伴有嗜酸性粒细胞的皮肌炎

IF 1.7 Q3 DERMATOLOGY
Isabella I Sanchez, Henry O Herrera, Ashley Elsensohn, Bonnie A Lee, Christina N Kraus
{"title":"伴有嗜酸性粒细胞的皮肌炎","authors":"Isabella I Sanchez, Henry O Herrera, Ashley Elsensohn, Bonnie A Lee, Christina N Kraus","doi":"10.3390/dermatopathology10040039","DOIUrl":null,"url":null,"abstract":"<p><p>Dermatomyositis is an idiopathic inflammatory myopathy that often presents with symmetric proximal skeletal muscle weakness and characteristic skin findings. Typical skin biopsy findings include vacuolar changes of the basal layer, increased dermal mucin, and a predominantly lymphocytic infiltrate. We report a case of dermatomyositis presenting as intensely pruritic papules and plaques, with initial histopathology being atypical of dermatomyositis due to the presence of eosinophils. The initial biopsy demonstrated a superficial dermatitis with eosinophils, initially thought to represent a drug eruption. A second biopsy of the same cutaneous manifestation was performed at a later time given high clinical suspicion for dermatomyositis and demonstrated a more classic vacuolar interface dermatitis with increased mucin and an absence of eosinophils. Notably, increased pruritus was specifically associated with the lesion that demonstrated tissue eosinophilia. The case illustrates the importance of considering tissue eosinophilia in the histologic presentation of dermatomyositis.</p>","PeriodicalId":42885,"journal":{"name":"Dermatopathology","volume":"10 4","pages":"310-317"},"PeriodicalIF":1.7000,"publicationDate":"2023-11-21","publicationTypes":"Journal Article","fieldsOfStudy":null,"isOpenAccess":false,"openAccessPdf":"https://www.ncbi.nlm.nih.gov/pmc/articles/PMC10742320/pdf/","citationCount":"0","resultStr":"{\"title\":\"Dermatomyositis with Eosinophils.\",\"authors\":\"Isabella I Sanchez, Henry O Herrera, Ashley Elsensohn, Bonnie A Lee, Christina N Kraus\",\"doi\":\"10.3390/dermatopathology10040039\",\"DOIUrl\":null,\"url\":null,\"abstract\":\"<p><p>Dermatomyositis is an idiopathic inflammatory myopathy that often presents with symmetric proximal skeletal muscle weakness and characteristic skin findings. Typical skin biopsy findings include vacuolar changes of the basal layer, increased dermal mucin, and a predominantly lymphocytic infiltrate. We report a case of dermatomyositis presenting as intensely pruritic papules and plaques, with initial histopathology being atypical of dermatomyositis due to the presence of eosinophils. The initial biopsy demonstrated a superficial dermatitis with eosinophils, initially thought to represent a drug eruption. A second biopsy of the same cutaneous manifestation was performed at a later time given high clinical suspicion for dermatomyositis and demonstrated a more classic vacuolar interface dermatitis with increased mucin and an absence of eosinophils. Notably, increased pruritus was specifically associated with the lesion that demonstrated tissue eosinophilia. The case illustrates the importance of considering tissue eosinophilia in the histologic presentation of dermatomyositis.</p>\",\"PeriodicalId\":42885,\"journal\":{\"name\":\"Dermatopathology\",\"volume\":\"10 4\",\"pages\":\"310-317\"},\"PeriodicalIF\":1.7000,\"publicationDate\":\"2023-11-21\",\"publicationTypes\":\"Journal Article\",\"fieldsOfStudy\":null,\"isOpenAccess\":false,\"openAccessPdf\":\"https://www.ncbi.nlm.nih.gov/pmc/articles/PMC10742320/pdf/\",\"citationCount\":\"0\",\"resultStr\":null,\"platform\":\"Semanticscholar\",\"paperid\":null,\"PeriodicalName\":\"Dermatopathology\",\"FirstCategoryId\":\"1085\",\"ListUrlMain\":\"https://doi.org/10.3390/dermatopathology10040039\",\"RegionNum\":0,\"RegionCategory\":null,\"ArticlePicture\":[],\"TitleCN\":null,\"AbstractTextCN\":null,\"PMCID\":null,\"EPubDate\":\"\",\"PubModel\":\"\",\"JCR\":\"Q3\",\"JCRName\":\"DERMATOLOGY\",\"Score\":null,\"Total\":0}","platform":"Semanticscholar","paperid":null,"PeriodicalName":"Dermatopathology","FirstCategoryId":"1085","ListUrlMain":"https://doi.org/10.3390/dermatopathology10040039","RegionNum":0,"RegionCategory":null,"ArticlePicture":[],"TitleCN":null,"AbstractTextCN":null,"PMCID":null,"EPubDate":"","PubModel":"","JCR":"Q3","JCRName":"DERMATOLOGY","Score":null,"Total":0}
引用次数: 0

摘要

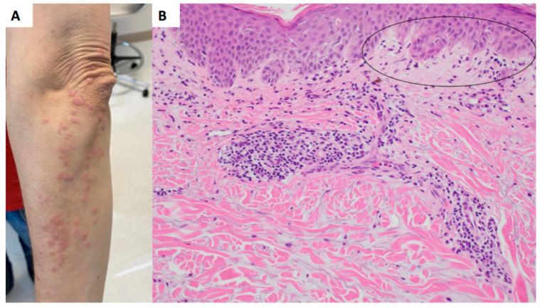
皮肌炎是一种特发性炎症性肌病,通常表现为对称性近端骨骼肌无力和特征性皮肤症状。典型的皮肤活检结果包括基底层空泡样改变、真皮粘蛋白增加以及主要的淋巴细胞浸润。我们报告了一例皮肌炎病例,患者表现为剧烈瘙痒的丘疹和斑块,由于嗜酸性粒细胞的存在,最初的组织病理学结果并不典型。最初的活组织检查显示,患者患有嗜酸性粒细胞的表皮皮炎,最初被认为是药物疹。由于临床上高度怀疑该患者患有皮肌炎,因此稍后又对同一皮肤表现进行了第二次活组织检查,结果显示该患者患有更典型的空泡性界面皮炎,粘蛋白增加,但没有嗜酸性粒细胞。值得注意的是,瘙痒加重与显示组织嗜酸性粒细胞增多的皮损特别相关。该病例说明了在皮肌炎的组织学表现中考虑组织嗜酸性粒细胞的重要性。
本文章由计算机程序翻译,如有差异,请以英文原文为准。

Dermatomyositis with Eosinophils.

Dermatomyositis with Eosinophils.

Dermatomyositis with Eosinophils.

Dermatomyositis is an idiopathic inflammatory myopathy that often presents with symmetric proximal skeletal muscle weakness and characteristic skin findings. Typical skin biopsy findings include vacuolar changes of the basal layer, increased dermal mucin, and a predominantly lymphocytic infiltrate. We report a case of dermatomyositis presenting as intensely pruritic papules and plaques, with initial histopathology being atypical of dermatomyositis due to the presence of eosinophils. The initial biopsy demonstrated a superficial dermatitis with eosinophils, initially thought to represent a drug eruption. A second biopsy of the same cutaneous manifestation was performed at a later time given high clinical suspicion for dermatomyositis and demonstrated a more classic vacuolar interface dermatitis with increased mucin and an absence of eosinophils. Notably, increased pruritus was specifically associated with the lesion that demonstrated tissue eosinophilia. The case illustrates the importance of considering tissue eosinophilia in the histologic presentation of dermatomyositis.

求助全文
通过发布文献求助,成功后即可免费获取论文全文。 去求助
来源期刊
Dermatopathology
Dermatopathology DERMATOLOGY-
自引率
5.30%
发文量
39
审稿时长
11 weeks
×
引用
GB/T 7714-2015
复制
MLA
复制
APA
复制
导出至
BibTeX EndNote RefMan NoteFirst NoteExpress
×
提示
您的信息不完整,为了账户安全,请先补充。
现在去补充
×
提示
您因"违规操作"
具体请查看互助需知
我知道了
×
提示
确定
请完成安全验证×
copy
已复制链接
快去分享给好友吧!
我知道了
右上角分享
点击右上角分享
0
联系我们:info@booksci.cn Book学术提供免费学术资源搜索服务,方便国内外学者检索中英文文献。致力于提供最便捷和优质的服务体验。 Copyright © 2023 布克学术 All rights reserved.
京ICP备2023020795号-1
ghs 京公网安备 11010802042870号
Book学术文献互助
Book学术文献互助群
群 号:604180095
Book学术官方微信