肥胖是脑卒中后远端缺血后适应介导的神经保护的限制因素。

IF 7.9 Q1 ENDOCRINOLOGY & METABOLISM
Journal of Obesity & Metabolic Syndrome Pub Date : 2024-03-30 Epub Date: 2023-12-05 DOI:10.7570/jomes23038
Klaudia Kotorová, Jana Končeková, Miroslav Gottlieb, Martin Bona, Petra Bonová
{"title":"肥胖是脑卒中后远端缺血后适应介导的神经保护的限制因素。","authors":"Klaudia Kotorová, Jana Končeková, Miroslav Gottlieb, Martin Bona, Petra Bonová","doi":"10.7570/jomes23038","DOIUrl":null,"url":null,"abstract":"<p><strong>Background: </strong>Remote ischemic postconditioning (RIPostC) may protect the brain from ischemia/reperfusion (I/R) injury. The association between RIPostC and obesity has not yet been extensively studied.</p><p><strong>Methods: </strong>Twelve-week-old male Zucker diabetic fatty (ZDF; n=68) and Zucker diabetic lean (ZDL; n=51) rats were subjected to focal cerebral ischemia for 90 minutes, followed by 24 hours of reperfusion. RIPostC was performed with 5-minute I/R cycles using a tourniquet on the right hind limb.</p><p><strong>Results: </strong>The results showed a negative association between obesity and neurological impairment in ischemic animals. We observed a 70% greater infarct size in ZDF rats compared with their lean counterparts, as evaluated by 2,3,5-triphenyltetrazolium chloride staining. To measure the total fragmented DNA in peripheral lymphocytes, comet assay was performed. Obese rats exhibited higher levels of DNA damage (by approximately 135%) in peripheral blood lymphocytes even before the induction of stroke. RIPostC did not attenuate oxidative stress in the blood in obese rats subjected to ischemia. Focal cerebral ischemia increased core and penumbra tissue glutamate release in the brain and decreased it in the blood of ischemic ZDL rats, and these changes improved following RIPostC treatment. However, changes in blood and tissue glutamate content were not detected in ischemic ZDF rats or after RIPostC intervention.</p><p><strong>Conclusion: </strong>Our findings suggest that obese animals respond more severely to ischemia-reperfusion brain injury. However, obese animals did not achieve neuroprotective benefits of RIPostC treatment.</p>","PeriodicalId":45386,"journal":{"name":"Journal of Obesity & Metabolic Syndrome","volume":" ","pages":"76-87"},"PeriodicalIF":7.9000,"publicationDate":"2024-03-30","publicationTypes":"Journal Article","fieldsOfStudy":null,"isOpenAccess":false,"openAccessPdf":"https://www.ncbi.nlm.nih.gov/pmc/articles/PMC11000512/pdf/","citationCount":"0","resultStr":"{\"title\":\"Obesity as a Limiting Factor for Remote Ischemic Postconditioning-Mediated Neuroprotection after Stroke.\",\"authors\":\"Klaudia Kotorová, Jana Končeková, Miroslav Gottlieb, Martin Bona, Petra Bonová\",\"doi\":\"10.7570/jomes23038\",\"DOIUrl\":null,\"url\":null,\"abstract\":\"<p><strong>Background: </strong>Remote ischemic postconditioning (RIPostC) may protect the brain from ischemia/reperfusion (I/R) injury. The association between RIPostC and obesity has not yet been extensively studied.</p><p><strong>Methods: </strong>Twelve-week-old male Zucker diabetic fatty (ZDF; n=68) and Zucker diabetic lean (ZDL; n=51) rats were subjected to focal cerebral ischemia for 90 minutes, followed by 24 hours of reperfusion. RIPostC was performed with 5-minute I/R cycles using a tourniquet on the right hind limb.</p><p><strong>Results: </strong>The results showed a negative association between obesity and neurological impairment in ischemic animals. We observed a 70% greater infarct size in ZDF rats compared with their lean counterparts, as evaluated by 2,3,5-triphenyltetrazolium chloride staining. To measure the total fragmented DNA in peripheral lymphocytes, comet assay was performed. Obese rats exhibited higher levels of DNA damage (by approximately 135%) in peripheral blood lymphocytes even before the induction of stroke. RIPostC did not attenuate oxidative stress in the blood in obese rats subjected to ischemia. Focal cerebral ischemia increased core and penumbra tissue glutamate release in the brain and decreased it in the blood of ischemic ZDL rats, and these changes improved following RIPostC treatment. However, changes in blood and tissue glutamate content were not detected in ischemic ZDF rats or after RIPostC intervention.</p><p><strong>Conclusion: </strong>Our findings suggest that obese animals respond more severely to ischemia-reperfusion brain injury. However, obese animals did not achieve neuroprotective benefits of RIPostC treatment.</p>\",\"PeriodicalId\":45386,\"journal\":{\"name\":\"Journal of Obesity & Metabolic Syndrome\",\"volume\":\" \",\"pages\":\"76-87\"},\"PeriodicalIF\":7.9000,\"publicationDate\":\"2024-03-30\",\"publicationTypes\":\"Journal Article\",\"fieldsOfStudy\":null,\"isOpenAccess\":false,\"openAccessPdf\":\"https://www.ncbi.nlm.nih.gov/pmc/articles/PMC11000512/pdf/\",\"citationCount\":\"0\",\"resultStr\":null,\"platform\":\"Semanticscholar\",\"paperid\":null,\"PeriodicalName\":\"Journal of Obesity & Metabolic Syndrome\",\"FirstCategoryId\":\"1085\",\"ListUrlMain\":\"https://doi.org/10.7570/jomes23038\",\"RegionNum\":0,\"RegionCategory\":null,\"ArticlePicture\":[],\"TitleCN\":null,\"AbstractTextCN\":null,\"PMCID\":null,\"EPubDate\":\"2023/12/5 0:00:00\",\"PubModel\":\"Epub\",\"JCR\":\"Q1\",\"JCRName\":\"ENDOCRINOLOGY & METABOLISM\",\"Score\":null,\"Total\":0}","platform":"Semanticscholar","paperid":null,"PeriodicalName":"Journal of Obesity & Metabolic Syndrome","FirstCategoryId":"1085","ListUrlMain":"https://doi.org/10.7570/jomes23038","RegionNum":0,"RegionCategory":null,"ArticlePicture":[],"TitleCN":null,"AbstractTextCN":null,"PMCID":null,"EPubDate":"2023/12/5 0:00:00","PubModel":"Epub","JCR":"Q1","JCRName":"ENDOCRINOLOGY & METABOLISM","Score":null,"Total":0}
引用次数: 0

摘要

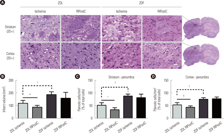
背景:远端缺血后适应(RIPostC)可以保护大脑免受缺血/再灌注(I/R)损伤。RIPostC与肥胖之间的关系尚未得到广泛研究。方法:12周龄雄性Zucker糖尿病性脂肪(ZDF);n=68)和Zucker糖尿病瘦(ZDL;51只大鼠局灶性脑缺血90分钟,再灌注24小时。右后肢使用止血带,以5分钟I/R周期进行RIPostC。结果:缺血性动物肥胖与神经功能损害呈负相关。通过2,3,5-三苯四氮氯化染色,我们观察到ZDF大鼠的梗死面积比瘦肉大70%。采用彗星法测定外周血淋巴细胞中DNA片段的总量。肥胖大鼠外周血淋巴细胞DNA损伤水平更高(约135%),甚至在中风诱导之前。RIPostC不减轻肥胖大鼠缺血后血液中的氧化应激。局灶性脑缺血增加了缺血ZDL大鼠脑核和半暗带组织谷氨酸释放,减少了血液谷氨酸释放,RIPostC治疗后这些变化得到改善。然而,缺血ZDF大鼠或RIPostC干预后,血液和组织中谷氨酸含量未见变化。结论:肥胖动物对脑缺血再灌注损伤的反应更为严重。然而,肥胖动物没有获得RIPostC治疗的神经保护作用。
本文章由计算机程序翻译,如有差异,请以英文原文为准。

Obesity as a Limiting Factor for Remote Ischemic Postconditioning-Mediated Neuroprotection after Stroke.

Obesity as a Limiting Factor for Remote Ischemic Postconditioning-Mediated Neuroprotection after Stroke.

Obesity as a Limiting Factor for Remote Ischemic Postconditioning-Mediated Neuroprotection after Stroke.

Obesity as a Limiting Factor for Remote Ischemic Postconditioning-Mediated Neuroprotection after Stroke.

Background: Remote ischemic postconditioning (RIPostC) may protect the brain from ischemia/reperfusion (I/R) injury. The association between RIPostC and obesity has not yet been extensively studied.

Methods: Twelve-week-old male Zucker diabetic fatty (ZDF; n=68) and Zucker diabetic lean (ZDL; n=51) rats were subjected to focal cerebral ischemia for 90 minutes, followed by 24 hours of reperfusion. RIPostC was performed with 5-minute I/R cycles using a tourniquet on the right hind limb.

Results: The results showed a negative association between obesity and neurological impairment in ischemic animals. We observed a 70% greater infarct size in ZDF rats compared with their lean counterparts, as evaluated by 2,3,5-triphenyltetrazolium chloride staining. To measure the total fragmented DNA in peripheral lymphocytes, comet assay was performed. Obese rats exhibited higher levels of DNA damage (by approximately 135%) in peripheral blood lymphocytes even before the induction of stroke. RIPostC did not attenuate oxidative stress in the blood in obese rats subjected to ischemia. Focal cerebral ischemia increased core and penumbra tissue glutamate release in the brain and decreased it in the blood of ischemic ZDL rats, and these changes improved following RIPostC treatment. However, changes in blood and tissue glutamate content were not detected in ischemic ZDF rats or after RIPostC intervention.

Conclusion: Our findings suggest that obese animals respond more severely to ischemia-reperfusion brain injury. However, obese animals did not achieve neuroprotective benefits of RIPostC treatment.

求助全文
通过发布文献求助,成功后即可免费获取论文全文。 去求助
来源期刊
Journal of Obesity & Metabolic Syndrome
Journal of Obesity & Metabolic Syndrome ENDOCRINOLOGY & METABOLISM-
CiteScore
8.30
自引率
9.60%
发文量
39
审稿时长
19 weeks
期刊介绍: The journal was launched in 1992 and diverse studies on obesity have been published under the title of Journal of Korean Society for the Study of Obesity until 2004. Since 2017, volume 26, the title is now the Journal of Obesity & Metabolic Syndrome (pISSN 2508-6235, eISSN 2508-7576). The journal is published quarterly on March 30th, June 30th, September 30th and December 30th. The official title of the journal is now "Journal of Obesity & Metabolic Syndrome" and the abbreviated title is "J Obes Metab Syndr". Index words from medical subject headings (MeSH) list of Index Medicus are included in each article to facilitate article search. Some or all of the articles of this journal are included in the index of PubMed, PubMed Central, Scopus, Embase, DOAJ, Ebsco, KCI, KoreaMed, KoMCI, Science Central, Crossref Metadata Search, Google Scholar, and Emerging Sources Citation Index (ESCI).
×
引用
GB/T 7714-2015
复制
MLA
复制
APA
复制
导出至
BibTeX EndNote RefMan NoteFirst NoteExpress
×
提示
您的信息不完整,为了账户安全,请先补充。
现在去补充
×
提示
您因"违规操作"
具体请查看互助需知
我知道了
×
提示
确定
请完成安全验证×
copy
已复制链接
快去分享给好友吧!
我知道了
右上角分享
点击右上角分享
0
联系我们:info@booksci.cn Book学术提供免费学术资源搜索服务,方便国内外学者检索中英文文献。致力于提供最便捷和优质的服务体验。 Copyright © 2023 布克学术 All rights reserved.
京ICP备2023020795号-1
ghs 京公网安备 11010802042870号
Book学术文献互助
Book学术文献互助群
群 号:604180095
Book学术官方微信