弥漫大 B 细胞淋巴瘤 (DLBCL) 的分子特征和基因亚分类比较 - 74 例病例的实际经验。

IF 2 4区 医学 Q3 CELL BIOLOGY
Pathobiology Pub Date : 2024-01-01 Epub Date: 2023-12-21 DOI:10.1159/000535938
Vanesa-Sindi Ivanova, Visar Vela, Stefan Dirnhofer, Michael Dobbie, Frank Stenner, Jan Knoblich, Alexandar Tzankov, Thomas Menter
{"title":"弥漫大 B 细胞淋巴瘤 (DLBCL) 的分子特征和基因亚分类比较 - 74 例病例的实际经验。","authors":"Vanesa-Sindi Ivanova, Visar Vela, Stefan Dirnhofer, Michael Dobbie, Frank Stenner, Jan Knoblich, Alexandar Tzankov, Thomas Menter","doi":"10.1159/000535938","DOIUrl":null,"url":null,"abstract":"<p><strong>Introduction: </strong>Diffuse large B-cell lymphoma (DLBCL) is a heterogeneous entity. Lately, several algorithms achieving therapeutically and prognostically relevant DLBCL subclassification have been published.</p><p><strong>Methods: </strong>A cohort of 74 routine DLBCL cases was broadly characterized by immunohistochemistry (IHC), fluorescence in situ hybridization (FISH) of the BCL2, BCL6, and MYC loci, and comprehensive high-throughput sequencing (HTS). Based on the genetic alterations found, cases were reclassified using two probabilistic tools - LymphGen and Two-step classifier, allowing for comparison of the two models.</p><p><strong>Results: </strong>Hans and Tally's overall IHC-based subclassification success rate was 96% and 82%, respectively. HTS and FISH data allowed the LymphGen algorithm to successfully classify 11/55 cases (1 - BN2, 7 - EZB, 1 - MCD, and 2 - genetically composite EZB/N1). The total subclassification rate was 20%. On the other hand, the Two-step classifier categorized 36/55 cases, with 65.5% success (9 - BN2, 12 - EZB, 9 - MCD, 2 - N1, and 4 - ST2). Clinical correlations highlighted MCD as an aggressive subtype associated with higher relapse and mortality.</p><p><strong>Conclusions: </strong>The Two-step algorithm has a better success rate at subclassifying DLBCL cases based on genetic differences. Further improvement of the classifiers is required to increase the number of classifiable cases and thus prove their applicability in routine diagnostics.</p>","PeriodicalId":19805,"journal":{"name":"Pathobiology","volume":" ","pages":"245-253"},"PeriodicalIF":2.0000,"publicationDate":"2024-01-01","publicationTypes":"Journal Article","fieldsOfStudy":null,"isOpenAccess":false,"openAccessPdf":"https://www.ncbi.nlm.nih.gov/pmc/articles/PMC11309052/pdf/","citationCount":"0","resultStr":"{\"title\":\"Molecular Characterization and Genetic Subclassification Comparison of Diffuse Large B-Cell Lymphoma: Real-Life Experience with 74 Cases.\",\"authors\":\"Vanesa-Sindi Ivanova, Visar Vela, Stefan Dirnhofer, Michael Dobbie, Frank Stenner, Jan Knoblich, Alexandar Tzankov, Thomas Menter\",\"doi\":\"10.1159/000535938\",\"DOIUrl\":null,\"url\":null,\"abstract\":\"<p><strong>Introduction: </strong>Diffuse large B-cell lymphoma (DLBCL) is a heterogeneous entity. Lately, several algorithms achieving therapeutically and prognostically relevant DLBCL subclassification have been published.</p><p><strong>Methods: </strong>A cohort of 74 routine DLBCL cases was broadly characterized by immunohistochemistry (IHC), fluorescence in situ hybridization (FISH) of the BCL2, BCL6, and MYC loci, and comprehensive high-throughput sequencing (HTS). Based on the genetic alterations found, cases were reclassified using two probabilistic tools - LymphGen and Two-step classifier, allowing for comparison of the two models.</p><p><strong>Results: </strong>Hans and Tally's overall IHC-based subclassification success rate was 96% and 82%, respectively. HTS and FISH data allowed the LymphGen algorithm to successfully classify 11/55 cases (1 - BN2, 7 - EZB, 1 - MCD, and 2 - genetically composite EZB/N1). The total subclassification rate was 20%. On the other hand, the Two-step classifier categorized 36/55 cases, with 65.5% success (9 - BN2, 12 - EZB, 9 - MCD, 2 - N1, and 4 - ST2). Clinical correlations highlighted MCD as an aggressive subtype associated with higher relapse and mortality.</p><p><strong>Conclusions: </strong>The Two-step algorithm has a better success rate at subclassifying DLBCL cases based on genetic differences. Further improvement of the classifiers is required to increase the number of classifiable cases and thus prove their applicability in routine diagnostics.</p>\",\"PeriodicalId\":19805,\"journal\":{\"name\":\"Pathobiology\",\"volume\":\" \",\"pages\":\"245-253\"},\"PeriodicalIF\":2.0000,\"publicationDate\":\"2024-01-01\",\"publicationTypes\":\"Journal Article\",\"fieldsOfStudy\":null,\"isOpenAccess\":false,\"openAccessPdf\":\"https://www.ncbi.nlm.nih.gov/pmc/articles/PMC11309052/pdf/\",\"citationCount\":\"0\",\"resultStr\":null,\"platform\":\"Semanticscholar\",\"paperid\":null,\"PeriodicalName\":\"Pathobiology\",\"FirstCategoryId\":\"3\",\"ListUrlMain\":\"https://doi.org/10.1159/000535938\",\"RegionNum\":4,\"RegionCategory\":\"医学\",\"ArticlePicture\":[],\"TitleCN\":null,\"AbstractTextCN\":null,\"PMCID\":null,\"EPubDate\":\"2023/12/21 0:00:00\",\"PubModel\":\"Epub\",\"JCR\":\"Q3\",\"JCRName\":\"CELL BIOLOGY\",\"Score\":null,\"Total\":0}","platform":"Semanticscholar","paperid":null,"PeriodicalName":"Pathobiology","FirstCategoryId":"3","ListUrlMain":"https://doi.org/10.1159/000535938","RegionNum":4,"RegionCategory":"医学","ArticlePicture":[],"TitleCN":null,"AbstractTextCN":null,"PMCID":null,"EPubDate":"2023/12/21 0:00:00","PubModel":"Epub","JCR":"Q3","JCRName":"CELL BIOLOGY","Score":null,"Total":0}
引用次数: 0

摘要

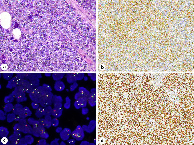
简介:弥漫大 B 细胞淋巴瘤(DLBCL)是一种异质性淋巴瘤:弥漫大B细胞淋巴瘤(DLBCL)是一种异质性实体。最近,有几种算法实现了与治疗和预后相关的 DLBCL 亚分类:方法:通过免疫组化(IHC)、BCL2、BCL6 和 MYC 基因座的荧光原位杂交(FISH)以及全面的高通量测序(HTS),对 74 例常规 DLBCL 病例进行了广泛的特征描述。根据发现的基因改变,使用两种概率工具(LymphGen 和两步分类法)对病例进行了重新分类,以便对两种模型进行比较:Hans和Tally基于IHC的总体亚分类成功率分别为96%和82%。HTS和FISH数据使LymphGen算法成功地对11/55例病例进行了分类(1例--BN2,7例--EZB,1例--MCD,2例--基因复合EZB/N1)。总的亚分类率为 20%。另一方面,两步分类法对 36/55 个病例进行了分类,成功率为 65.5%(9 个 BN2、12 个 EZB、9 个 MCD、2 个 N1 和 4 个 ST2)。临床相关性表明,MCD是一种侵袭性亚型,复发率和死亡率较高:结论:两步算法在根据基因差异对DLBCL病例进行亚分类方面具有较高的成功率。需要进一步改进分类器,以增加可分类病例的数量,从而证明其在常规诊断中的适用性。
本文章由计算机程序翻译,如有差异,请以英文原文为准。

Molecular Characterization and Genetic Subclassification Comparison of Diffuse Large B-Cell Lymphoma: Real-Life Experience with 74 Cases.

Molecular Characterization and Genetic Subclassification Comparison of Diffuse Large B-Cell Lymphoma: Real-Life Experience with 74 Cases.

Molecular Characterization and Genetic Subclassification Comparison of Diffuse Large B-Cell Lymphoma: Real-Life Experience with 74 Cases.

Molecular Characterization and Genetic Subclassification Comparison of Diffuse Large B-Cell Lymphoma: Real-Life Experience with 74 Cases.

Introduction: Diffuse large B-cell lymphoma (DLBCL) is a heterogeneous entity. Lately, several algorithms achieving therapeutically and prognostically relevant DLBCL subclassification have been published.

Methods: A cohort of 74 routine DLBCL cases was broadly characterized by immunohistochemistry (IHC), fluorescence in situ hybridization (FISH) of the BCL2, BCL6, and MYC loci, and comprehensive high-throughput sequencing (HTS). Based on the genetic alterations found, cases were reclassified using two probabilistic tools - LymphGen and Two-step classifier, allowing for comparison of the two models.

Results: Hans and Tally's overall IHC-based subclassification success rate was 96% and 82%, respectively. HTS and FISH data allowed the LymphGen algorithm to successfully classify 11/55 cases (1 - BN2, 7 - EZB, 1 - MCD, and 2 - genetically composite EZB/N1). The total subclassification rate was 20%. On the other hand, the Two-step classifier categorized 36/55 cases, with 65.5% success (9 - BN2, 12 - EZB, 9 - MCD, 2 - N1, and 4 - ST2). Clinical correlations highlighted MCD as an aggressive subtype associated with higher relapse and mortality.

Conclusions: The Two-step algorithm has a better success rate at subclassifying DLBCL cases based on genetic differences. Further improvement of the classifiers is required to increase the number of classifiable cases and thus prove their applicability in routine diagnostics.

求助全文
通过发布文献求助,成功后即可免费获取论文全文。 去求助
来源期刊
Pathobiology
Pathobiology 医学-病理学
CiteScore
8.50
自引率
0.00%
发文量
47
审稿时长
>12 weeks
期刊介绍: ''Pathobiology'' offers a valuable platform for the publication of high-quality original research into the mechanisms underlying human disease. Aiming to serve as a bridge between basic biomedical research and clinical medicine, the journal welcomes articles from scientific areas such as pathology, oncology, anatomy, virology, internal medicine, surgery, cell and molecular biology, and immunology. Published bimonthly, ''Pathobiology'' features original research papers and reviews on translational research. The journal offers the possibility to publish proceedings of meetings dedicated to one particular topic.
×
引用
GB/T 7714-2015
复制
MLA
复制
APA
复制
导出至
BibTeX EndNote RefMan NoteFirst NoteExpress
×
提示
您的信息不完整,为了账户安全,请先补充。
现在去补充
×
提示
您因"违规操作"
具体请查看互助需知
我知道了
×
提示
确定
请完成安全验证×
copy
已复制链接
快去分享给好友吧!
我知道了
右上角分享
点击右上角分享
0
联系我们:info@booksci.cn Book学术提供免费学术资源搜索服务,方便国内外学者检索中英文文献。致力于提供最便捷和优质的服务体验。 Copyright © 2023 布克学术 All rights reserved.
京ICP备2023020795号-1
ghs 京公网安备 11010802042870号
Book学术文献互助
Book学术文献互助群
群 号:604180095
Book学术官方微信