将颈动脉血流时间与侵入性监测相比,作为 ICU 患者血容量反应性的预测指标。

POCUS journal Pub Date : 2023-11-27 eCollection Date: 2023-01-01 DOI:10.24908/pocus.v8i2.16545
Tomislav Jelic, Jordan Chenkin
{"title":"将颈动脉血流时间与侵入性监测相比,作为 ICU 患者血容量反应性的预测指标。","authors":"Tomislav Jelic, Jordan Chenkin","doi":"10.24908/pocus.v8i2.16545","DOIUrl":null,"url":null,"abstract":"<p><p><b>Objectives</b><b>:</b> Identifying patients who will have an increase in their cardiac output from volume administration is difficult to identify. We propose the use of carotid flow time, which is a non-invasive means to determine if a patient is volume responsive. <b>Methods</b><b>:</b> Patients admitted to a critical care unit with a pulmonary artery catheter in place were enrolled. We perform a carotid flow time and pulmonary artery catheter measurement of cardiac output pre and post-passive leg raise and comparing the two. An increase of 10% change in the pre- vs. post-passive leg raise measurement would be indicative of a patient who is volume responsive. <b>Results</b><b>:</b> We identified 8 patients who were volume responsive as determined by the gold standard pulmonary artery catheter. The sensitivity 87.5% and specificity 90.9%. Pearson correlation coefficient between PA-CO measurements and CFT was r=0.8316, indicative of strong correlation between the two measurements. <b>Conclusion</b><b>:</b> In our patient sample of critically ill patients with pulmonary artery catheters, we found a strong correlation between corrected carotid flow times and cardiac output measurements from pulmonary artery catheters.</p>","PeriodicalId":74470,"journal":{"name":"POCUS journal","volume":"8 2","pages":"212-216"},"PeriodicalIF":0.0000,"publicationDate":"2023-11-27","publicationTypes":"Journal Article","fieldsOfStudy":null,"isOpenAccess":false,"openAccessPdf":"https://www.ncbi.nlm.nih.gov/pmc/articles/PMC10723903/pdf/","citationCount":"0","resultStr":"{\"title\":\"Carotid Flow Time Compared with Invasive Monitoring as a Predictor of Volume Responsiveness in ICU patients.\",\"authors\":\"Tomislav Jelic, Jordan Chenkin\",\"doi\":\"10.24908/pocus.v8i2.16545\",\"DOIUrl\":null,\"url\":null,\"abstract\":\"<p><p><b>Objectives</b><b>:</b> Identifying patients who will have an increase in their cardiac output from volume administration is difficult to identify. We propose the use of carotid flow time, which is a non-invasive means to determine if a patient is volume responsive. <b>Methods</b><b>:</b> Patients admitted to a critical care unit with a pulmonary artery catheter in place were enrolled. We perform a carotid flow time and pulmonary artery catheter measurement of cardiac output pre and post-passive leg raise and comparing the two. An increase of 10% change in the pre- vs. post-passive leg raise measurement would be indicative of a patient who is volume responsive. <b>Results</b><b>:</b> We identified 8 patients who were volume responsive as determined by the gold standard pulmonary artery catheter. The sensitivity 87.5% and specificity 90.9%. Pearson correlation coefficient between PA-CO measurements and CFT was r=0.8316, indicative of strong correlation between the two measurements. <b>Conclusion</b><b>:</b> In our patient sample of critically ill patients with pulmonary artery catheters, we found a strong correlation between corrected carotid flow times and cardiac output measurements from pulmonary artery catheters.</p>\",\"PeriodicalId\":74470,\"journal\":{\"name\":\"POCUS journal\",\"volume\":\"8 2\",\"pages\":\"212-216\"},\"PeriodicalIF\":0.0000,\"publicationDate\":\"2023-11-27\",\"publicationTypes\":\"Journal Article\",\"fieldsOfStudy\":null,\"isOpenAccess\":false,\"openAccessPdf\":\"https://www.ncbi.nlm.nih.gov/pmc/articles/PMC10723903/pdf/\",\"citationCount\":\"0\",\"resultStr\":null,\"platform\":\"Semanticscholar\",\"paperid\":null,\"PeriodicalName\":\"POCUS journal\",\"FirstCategoryId\":\"1085\",\"ListUrlMain\":\"https://doi.org/10.24908/pocus.v8i2.16545\",\"RegionNum\":0,\"RegionCategory\":null,\"ArticlePicture\":[],\"TitleCN\":null,\"AbstractTextCN\":null,\"PMCID\":null,\"EPubDate\":\"2023/1/1 0:00:00\",\"PubModel\":\"eCollection\",\"JCR\":\"\",\"JCRName\":\"\",\"Score\":null,\"Total\":0}","platform":"Semanticscholar","paperid":null,"PeriodicalName":"POCUS journal","FirstCategoryId":"1085","ListUrlMain":"https://doi.org/10.24908/pocus.v8i2.16545","RegionNum":0,"RegionCategory":null,"ArticlePicture":[],"TitleCN":null,"AbstractTextCN":null,"PMCID":null,"EPubDate":"2023/1/1 0:00:00","PubModel":"eCollection","JCR":"","JCRName":"","Score":null,"Total":0}
引用次数: 0

摘要

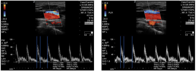
目标:很难确定哪些患者的心输出量会因容量管理而增加。我们建议使用颈动脉血流时间,这是确定患者是否对容量有反应的一种非侵入性方法。方法我们选取了入住重症监护病房并安装了肺动脉导管的患者。我们对被动抬腿前后的心输出量进行颈动脉流速时间和肺动脉导管测量,并将两者进行比较。被动抬腿前与被动抬腿后的测量值若增加 10%,则表明患者对容量有反应。结果:通过金标准肺动脉导管的测定,我们确定了 8 名患者有容量反应。敏感性为 87.5%,特异性为 90.9%。PA-CO 测量值与 CFT 之间的皮尔逊相关系数为 r=0.8316,表明这两种测量值之间具有很强的相关性。结论在使用肺动脉导管的重症患者样本中,我们发现颈动脉血流校正时间与肺动脉导管的心输出量测量值之间存在很强的相关性。
本文章由计算机程序翻译,如有差异,请以英文原文为准。

Carotid Flow Time Compared with Invasive Monitoring as a Predictor of Volume Responsiveness in ICU patients.

Carotid Flow Time Compared with Invasive Monitoring as a Predictor of Volume Responsiveness in ICU patients.

Carotid Flow Time Compared with Invasive Monitoring as a Predictor of Volume Responsiveness in ICU patients.

Objectives: Identifying patients who will have an increase in their cardiac output from volume administration is difficult to identify. We propose the use of carotid flow time, which is a non-invasive means to determine if a patient is volume responsive. Methods: Patients admitted to a critical care unit with a pulmonary artery catheter in place were enrolled. We perform a carotid flow time and pulmonary artery catheter measurement of cardiac output pre and post-passive leg raise and comparing the two. An increase of 10% change in the pre- vs. post-passive leg raise measurement would be indicative of a patient who is volume responsive. Results: We identified 8 patients who were volume responsive as determined by the gold standard pulmonary artery catheter. The sensitivity 87.5% and specificity 90.9%. Pearson correlation coefficient between PA-CO measurements and CFT was r=0.8316, indicative of strong correlation between the two measurements. Conclusion: In our patient sample of critically ill patients with pulmonary artery catheters, we found a strong correlation between corrected carotid flow times and cardiac output measurements from pulmonary artery catheters.

求助全文
通过发布文献求助,成功后即可免费获取论文全文。 去求助
来源期刊
自引率
0.00%
发文量
0
×
引用
GB/T 7714-2015
复制
MLA
复制
APA
复制
导出至
BibTeX EndNote RefMan NoteFirst NoteExpress
×
提示
您的信息不完整,为了账户安全,请先补充。
现在去补充
×
提示
您因"违规操作"
具体请查看互助需知
我知道了
×
提示
确定
请完成安全验证×
copy
已复制链接
快去分享给好友吧!
我知道了
右上角分享
点击右上角分享
0
联系我们:info@booksci.cn Book学术提供免费学术资源搜索服务,方便国内外学者检索中英文文献。致力于提供最便捷和优质的服务体验。 Copyright © 2023 布克学术 All rights reserved.
京ICP备2023020795号-1
ghs 京公网安备 11010802042870号
Book学术文献互助
Book学术文献互助群
群 号:604180095
Book学术官方微信