内部分水岭梗死的影像学-病理尸检相关性1例报告。

Q4 Medicine
Autopsy and Case Reports Pub Date : 2023-10-23 eCollection Date: 2023-01-01 DOI:10.4322/acr.2023.448
Thomas Dimitrios Zaikos, David M Yousem, Juan C Troncoso, James Stephen Nix
{"title":"内部分水岭梗死的影像学-病理尸检相关性1例报告。","authors":"Thomas Dimitrios Zaikos, David M Yousem, Juan C Troncoso, James Stephen Nix","doi":"10.4322/acr.2023.448","DOIUrl":null,"url":null,"abstract":"<p><p>Internal watershed infarcts (IWIs) occur at the junction of the deep and superficial perforating arterial branches of the cerebrum. Despite documentation in the radiology literature, IWIs are rarely encountered at the time of autopsy. Here, we report the case of a 59-year-old incarcerated male who was brought to the emergency department after being found unresponsive on the floor of his jail cell. Initial examination and imaging demonstrated right-sided hemiplegia, aphasia, right facial droop, and severe stenosis of the left middle cerebral artery, respectively. Repeat imaging 4 days after admission and 26 days before death demonstrated advanced stenosis of the intracranial, communicating segment of the right internal carotid artery, a large acute infarct in the right posterior cerebral artery territory, and bilateral deep white matter ischemic changes with a right-sided \"rosary-like\" pattern of injury that is typical of IWIs. Postmortem gross examination showed that the right deep white matter lesion had progressed to a confluent, \"cigar-shaped\" subacute IWI involving the right corona radiata. This is the first well-documented case of an IWI with radiologic imaging and photographic gross pathology correlation. This case uniquely highlights a rarely encountered lesion at the time of autopsy and provides an excellent visual representation of internal watershed neuroanatomy.</p>","PeriodicalId":53117,"journal":{"name":"Autopsy and Case Reports","volume":"13 ","pages":"e2023448"},"PeriodicalIF":0.0000,"publicationDate":"2023-10-23","publicationTypes":"Journal Article","fieldsOfStudy":null,"isOpenAccess":false,"openAccessPdf":"https://www.ncbi.nlm.nih.gov/pmc/articles/PMC10687791/pdf/","citationCount":"0","resultStr":"{\"title\":\"Radiologic-pathologic autopsy correlation of an internal watershed infarct, a case report.\",\"authors\":\"Thomas Dimitrios Zaikos, David M Yousem, Juan C Troncoso, James Stephen Nix\",\"doi\":\"10.4322/acr.2023.448\",\"DOIUrl\":null,\"url\":null,\"abstract\":\"<p><p>Internal watershed infarcts (IWIs) occur at the junction of the deep and superficial perforating arterial branches of the cerebrum. Despite documentation in the radiology literature, IWIs are rarely encountered at the time of autopsy. Here, we report the case of a 59-year-old incarcerated male who was brought to the emergency department after being found unresponsive on the floor of his jail cell. Initial examination and imaging demonstrated right-sided hemiplegia, aphasia, right facial droop, and severe stenosis of the left middle cerebral artery, respectively. Repeat imaging 4 days after admission and 26 days before death demonstrated advanced stenosis of the intracranial, communicating segment of the right internal carotid artery, a large acute infarct in the right posterior cerebral artery territory, and bilateral deep white matter ischemic changes with a right-sided \\\"rosary-like\\\" pattern of injury that is typical of IWIs. Postmortem gross examination showed that the right deep white matter lesion had progressed to a confluent, \\\"cigar-shaped\\\" subacute IWI involving the right corona radiata. This is the first well-documented case of an IWI with radiologic imaging and photographic gross pathology correlation. This case uniquely highlights a rarely encountered lesion at the time of autopsy and provides an excellent visual representation of internal watershed neuroanatomy.</p>\",\"PeriodicalId\":53117,\"journal\":{\"name\":\"Autopsy and Case Reports\",\"volume\":\"13 \",\"pages\":\"e2023448\"},\"PeriodicalIF\":0.0000,\"publicationDate\":\"2023-10-23\",\"publicationTypes\":\"Journal Article\",\"fieldsOfStudy\":null,\"isOpenAccess\":false,\"openAccessPdf\":\"https://www.ncbi.nlm.nih.gov/pmc/articles/PMC10687791/pdf/\",\"citationCount\":\"0\",\"resultStr\":null,\"platform\":\"Semanticscholar\",\"paperid\":null,\"PeriodicalName\":\"Autopsy and Case Reports\",\"FirstCategoryId\":\"1085\",\"ListUrlMain\":\"https://doi.org/10.4322/acr.2023.448\",\"RegionNum\":0,\"RegionCategory\":null,\"ArticlePicture\":[],\"TitleCN\":null,\"AbstractTextCN\":null,\"PMCID\":null,\"EPubDate\":\"2023/1/1 0:00:00\",\"PubModel\":\"eCollection\",\"JCR\":\"Q4\",\"JCRName\":\"Medicine\",\"Score\":null,\"Total\":0}","platform":"Semanticscholar","paperid":null,"PeriodicalName":"Autopsy and Case Reports","FirstCategoryId":"1085","ListUrlMain":"https://doi.org/10.4322/acr.2023.448","RegionNum":0,"RegionCategory":null,"ArticlePicture":[],"TitleCN":null,"AbstractTextCN":null,"PMCID":null,"EPubDate":"2023/1/1 0:00:00","PubModel":"eCollection","JCR":"Q4","JCRName":"Medicine","Score":null,"Total":0}
引用次数: 0

摘要

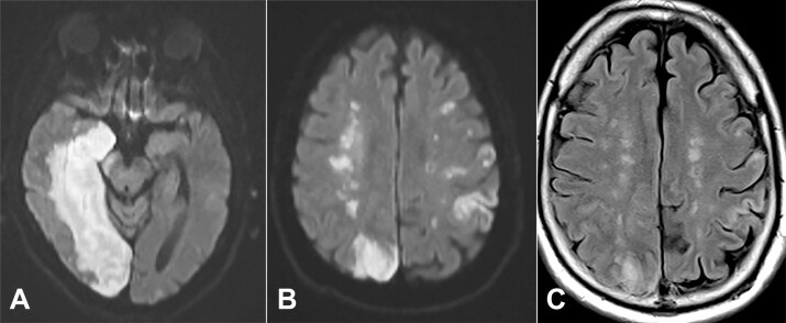
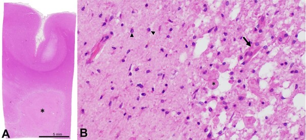
内分水岭梗死(IWIs)发生在大脑深动脉和浅动脉分支的交界处。尽管在放射学文献中有记录,但在尸检时很少遇到IWIs。在这里,我们报告一个59岁的被监禁的男性,他被发现在他的监狱牢房的地板上没有反应后被带到急诊室。初步检查和影像学表现分别为右侧偏瘫、失语、右侧面部下垂和左侧大脑中动脉严重狭窄。入院后4天和死亡前26天的重复成像显示,右侧颈内动脉交通段颅内严重狭窄,右侧大脑后动脉区域出现大面积急性梗死,双侧深部白质缺血性改变,右侧呈“玫瑰状”损伤,这是典型的IWIs。死后大体检查显示右侧深部白质病变已发展为融合性“雪茄状”亚急性IWI,累及右侧辐射冠。这是第一例有充分文献证明的IWI病例,影像学和大体病理相关联。本病例独特地突出了尸检时罕见的病变,并提供了内部分水岭神经解剖学的良好视觉表现。
本文章由计算机程序翻译,如有差异,请以英文原文为准。

Radiologic-pathologic autopsy correlation of an internal watershed infarct, a case report.

Radiologic-pathologic autopsy correlation of an internal watershed infarct, a case report.

Radiologic-pathologic autopsy correlation of an internal watershed infarct, a case report.

Radiologic-pathologic autopsy correlation of an internal watershed infarct, a case report.

Internal watershed infarcts (IWIs) occur at the junction of the deep and superficial perforating arterial branches of the cerebrum. Despite documentation in the radiology literature, IWIs are rarely encountered at the time of autopsy. Here, we report the case of a 59-year-old incarcerated male who was brought to the emergency department after being found unresponsive on the floor of his jail cell. Initial examination and imaging demonstrated right-sided hemiplegia, aphasia, right facial droop, and severe stenosis of the left middle cerebral artery, respectively. Repeat imaging 4 days after admission and 26 days before death demonstrated advanced stenosis of the intracranial, communicating segment of the right internal carotid artery, a large acute infarct in the right posterior cerebral artery territory, and bilateral deep white matter ischemic changes with a right-sided "rosary-like" pattern of injury that is typical of IWIs. Postmortem gross examination showed that the right deep white matter lesion had progressed to a confluent, "cigar-shaped" subacute IWI involving the right corona radiata. This is the first well-documented case of an IWI with radiologic imaging and photographic gross pathology correlation. This case uniquely highlights a rarely encountered lesion at the time of autopsy and provides an excellent visual representation of internal watershed neuroanatomy.

求助全文
通过发布文献求助,成功后即可免费获取论文全文。 去求助
来源期刊
Autopsy and Case Reports
Autopsy and Case Reports Medicine-Internal Medicine
CiteScore
1.20
自引率
0.00%
发文量
60
审稿时长
9 weeks
×
引用
GB/T 7714-2015
复制
MLA
复制
APA
复制
导出至
BibTeX EndNote RefMan NoteFirst NoteExpress
×
提示
您的信息不完整,为了账户安全,请先补充。
现在去补充
×
提示
您因"违规操作"
具体请查看互助需知
我知道了
×
提示
确定
请完成安全验证×
copy
已复制链接
快去分享给好友吧!
我知道了
右上角分享
点击右上角分享
0
联系我们:info@booksci.cn Book学术提供免费学术资源搜索服务,方便国内外学者检索中英文文献。致力于提供最便捷和优质的服务体验。 Copyright © 2023 布克学术 All rights reserved.
京ICP备2023020795号-1
ghs 京公网安备 11010802042870号
Book学术文献互助
Book学术文献互助群
群 号:604180095
Book学术官方微信