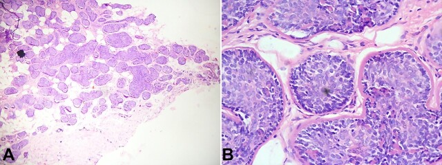
外耳道真皮圆筒状瘤。

Q4 Medicine
Autopsy and Case Reports Pub Date : 2023-10-23 eCollection Date: 2023-01-01 DOI:10.4322/acr.2023.447
Vivek Dokania, Indranil Mukherjee
{"title":"外耳道真皮圆筒状瘤。","authors":"Vivek Dokania, Indranil Mukherjee","doi":"10.4322/acr.2023.447","DOIUrl":null,"url":null,"abstract":"<p><p>External auditory canal (EAC) cylindroma is a rare tumor that mainly presents as a painless mass over the lateral aspect of the ear canal. They have been designated under different nomenclatures in the literature, and controversies persist about their etiology and histogenesis. Moreover, a clinical diagnosis of EAC cylindroma is often challenging because of their rarity and a close resemblance with other adnexal benign and malignant tumors. None of the previous authors have extensively reviewed the dermal cylindroma of the EAC. We provide an extensive review involving PubMed and Google Scholar and report by Preferred Reporting Items for Systematic Reviews and Meta-Analyses standards. A total of 8 cases are included in the current study. The mean age is 55.13 years. There are six females and two males. The left and right ear are involved in 62.50% and 37.50% of cases, respectively. The most common sign/symptom is painless mass (50%). Five authors reported a primary lesion (62.50%), while the remaining 3 reported a recurrent tumor (37.50%). Benign versus malignant cylindroma is reported in 87.50% and 12.50% of cases, respectively. All, except one case, reported a solitary swelling. Surgical excision was employed in all the cases. Primary defect closure versus defect closure with local/distant skin graft /flap is utilized in 37.50% and 62.50% of cases, respectively.</p>","PeriodicalId":53117,"journal":{"name":"Autopsy and Case Reports","volume":"13 ","pages":"e2023447"},"PeriodicalIF":0.0000,"publicationDate":"2023-10-23","publicationTypes":"Journal Article","fieldsOfStudy":null,"isOpenAccess":false,"openAccessPdf":"https://www.ncbi.nlm.nih.gov/pmc/articles/PMC10691445/pdf/","citationCount":"0","resultStr":"{\"title\":\"Dermal cylindroma of the external auditory canal.\",\"authors\":\"Vivek Dokania, Indranil Mukherjee\",\"doi\":\"10.4322/acr.2023.447\",\"DOIUrl\":null,\"url\":null,\"abstract\":\"<p><p>External auditory canal (EAC) cylindroma is a rare tumor that mainly presents as a painless mass over the lateral aspect of the ear canal. They have been designated under different nomenclatures in the literature, and controversies persist about their etiology and histogenesis. Moreover, a clinical diagnosis of EAC cylindroma is often challenging because of their rarity and a close resemblance with other adnexal benign and malignant tumors. None of the previous authors have extensively reviewed the dermal cylindroma of the EAC. We provide an extensive review involving PubMed and Google Scholar and report by Preferred Reporting Items for Systematic Reviews and Meta-Analyses standards. A total of 8 cases are included in the current study. The mean age is 55.13 years. There are six females and two males. The left and right ear are involved in 62.50% and 37.50% of cases, respectively. The most common sign/symptom is painless mass (50%). Five authors reported a primary lesion (62.50%), while the remaining 3 reported a recurrent tumor (37.50%). Benign versus malignant cylindroma is reported in 87.50% and 12.50% of cases, respectively. All, except one case, reported a solitary swelling. Surgical excision was employed in all the cases. Primary defect closure versus defect closure with local/distant skin graft /flap is utilized in 37.50% and 62.50% of cases, respectively.</p>\",\"PeriodicalId\":53117,\"journal\":{\"name\":\"Autopsy and Case Reports\",\"volume\":\"13 \",\"pages\":\"e2023447\"},\"PeriodicalIF\":0.0000,\"publicationDate\":\"2023-10-23\",\"publicationTypes\":\"Journal Article\",\"fieldsOfStudy\":null,\"isOpenAccess\":false,\"openAccessPdf\":\"https://www.ncbi.nlm.nih.gov/pmc/articles/PMC10691445/pdf/\",\"citationCount\":\"0\",\"resultStr\":null,\"platform\":\"Semanticscholar\",\"paperid\":null,\"PeriodicalName\":\"Autopsy and Case Reports\",\"FirstCategoryId\":\"1085\",\"ListUrlMain\":\"https://doi.org/10.4322/acr.2023.447\",\"RegionNum\":0,\"RegionCategory\":null,\"ArticlePicture\":[],\"TitleCN\":null,\"AbstractTextCN\":null,\"PMCID\":null,\"EPubDate\":\"2023/1/1 0:00:00\",\"PubModel\":\"eCollection\",\"JCR\":\"Q4\",\"JCRName\":\"Medicine\",\"Score\":null,\"Total\":0}","platform":"Semanticscholar","paperid":null,"PeriodicalName":"Autopsy and Case Reports","FirstCategoryId":"1085","ListUrlMain":"https://doi.org/10.4322/acr.2023.447","RegionNum":0,"RegionCategory":null,"ArticlePicture":[],"TitleCN":null,"AbstractTextCN":null,"PMCID":null,"EPubDate":"2023/1/1 0:00:00","PubModel":"eCollection","JCR":"Q4","JCRName":"Medicine","Score":null,"Total":0}
引用次数: 0

摘要

外耳道圆筒状瘤是一种罕见的肿瘤,主要表现为位于耳道外侧的无痛肿块。它们在文献中被指定为不同的命名,关于其病因和组织发生的争议持续存在。此外,EAC圆筒状瘤的临床诊断往往具有挑战性,因为其罕见且与其他附件良性和恶性肿瘤非常相似。以前的作者都没有广泛地回顾过EAC的真皮柱状瘤。我们提供包括PubMed和Google Scholar在内的广泛评论,并根据系统评论和元分析标准的首选报告项目进行报告。本研究共纳入8例。平均年龄55.13岁。有六名女性和两名男性。累及左耳和右耳的比例分别为62.50%和37.50%。最常见的体征/症状是无痛性肿块(50%)。5位作者报告原发病变(62.50%),其余3位报告复发肿瘤(37.50%)。良性和恶性圆柱状瘤分别占87.50%和12.50%。除一例外,所有病例均报告为单发肿胀。所有病例均行手术切除。原发性缺损闭合与局部/远处皮肤移植/皮瓣闭合的比例分别为37.50%和62.50%。
本文章由计算机程序翻译,如有差异,请以英文原文为准。

Dermal cylindroma of the external auditory canal.

Dermal cylindroma of the external auditory canal.

Dermal cylindroma of the external auditory canal.

Dermal cylindroma of the external auditory canal.

External auditory canal (EAC) cylindroma is a rare tumor that mainly presents as a painless mass over the lateral aspect of the ear canal. They have been designated under different nomenclatures in the literature, and controversies persist about their etiology and histogenesis. Moreover, a clinical diagnosis of EAC cylindroma is often challenging because of their rarity and a close resemblance with other adnexal benign and malignant tumors. None of the previous authors have extensively reviewed the dermal cylindroma of the EAC. We provide an extensive review involving PubMed and Google Scholar and report by Preferred Reporting Items for Systematic Reviews and Meta-Analyses standards. A total of 8 cases are included in the current study. The mean age is 55.13 years. There are six females and two males. The left and right ear are involved in 62.50% and 37.50% of cases, respectively. The most common sign/symptom is painless mass (50%). Five authors reported a primary lesion (62.50%), while the remaining 3 reported a recurrent tumor (37.50%). Benign versus malignant cylindroma is reported in 87.50% and 12.50% of cases, respectively. All, except one case, reported a solitary swelling. Surgical excision was employed in all the cases. Primary defect closure versus defect closure with local/distant skin graft /flap is utilized in 37.50% and 62.50% of cases, respectively.

求助全文
通过发布文献求助,成功后即可免费获取论文全文。 去求助
来源期刊
Autopsy and Case Reports
Autopsy and Case Reports Medicine-Internal Medicine
CiteScore
1.20
自引率
0.00%
发文量
60
审稿时长
9 weeks
×
引用
GB/T 7714-2015
复制
MLA
复制
APA
复制
导出至
BibTeX EndNote RefMan NoteFirst NoteExpress
×
提示
您的信息不完整,为了账户安全,请先补充。
现在去补充
×
提示
您因"违规操作"
具体请查看互助需知
我知道了
×
提示
确定
请完成安全验证×
copy
已复制链接
快去分享给好友吧!
我知道了
右上角分享
点击右上角分享
0
联系我们:info@booksci.cn Book学术提供免费学术资源搜索服务,方便国内外学者检索中英文文献。致力于提供最便捷和优质的服务体验。 Copyright © 2023 布克学术 All rights reserved.
京ICP备2023020795号-1
ghs 京公网安备 11010802042870号
Book学术文献互助
Book学术文献互助群
群 号:604180095
Book学术官方微信