莪术苷通过调节 NLRP3 通路抑制骨关节炎

IF 2.1 4区 生物学 Q4 CELL BIOLOGY
Xufei Wang, Yinlian Liu, Yongnian Zhou, Yang Zhou, Yueping Li
{"title":"莪术苷通过调节 NLRP3 通路抑制骨关节炎","authors":"Xufei Wang, Yinlian Liu, Yongnian Zhou, Yang Zhou, Yueping Li","doi":"10.4081/ejh.2023.3896","DOIUrl":null,"url":null,"abstract":"<p><p>Osteoarthritis (OA) is characterized by degenerative articular cartilage. Nucleotide-binding oligomerization domain-like receptor containing pyrin domain 3 (NLRP3) plays an important role in inflammation. This study aims to investigate whether protective effects of curculigoside on OA are medicated by the regulation of NLRP3 pathway. Destabilization of the medial meniscus (DMM) was performed to build an OA mouse model. After surgery, OA mice were treated with curculigoside. Immunohistochemistry was conducted to evaluate OA cartilage. In addition, human chondrocytes were isolated and treated with curculigoside. The mRNA and protein expression of iNOS, MMP-9, NLRP3 was detected by PCR and Western blot analysis. Curculigoside inhibited mRNA and protein levels of iNOS and MMP-9 induced by DMM surgery in a dose-dependent manner. Furthermore, the expression of NLRP3, NF-κB and PKR was downregulated after curculigoside administration. Moreover, curculigoside reversed the effects of IL-1β on MMP-9, iNOS and type II collagen expression at mRNA and protein levels in human chondrocytes in a dose-dependent manner. In conclusion, curculigoside exhibits beneficial effect on cartilage via the inhibition of NLRP3 pathway.</p>","PeriodicalId":50487,"journal":{"name":"European Journal of Histochemistry","volume":"67 4","pages":""},"PeriodicalIF":2.1000,"publicationDate":"2023-12-13","publicationTypes":"Journal Article","fieldsOfStudy":null,"isOpenAccess":false,"openAccessPdf":"https://www.ncbi.nlm.nih.gov/pmc/articles/PMC10773194/pdf/","citationCount":"0","resultStr":"{\"title\":\"Curculigoside inhibits osteoarthritis <em>via</em> the regulation of NLRP3 pathway.\",\"authors\":\"Xufei Wang, Yinlian Liu, Yongnian Zhou, Yang Zhou, Yueping Li\",\"doi\":\"10.4081/ejh.2023.3896\",\"DOIUrl\":null,\"url\":null,\"abstract\":\"<p><p>Osteoarthritis (OA) is characterized by degenerative articular cartilage. Nucleotide-binding oligomerization domain-like receptor containing pyrin domain 3 (NLRP3) plays an important role in inflammation. This study aims to investigate whether protective effects of curculigoside on OA are medicated by the regulation of NLRP3 pathway. Destabilization of the medial meniscus (DMM) was performed to build an OA mouse model. After surgery, OA mice were treated with curculigoside. Immunohistochemistry was conducted to evaluate OA cartilage. In addition, human chondrocytes were isolated and treated with curculigoside. The mRNA and protein expression of iNOS, MMP-9, NLRP3 was detected by PCR and Western blot analysis. Curculigoside inhibited mRNA and protein levels of iNOS and MMP-9 induced by DMM surgery in a dose-dependent manner. Furthermore, the expression of NLRP3, NF-κB and PKR was downregulated after curculigoside administration. Moreover, curculigoside reversed the effects of IL-1β on MMP-9, iNOS and type II collagen expression at mRNA and protein levels in human chondrocytes in a dose-dependent manner. In conclusion, curculigoside exhibits beneficial effect on cartilage via the inhibition of NLRP3 pathway.</p>\",\"PeriodicalId\":50487,\"journal\":{\"name\":\"European Journal of Histochemistry\",\"volume\":\"67 4\",\"pages\":\"\"},\"PeriodicalIF\":2.1000,\"publicationDate\":\"2023-12-13\",\"publicationTypes\":\"Journal Article\",\"fieldsOfStudy\":null,\"isOpenAccess\":false,\"openAccessPdf\":\"https://www.ncbi.nlm.nih.gov/pmc/articles/PMC10773194/pdf/\",\"citationCount\":\"0\",\"resultStr\":null,\"platform\":\"Semanticscholar\",\"paperid\":null,\"PeriodicalName\":\"European Journal of Histochemistry\",\"FirstCategoryId\":\"99\",\"ListUrlMain\":\"https://doi.org/10.4081/ejh.2023.3896\",\"RegionNum\":4,\"RegionCategory\":\"生物学\",\"ArticlePicture\":[],\"TitleCN\":null,\"AbstractTextCN\":null,\"PMCID\":null,\"EPubDate\":\"\",\"PubModel\":\"\",\"JCR\":\"Q4\",\"JCRName\":\"CELL BIOLOGY\",\"Score\":null,\"Total\":0}","platform":"Semanticscholar","paperid":null,"PeriodicalName":"European Journal of Histochemistry","FirstCategoryId":"99","ListUrlMain":"https://doi.org/10.4081/ejh.2023.3896","RegionNum":4,"RegionCategory":"生物学","ArticlePicture":[],"TitleCN":null,"AbstractTextCN":null,"PMCID":null,"EPubDate":"","PubModel":"","JCR":"Q4","JCRName":"CELL BIOLOGY","Score":null,"Total":0}
引用次数: 0

摘要

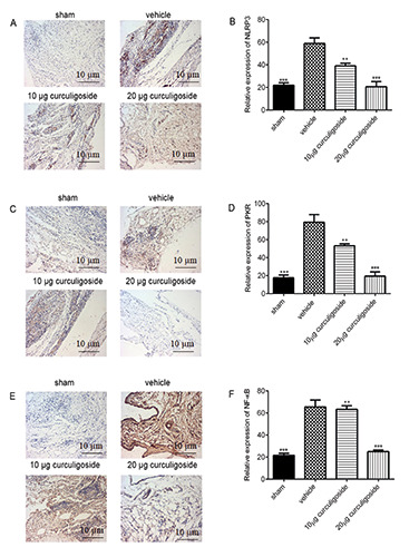
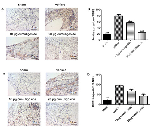
骨关节炎(OA)的特点是关节软骨退化。核苷酸结合寡聚化结构域样受体(Nucleotide-binding oligomerization domain-like receptor containing pyrin domain 3,NLRP3)在炎症中发挥着重要作用。本研究旨在探讨莪术苷对 OA 的保护作用是否可通过调节 NLRP3 通路来实现。研究人员通过破坏内侧半月板(DMM)来建立 OA 小鼠模型。手术后,OA小鼠接受姜黄苷治疗。免疫组化对 OA 软骨进行了评估。此外,还分离了人软骨细胞并用姜黄苷处理。PCR和Western印迹分析检测了iNOS、MMP-9和NLRP3的mRNA和蛋白表达。莪术甙能以剂量依赖性的方式抑制DMM手术诱导的iNOS和MMP-9的mRNA和蛋白水平。此外,服用莪术甙后,NLRP3、NF-κB 和 PKR 的表达均有所下降。此外,姜黄苷还能以剂量依赖的方式逆转 IL-1β 对人软骨细胞中 MMP-9、iNOS 和 II 型胶原 mRNA 和蛋白表达的影响。总之,莪术苷可通过抑制 NLRP3 通路对软骨产生有益影响。
本文章由计算机程序翻译,如有差异,请以英文原文为准。

Curculigoside inhibits osteoarthritis <em>via</em> the regulation of NLRP3 pathway.

Curculigoside inhibits osteoarthritis <em>via</em> the regulation of NLRP3 pathway.

Curculigoside inhibits osteoarthritis <em>via</em> the regulation of NLRP3 pathway.

Curculigoside inhibits osteoarthritis via the regulation of NLRP3 pathway.

Osteoarthritis (OA) is characterized by degenerative articular cartilage. Nucleotide-binding oligomerization domain-like receptor containing pyrin domain 3 (NLRP3) plays an important role in inflammation. This study aims to investigate whether protective effects of curculigoside on OA are medicated by the regulation of NLRP3 pathway. Destabilization of the medial meniscus (DMM) was performed to build an OA mouse model. After surgery, OA mice were treated with curculigoside. Immunohistochemistry was conducted to evaluate OA cartilage. In addition, human chondrocytes were isolated and treated with curculigoside. The mRNA and protein expression of iNOS, MMP-9, NLRP3 was detected by PCR and Western blot analysis. Curculigoside inhibited mRNA and protein levels of iNOS and MMP-9 induced by DMM surgery in a dose-dependent manner. Furthermore, the expression of NLRP3, NF-κB and PKR was downregulated after curculigoside administration. Moreover, curculigoside reversed the effects of IL-1β on MMP-9, iNOS and type II collagen expression at mRNA and protein levels in human chondrocytes in a dose-dependent manner. In conclusion, curculigoside exhibits beneficial effect on cartilage via the inhibition of NLRP3 pathway.

求助全文
通过发布文献求助,成功后即可免费获取论文全文。 去求助
来源期刊
European Journal of Histochemistry
European Journal of Histochemistry 生物-细胞生物学
CiteScore
3.70
自引率
5.00%
发文量
47
审稿时长
3 months
期刊介绍: The Journal publishes original papers concerning investigations by histochemical and immunohistochemical methods, and performed with the aid of light, super-resolution and electron microscopy, cytometry and imaging techniques. Coverage extends to: functional cell and tissue biology in animals and plants; cell differentiation and death; cell-cell interaction and molecular trafficking; biology of cell development and senescence; nerve and muscle cell biology; cellular basis of diseases. The histochemical approach is nowadays essentially aimed at locating molecules in the very place where they exert their biological roles, and at describing dynamically specific chemical activities in living cells. Basic research on cell functional organization is essential for understanding the mechanisms underlying major biological processes such as differentiation, the control of tissue homeostasis, and the regulation of normal and tumor cell growth. Even more than in the past, the European Journal of Histochemistry, as a journal of functional cytology, represents the venue where cell scientists may present and discuss their original results, technical improvements and theories.
×
引用
GB/T 7714-2015
复制
MLA
复制
APA
复制
导出至
BibTeX EndNote RefMan NoteFirst NoteExpress
×
提示
您的信息不完整,为了账户安全,请先补充。
现在去补充
×
提示
您因"违规操作"
具体请查看互助需知
我知道了
×
提示
确定
请完成安全验证×
copy
已复制链接
快去分享给好友吧!
我知道了
右上角分享
点击右上角分享
0
联系我们:info@booksci.cn Book学术提供免费学术资源搜索服务,方便国内外学者检索中英文文献。致力于提供最便捷和优质的服务体验。 Copyright © 2023 布克学术 All rights reserved.
京ICP备2023020795号-1
ghs 京公网安备 11010802042870号
Book学术文献互助
Book学术文献互助群
群 号:604180095
Book学术官方微信