小儿室间隔缺损闭合后主动脉假性动脉瘤1例报告及文献回顾。

IF 0.5 Q4 CARDIAC & CARDIOVASCULAR SYSTEMS
Case Reports in Cardiology Pub Date : 2023-11-23 eCollection Date: 2023-01-01 DOI:10.1155/2023/2890844
Hassan Zamani, Kourosh Vahidshahi, Mohammad Reza Khalilian, Tahmineh Tahouri, Ehsanollah Rahimi-Movaghar
{"title":"小儿室间隔缺损闭合后主动脉假性动脉瘤1例报告及文献回顾。","authors":"Hassan Zamani, Kourosh Vahidshahi, Mohammad Reza Khalilian, Tahmineh Tahouri, Ehsanollah Rahimi-Movaghar","doi":"10.1155/2023/2890844","DOIUrl":null,"url":null,"abstract":"<p><p>Aortic pseudoaneurysm, a rare condition characterized by localized transmural disruption and dilatation of the aorta, is very rare in the pediatric population. It is primarily caused by previous cardiovascular procedures such as aortic coarctation repair, aortic valve replacement, and subaortic membrane resection. We present a unique case of aortic pseudoaneurysm following surgery to repair a perimembranous ventricular septal defect in a 19-month-old boy who presented with fever as the sole symptom. The fever started on the 30th day after the surgery, and the patient exhibited abnormal laboratory results, including a white blood cell (WBC) count of 28.3 × 109/L, neutrophil percentage of 68%, platelet count of 880 × 109/L, erythrocyte sedimentation rate (ESR) of 200 mm/hour, and 3+ positive C-reactive protein. Echocardiogram revealed a large cystic mass (5 × 4.8 cm) in the ascending aorta, compressing the superior vena cava. Based on this finding, a diagnosis of aortic pseudoaneurysm was suspected. The diagnosis was confirmed through cardiac computed tomographic angiography, and the patient underwent emergent surgery for the repair of the aortic pseudoaneurysm under deep hypothermia and circulatory arrest. Unfortunately, our patient died shortly after the surgery.</p>","PeriodicalId":51760,"journal":{"name":"Case Reports in Cardiology","volume":"2023 ","pages":"2890844"},"PeriodicalIF":0.5000,"publicationDate":"2023-11-23","publicationTypes":"Journal Article","fieldsOfStudy":null,"isOpenAccess":false,"openAccessPdf":"https://www.ncbi.nlm.nih.gov/pmc/articles/PMC10689068/pdf/","citationCount":"0","resultStr":"{\"title\":\"Aortic Pseudoaneurysm following Ventricular Septal Defect Closure in a Pediatric Patient: A Case Report and Literature Review.\",\"authors\":\"Hassan Zamani, Kourosh Vahidshahi, Mohammad Reza Khalilian, Tahmineh Tahouri, Ehsanollah Rahimi-Movaghar\",\"doi\":\"10.1155/2023/2890844\",\"DOIUrl\":null,\"url\":null,\"abstract\":\"<p><p>Aortic pseudoaneurysm, a rare condition characterized by localized transmural disruption and dilatation of the aorta, is very rare in the pediatric population. It is primarily caused by previous cardiovascular procedures such as aortic coarctation repair, aortic valve replacement, and subaortic membrane resection. We present a unique case of aortic pseudoaneurysm following surgery to repair a perimembranous ventricular septal defect in a 19-month-old boy who presented with fever as the sole symptom. The fever started on the 30th day after the surgery, and the patient exhibited abnormal laboratory results, including a white blood cell (WBC) count of 28.3 × 109/L, neutrophil percentage of 68%, platelet count of 880 × 109/L, erythrocyte sedimentation rate (ESR) of 200 mm/hour, and 3+ positive C-reactive protein. Echocardiogram revealed a large cystic mass (5 × 4.8 cm) in the ascending aorta, compressing the superior vena cava. Based on this finding, a diagnosis of aortic pseudoaneurysm was suspected. The diagnosis was confirmed through cardiac computed tomographic angiography, and the patient underwent emergent surgery for the repair of the aortic pseudoaneurysm under deep hypothermia and circulatory arrest. Unfortunately, our patient died shortly after the surgery.</p>\",\"PeriodicalId\":51760,\"journal\":{\"name\":\"Case Reports in Cardiology\",\"volume\":\"2023 \",\"pages\":\"2890844\"},\"PeriodicalIF\":0.5000,\"publicationDate\":\"2023-11-23\",\"publicationTypes\":\"Journal Article\",\"fieldsOfStudy\":null,\"isOpenAccess\":false,\"openAccessPdf\":\"https://www.ncbi.nlm.nih.gov/pmc/articles/PMC10689068/pdf/\",\"citationCount\":\"0\",\"resultStr\":null,\"platform\":\"Semanticscholar\",\"paperid\":null,\"PeriodicalName\":\"Case Reports in Cardiology\",\"FirstCategoryId\":\"1085\",\"ListUrlMain\":\"https://doi.org/10.1155/2023/2890844\",\"RegionNum\":0,\"RegionCategory\":null,\"ArticlePicture\":[],\"TitleCN\":null,\"AbstractTextCN\":null,\"PMCID\":null,\"EPubDate\":\"2023/1/1 0:00:00\",\"PubModel\":\"eCollection\",\"JCR\":\"Q4\",\"JCRName\":\"CARDIAC & CARDIOVASCULAR SYSTEMS\",\"Score\":null,\"Total\":0}","platform":"Semanticscholar","paperid":null,"PeriodicalName":"Case Reports in Cardiology","FirstCategoryId":"1085","ListUrlMain":"https://doi.org/10.1155/2023/2890844","RegionNum":0,"RegionCategory":null,"ArticlePicture":[],"TitleCN":null,"AbstractTextCN":null,"PMCID":null,"EPubDate":"2023/1/1 0:00:00","PubModel":"eCollection","JCR":"Q4","JCRName":"CARDIAC & CARDIOVASCULAR SYSTEMS","Score":null,"Total":0}
引用次数: 0

摘要

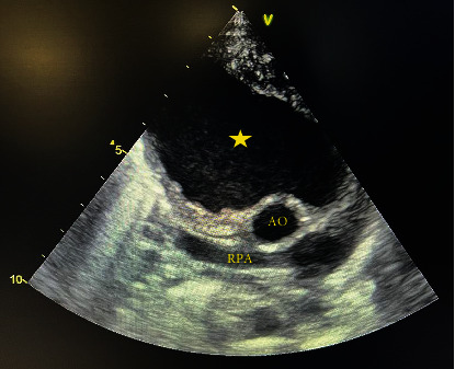
主动脉假性动脉瘤是一种罕见的疾病,其特征是局部的跨壁破坏和主动脉扩张,在儿科人群中非常罕见。它主要是由先前的心血管手术引起的,如主动脉缩窄修复、主动脉瓣置换术和主动脉下膜切除术。我们提出一个独特的病例主动脉假性动脉瘤手术后修复膜周围室间隔缺损在一个19个月大的男孩谁提出发烧作为唯一的症状。术后第30天开始发热,实验室检查结果异常,白细胞(WBC) 28.3 × 109/L,中性粒细胞百分比68%,血小板计数880 × 109/L,红细胞沉降率(ESR) 200 mm/h, c反应蛋白3+阳性。超声心动图示升主动脉内一巨大囊性肿块(5 × 4.8 cm),压迫上腔静脉。基于这一发现,我们怀疑诊断为主动脉假性动脉瘤。经心脏计算机断层血管造影确诊,患者在深低温和循环停止下接受紧急手术修复主动脉假性动脉瘤。不幸的是,我们的病人在手术后不久就死了。
本文章由计算机程序翻译,如有差异,请以英文原文为准。

Aortic Pseudoaneurysm following Ventricular Septal Defect Closure in a Pediatric Patient: A Case Report and Literature Review.

Aortic Pseudoaneurysm following Ventricular Septal Defect Closure in a Pediatric Patient: A Case Report and Literature Review.

Aortic Pseudoaneurysm following Ventricular Septal Defect Closure in a Pediatric Patient: A Case Report and Literature Review.

Aortic Pseudoaneurysm following Ventricular Septal Defect Closure in a Pediatric Patient: A Case Report and Literature Review.

Aortic pseudoaneurysm, a rare condition characterized by localized transmural disruption and dilatation of the aorta, is very rare in the pediatric population. It is primarily caused by previous cardiovascular procedures such as aortic coarctation repair, aortic valve replacement, and subaortic membrane resection. We present a unique case of aortic pseudoaneurysm following surgery to repair a perimembranous ventricular septal defect in a 19-month-old boy who presented with fever as the sole symptom. The fever started on the 30th day after the surgery, and the patient exhibited abnormal laboratory results, including a white blood cell (WBC) count of 28.3 × 109/L, neutrophil percentage of 68%, platelet count of 880 × 109/L, erythrocyte sedimentation rate (ESR) of 200 mm/hour, and 3+ positive C-reactive protein. Echocardiogram revealed a large cystic mass (5 × 4.8 cm) in the ascending aorta, compressing the superior vena cava. Based on this finding, a diagnosis of aortic pseudoaneurysm was suspected. The diagnosis was confirmed through cardiac computed tomographic angiography, and the patient underwent emergent surgery for the repair of the aortic pseudoaneurysm under deep hypothermia and circulatory arrest. Unfortunately, our patient died shortly after the surgery.

求助全文
通过发布文献求助,成功后即可免费获取论文全文。 去求助
来源期刊
Case Reports in Cardiology
Case Reports in Cardiology CARDIAC & CARDIOVASCULAR SYSTEMS-
自引率
0.00%
发文量
63
审稿时长
13 weeks
期刊介绍: Case Reports in Cardiology is a peer-reviewed, Open Access journal that publishes case reports and case series related to hypertension, arrhythmia, congestive heart failure, valvular heart disease, vascular disease, congenital heart disease and cardiomyopathy.
×
引用
GB/T 7714-2015
复制
MLA
复制
APA
复制
导出至
BibTeX EndNote RefMan NoteFirst NoteExpress
×
提示
您的信息不完整,为了账户安全,请先补充。
现在去补充
×
提示
您因"违规操作"
具体请查看互助需知
我知道了
×
提示
确定
请完成安全验证×
copy
已复制链接
快去分享给好友吧!
我知道了
右上角分享
点击右上角分享
0
联系我们:info@booksci.cn Book学术提供免费学术资源搜索服务,方便国内外学者检索中英文文献。致力于提供最便捷和优质的服务体验。 Copyright © 2023 布克学术 All rights reserved.
京ICP备2023020795号-1
ghs 京公网安备 11010802042870号
Book学术文献互助
Book学术文献互助群
群 号:604180095
Book学术官方微信