上,报道的病例不到 100 例。粘膜球形细胞黑色素瘤更为罕见,英文文献中仅有一例肛门直肠球形细胞黑色素瘤的报道。诊断的依据是组织病理学发现的由大的泡沫状黑色素细胞组成的肿瘤,伴有或不伴有色素沉着,并经免疫组化研究证实显示黑色素细胞标记物的表达。肿瘤细胞的泡沫细胞外观和黑色素色素的缺乏导致了诊断上的两难,尤其是在肿瘤位置不寻常的情况下。在此,我们报告了一例肛门直肠交界处的气球细胞黑色素瘤病例,患者 73 岁,男性,主诉便秘和直肠出血。经过三年的密切随访,手术切除后无复发迹象。我们相信这个病例将提高医学界对直肠肿块的鉴别诊断意识。
本文章由计算机程序翻译,如有差异,请以英文原文为准。

Anorectal balloon cell melanoma: a rare variant.

Anorectal balloon cell melanoma: a rare variant.

Anorectal balloon cell melanoma: a rare variant.

Balloon cell melanoma is a rare presentation of malignant melanoma, usually on the skin, with less than 100 cases reported. Mucosal BCM is even rarer, with only one case of anorectal BCM reported in English literature. The diagnosis is based on the histopathologic findings of a tumor composed of large, foamy melanocytes, with or without pigmentation, and confirmed by immunohistochemical studies showing expression for melanocytic markers. The foam cell appearance of the tumor cells and the lack of melanin pigment lead to a diagnostic dilemma, mostly when presented at an unusual location. Herein, we report a case of balloon cell melanoma at the anorectal junction in a 73-year-old male patient complaining of constipation and bleeding per rectum. Surgical resection was performed with no evidence of recurrence after three years of close follow-up. We believe this case will raise awareness among the medical community to consider this tumor a differential diagnosis in rectal masses.

求助全文
通过发布文献求助,成功后即可免费获取论文全文。 去求助
来源期刊
Autopsy and Case Reports
Autopsy and Case Reports Medicine-Internal Medicine
CiteScore
1.20
自引率
0.00%
发文量
60
审稿时长
9 weeks
×
引用
GB/T 7714-2015
复制
MLA
复制
APA
复制
导出至
BibTeX EndNote RefMan NoteFirst NoteExpress
×
提示
您的信息不完整,为了账户安全,请先补充。
现在去补充
×
提示
您因"违规操作"
具体请查看互助需知
我知道了
×
提示
确定
请完成安全验证×
copy
已复制链接
快去分享给好友吧!
我知道了
右上角分享
点击右上角分享
0
联系我们:info@booksci.cn Book学术提供免费学术资源搜索服务,方便国内外学者检索中英文文献。致力于提供最便捷和优质的服务体验。 Copyright © 2023 布克学术 All rights reserved.
京ICP备2023020795号-1
ghs 京公网安备 11010802042870号
Book学术文献互助
Book学术文献互助群
群 号:604180095
Book学术官方微信