鼻中隔孤立性纤维瘤(SFT)的罕见病例。

Q3 Medicine
Davide Burrascano, Salvatore Dolores, Angelo Immordino, Francesco Lorusso, Francesco Dispenza, Federico Sireci
{"title":"鼻中隔孤立性纤维瘤(SFT)的罕见病例。","authors":"Davide Burrascano, Salvatore Dolores, Angelo Immordino, Francesco Lorusso, Francesco Dispenza, Federico Sireci","doi":"10.22038/IJORL.2023.72285.3450","DOIUrl":null,"url":null,"abstract":"<p><strong>Introduction: </strong>Solitary fibrous tumor (SFT) is a rare mesenchymal tumor that usually arises from the pleura but can also occur in extrapleural sites, such as the sinonasal region. It causes aspecific symptoms, including nasal obstruction and discharge, postnasal drip, anosmia, epistaxis, and headache. It may be difficult to distinguish these symptoms from those caused by other mesenchymal lesions that usually occur in this site, especially when the tissues undergo iatrogenic damage following surgical removal.</p><p><strong>Case report: </strong>This case report shows a rare right nasal septal solitary fibrous tumor, which was surgically removed using a trans-nasal endoscopic technique. For the first time, the mass was decomposed by a plasma blade, and the implant site was treated by performing a subperiosteal removal of septal mucosa and cartilage. Histopathological examination confirmed the diagnosis of solitary fibrous tumor. Follow-up at three, six, and twelve months showed no signs of relapse.</p><p><strong>Conclusions: </strong>Sinonasal SFT is unusual, and it may be difficult to distinguish it from other mesenchymal lesions in this site. In the literature, cases treated with CO<sub>2</sub> laser are usually described; however, due to the high cutting temperatures, this can cause thermal damage of the tissues, making histopathological diagnosis difficult. The plasma blade uses pulsed radiofrequency, creating an effective cutting edge while the blade stays near body temperature. Therefore, this device results in atraumatic, scalpel-like cutting sensitivity and electrosurgical-like hemostasis, with minimal bleeding and tissue injury. Its use could, therefore, help both the surgeon in obtaining surgical radicality and the pathologist in the correct histologic classification.</p>","PeriodicalId":14607,"journal":{"name":"Iranian Journal of Otorhinolaryngology","volume":"35 131","pages":"329-334"},"PeriodicalIF":0.0000,"publicationDate":"2023-11-01","publicationTypes":"Journal Article","fieldsOfStudy":null,"isOpenAccess":false,"openAccessPdf":"https://www.ncbi.nlm.nih.gov/pmc/articles/PMC10701246/pdf/","citationCount":"0","resultStr":"{\"title\":\"A Rare Case of Solitary Fibrosus Tumor (SFT) of the Nasal Septum.\",\"authors\":\"Davide Burrascano, Salvatore Dolores, Angelo Immordino, Francesco Lorusso, Francesco Dispenza, Federico Sireci\",\"doi\":\"10.22038/IJORL.2023.72285.3450\",\"DOIUrl\":null,\"url\":null,\"abstract\":\"<p><strong>Introduction: </strong>Solitary fibrous tumor (SFT) is a rare mesenchymal tumor that usually arises from the pleura but can also occur in extrapleural sites, such as the sinonasal region. It causes aspecific symptoms, including nasal obstruction and discharge, postnasal drip, anosmia, epistaxis, and headache. It may be difficult to distinguish these symptoms from those caused by other mesenchymal lesions that usually occur in this site, especially when the tissues undergo iatrogenic damage following surgical removal.</p><p><strong>Case report: </strong>This case report shows a rare right nasal septal solitary fibrous tumor, which was surgically removed using a trans-nasal endoscopic technique. For the first time, the mass was decomposed by a plasma blade, and the implant site was treated by performing a subperiosteal removal of septal mucosa and cartilage. Histopathological examination confirmed the diagnosis of solitary fibrous tumor. Follow-up at three, six, and twelve months showed no signs of relapse.</p><p><strong>Conclusions: </strong>Sinonasal SFT is unusual, and it may be difficult to distinguish it from other mesenchymal lesions in this site. In the literature, cases treated with CO<sub>2</sub> laser are usually described; however, due to the high cutting temperatures, this can cause thermal damage of the tissues, making histopathological diagnosis difficult. The plasma blade uses pulsed radiofrequency, creating an effective cutting edge while the blade stays near body temperature. Therefore, this device results in atraumatic, scalpel-like cutting sensitivity and electrosurgical-like hemostasis, with minimal bleeding and tissue injury. Its use could, therefore, help both the surgeon in obtaining surgical radicality and the pathologist in the correct histologic classification.</p>\",\"PeriodicalId\":14607,\"journal\":{\"name\":\"Iranian Journal of Otorhinolaryngology\",\"volume\":\"35 131\",\"pages\":\"329-334\"},\"PeriodicalIF\":0.0000,\"publicationDate\":\"2023-11-01\",\"publicationTypes\":\"Journal Article\",\"fieldsOfStudy\":null,\"isOpenAccess\":false,\"openAccessPdf\":\"https://www.ncbi.nlm.nih.gov/pmc/articles/PMC10701246/pdf/\",\"citationCount\":\"0\",\"resultStr\":null,\"platform\":\"Semanticscholar\",\"paperid\":null,\"PeriodicalName\":\"Iranian Journal of Otorhinolaryngology\",\"FirstCategoryId\":\"1085\",\"ListUrlMain\":\"https://doi.org/10.22038/IJORL.2023.72285.3450\",\"RegionNum\":0,\"RegionCategory\":null,\"ArticlePicture\":[],\"TitleCN\":null,\"AbstractTextCN\":null,\"PMCID\":null,\"EPubDate\":\"\",\"PubModel\":\"\",\"JCR\":\"Q3\",\"JCRName\":\"Medicine\",\"Score\":null,\"Total\":0}","platform":"Semanticscholar","paperid":null,"PeriodicalName":"Iranian Journal of Otorhinolaryngology","FirstCategoryId":"1085","ListUrlMain":"https://doi.org/10.22038/IJORL.2023.72285.3450","RegionNum":0,"RegionCategory":null,"ArticlePicture":[],"TitleCN":null,"AbstractTextCN":null,"PMCID":null,"EPubDate":"","PubModel":"","JCR":"Q3","JCRName":"Medicine","Score":null,"Total":0}
引用次数: 0

摘要

导言:孤立性纤维瘤(SFT)是一种罕见的间质肿瘤,通常发生于胸膜,但也可发生于胸膜外部位,如鼻窦部位。它可引起特殊症状,包括鼻塞和流鼻涕、鼻后滴漏、鼻衄和头痛。可能很难将这些症状与通常发生在该部位的其他间质病变所引起的症状区分开来,尤其是在手术切除后组织受到先天性损伤的情况下:本病例报告显示了一个罕见的右鼻中隔单发纤维性肿瘤,该肿瘤通过经鼻内窥镜技术进行了手术切除。首次使用等离子刀分解了肿块,并通过骨膜下切除鼻中隔粘膜和软骨对植入部位进行了处理。组织病理学检查确诊为单发纤维瘤。三个月、六个月和十二个月的随访显示没有复发迹象:结论:鼻窦单发纤维瘤并不常见,可能很难将其与该部位的其他间质病变区分开来。文献中通常描述使用二氧化碳激光治疗的病例,但由于切割温度较高,可能会对组织造成热损伤,导致组织病理学诊断困难。等离子刀片使用脉冲射频,在刀片保持接近体温的情况下形成有效的切割刃。因此,该设备具有无创伤、类似手术刀的切割灵敏度和类似电外科手术的止血效果,出血和组织损伤极小。因此,它的使用既有助于外科医生获得手术根治性,也有助于病理学家进行正确的组织学分类。
本文章由计算机程序翻译,如有差异,请以英文原文为准。

A Rare Case of Solitary Fibrosus Tumor (SFT) of the Nasal Septum.

A Rare Case of Solitary Fibrosus Tumor (SFT) of the Nasal Septum.

A Rare Case of Solitary Fibrosus Tumor (SFT) of the Nasal Septum.

A Rare Case of Solitary Fibrosus Tumor (SFT) of the Nasal Septum.

Introduction: Solitary fibrous tumor (SFT) is a rare mesenchymal tumor that usually arises from the pleura but can also occur in extrapleural sites, such as the sinonasal region. It causes aspecific symptoms, including nasal obstruction and discharge, postnasal drip, anosmia, epistaxis, and headache. It may be difficult to distinguish these symptoms from those caused by other mesenchymal lesions that usually occur in this site, especially when the tissues undergo iatrogenic damage following surgical removal.

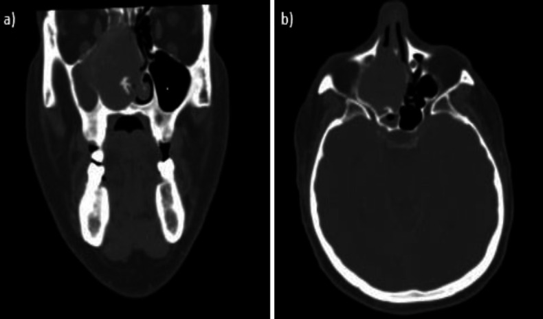
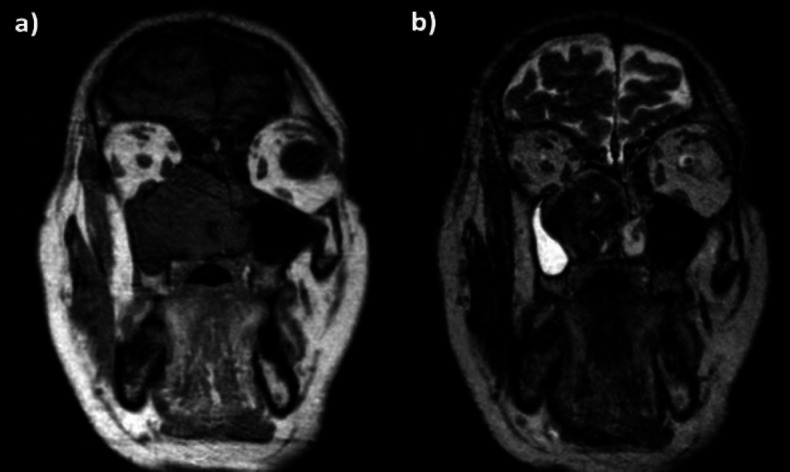
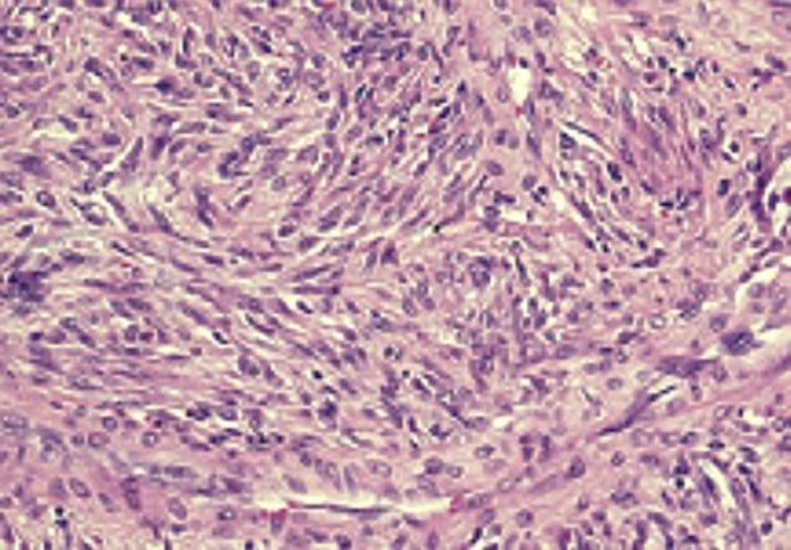
Case report: This case report shows a rare right nasal septal solitary fibrous tumor, which was surgically removed using a trans-nasal endoscopic technique. For the first time, the mass was decomposed by a plasma blade, and the implant site was treated by performing a subperiosteal removal of septal mucosa and cartilage. Histopathological examination confirmed the diagnosis of solitary fibrous tumor. Follow-up at three, six, and twelve months showed no signs of relapse.

Conclusions: Sinonasal SFT is unusual, and it may be difficult to distinguish it from other mesenchymal lesions in this site. In the literature, cases treated with CO2 laser are usually described; however, due to the high cutting temperatures, this can cause thermal damage of the tissues, making histopathological diagnosis difficult. The plasma blade uses pulsed radiofrequency, creating an effective cutting edge while the blade stays near body temperature. Therefore, this device results in atraumatic, scalpel-like cutting sensitivity and electrosurgical-like hemostasis, with minimal bleeding and tissue injury. Its use could, therefore, help both the surgeon in obtaining surgical radicality and the pathologist in the correct histologic classification.

求助全文
通过发布文献求助,成功后即可免费获取论文全文。 去求助
来源期刊
Iranian Journal of Otorhinolaryngology
Iranian Journal of Otorhinolaryngology Medicine-Otorhinolaryngology
CiteScore
1.30
自引率
0.00%
发文量
72
审稿时长
12 weeks
×
引用
GB/T 7714-2015
复制
MLA
复制
APA
复制
导出至
BibTeX EndNote RefMan NoteFirst NoteExpress
×
提示
您的信息不完整,为了账户安全,请先补充。
现在去补充
×
提示
您因"违规操作"
具体请查看互助需知
我知道了
×
提示
确定
请完成安全验证×
copy
已复制链接
快去分享给好友吧!
我知道了
右上角分享
点击右上角分享
0
联系我们:info@booksci.cn Book学术提供免费学术资源搜索服务,方便国内外学者检索中英文文献。致力于提供最便捷和优质的服务体验。 Copyright © 2023 布克学术 All rights reserved.
京ICP备2023020795号-1
ghs 京公网安备 11010802042870号
Book学术文献互助
Book学术文献互助群
群 号:604180095
Book学术官方微信