计算机辅助手术经验后,传统闭合楔形高胫骨截骨术的冠状面和矢状面对齐的手术准确性。

IF 4.4 Q2 Medicine
Sang Jun Song, Dae Kyung Bae, Se Hwan Park, Cheol Hee Park
{"title":"计算机辅助手术经验后,传统闭合楔形高胫骨截骨术的冠状面和矢状面对齐的手术准确性。","authors":"Sang Jun Song, Dae Kyung Bae, Se Hwan Park, Cheol Hee Park","doi":"10.1186/s43019-023-00205-2","DOIUrl":null,"url":null,"abstract":"<p><strong>Background: </strong>Although intraoperative navigation can improve the surgeon's proficiency, no studies have analyzed postoperative outcomes of high tibial osteotomy (HTO) after computer-assisted surgery (CAS) experience. The present study compared the clinical and radiographic results between conventional and CAS closed-wedge (CW) HTOs after CAS experience.</p><p><strong>Methods: </strong>Each of the 50 conventional and CAS CW HTOs performed by single surgeon between 2015 and 2017 were included. The surgeon had experience of 140 cases of CAS CW HTOs before the study period. The groups were not different in terms of demographics. Clinically, the Western Ontario and McMaster Universities Osteoarthritis Index (WOMAC) and range of motion (ROM) were investigated. Radiographically, the mechanical axis (MA), change in posterior tibial slope angle (PTS), and parallel angle were evaluated. The proportions of inlier groups for the postoperative MA (within valgus 2° ± 3°), change in the PTS (within ± 3°), and parallel angle (< 3°) were compared.</p><p><strong>Results: </strong>There were no significant differences in postoperative clinical results between the conventional and CAS groups. The MA was appropriately corrected in both groups (2.4° versus 2.9°, p = 0.317). The amount of change in PTS was significantly greater in the conventional group (-2.2° versus -0.8°, p = 0.018). The parallel angle was 5.3° in the conventional groups and 3.1° in the CAS group (p = 0.003). The proportion of inlier group was not significantly different in the postoperative MA (72% versus 78%) and change in the PTS (52% versus 66%). The proportion of inlier for the parallel angle was significantly lower in the conventional group (36% versus 60%, p = 0.027).</p><p><strong>Conclusions: </strong>The surgical proficiency after CAS experience could cover the advantages of an intraoperative navigation in coronal adjustment, not in the sagittal adjustments in CW HTOs. A larger cohort with multiple surgeons in multiple centers would be required to identify the general trend.</p><p><strong>Study design: </strong>Level of evidence III.</p>","PeriodicalId":36317,"journal":{"name":"Knee Surgery and Related Research","volume":"35 1","pages":"29"},"PeriodicalIF":4.4000,"publicationDate":"2023-12-21","publicationTypes":"Journal Article","fieldsOfStudy":null,"isOpenAccess":false,"openAccessPdf":"https://www.ncbi.nlm.nih.gov/pmc/articles/PMC10740261/pdf/","citationCount":"0","resultStr":"{\"title\":\"Surgical accuracy of coronal and sagittal alignment in conventional closed-wedge high tibial osteotomy after computer-assisted surgery experience.\",\"authors\":\"Sang Jun Song, Dae Kyung Bae, Se Hwan Park, Cheol Hee Park\",\"doi\":\"10.1186/s43019-023-00205-2\",\"DOIUrl\":null,\"url\":null,\"abstract\":\"<p><strong>Background: </strong>Although intraoperative navigation can improve the surgeon's proficiency, no studies have analyzed postoperative outcomes of high tibial osteotomy (HTO) after computer-assisted surgery (CAS) experience. The present study compared the clinical and radiographic results between conventional and CAS closed-wedge (CW) HTOs after CAS experience.</p><p><strong>Methods: </strong>Each of the 50 conventional and CAS CW HTOs performed by single surgeon between 2015 and 2017 were included. The surgeon had experience of 140 cases of CAS CW HTOs before the study period. The groups were not different in terms of demographics. Clinically, the Western Ontario and McMaster Universities Osteoarthritis Index (WOMAC) and range of motion (ROM) were investigated. Radiographically, the mechanical axis (MA), change in posterior tibial slope angle (PTS), and parallel angle were evaluated. The proportions of inlier groups for the postoperative MA (within valgus 2° ± 3°), change in the PTS (within ± 3°), and parallel angle (< 3°) were compared.</p><p><strong>Results: </strong>There were no significant differences in postoperative clinical results between the conventional and CAS groups. The MA was appropriately corrected in both groups (2.4° versus 2.9°, p = 0.317). The amount of change in PTS was significantly greater in the conventional group (-2.2° versus -0.8°, p = 0.018). The parallel angle was 5.3° in the conventional groups and 3.1° in the CAS group (p = 0.003). The proportion of inlier group was not significantly different in the postoperative MA (72% versus 78%) and change in the PTS (52% versus 66%). The proportion of inlier for the parallel angle was significantly lower in the conventional group (36% versus 60%, p = 0.027).</p><p><strong>Conclusions: </strong>The surgical proficiency after CAS experience could cover the advantages of an intraoperative navigation in coronal adjustment, not in the sagittal adjustments in CW HTOs. A larger cohort with multiple surgeons in multiple centers would be required to identify the general trend.</p><p><strong>Study design: </strong>Level of evidence III.</p>\",\"PeriodicalId\":36317,\"journal\":{\"name\":\"Knee Surgery and Related Research\",\"volume\":\"35 1\",\"pages\":\"29\"},\"PeriodicalIF\":4.4000,\"publicationDate\":\"2023-12-21\",\"publicationTypes\":\"Journal Article\",\"fieldsOfStudy\":null,\"isOpenAccess\":false,\"openAccessPdf\":\"https://www.ncbi.nlm.nih.gov/pmc/articles/PMC10740261/pdf/\",\"citationCount\":\"0\",\"resultStr\":null,\"platform\":\"Semanticscholar\",\"paperid\":null,\"PeriodicalName\":\"Knee Surgery and Related Research\",\"FirstCategoryId\":\"1085\",\"ListUrlMain\":\"https://doi.org/10.1186/s43019-023-00205-2\",\"RegionNum\":0,\"RegionCategory\":null,\"ArticlePicture\":[],\"TitleCN\":null,\"AbstractTextCN\":null,\"PMCID\":null,\"EPubDate\":\"\",\"PubModel\":\"\",\"JCR\":\"Q2\",\"JCRName\":\"Medicine\",\"Score\":null,\"Total\":0}","platform":"Semanticscholar","paperid":null,"PeriodicalName":"Knee Surgery and Related Research","FirstCategoryId":"1085","ListUrlMain":"https://doi.org/10.1186/s43019-023-00205-2","RegionNum":0,"RegionCategory":null,"ArticlePicture":[],"TitleCN":null,"AbstractTextCN":null,"PMCID":null,"EPubDate":"","PubModel":"","JCR":"Q2","JCRName":"Medicine","Score":null,"Total":0}
引用次数: 0

摘要

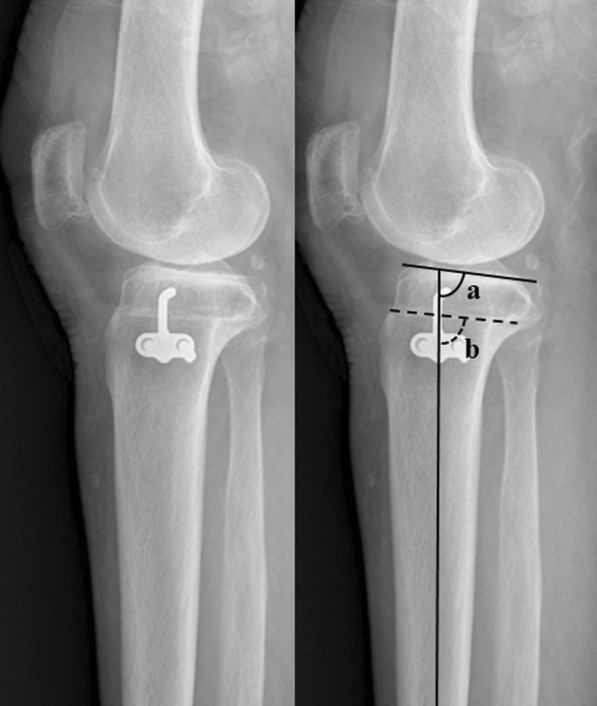
背景:虽然术中导航可以提高外科医生的熟练程度,但目前还没有研究分析过计算机辅助手术(CAS)后高胫骨截骨术(HTO)的术后效果。本研究比较了传统和 CAS 闭楔(CW)HTO 术后的临床和影像学结果:方法:纳入2015年至2017年期间由单个外科医生实施的50例常规和CAS CW HTO。该外科医生在研究期间之前有 140 例 CAS CW HTO 的经验。两组在人口统计学方面没有差异。在临床方面,研究人员调查了西安大略和麦克马斯特大学骨关节炎指数(WOMAC)和活动范围(ROM)。在影像学上,对机械轴(MA)、胫骨后斜角(PTS)和平行角的变化进行了评估。传统组和 CAS 组的术后临床结果无明显差异。两组的 MA 都得到了适当的矫正(2.4° 对 2.9°,P = 0.317)。常规组的 PTS 变化幅度明显更大(-2.2° 对 -0.8°,p = 0.018)。常规组的平行角为 5.3°,CAS 组为 3.1°(p = 0.003)。在术后 MA(72% 对 78%)和 PTS(52% 对 66%)的变化中,离群组的比例无明显差异。结论:结论:CAS经验后的手术熟练程度可以覆盖术中导航在冠状面调整方面的优势,而不是在CW HTOs矢状面调整方面的优势。要确定总体趋势,需要在多个中心由多名外科医生组成更大规模的队列:研究设计:证据等级 III。
本文章由计算机程序翻译,如有差异,请以英文原文为准。

Surgical accuracy of coronal and sagittal alignment in conventional closed-wedge high tibial osteotomy after computer-assisted surgery experience.

Surgical accuracy of coronal and sagittal alignment in conventional closed-wedge high tibial osteotomy after computer-assisted surgery experience.

Surgical accuracy of coronal and sagittal alignment in conventional closed-wedge high tibial osteotomy after computer-assisted surgery experience.

Background: Although intraoperative navigation can improve the surgeon's proficiency, no studies have analyzed postoperative outcomes of high tibial osteotomy (HTO) after computer-assisted surgery (CAS) experience. The present study compared the clinical and radiographic results between conventional and CAS closed-wedge (CW) HTOs after CAS experience.

Methods: Each of the 50 conventional and CAS CW HTOs performed by single surgeon between 2015 and 2017 were included. The surgeon had experience of 140 cases of CAS CW HTOs before the study period. The groups were not different in terms of demographics. Clinically, the Western Ontario and McMaster Universities Osteoarthritis Index (WOMAC) and range of motion (ROM) were investigated. Radiographically, the mechanical axis (MA), change in posterior tibial slope angle (PTS), and parallel angle were evaluated. The proportions of inlier groups for the postoperative MA (within valgus 2° ± 3°), change in the PTS (within ± 3°), and parallel angle (< 3°) were compared.

Results: There were no significant differences in postoperative clinical results between the conventional and CAS groups. The MA was appropriately corrected in both groups (2.4° versus 2.9°, p = 0.317). The amount of change in PTS was significantly greater in the conventional group (-2.2° versus -0.8°, p = 0.018). The parallel angle was 5.3° in the conventional groups and 3.1° in the CAS group (p = 0.003). The proportion of inlier group was not significantly different in the postoperative MA (72% versus 78%) and change in the PTS (52% versus 66%). The proportion of inlier for the parallel angle was significantly lower in the conventional group (36% versus 60%, p = 0.027).

Conclusions: The surgical proficiency after CAS experience could cover the advantages of an intraoperative navigation in coronal adjustment, not in the sagittal adjustments in CW HTOs. A larger cohort with multiple surgeons in multiple centers would be required to identify the general trend.

Study design: Level of evidence III.

求助全文
通过发布文献求助,成功后即可免费获取论文全文。 去求助
来源期刊
CiteScore
6.50
自引率
0.00%
发文量
42
审稿时长
19 weeks
×
引用
GB/T 7714-2015
复制
MLA
复制
APA
复制
导出至
BibTeX EndNote RefMan NoteFirst NoteExpress
×
提示
您的信息不完整,为了账户安全,请先补充。
现在去补充
×
提示
您因"违规操作"
具体请查看互助需知
我知道了
×
提示
确定
请完成安全验证×
copy
已复制链接
快去分享给好友吧!
我知道了
右上角分享
点击右上角分享
0
联系我们:info@booksci.cn Book学术提供免费学术资源搜索服务,方便国内外学者检索中英文文献。致力于提供最便捷和优质的服务体验。 Copyright © 2023 布克学术 All rights reserved.
京ICP备2023020795号-1
ghs 京公网安备 11010802042870号
Book学术文献互助
Book学术文献互助群
群 号:604180095
Book学术官方微信